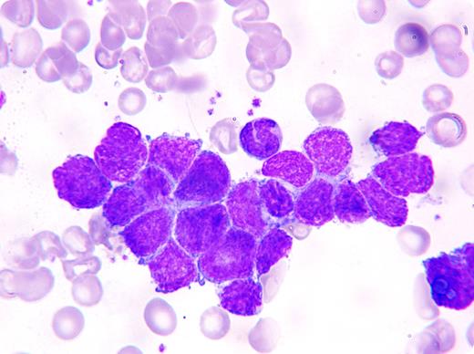
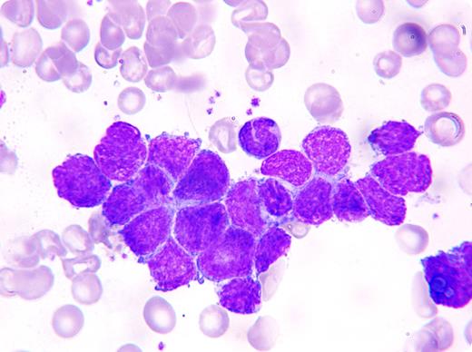
A 68-year-old woman developed progressive back pain and weight loss over a 3-month period. She was found to have a 5 × 6-cm2 firm, fixed mass in the left posterior neck. She had multiple comorbidities including an extensive 50 pack-per-year smoking history, coronary artery disease, type 2 diabetes, hypertension, and hypothyroidism.
Complete blood counts showed a mild pancytopenia with occasional teardrop cells on the peripheral blood film. Lymph node biopsy revealed extensive infiltration by a high-grade neuroendocrine carcinoma of unknown primary. Bone marrow examination revealed nests of medium to large nonhematopoietic monomorphic cells (one cluster shown) that were identical to those present in the lymph node biopsy. Unfortunately, while being evaluated, she rapidly deteriorated with a decreased level of consciousness and died 3 days later. An autopsy was not performed.
Pancytopenia and peripheral blood morphologic abnormalities were clues to the presence of metastatic disease infiltrating the bone marrow. Although the site of origin of clusters of nonhematopoietic cells within the marrow can be challenging, the malignant disease present in another tissue usually identifies them.
A 68-year-old woman developed progressive back pain and weight loss over a 3-month period. She was found to have a 5 × 6-cm2 firm, fixed mass in the left posterior neck. She had multiple comorbidities including an extensive 50 pack-per-year smoking history, coronary artery disease, type 2 diabetes, hypertension, and hypothyroidism.
Complete blood counts showed a mild pancytopenia with occasional teardrop cells on the peripheral blood film. Lymph node biopsy revealed extensive infiltration by a high-grade neuroendocrine carcinoma of unknown primary. Bone marrow examination revealed nests of medium to large nonhematopoietic monomorphic cells (one cluster shown) that were identical to those present in the lymph node biopsy. Unfortunately, while being evaluated, she rapidly deteriorated with a decreased level of consciousness and died 3 days later. An autopsy was not performed.
Pancytopenia and peripheral blood morphologic abnormalities were clues to the presence of metastatic disease infiltrating the bone marrow. Although the site of origin of clusters of nonhematopoietic cells within the marrow can be challenging, the malignant disease present in another tissue usually identifies them.
Many Blood Work images are provided by the ASH IMAGE BANK, a reference and teaching tool that is continually updated with new atlas images and images of case studies. For more information or to contribute to the Image Bank, visit http://imagebank.hematology.org.
