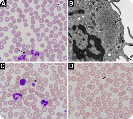
A 71-year-old male presented with a 20-year history of chronic kidney disease (stage 4) of unclear etiology. Several siblings had renal dysfunction and one had undergone renal transplantation. He had a history of bilateral cataracts and progressive sensorineural hearing loss. Thrombocytopenia was noticed but never evaluated because there was no abnormal bleeding. Laboratory studies demonstrated a platelet count of 50 × 109/L with mean platelet volume of 15.8 fL (7.6-10.8 fL). Large platelets with normal granularity and neutrophil cytoplasmic inclusions (panel A) were seen on peripheral blood smear. Buffy coat transmission electron microscopy confirmed the inclusions (panel B). The findings were compatible with myosin heavy chain-9 (MYH-9) nonmuscle-related disorder (Fechtner syndrome). Next-generation sequencing identified a previously described MYH-9 heterozygous c.4679T>G;p.Val1560Gly mutation.
The MYH-9–related disorders are characterized by macrothrombocytopenia, which can be associated with renal disease and hearing loss (Epstein syndrome) and cataracts (Fechtner syndrome). Whereas neutrophilic cytoplasmic inclusions are pathognomonic, they are not always present. Light microscopy is a simple and valuable tool that can be used in the evaluation of patients with suspected congenital thrombocytopenia. Macrothrombocytopenia with normal platelet granularity is also seen in Bernard–Soulier syndrome (panel C), whereas gray platelet syndrome (NBEAL2 mutations) has large but hypogranular platelets (panel D). Short arrows identify platelets, while long arrows identify neutrophilic cytoplasmic inclusions.
A 71-year-old male presented with a 20-year history of chronic kidney disease (stage 4) of unclear etiology. Several siblings had renal dysfunction and one had undergone renal transplantation. He had a history of bilateral cataracts and progressive sensorineural hearing loss. Thrombocytopenia was noticed but never evaluated because there was no abnormal bleeding. Laboratory studies demonstrated a platelet count of 50 × 109/L with mean platelet volume of 15.8 fL (7.6-10.8 fL). Large platelets with normal granularity and neutrophil cytoplasmic inclusions (panel A) were seen on peripheral blood smear. Buffy coat transmission electron microscopy confirmed the inclusions (panel B). The findings were compatible with myosin heavy chain-9 (MYH-9) nonmuscle-related disorder (Fechtner syndrome). Next-generation sequencing identified a previously described MYH-9 heterozygous c.4679T>G;p.Val1560Gly mutation.
The MYH-9–related disorders are characterized by macrothrombocytopenia, which can be associated with renal disease and hearing loss (Epstein syndrome) and cataracts (Fechtner syndrome). Whereas neutrophilic cytoplasmic inclusions are pathognomonic, they are not always present. Light microscopy is a simple and valuable tool that can be used in the evaluation of patients with suspected congenital thrombocytopenia. Macrothrombocytopenia with normal platelet granularity is also seen in Bernard–Soulier syndrome (panel C), whereas gray platelet syndrome (NBEAL2 mutations) has large but hypogranular platelets (panel D). Short arrows identify platelets, while long arrows identify neutrophilic cytoplasmic inclusions.
For additional images, visit the ASH IMAGE BANK, a reference and teaching tool that is continually updated with new atlas and case study images. For more information visit http://imagebank.hematology.org.

