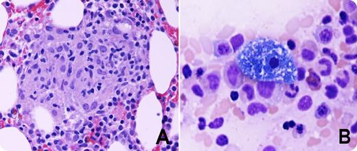
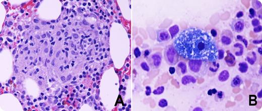
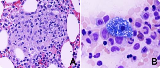
A 77-year-old man was admitted for evaluation of pancytopenia. His blood examination revealed hemoglobin 9.7 g/dL, platelet count 149 × 109/L, and white blood cell count 3.2 × 109/L with normal differential. Peripheral blood smear showed red blood cells with anisocytosis, microcytes, and teardrop-shaped cells. There was mild leukopenia with relative monocytosis and normal platelets. Bone marrow biopsy showed 30% to 40% cellularity with absent iron stores and multiple granulomas with macrophages (panel A). No foreign bodies or caseous necrosis were noted. Most remarkably there were several macrophages with sea-blue–colored granules (panel B). Stains for fungus and acid-fast bacillus were negative. Cytogenetics did not reveal any abnormalities.
Sea-blue–colored histiocytes have been described in the setting of high rates of intramedullary cell death due to lipid storage diseases, myelodysplastic syndromes, lymphomas, chronic myelogenous leukemia, idiopathic thrombocytopenic purpura, autoimmune neutropenia, and β-thalassemia major. We hypothesize that the bone marrow granulomas led to increased cell death and subsequent deposition of phospholipids in the macrophages, resulting in the formation of the sea-blue–colored histiocytes.
A 77-year-old man was admitted for evaluation of pancytopenia. His blood examination revealed hemoglobin 9.7 g/dL, platelet count 149 × 109/L, and white blood cell count 3.2 × 109/L with normal differential. Peripheral blood smear showed red blood cells with anisocytosis, microcytes, and teardrop-shaped cells. There was mild leukopenia with relative monocytosis and normal platelets. Bone marrow biopsy showed 30% to 40% cellularity with absent iron stores and multiple granulomas with macrophages (panel A). No foreign bodies or caseous necrosis were noted. Most remarkably there were several macrophages with sea-blue–colored granules (panel B). Stains for fungus and acid-fast bacillus were negative. Cytogenetics did not reveal any abnormalities.
Sea-blue–colored histiocytes have been described in the setting of high rates of intramedullary cell death due to lipid storage diseases, myelodysplastic syndromes, lymphomas, chronic myelogenous leukemia, idiopathic thrombocytopenic purpura, autoimmune neutropenia, and β-thalassemia major. We hypothesize that the bone marrow granulomas led to increased cell death and subsequent deposition of phospholipids in the macrophages, resulting in the formation of the sea-blue–colored histiocytes.
For additional images, visit the ASH IMAGE BANK, a reference and teaching tool that is continually updated with new atlas and case study images. For more information visit http://imagebank.hematology.org.

