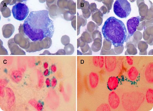
A 3-month-old boy presented with decreased appetite, fatigue, and a nosebleed. Initial workup revealed hemoglobin 2.6 g/dL (10.2-12.7), hematocrit 7.7% (30.9-37.9), mean corpuscular volume 104 fL (71.3-82.6), white blood cell count 4200/μL (240 absolute neutrophil count), platelets 50 000/μL (140-400), and reticulocyte count 1.31% (1.55-2.7). Bone marrow revealed hypercellularity with cytoplasmic vacuolization of myeloid and erythroid precursors (panels A-B; original magnification ×1000, Wright-Giemsa stain). Iron staining of marrow biopsy revealed numerous ringed sideroblasts (panels C-D; original magnification ×1000, Prussian blue stain). DNA was examined by array-based comparative genomic hybridization and revealed a 4.9-kb deletion, m.11027_15950del4923, consistent with mitochondrial DNA deletion syndrome, also known as Pearson syndrome. Fecal elastase was initially normal, but now it is <15 μg/g (normal >200), consistent with severe pancreatic insufficiency. We have begun pancreatic enzyme replacement.
Pearson marrow pancreas syndrome (PMPS) is an exceedingly rare mitochondrial disorder. Therefore, prevalence of PMPS is unknown. Affected children typically present in infancy with a hematologic disturbance consistent with an inherited bone marrow failure syndrome and congenital sideroblastic anemia. Important clues to the diagnosis include cytoplasmic vacuolization of erythroid and myeloid precursors along with ringed sideroblasts on bone marrow evaluation. Another hallmark clinical feature is exocrine pancreatic insufficiency. Currently, there is no cure for this condition. The most common causes of death include overwhelming infection, lactic acidosis, and multiorgan failure.
A 3-month-old boy presented with decreased appetite, fatigue, and a nosebleed. Initial workup revealed hemoglobin 2.6 g/dL (10.2-12.7), hematocrit 7.7% (30.9-37.9), mean corpuscular volume 104 fL (71.3-82.6), white blood cell count 4200/μL (240 absolute neutrophil count), platelets 50 000/μL (140-400), and reticulocyte count 1.31% (1.55-2.7). Bone marrow revealed hypercellularity with cytoplasmic vacuolization of myeloid and erythroid precursors (panels A-B; original magnification ×1000, Wright-Giemsa stain). Iron staining of marrow biopsy revealed numerous ringed sideroblasts (panels C-D; original magnification ×1000, Prussian blue stain). DNA was examined by array-based comparative genomic hybridization and revealed a 4.9-kb deletion, m.11027_15950del4923, consistent with mitochondrial DNA deletion syndrome, also known as Pearson syndrome. Fecal elastase was initially normal, but now it is <15 μg/g (normal >200), consistent with severe pancreatic insufficiency. We have begun pancreatic enzyme replacement.
Pearson marrow pancreas syndrome (PMPS) is an exceedingly rare mitochondrial disorder. Therefore, prevalence of PMPS is unknown. Affected children typically present in infancy with a hematologic disturbance consistent with an inherited bone marrow failure syndrome and congenital sideroblastic anemia. Important clues to the diagnosis include cytoplasmic vacuolization of erythroid and myeloid precursors along with ringed sideroblasts on bone marrow evaluation. Another hallmark clinical feature is exocrine pancreatic insufficiency. Currently, there is no cure for this condition. The most common causes of death include overwhelming infection, lactic acidosis, and multiorgan failure.
For additional images, visit the ASH IMAGE BANK, a reference and teaching tool that is continually updated with new atlas and case study images. For more information visit http://imagebank.hematology.org.
 https://orcid.org/0000-0003-0144-5258
  https://orcid.org/0000-0003-0144-5258
        
 
                