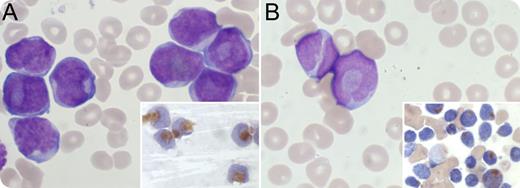
A 34-year-old patient A (panel A) and a 65-year-old patient B (panel B) presented with hyperleukocytotic acute myeloid leukemia (AML; white blood cells 127 × 109/L and 83 × 109/L, respectively, with 98% and 99% blasts). Leukemic cells in the peripheral blood of both patients showed very similar cytomorphologies, with bilobed nuclei and cup-like nuclear invaginations in 34% (patient A) and 44% (patient B) of blasts. Single Auer rods were occasionally observed. Myeloperoxidase staining was strongly positive in both cases and mainly localized to the “cup” (insets). Molecular testing revealed a promyelocytic leukemia–retinoic acid receptor α (PML-RARα) fusion and an Fms-like tyrosine kinase 3 (FLT3) internal tandem duplication in patient A, whereas a nucleophosmin-1 (NPM1) mutation was detected in patient B. Fluorescence in situ hybridization confirmed t(15;17) in patient A and excluded RARα rearrangements in the other patient. In summary, patient A was diagnosed with microgranular acute PML, whereas patient B was diagnosed with NPM1-mutated normal karyotype AML.
Cup-shaped blasts are predominantly discussed in the recent literature for their association with NPM1 and FLT3 mutations in normal karyotype AML. However, microgranular acute promyelocytic leukemia, with its nuclear bilobation, may exhibit very similar cytomorphology, mimicking cup-like nuclear invaginations. In light of the immediate diagnostic and therapeutic consequences, the hematologist should consider both differential diagnoses when evaluating AML blood smears with prominent cup-like nuclear morphology.
A 34-year-old patient A (panel A) and a 65-year-old patient B (panel B) presented with hyperleukocytotic acute myeloid leukemia (AML; white blood cells 127 × 109/L and 83 × 109/L, respectively, with 98% and 99% blasts). Leukemic cells in the peripheral blood of both patients showed very similar cytomorphologies, with bilobed nuclei and cup-like nuclear invaginations in 34% (patient A) and 44% (patient B) of blasts. Single Auer rods were occasionally observed. Myeloperoxidase staining was strongly positive in both cases and mainly localized to the “cup” (insets). Molecular testing revealed a promyelocytic leukemia–retinoic acid receptor α (PML-RARα) fusion and an Fms-like tyrosine kinase 3 (FLT3) internal tandem duplication in patient A, whereas a nucleophosmin-1 (NPM1) mutation was detected in patient B. Fluorescence in situ hybridization confirmed t(15;17) in patient A and excluded RARα rearrangements in the other patient. In summary, patient A was diagnosed with microgranular acute PML, whereas patient B was diagnosed with NPM1-mutated normal karyotype AML.
Cup-shaped blasts are predominantly discussed in the recent literature for their association with NPM1 and FLT3 mutations in normal karyotype AML. However, microgranular acute promyelocytic leukemia, with its nuclear bilobation, may exhibit very similar cytomorphology, mimicking cup-like nuclear invaginations. In light of the immediate diagnostic and therapeutic consequences, the hematologist should consider both differential diagnoses when evaluating AML blood smears with prominent cup-like nuclear morphology.
For additional images, visit the ASH IMAGE BANK, a reference and teaching tool that is continually updated with new atlas and case study images. For more information visit http://imagebank.hematology.org.
