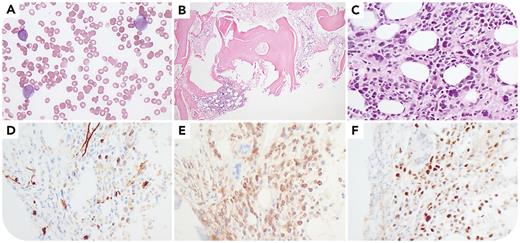
A 49-year-old woman with history of acute myeloid leukemia (AML) with NPM1 mutation after multiple rounds of chemotherapy was evaluated for minimal residual disease (MRD). The bone marrow aspirate smear revealed rare blasts (panel A; hematoxylin and eosin stain [H&E], 100× lens objective, original magnification ×1000), and the biopsy showed predominantly hypocellular marrow with small cellular aggregates (panel B; H&E, 10× lens objective; panel C; H&E, 40× lens objective). The cells in aggregates were negative for CD34 (panel D; 40× lens objective) and positive for CD117 (panel E; 40× lens objective). The c-MYC stain showed strong nuclear staining of atypical cells within the aggregates (panel F; 40× lens objective). The flow cytometry was inconclusive due to low event number, and NPM1 stain was not available. Consequent polymerase chain reaction–based assay for NPM1 mutation was positive, confirming residual AML.
AML with NPM1 mutation is known to be CD34−, and it could be challenging to evaluate for MRD, especially if flow cytometry and molecular studies are not available. Our case demonstrates the usefulness of c-MYC stain in such cases, although further validation, more studies, and additional data collection supporting this approach could be informative. It was previously recognized by one study that NPM1 is linked in activating of c-MYC oncogene and c-MYC immunohistochemistry could be positive in AML with NPM1 mutation in 27% of the cases [Leukemia and Lymphoma. 2019;60(1):37-48].
For additional images, visit the ASH Image Bank, a reference and teaching tool that is continually updated with new atlas and case study images. For more information, visit https://imagebank.hematology.org.
