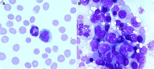
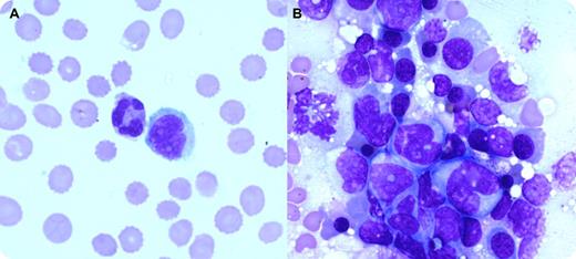
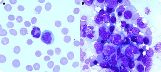
A 33-year-old female with a history of a live related renal transplant on azathioprine and prednisolone and tacrolimus was asymptomatic until 3 years later when she developed low-grade fever, epigastric discomfort, and headache. She had hepatosplenomegaly but no lymphadenopathy. Complete blood counts revealed pancytopenia with hemoglobin 79g/L, leukocyte count 2.6 × 109/L, platelet count 38 × 109/L, and 3 nucleated red cells per 100 leukocytes. The peripheral blood film revealed a few large atypical mononuclear cells with convoluted/bilobed nuclei (see figure panel A). Bone marrow aspirate was hypercellular with clusters of atypical mononuclear cells, especially prominent on biopsy touch imprints (see figure panel B). The cells had large convoluted nuclei, opened chromatin, prominent nucleoli, and moderate amount of basophilic cytoplasm. The biopsy affirmed hypercellularity with malignant-appearing cells that were positive for CD20 and showed strong membranous positivity. A diagnosis of posttransplantation lymphoproliferative disorder (PTLD) was made, classified further as diffuse large B-cell lymphoma. The patient received R-CHOP (rituximab, cyclophosphamide, doxorubicin, vincristine, and prednisolone) that resulted in symptomatic improvement and regression in spleen size.
Hematologic abnormalities such as cytopenia may occur in transplant patients because of immunosuppressive drugs, infections, and malignancies. This case illustrates the value of a review of the peripheral smear. The discovery of abnormal cells prompted a bone marrow examination that provided the diagnosis of PTLD.
A 33-year-old female with a history of a live related renal transplant on azathioprine and prednisolone and tacrolimus was asymptomatic until 3 years later when she developed low-grade fever, epigastric discomfort, and headache. She had hepatosplenomegaly but no lymphadenopathy. Complete blood counts revealed pancytopenia with hemoglobin 79g/L, leukocyte count 2.6 × 109/L, platelet count 38 × 109/L, and 3 nucleated red cells per 100 leukocytes. The peripheral blood film revealed a few large atypical mononuclear cells with convoluted/bilobed nuclei (see figure panel A). Bone marrow aspirate was hypercellular with clusters of atypical mononuclear cells, especially prominent on biopsy touch imprints (see figure panel B). The cells had large convoluted nuclei, opened chromatin, prominent nucleoli, and moderate amount of basophilic cytoplasm. The biopsy affirmed hypercellularity with malignant-appearing cells that were positive for CD20 and showed strong membranous positivity. A diagnosis of posttransplantation lymphoproliferative disorder (PTLD) was made, classified further as diffuse large B-cell lymphoma. The patient received R-CHOP (rituximab, cyclophosphamide, doxorubicin, vincristine, and prednisolone) that resulted in symptomatic improvement and regression in spleen size.
Hematologic abnormalities such as cytopenia may occur in transplant patients because of immunosuppressive drugs, infections, and malignancies. This case illustrates the value of a review of the peripheral smear. The discovery of abnormal cells prompted a bone marrow examination that provided the diagnosis of PTLD.
For additional images, visit the ASH IMAGE BANK, a reference and teaching tool that is continually updated with new atlas and case study images. For more information visit http://imagebank.hematology.org.

