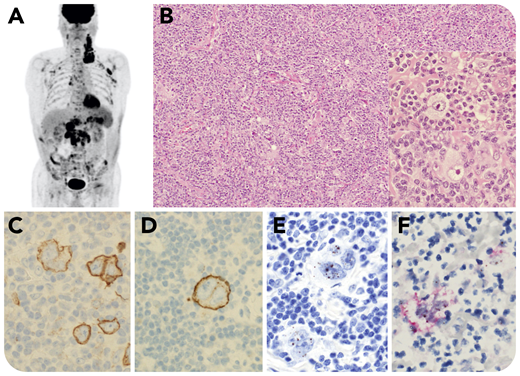
A 69-year-old male human T-cell leukemia virus type 1 (HTLV-1) carrier presented with generalized lymphadenopathy (panel A). Lymph nodes showed scattered Hodgkin and Reed-Sternberg (HRS)–like cells (panel B; hematoxylin and eosin stain, objective 10×; insets, objective 40×). CD30-positive (panel C, objective 40×), CD15-positive (panel D, objective 40×), and fascin-positive HRS-like cells, negative for CD3, CD4, CD5, CD7, CD8, TIA-1, granzyme B, perforin, PAX5, Oct-2, Bob.1, CD68, and Epstein-Barr virus (EBV), were surrounded by small lymphocytes mainly composed of CD4-positive T cells. Surprisingly, in situ hybridization for HBZ, a specific gene product of HTLV-1, showed positive signals only in HRS-like cells (panel E, objective 40×), highlighted by double staining with CD30 (panel F, objective 40×). No clonal T-cell receptor/immunoglobulin gene rearrangements were identified. He received chemotherapy with ABVD (adriamycin, bleomycin, vinblastine, and dacarbazine) and achieved complete remission.
The Hodgkin-like variant is a rare morphological subtype of adult T-cell leukemia/lymphoma (ATLL). In this variant, HRS-like cells are usually B-cell lineage, often positive for EBV, and negative for HTLV-1. This is the first report of HTLV-1–positive HRS-like cells. This case expands the histological spectrum of ATLL, and the in situ HTLV-1 detection is expected to clarify the diverse pathogenesis of ATLL with Hodgkin-like morphology.
A 69-year-old male human T-cell leukemia virus type 1 (HTLV-1) carrier presented with generalized lymphadenopathy (panel A). Lymph nodes showed scattered Hodgkin and Reed-Sternberg (HRS)–like cells (panel B; hematoxylin and eosin stain, objective 10×; insets, objective 40×). CD30-positive (panel C, objective 40×), CD15-positive (panel D, objective 40×), and fascin-positive HRS-like cells, negative for CD3, CD4, CD5, CD7, CD8, TIA-1, granzyme B, perforin, PAX5, Oct-2, Bob.1, CD68, and Epstein-Barr virus (EBV), were surrounded by small lymphocytes mainly composed of CD4-positive T cells. Surprisingly, in situ hybridization for HBZ, a specific gene product of HTLV-1, showed positive signals only in HRS-like cells (panel E, objective 40×), highlighted by double staining with CD30 (panel F, objective 40×). No clonal T-cell receptor/immunoglobulin gene rearrangements were identified. He received chemotherapy with ABVD (adriamycin, bleomycin, vinblastine, and dacarbazine) and achieved complete remission.
The Hodgkin-like variant is a rare morphological subtype of adult T-cell leukemia/lymphoma (ATLL). In this variant, HRS-like cells are usually B-cell lineage, often positive for EBV, and negative for HTLV-1. This is the first report of HTLV-1–positive HRS-like cells. This case expands the histological spectrum of ATLL, and the in situ HTLV-1 detection is expected to clarify the diverse pathogenesis of ATLL with Hodgkin-like morphology.
For additional images, visit the ASH Image Bank, a reference and teaching tool that is continually updated with new atlas and case study images. For more information, visit http://imagebank.hematology.org.
