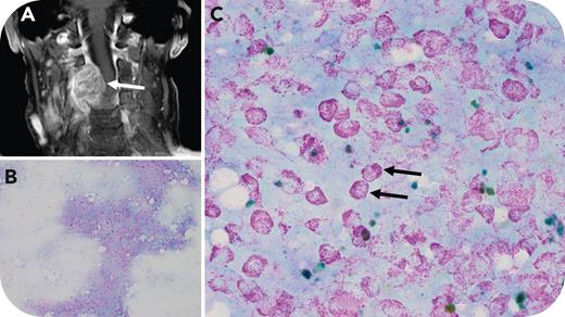
We present the case of a 79-year-old man with no prior hematological history who presented with an immunoglobulin G κ monoclonal gammopathy and a C3-vertebral lesion (panel A: cervical magnetic resonance imaging with undetermined C3 cervical lesion with spinal cord compression [arrow]), initially thought to be a plasmacytoma. Electrolytes, kidney function, and complete blood count results were all normal. Bone marrow examination revealed a plasma cell infiltrate (>10%) and more than 20% atypical mast cells, along with more than 5% of ring sideroblasts. Toluidine coloration effectively highlighted the presence of mast cells (panel B: 10× objective; panel C: 100× objective, toluidine positive mast cells [arrows]). Flow cytometry confirmed the atypical coexpression of CD2 and CD25, with digital droplet polymerase chain reaction revealing a D816V KIT mutation hotspot at a 7.3% allele frequency in unfractionated marrow cells. Retrospectively, elevated tryptase levels (200 μg/L; reference range <13.5 μg/L) further support the diagnosis of systemic mastocytosis. Notably, next-generation sequencing analysis of the bone marrow revealed a SF3B1 mutation with cytological dysplastic features, including erythroid dysplasia, indicative of myelodysplastic syndrome (MDS) with SF3B1 mutation. Finally, the C3 lesion histology indicated a conventional chordoma.
This case highlights the importance of comprehensive investigations when encountering complex hematological presentations with 3 distinct hematological diagnoses: a high-risk smoldering myeloma, a SF3B1 mutation MDS, and systemic mastocytosis. Systemic mastocytosis with associated hematological neoplasm is associated with myeloid neoplasia, as for our patient, yet only a few case reports have been documented in relation to plasma cell disorders.
For additional images, visit the ASH Image Bank, a reference and teaching tool that is continually updated with new atlas and case study images. For more information, visit https://imagebank.hematology.org.
