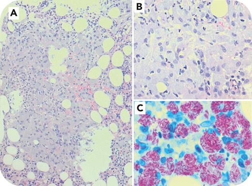
A 35-year-old South African woman, who was newly diagnosed with HIV after having started antiretroviral treatment 3 weeks prior, presented to a peripheral hospital with pancytopenia (hemoglobin, 5.2 g/dL; mean corpuscular volume, 111.1 fL; white blood cell count, 1730/μL; absolute neutrophil count, 1360/μL; and platelet count, 50,000/μL). On clinical examination at the time, she was noted to have no lymphadenopathy, hepatomegaly, or splenomegaly, and her chest radiograph was clear. The peripheral smear showed no features of hemolysis or morphology in keeping with a B12 or folate deficiency. A bone marrow trephine (panel A; hematoxylin and eosin stain; 10× objective; original magnification ×100) was performed, and she was transferred to a tertiary hospital.
The trephine revealed a diffuse infiltrate of large macrophages (panel B; hematoxylin and eosin stain; 50× objective; original magnification ×500) that, when stained with Ziehl-Neelsen stain (panel C; 100× objective; original magnification ×1000), were demonstrated to be laden with atypical mycobacterium bacilli. The image reflects immune reconstitution and then response to bone marrow infection with atypical mycobacterium bacilli. There are an impressive number of bacilli with a curved shape and longer form, characteristic of atypical, rather than typical, mycobacterium bacilli. At the tertiary hospital, she was initiated on tuberculosis (TB) treatment. A thorough clinical reexamination revealed scrofuloderma under 1 armpit; in addition, the TB lipoarabinomannan was also positive. This is a case of unmasking TB-immune reconstitution inflammatory syndrome.
For additional images, visit the ASH Image Bank, a reference and teaching tool that is continually updated with new atlas and case study images. For more information, visit https://imagebank.hematology.org.
