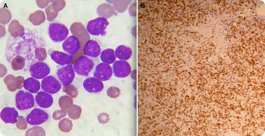
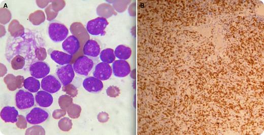
A 71-year-old man presented with pallor and generalized lymphadenopathy. The complete blood count showed a hemoglobin level of 9.4 g/dL; total leukocyte count of 64 000/μL with 78% blasts; and a platelet count of 86 000/μL. The peripheral blood smear showed large blasts with dispersed nuclear chromatin and multiple prominent nucleoli with agranular, mildly basophilic, scanty cytoplasm (panel A). The blasts were myeloperoxidase negative. On flow cytometry, the side scatter (SSC)/CD45 gated cell cluster was negative for CD34, CD13, CD33, CD117, CD14, CD3, and CD7, but positive for CD5, CD19 (bright), and CD22. Further flow cytometry, gated on SSC/CD19, showed strong positivity for CD5, CD22, and κ light chain, but negative for CD23, cyclin D1, or λ light chain. Immunostaining of the bone marrow sections showed diffuse infiltration of CD20-positive cells (panel B). The final diagnosis was made as CD5+ diffuse large B-cell lymphoma in the leukemic phase. The lymph node histopathology report was consistent as well.
An acute leukemia panel devoid of light chain surface immunoglobulins may culminate in the wrong diagnosis, particularly with blastic cell morphology. In this case, the first flow cytometry was suggestive of B-lymphoblastic leukemia, consistent with the morphology. Inclusion of light chain surface immunoglobulins in the acute leukemia panel is thus highly recommended.
A 71-year-old man presented with pallor and generalized lymphadenopathy. The complete blood count showed a hemoglobin level of 9.4 g/dL; total leukocyte count of 64 000/μL with 78% blasts; and a platelet count of 86 000/μL. The peripheral blood smear showed large blasts with dispersed nuclear chromatin and multiple prominent nucleoli with agranular, mildly basophilic, scanty cytoplasm (panel A). The blasts were myeloperoxidase negative. On flow cytometry, the side scatter (SSC)/CD45 gated cell cluster was negative for CD34, CD13, CD33, CD117, CD14, CD3, and CD7, but positive for CD5, CD19 (bright), and CD22. Further flow cytometry, gated on SSC/CD19, showed strong positivity for CD5, CD22, and κ light chain, but negative for CD23, cyclin D1, or λ light chain. Immunostaining of the bone marrow sections showed diffuse infiltration of CD20-positive cells (panel B). The final diagnosis was made as CD5+ diffuse large B-cell lymphoma in the leukemic phase. The lymph node histopathology report was consistent as well.
An acute leukemia panel devoid of light chain surface immunoglobulins may culminate in the wrong diagnosis, particularly with blastic cell morphology. In this case, the first flow cytometry was suggestive of B-lymphoblastic leukemia, consistent with the morphology. Inclusion of light chain surface immunoglobulins in the acute leukemia panel is thus highly recommended.
For additional images, visit the ASH IMAGE BANK, a reference and teaching tool that is continually updated with new atlas and case study images. For more information visit http://imagebank.hematology.org.
