Abstract
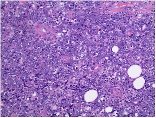
44 year old male with no past medical history presents with rapidly enlarging neck mass over past two months. He denied B-symptoms. Clinical examination revealed bulky midline neck mass with bilateral cervical and left supraclavicular adenopathy. 6/29/16 excisional lymph node biopsy of neck lymph node showed a monomorphic proliferation of malignant cells with large immunoblastic tumor cells with prominent nucleoli (Figure1). Neoplastic cells expressed MUM-1, CD138 (Figure 2), and were lambda light chain restricted. Neoplastic cells were negative for CD20, CD79, CD3, CD5, CD7, and BCL-2. Additionally, Cyclin D1, BCL-6, CD30, ALK-1, S100, CD56 was negative. Ki-67 was 99%. EBER by ISH was positive (Figure 3). Karyotype was normal. PET CT 7/1/16 Showed small hypermetabolic lymph nodes in the right neck, bilateral parotid gland with additional hypermetabolic activity in the left supraclavicular fossa and central neck base along with activity in the tongue base with maximum SUV 16.1. CT neck chest abdomen and pelvis 7/1/16 showed bilateral enhancing parotid lesions, large central midline neck mass with right strap muscle involvement. Also, there was soft tissue prominence of the adenoids, tonsil pillars, lingual tonsils, laryngeal ventricle. Last there was bilateral deep cervical, supraclavicular, & posterior cervical lymphadenopathy. Lumbar puncture, bone marrow biopsy, & MRI brain were negative for involvement. Labs 6/27/16: Platelet 126 10x3/µL, hemoglobin 15.7 g/dL, white blood cell 5.2 with variant lymphocytes. Uric acid 4.3 m/dL, total protein 9.3 g/dL, creatinine 1.23 m/dL, alanine aminotransferase 83 U/L, aspartate aminotransferase 83 U/L and complete metabolic panel otherwise normal. LDH 228 U/L, beta 2 microglobulin 4.5 mg/L. HIV-1 test was positive with 94316 copies/mL by PCR. CD4 count 65 cells/mcl. EBV VCA IgM <0.2 AI, EBV VCA IgG > 8.0 AI. IgG 3023 mg/dL, IgE 207IU/ML, IgA 581 m/dL, IgM 286 mg/dL, free kappa 117 mg/L, free lambda 97.94 mg/L and normal kappa/lambda ratio. SPEP with immunofixation consistent with inflammatory response. Peripheral blood flow cytometry revealed a minimal kappa predominant monoclonal B-cell population. Patient started on DA-EPOCH with prophylactic intrathecal methotrexate with excellent clinical response after first cycle. Plan for 4-6 cycles with prophylactic intrathecal chemotherapy followed by autologous stem cell transplantation. For supportive care, the patient was started on HAART therapy, acyclovir, fluconazole, Levaquin, azithromycin. To our knowledge this is the first case of bilateral parotid gland involvement in PBL. Furthermore it is unclear if the hypergammaglobulinemia is related to HIV infection vs. directly PBL related.
H&E section showing a monomorphic proliferation of malignant cells with large immunoblastic tumor cells with prominent nucleoli. Magnification 20X.
H&E section showing a monomorphic proliferation of malignant cells with large immunoblastic tumor cells with prominent nucleoli. Magnification 20X.
CD138 immunohostochemical stains showing positivity in neoplastic cells.
CD138 immunohostochemical stains showing positivity in neoplastic cells.
EBV EBER stain by in situ hybridization showing nuclear positivity in neoplastic cells.
EBV EBER stain by in situ hybridization showing nuclear positivity in neoplastic cells.
No relevant conflicts of interest to declare.
Author notes
Asterisk with author names denotes non-ASH members.



