A 69-year-old nonimmunocompromised man was admitted for fever and rigors 3 weeks after traumatic catheterization during his final intravesical Bacillus Calmette–Guérin (BCG) treatment of bladder cancer. He had no symptoms following his previous 11 nontraumatic BCG treatments. He had no hepatosplenomegaly or adenopathy. He had mild thrombocytopenia of 135 × 109/L, elevated erythrocyte sedimentation rate 31 mm/h, C-reactive protein 45.6 mg/L, and the liver enzymes (alanine aminotransferase, 249 μ/L; aspartate aminotransferase, 130 μ/L; γ-glutamyltransferase, 954 μ/L; and alkaline phosphatase 385 μ/L). Cultures of blood, urine for mycobacteria, and serologic studies for Hepatitis B and Hepatitis C were negative. Bone marrow aspirate was normal but multiple small noncaseating granulomas were observed in the biopsy (panel A), CD68 highlighted the granuloma with giant cells (panel B), which was consistent with inflammatory granuloma. Silver nitrate stain, acid-fast stain, and marrow cultures were negative. A diagnosis of disseminated pauci-bacillary BCGitis and granulomatous hepatitis was suggested based on the marrow, laboratory, and clinical findings. Patient was treated with antimycobacteria therapy and prednisone with complete recovery.
There are many causes of bone marrow granuloma such as medication, sarcoidosis, and infections, including tubercle bacillus and fungi, etc. BCGitis induced inflammatory granuloma is exceptionally rare but can be observed in patients with bladder cancer following traumatic intravesical BCG treatment.
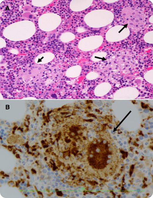
A 69-year-old nonimmunocompromised man was admitted for fever and rigors 3 weeks after traumatic catheterization during his final intravesical Bacillus Calmette–Guérin (BCG) treatment of bladder cancer. He had no symptoms following his previous 11 nontraumatic BCG treatments. He had no hepatosplenomegaly or adenopathy. He had mild thrombocytopenia of 135 × 109/L, elevated erythrocyte sedimentation rate 31 mm/h, C-reactive protein 45.6 mg/L, and the liver enzymes (alanine aminotransferase, 249 μ/L; aspartate aminotransferase, 130 μ/L; γ-glutamyltransferase, 954 μ/L; and alkaline phosphatase 385 μ/L). Cultures of blood, urine for mycobacteria, and serologic studies for Hepatitis B and Hepatitis C were negative. Bone marrow aspirate was normal but multiple small noncaseating granulomas were observed in the biopsy (panel A), CD68 highlighted the granuloma with giant cells (panel B), which was consistent with inflammatory granuloma. Silver nitrate stain, acid-fast stain, and marrow cultures were negative. A diagnosis of disseminated pauci-bacillary BCGitis and granulomatous hepatitis was suggested based on the marrow, laboratory, and clinical findings. Patient was treated with antimycobacteria therapy and prednisone with complete recovery.
There are many causes of bone marrow granuloma such as medication, sarcoidosis, and infections, including tubercle bacillus and fungi, etc. BCGitis induced inflammatory granuloma is exceptionally rare but can be observed in patients with bladder cancer following traumatic intravesical BCG treatment.
For additional images, visit the ASH IMAGE BANK, a reference and teaching tool that is continually updated with new atlas and case study images. For more information visit http://imagebank.hematology.org.
