A 47-year-old woman had easy bruising, menorrhagia and anemia with an unremarkable family history. Her physical examination showed a few petechiae on the legs. The white blood count was 1.4 × 109/L, hemoglobin 88 g/L, and platelets were 15 × 109/L. Peripheral blood smear had macrocytosis and hypersegmentation. Initial bone marrow was hypercellular, dyspoietic, with marked erythroid hyperplasia, slight immaturity of the granulocytic series, but with less than 5% blasts, decreased megakaryocytes, an absence of ringed sideroblasts and normal chromosomes. Laboratory tests showed no evidence of nutritional disorders, immune diseases or paroxysmal nocturnal hemoglobinuria.
Myelodysplasia (multilineage dysplasia) was diagnosed and treatment was started with danazol and prednisone. Over the subsequent year, the pancytopenia fully resolved, but temporarily. Six months later, she relapsed with marked pancytopenia. A repeat marrow had prominent dyserythropoiesis with striking erythroid karyorrhexis and abundant nuclear budding (as shown). Blasts were still less than 5%. Six months after, she developed leukemic transformation.
Erythroid karyorrhexis can be seen in several disorders, including congenital dyspoiesis, marked megaloblastic anemia of B12 or folate deficiency, chemical toxicity, severe hemolytic anemia, diGuglielmo's syndrome, and paroxysmal nocturnal hemoglobinuria. Karyorrhexis is also a frequent abnormality in myelodysplasia, but the degree of karyorrhexis that was observed in this patient was unusual.
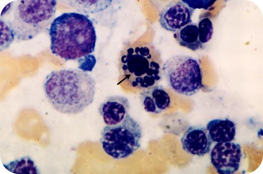
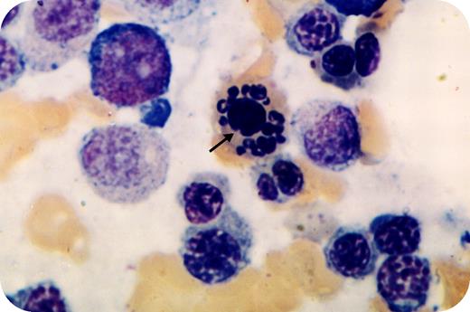
A 47-year-old woman had easy bruising, menorrhagia and anemia with an unremarkable family history. Her physical examination showed a few petechiae on the legs. The white blood count was 1.4 × 109/L, hemoglobin 88 g/L, and platelets were 15 × 109/L. Peripheral blood smear had macrocytosis and hypersegmentation. Initial bone marrow was hypercellular, dyspoietic, with marked erythroid hyperplasia, slight immaturity of the granulocytic series, but with less than 5% blasts, decreased megakaryocytes, an absence of ringed sideroblasts and normal chromosomes. Laboratory tests showed no evidence of nutritional disorders, immune diseases or paroxysmal nocturnal hemoglobinuria.
Myelodysplasia (multilineage dysplasia) was diagnosed and treatment was started with danazol and prednisone. Over the subsequent year, the pancytopenia fully resolved, but temporarily. Six months later, she relapsed with marked pancytopenia. A repeat marrow had prominent dyserythropoiesis with striking erythroid karyorrhexis and abundant nuclear budding (as shown). Blasts were still less than 5%. Six months after, she developed leukemic transformation.
Erythroid karyorrhexis can be seen in several disorders, including congenital dyspoiesis, marked megaloblastic anemia of B12 or folate deficiency, chemical toxicity, severe hemolytic anemia, diGuglielmo's syndrome, and paroxysmal nocturnal hemoglobinuria. Karyorrhexis is also a frequent abnormality in myelodysplasia, but the degree of karyorrhexis that was observed in this patient was unusual.
Many Blood Work images are provided by the ASH IMAGE BANK, a reference and teaching tool that is continually updated with new atlas images and images of case studies. For more information or to contribute to the Image Bank, visit www.ashimagebank.org.

