Abstract
In the present report, we studied the role of the stromal-derived cytokine interleukin-7 (IL-7) in the IL-2–gene regulation in activated T lymphocytes. Production of IL-2 requires the formation of transcription factors involved in the IL-2 –gene regulation. T-cell receptor (TCR)/CD3 engagement results in the activation of nuclear factor of activated T cells (NFAT), activator protein-1 (AP-1), and nuclear factor κB (NFκB), whereas the CD28 responsive complex (CD28RC) is activated in response to the CD28 signal. Costimulation of phytohemagglutinin/anti-CD28 activated T lymphocytes with IL-7 induces a fivefold enhanced IL-2–mRNA accumulation and a 2.5-fold enhanced protein secretion. The IL-2–gene transcription rate is increased 3.4-fold, indicating that the effect of IL-7 is in part mediated at the transcriptional level. The molecular mechanisms underlying the IL-7 effect involve the upregulation of the DNA binding activity of NFAT (60%) and AP-1 (120%), without affecting the activities of NFκB and CD28RC, which was confirmed by transfection assays. We also show that the IL-7–induced enhancement of the AP-1–DNA binding activity is not cyclosporin A-sensitive. Since AP-1 is part of the NFAT complex, we conclude that the IL-7–signaling pathway is involved in the activation of the fos and jun proteins of which AP-1 consists.
THE EXPRESSION OF the interleukin-2 (IL-2) gene is primarily regulated at the transcriptional level. The transcription of the IL-2 gene is controlled by a 300-base pair (bp) region in front of the transcription initiation site.1 Within this promoter several binding sites for transcription factors have been identified that act as positive regulatory elements. Both ubiquitous and T-cell specific proteins have been implicated in the regulation of the IL-2–gene transcription (reviewed in ref. 2).3 The promoter includes two binding sites (proximal and distal) for nuclear factor of activated T cells (NFAT),1,4 a proximal- and distal-binding site for activator protein-1 (AP-1),5 a single-binding site for NFκB,6 a binding site for the CsA sensitive Oct-1/OAP40 complex,7,8 and the CD28 response element (CD28RE),9,10 which is a target for CD28RC (CD28 responsive complex) and for other transcription factors such as nuclear factor of mitogen-activated T cells (NF-MAT) and TxRE-binding factor (TxREF ) that are not necessarily induced by the CD28 signal.11 12
The T-cell specific transcription factor NFAT is a multiprotein complex consisting of NFAT1 and AP-1.13 The phosphoprotein NFAT1 is constitutively present in the cytoplasm of resting T cells. On TCR stimulation, NFAT1 becomes dephosphorylated directly by the Ca2+/calmodulin-dependent phosphatase calcineurin and translocates into the nucleus. The dephosphorylation by calcineurin is highly sensitive to cyclosporin A.14-16 In the nucleus, NFAT1 associates with AP-1 to form the functional transcription factor NFAT, which will then bind to the IL-2 promoter. AP-1, which is a heterodimer composed of fos and jun family members, can also bind to the IL-2 promoter on its own. The AP-1 activity is regulated both at the level of fos and jun gene transcription and by posttranslational modifications of the fos and jun proteins.17-20
Recently it has been shown that the stromal-derived cytokine IL-7 plays a prominent role in the T-cell development in the thymus.21,22 In addition it has been demonstrated that IL-7 enhances the expression of cytokine genes in activated T and natural killer (NK) cells.23,24 IL-7 stimulates cells through its interaction with a high-affinity receptor complex composed of the IL-7Rα and IL-2Rγ chains.25 The increased expression of Th1-cytokines induced by IL-7 seems in part to be regulated at the transcriptional level.26 However, limited data are available whether IL-7 also modulates the IL-2–gene expression, at which level IL-7 exerts its effects, and what signal transduction routes are involved in IL-7 signaling.
Here, we provide the first evidence that IL-7 upregulates the IL-2 expression in activated T cells through a significant increase of the IL-2–gene transcription rate by inducing enhanced DNA binding activities of transcription factors involved in the regulation of the IL-2 gene. Both AP-1 and NFAT, which also contains AP-1, show increased DNA binding on costimulation of T lymphocytes with IL-7. This effect was specific since the DNA binding activities of NFκB and CD28RC were not affected by IL-7. These data suggest that IL-7 acts on the signaling pathways activating the AP-1 proteins.
MATERIALS AND METHODS
T-lymphocyte isolation.Human peripheral blood cells were obtained from healthy volunteer platelet donors, and mononuclear cell suspensions were prepared by Ficoll-Hypaque (Lymphoprep; Nycomed, Oslo, Norway) density-gradient centrifugation. T lymphocytes were isolated by 2-aminoethylisothiouronium bromide-treated sheep red blood cell (SRBC) rosetting. The SRBC were lysed with 155 mmol/L NH4Cl, 10 mmol/L KHCO3 , 0.1 mmol/L EDTA, according to standard procedures. The remaining cell preparations contained more than 98% T lymphocytes as assessed by flow cytometric analysis after staining with an anti-CD2 monoclonal antibody (MoAb; Becton Dickinson, Mountain View, CA) and less than 1% CD14+ cells (Becton Dickinson). After isolation, T lymphocytes were kept overnight at 37°C in RPMI 1640 medium (BioWhittaker, Verviers, Belgium) containing 10% fetal calf serum (FCS; HyClone, Logan, UT) supplemented with 2 mmol/L L-glutamine, 100 U/mL penicillin, 100 μg/mL streptomycin, and 6 ng/mL colistin.
Cell culture.The human leukemic T-cell line Jurkat was cultured in RPMI 1640 medium containing 10% FCS supplemented with 2 mmol/L L-glutamine, 100 U/mL penicillin, 100 μg/mL streptomycin, and 6 ng/mL colistin.
Stimulation.Human T lymphocytes (5 × 106/mL) were incubated for various time periods with 2 μg/mL phytohemagglutinin (PHA; Sigma, St Louis, MO), or with PHA plus a MoAb against CD28 in a 5% hybridoma supernatant solution (a gift from Dr R. van Lier, Central Laboratory of the Netherlands Red Cross Blood Transfusion Service, Amsterdam, The Netherlands), or with PHA plus anti-CD28 plus recombinant human IL-7 (a gift from Dr S.C. Clark, Genetics Institute, Cambridge, MA) used at a dilution of 1 :1,000.27 Anti-CD3 (WT32; Division of Clinical Immunology, University of Groningen, The Netherlands) in combination with anti-CD28 in the presence or absence of IL-7, was also used as a 5% hybridoma supernatant solution. Cyclosporin A (CsA) was added 30 minutes before stimulation and used at a final concentration of 0.1 μg/mL.
Measurement of IL-2 and interferon-γ (IFN-γ) protein.Human T lymphocytes (1 × 106/mL) were stimulated with PHA or PHA in combination with anti-CD28 in the presence or absence of IL-7 for 12 and 24 hours. Costimulations of anti-CD3 with anti-CD28 in the presence or absence of IL-7 for 12 and 24 hours were also performed. Secreted IL-2 protein was quantified in cell-free supernatants using a human IL-2 enzyme-linked immunosorbent assay (ELISA) kit (R&D Systems, Minneapolis, MN) as recommended by the manufacturer. Secreted IFN-γ was measured using a human IFN-γ ELISA kit (Central Laboratory of the Netherlands Red Cross Blood Transfusion Service).
RNA preparation and Northern blot analysis.Total cellular RNA from human T lymphocytes stimulated with PHA or PHA in combination with anti-CD28 in the presence or absence of IL-7 for 3 and 6 hours, was isolated using the guanidium isothiocyanate/cesium chloride method.28 Fifteen microgram samples of total cellular RNA were size fractionated on 1.1% agarose gels with 2.2 mol/L formaldehyde and blotted onto nylon membranes (Qiabrane Nylon Plus; QiaGen, Chatsworth, CA).29 cDNA probes were labeled with [α-32P]dCTP (3,000 Ci/mmol, Amersham, Buckinghamshire, UK) by the random hexamer-priming method.30 The following cDNA probes were used: (1) the 0.8-kb PvuII insert of human IL-2 cDNA purified from the pGEM-T plasmid (a gift from Dr E.G.E. de Vries, Division of Medical Oncology, University of Groningen, The Netherlands), (2) the 0.6-kb EcoRI/HindIII insert of human IFN-γ cDNA purified from the pSP65 plasmid31 (a gift from Dr C.B. Wilson, University of Washington, Seattle, WA), and (3) the EcoRI-linearized pBR322 plasmid containing a 7.8-kb human 28S cDNA insert. Hybridization was performed at 65°C for 18 hours in 0.5 mol/L Na2HPO4 [pH 7.2], 1 mmol/L EDTA, 7% sodium dodecyl sulfate (SDS). Membranes were washed once in 2× sodium saline citrate (SSC), 0.1% SDS; once in 1× SSC, 0.1% SDS and finally in 0.3× SSC, 0.1% SDS for 30 minutes at 65°C. mRNA levels were quantified using a PhosphorImaging system (Molecular Dynamics, Sunnyvale, CA) and the ImageQuant software (Molecular Dynamics). mRNA levels were normalized with respect to the 28S signal.
Nuclear run-on transcription assay.Nuclei were isolated from T lymphocytes stimulated for 3 hours with PHA plus anti-CD28 in the presence or absence of IL-7. 108 T lymphocytes were pelleted at 500g for 5 minutes, washed twice with ice-cold phosphate-buffered saline (PBS), and suspended in 4 mL of lysis buffer (10 mmol/L Tris-HCl [pH 7.5], 3 mmol/L MgCl2 , 10 mmol/L NaCl, 0.5% Nonidet P-40 [Boehringer Mannheim, Mannheim, Germany]). After gentle vortexing, the suspension was incubated on ice for 5 minutes. Nuclei were pelleted at 500g for 5 minutes and resuspended in 100 μL glycerol buffer (50 mmol/L Tris-HCl [pH 8.0], 40% glycerol, 5 mmol/L MgCl2 , 0.1 mmol/L EDTA). One hundred microliter nuclei suspension was added to 80-μL transcription buffer (12.5 mmol/L Tris-HCl [pH 8.0], 6 mmol/L MgCl2 , 125 mmol/L KCl, 2 mmol/L DTT, 1 mmol/L ATP, 1 mmol/L CTP, 1 mmol/L GTP, 40 U RNAsin (Promega Corp, Madison, WI) and 12.5 μL [α-32P]UTP (3,000 Ci/mmol, Amersham), and incubated at 26°C for 20 minutes. Transcription was terminated by the addition of 200 μL stop buffer (10 mmol/L Tris-HCl [pH 7.4], 500 mmol/L NaCl, 50 mmol/L MgCl2 , 2 mmol/L CaCl2 ) plus 40 U DNase I and 40 μg yeast tRNA, and the solution was incubated at 37°C for 20 minutes. After proteinase K (750 U/mL) digestion in 1% SDS, nuclear RNA was isolated by phenol/chloroform extraction and two ethanol-precipitations. RNA was further purified by Sephadex G-50 chromatography (Boehringer Mannheim) according to the instructions of the manufacturer.
Five micrograms of the following ssDNAs were immobilized on nylon membranes (Qiabrane Nylon Plus; QiaGen): (1) Xba I-linearized pCAT3-enhancer plasmid (Promega; negative control); (2) AatII-linearized pGEM-T plasmid containing a 0.8-kb human IL-2 cDNA fragment and (3) EcoRI-linearized plasmid containing a 1.3-kb rat GAPDH cDNA fragment.32 Hybridization of labeled RNA to these membranes was performed at 65°C for 72 hours in 0.5 mol/L Na2HPO4 [pH 7.2], 1 mmol/L EDTA, 7% SDS. Membranes were washed once in 2× SSC, 0.1% SDS, once in 2× SSC, once in 2× SSC with 1 μg/mL RNase A and finally in 0.3× SSC, 0.1% SDS for 15 minutes at room temperature. Quantification of transcription rate levels was performed using a PhosphorImaging system and the ImageQuant software (Molecular Dynamics). Transcription rates were normalized with respect to the GAPDH signal.
Nuclear extract preparation.Nuclear extracts of stimulated T lymphocytes were prepared by a modification of the method described by J. Park et al.33 12 × 107 T lymphocytes were stimulated with PHA or PHA in combination with anti-CD28 in the presence or absence of IL-7 for 2 or 4 hours. In some experiments CsA was added 30 minutes before stimulation. Cells were obtained by centrifugation at 500g for 5 minutes, washed once with PBS, and resuspended to 2.5 × 109 cells/mL in buffer A (10 mmol/L HEPES [pH 7.9], 10 mmol/L KCl, 0.1 mmol/L EDTA, 0.1 mmol/L EGTA, 1 mmol/L DTT)34 supplemented with protease inhibitors (5 μg/mL leupeptin [Sigma], 5 μg/mL aprotinin [Sigma], 1 mmol/L phenylmethylsulfonyl fluoride [PMSF; Sigma]). After a 10-minute incubation on ice, cells were lysed by adding 10% Nonidet P-40 (Boehringer Mannheim) to a final concentration of 0.05%, and incubated for another 10 minutes on ice. The cell lysates were centrifuged at 300g for 10 minutes by 4°C. The nuclear pellets were resuspended in buffer C, a high salt buffer (20 mmol/L HEPES [pH 7.9], 400 mmol/L NaCl, 1 mmol/L EDTA, 1 mmol/L EGTA, 1 mmol/L DTT)34 supplemented with protease inhibitors (5 μg/mL leupeptin, 5 μg/mL aprotinin, 1 mmol/L PMSF ). The suspension was incubated on ice for 30 minutes with occasional shaking to extract the nuclear proteins and finally spun down in a microcentrifuge for 5 minutes. The supernatants containing the extracted nuclear proteins were divided in small aliquots and stored at −80°C. The protein concentration of the nuclear extracts was determined by the Bradford assay.35
Electrophoretic mobility shift assay.The sequences of the synthetic oligonucleotides containing the binding sequences of the human IL-2 promoter, used in the gel shift assays were as follows: NFAT, 5′-GGAGGAAAAACTGTTTCATACAGAAGGCGT-3′ (corresponding to −286/−257 of the human IL-2 promoter); AP-1, 5′-AAATTCCAAAGAGTCATCAGA-3′ (−159/−139); NFκB, 5′-AACAAAGAGGGATTTCACCTACAT-3′ (−212/−189); and CD28RE, 5′-gatcGTTTAAAGAAATTCCAAA-3′ (−167/−150).36-38
Fifty nanograms of HPLC-purified single-stranded oligonucleotides (EuroGentec, Seraing, Belgium) were end-labeled with T4 polynucleotide kinase (Promega Corp, Madison, WI) and [γ-32P]ATP (3000 Ci/mmol, Amersham), separated from non-incorporated radiolabel by Sephadex G50 chromatography, ethanol precipitated, dried and dissolved in 20 μL annealing buffer (10 mmol/L Tris-HCl [pH 7.5], 50 mmol/L NaCl, 10 mmol/L MgCl2 , 1 mmol/L EDTA, 1 mmol/L DTT) with a fourfold excess of the opposite strand. Annealing of the two strands was performed by heating the mixture for 2 minutes at 90°C and slow cooling to room temperature.
Ten micrograms of nuclear extract were incubated with 0.1 to 0.2 ng double-stranded labeled oligonucleotide in 15-μL binding buffer (20 mmol/L HEPES [pH 7.9], 60 mmol/L KCl, 0.06 mmol/L EDTA, 0.6 mmol/L DTT, 2 mmol/L spermidine, 10% glycerol) supplemented with 2 μg (NFAT, AP-1, and NFκB) or 5 μg poly(dI-dC) (CD28RE). The binding reaction was performed for 20 minutes at 26°C. In competition experiments, a 100-fold molar excess of unlabeled competitor oligonucleotide was preincubated with the nuclear extract for 10 minutes on ice before the addition of the labeled oligonucleotide. The samples were loaded onto a 4% nondenaturing polyacrylamide gel in 0.5× Tris-borate-EDTA, and run for 1 hour at 140 V. Quantification of binding protein was performed using a PhosphorImaging system and the ImageQuant software (Molecular Dynamics).
Plasmids.The Cla I/HindIII fragment of the p22.6CAT plasmid (a gift from Dr C.L. Verweij, Department of Rheumatology, Academic Hospital Leiden, Leiden, The Netherlands) containing three copies of the distal NFAT/IL-2 binding site (GGAGGAAAAACTGTTTCATACAGAAGGCGT) in front of the minimal IL-2 promoter,39 was subcloned in the Sma I site of the pCAT3-enhancer reporter plasmid (Promega) to construct the reporter plasmid pCAT3e-3 × NFAT/IL-2. The reporter plasmid pX3-CAT (referred to as pCAT-3 × AP-1/IL-2 in this report; also a gift from Dr C.L. Verweij) contains 3 copies of the distal AP-1 site in front of the minimal SV40 promoter. Both the empty pCAT3-enhancer plasmid and the pCAT3-control reporter plasmid (Promega) served as controls in the transfection assays.
Transfection.Resting primary T cells are refractory to conventional transfection methods. Subsequently it was necessary to use a prestimulation method.40 Purified human T lymphocytes were cultured in RPMI 1640 medium containing 10% FCS, 2 mmol/L L-glutamine, and antibiotics, supplemented with PHA at 1 μg/mL, and recombinant human IL-2 (Cetus, Emoryville, CA) at 100 U/mL. After 2 days of culture, the nonadherent cells were harvested, washed once with PBS, and resuspended in RPMI 1640 medium containing 10% FCS, 2 mmol/L L-glutamine, and antibiotics, supplemented with only recombinant human IL-2 at 100 U/mL. The T cells were incubated for 2 more days, washed with PBS, and used for transient transfection assays. 15 × 106 T lymphocytes were resuspended in 400 μL RPMI 1640 containing 10% FCS, 2 mmol/L L-glutamine, antibiotics, and 100 U/mL IL-2, and 20 μg (1 μg/μL) reporter plasmid DNA was added. After a 10- minute incubation on ice, cells were electroporated using a BioRad Gene Pulser (BioRad Laboratories, Richmond, CA) at 400 V, 960 μF. After an additional 10 minute incubation period on ice, cells were transferred to RPMI 1640 containing 10% FCS, 2 mmol/L L-glutamine, antibiotics, and 100 U/mL IL-2. One hour after electroporation, cells were divided into four groups and left unstimulated or stimulated with either IL-7 alone, PHA alone or PHA plus IL-7. After 24 hours, cells were harvested and resuspended in 150 μL 250 mmol/L Tris-HCl [pH 7.8]. Total cell extracts were prepared by 4 repeated freeze/thaw cycli.
Transfection of Jurkat cells was performed as described for the prestimulated T lymphocytes, except that no IL-2 was added to the medium and the electroporation was performed at 300 V, 960 μF.
CAT ELISA.CAT concentrations in total cell extracts were measured by the CAT ELISA kit (Boehringer Mannheim) as recommended by the manufacturer. The protein concentration of the cell extracts was determined by the Bradford assay,35 and results from the CAT ELISA were normalized by calculating the CAT concentration per μg protein in the total cell extract.
Statistical analysis.Statistical analyses were performed on the secretion and transfection data using the Student's t-test for paired observations. Statistical significance of the data was set at P < .05.
RESULTS
IL-7 enhances the IL-2–protein secretion by activated T lymphocytes.To determine whether IL-7 has an effect on the IL-2 secretion by activated human T lymphocytes, purified T cells were stimulated with PHA or PHA plus anti-CD28 in the presence or absence of IL-7. Cell free supernatants were harvested after 12 and 24 hours. As depicted in Figure 1A, unstimulated T lymphocytes secreted only very low levels of IL-2 protein, 10 ± 0.18 pg/mL (mean ± SEM; n = 4). T lymphocytes stimulated with PHA alone secreted 281 ± 87 pg/mL IL-2 (mean ± SEM; n = 4) after 24 hours of stimulation. Costimulation with PHA plus IL-7 increased the IL-2 secretion slightly to 520 ± 174 pg/mL (mean ± SEM; n = 4; P = .07). Stimulation with PHA and anti-CD28 resulted in a significant increase of the IL-2 secretion: 8,023 ± 1,312 pg/mL (mean ± SEM; n = 4; P = .008). The combined treatment of PHA plus anti-CD28 plus IL-7 resulted in an almost 2.5-fold increase of the IL-2 secretion to 19,955 ± 2,497 pg/mL (mean ± SEM; n = 4; P = .004). The observations after 12 hours of stimulation resembled the observations after 24 hours but at a smaller scale (data not shown).
IL-7 upregulates the IL-2 and IFN-γ secretion of activated human T lymphocytes. T cells were left unstimulated or stimulated with PHA or PHA plus anti-CD28 (aCD28) in the presence or absence of IL-7. Cell free supernatants were harvested after 12 and 24 hours and analyzed for secreted (A) IL-2 protein and (B) IFN-γ protein with ELISAs. The mean values for the IL-2 and IFN-γ secretion found in four independent experiments are shown.
IL-7 upregulates the IL-2 and IFN-γ secretion of activated human T lymphocytes. T cells were left unstimulated or stimulated with PHA or PHA plus anti-CD28 (aCD28) in the presence or absence of IL-7. Cell free supernatants were harvested after 12 and 24 hours and analyzed for secreted (A) IL-2 protein and (B) IFN-γ protein with ELISAs. The mean values for the IL-2 and IFN-γ secretion found in four independent experiments are shown.
In addition, the amount of secreted IFN-γ was measured in the supernatants, since it is known that IL-7 upregulates the IFN-γ expression in anti-CD3/anti-CD28 stimulated T lymphocytes.26 Unstimulated T lymphocytes did not secrete any detectable IFN-γ (Fig 1B). Stimulation with PHA resulted in an IFN-γ secretion of 699 ± 162 pg/mL (mean ± SEM; n = 4) after 24 hours of stimulation. IL-7 enhanced the secretion of IFN-γ to a level of 1,441 ± 210 pg/mL (mean ± SEM; n = 4; P = .011). T lymphocytes costimulated with PHA and anti-CD28 secreted 2,270 ± 513 pg/mL IFN-γ (mean ± SEM; n = 4; P = .033). Costimulation with PHA and anti-CD28 plus IL-7 resulted in an approximately twofold increase in the IFN-γ secretion: 4,977 ± 919 pg/mL (mean ± SEM; n = 4; P = .024).
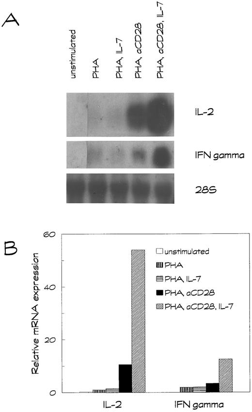
IL-7 increases the IL-2 mRNA accumulation in activated T lymphocytes.To examine whether the effects of IL-7 on the IL-2 mRNA accumulation in activated T lymphocytes corresponds with the data obtained at the protein level, total RNA was isolated from cells stimulated for 3 or 6 hours with PHA or PHA in combination with anti-CD28 in the presence or absence of IL-7. After 3 hours of activation hardly any IL-2 mRNA could be detected (data not shown). As shown in Fig 2A, after 6 hours of activation a faint expression of IL-2 transcript was observed in T lymphocytes stimulated with either PHA alone or PHA in the presence of IL-7. Costimulation with PHA plus anti-CD28 resulted in a significant accumulation of IL-2 mRNA. The addition of IL-7 resulted in a fivefold enhanced IL-2 mRNA expression (n = 4; Fig 2B).
IL-7 upregulates the IL-2 and IFN-γ mRNA accumulation in activated human T lymphocytes. T cells were left unstimulated or stimulated with PHA or PHA plus anti-CD28 (aCD28) in the presence or absence of IL-7. Total RNA was isolated after 6 hours of stimulation. (A) Northern hybridizations with IL-2, IFN-γ, and 28S cDNA probes were performed. (B) mRNA levels were quantified using a PhosphorImaging system, and IL-2 and IFN-γ mRNA levels were normalized with respect to the 28S signal.
IL-7 upregulates the IL-2 and IFN-γ mRNA accumulation in activated human T lymphocytes. T cells were left unstimulated or stimulated with PHA or PHA plus anti-CD28 (aCD28) in the presence or absence of IL-7. Total RNA was isolated after 6 hours of stimulation. (A) Northern hybridizations with IL-2, IFN-γ, and 28S cDNA probes were performed. (B) mRNA levels were quantified using a PhosphorImaging system, and IL-2 and IFN-γ mRNA levels were normalized with respect to the 28S signal.
Rehybridization with an IFN-γ cDNA probe showed that IFN-γ mRNA accumulated in a similar fashion as IL-2 mRNA, but in a much smaller degree (Fig 2A). IL-7 induced an almost fold increase (n = 4) in IFN-γ mRNA accumulation after 6 hours of stimulation compared with the combination of PHA and anti-CD28 alone (Fig 2B).
IL-7 increases the IL-2–gene transcription rate in activated T lymphocytes.To examine whether the effect of the IL-7 signal on the IL-2 gene expression is mediated at the transcriptional level, we performed a nuclear run-on transcription assay to measure the transcription rate of the IL-2 gene. Hardly any IL-2 mRNA was transcribed in T lymphocytes that were left unstimulated. The transcription of the IL-2 gene was induced by stimulation of the T lymphocytes with PHA and anti-CD28 (Fig 3A). The addition of IL-7 upregulated this IL-2–transcription rate with a factor 3.4 (n = 4; Fig 3B), indicating that IL-7 regulates the IL-2–gene expression at least in part at the transcriptional level.
IL-7 increases the IL-2–gene transcription rate in activated human T lymphocytes. Nuclei were isolated from unstimulated T cells or T cells stimulated for 3 hours with PHA plus anti-CD28 (aCD28) in the presence or absence of IL-7, and the transcription was allowed to proceed for another 20 minutes in the presence of 32P-labeled UTP. (A) Nuclear RNA was isolated and hybridized to a membrane containing linearized cDNAs for IL-2 and GAPDH. The pCAT3-enhancer plasmid was included as a negative control. (B) Transcription rates were quantified using a PhosphorImaging system, and IL-2 transcription rates were normalized with respect to the GAPDH signal, as described in the Materials and Methods section. The results are expressed as relative transcription rate compared to the PHA/anti-CD28–induced IL-2 transcription rate, which was set at 1.
IL-7 increases the IL-2–gene transcription rate in activated human T lymphocytes. Nuclei were isolated from unstimulated T cells or T cells stimulated for 3 hours with PHA plus anti-CD28 (aCD28) in the presence or absence of IL-7, and the transcription was allowed to proceed for another 20 minutes in the presence of 32P-labeled UTP. (A) Nuclear RNA was isolated and hybridized to a membrane containing linearized cDNAs for IL-2 and GAPDH. The pCAT3-enhancer plasmid was included as a negative control. (B) Transcription rates were quantified using a PhosphorImaging system, and IL-2 transcription rates were normalized with respect to the GAPDH signal, as described in the Materials and Methods section. The results are expressed as relative transcription rate compared to the PHA/anti-CD28–induced IL-2 transcription rate, which was set at 1.
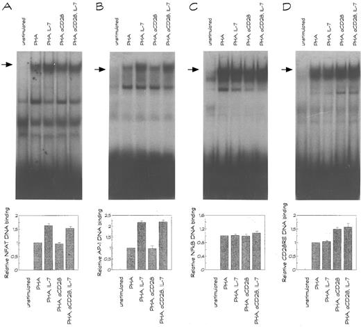
IL-7 enhances the binding activities of NFAT and AP-1 to the IL-2 promoter, but not the binding activities of NFκB or CD28RC.To study the molecular basis of the IL-7 induced increase of the IL-2 gene transcription rate, we analysed the binding activities of NFAT, AP-1, NFκB, and CD28RC to their binding sites in the human IL-2 promoter. Nuclear extracts were prepared from unstimulated T lymphocytes or T lymphocytes stimulated for 2 hours with PHA or PHA in combination with anti-CD28 in the presence or absence of IL-7. As shown in Fig 4, no NFAT, AP-1, NFκB, and CD28RC DNA binding activity was observed in unstimulated T lymphocytes, but was inducible upon stimulation. T lymphocytes stimulated with PHA alone showed DNA binding activity for all four nuclear factors. The NFAT, AP-1, NFκB, and CD28RC complexes bound specifically since they were competed for by a 100-fold molar excess of unlabeled double-stranded oligonucleotide containing the same respective sites, and not by negative controls (data not shown). Costimulation of PHA plus IL-7 resulted in enhanced DNA binding activities for NFAT (Fig 4A) and AP-1 (Fig 4B). The NFAT DNA binding acitivity was enhanced by 60 ± 9% (mean ± SEM; n = 4) upon costimulation of PHA with IL-7 compared to stimulation with PHA alone. The DNA binding activity of AP-1 increased with almost 120 ± 2% (mean ± SEM; n = 4). The addition of IL-7 had no effect on the DNA binding activities of NFκB (Fig 4C) and CD28RC (Fig 4D). In T lymphocytes stimulated with PHA plus anti-CD28 only the CD28RC DNA binding was enhanced compared with T lymphocytes stimulated with PHA alone (Fig 4D). Again, costimulation with IL-7 resulted in enhanced NFAT and AP-1 DNA binding activities (Fig 4A and 4B), whereas no effect was observed on the NFκB and CD28RC DNA binding. The NFAT DNA binding activity was increased with 60 ± 8% (mean ± SEM; n = 4), and the AP-1 DNA binding was increased with 130 ± 10% (mean ± SEM; n = 4). Stimulation of 4 h with IL-7 resulted in a persisting enhancement in NFAT and AP-1 DNA binding activities (data not shown).
DNA binding activities of NFAT and AP-1, but not NFκB and CD28RC, are enhanced by IL-7 in activated human T lymphocytes. Nuclear extracts were prepared from unstimulated T cells and T cells stimulated for 2 hours with PHA or PHA plus anti-CD28 (aCD28) in the presence or absence of IL-7. EMSAs were performed with probes comprising (A) the distal NFAT site, (B) the proximal AP-1 site, (C) the NFκB site, and (D) the CD28 response element in the human IL-2 promoter. DNA binding activities were quantified using a PhosphorImaging system. The lower graphs show the mean ± SEM found for the DNA binding activities of NFAT, AP-1, NFκB, and CD28RE in four independent experiments. The results are expressed as relative DNA binding compared to the PHA-induced DNA binding, which was set at 1.
DNA binding activities of NFAT and AP-1, but not NFκB and CD28RC, are enhanced by IL-7 in activated human T lymphocytes. Nuclear extracts were prepared from unstimulated T cells and T cells stimulated for 2 hours with PHA or PHA plus anti-CD28 (aCD28) in the presence or absence of IL-7. EMSAs were performed with probes comprising (A) the distal NFAT site, (B) the proximal AP-1 site, (C) the NFκB site, and (D) the CD28 response element in the human IL-2 promoter. DNA binding activities were quantified using a PhosphorImaging system. The lower graphs show the mean ± SEM found for the DNA binding activities of NFAT, AP-1, NFκB, and CD28RE in four independent experiments. The results are expressed as relative DNA binding compared to the PHA-induced DNA binding, which was set at 1.
IL-7 enhances the transcriptional activities of both NFAT and AP-1.To examine whether the IL-7 induced enhanced NFAT and AP-1 DNA binding activities could account for the observed enhanced transcriptional activity of the IL-2 promoter, transient transfection experiments were performed. To this end, we used the CAT reporter plasmids pCAT3e-3 × NFAT/IL-2, in which the chloramphenicol acetyl transferase gene is driven by three copies of the distal NFAT binding site of the human IL-2 promoter linked to the minimal IL-2 promoter, and pCAT-3 × AP-1/IL-2, in which the CAT gene is driven by three copies of the AP-1 site of the IL-2 promoter linked to a minimal SV40 promoter. Since resting primary T lymphocytes are refractory to conventional transfection methods, it was necessary to use a prestimulation method as described by J.-H. Park et al.40 Purified T lymphocytes were first cultured with PHA plus IL-2 for 48 hours, washed, and incubated for another 48 hours in the presence of IL-2 alone. The prestimulated T lymphocytes were then transfected with either pCAT3e-3 × NFAT/IL-2, pCAT-3 × AP-1/IL-2, or the empty pCAT3-enhancer plasmid as a negative control. No CAT protein could be detected in cells transfected with the empty pCAT3-enhancer plasmid. As depicted in Fig 5, no CAT expression was detected in transfected T cells stimulated with IL-7 alone. Stimulation with PHA induced CAT expression in T cells that were transfected with either pCAT3e-3 × NFAT/IL-2 or pCAT-3 × AP-1/IL-2. The CAT expression driven by the three NFAT binding sites was increased by 44 ± 7% (mean ± SEM; n = 6; P = .002) by the addition of IL-7 (Fig 5A). Similar results were obtained when Jurkat cells were transfected with pCAT3e-3 × NFAT/IL-2. The CAT expression in Jurkat cells was increased by 32 ± 5% (mean ± SEM; n = 3; P = .021) in the presence of IL-7 compared with stimulation with PHA alone (Fig 5A). The effect of costimulation with IL-7 on the AP-1 driven CAT expression in transfected T cells was even more pronounced: the CAT expression was increased with 79 ± 4% (mean ± SEM; n = 3; P = .002; Fig 5B). Thus, the addition of IL-7 resulted in enhanced transcriptional activities of NFAT and AP-1. Together with the results of the EMSA experiments which showed that the NFAT and AP-1 DNA binding activities were enhanced by IL-7 (Fig 4A and 4B), these results suggest that IL-7 increases the IL-2 transcription (Fig 2A) by enhancing the DNA binding and transcriptional activities of AP-1 and NFAT.
IL-7 enhances the transcriptional activities of NFAT and AP-1. Human T lymphocytes, prestimulated as described in the Materials and Methods section, and the T-leukemia Jurkat cell line were transfected with 20 μg of (A) pCAT3e-3 × NFAT/IL-2, a CAT reporter construct under the control of three copies of the distal NFAT site from the human IL-2 promoter, or (B) pCAT-3 × AP-1/IL-2, a CAT reporter construct driven by three copies of the AP-1 site from the IL-2 promoter. Transfected cells were left alone for 1 hour, divided in four groups and subsequently left unstimulated or stimulated with IL-7 alone, PHA alone or PHA plus IL-7 for 24 hours. CAT expression was measured as described in Materials and Methods. The results are expressed as the relative CAT expression compared to the PHA-induced CAT expression, which was set at 1. The IL-7–induced CAT expression in Jurkat cells was not determined (ND). The mean found for the relative CAT expression in three to six independent experiments is shown.
IL-7 enhances the transcriptional activities of NFAT and AP-1. Human T lymphocytes, prestimulated as described in the Materials and Methods section, and the T-leukemia Jurkat cell line were transfected with 20 μg of (A) pCAT3e-3 × NFAT/IL-2, a CAT reporter construct under the control of three copies of the distal NFAT site from the human IL-2 promoter, or (B) pCAT-3 × AP-1/IL-2, a CAT reporter construct driven by three copies of the AP-1 site from the IL-2 promoter. Transfected cells were left alone for 1 hour, divided in four groups and subsequently left unstimulated or stimulated with IL-7 alone, PHA alone or PHA plus IL-7 for 24 hours. CAT expression was measured as described in Materials and Methods. The results are expressed as the relative CAT expression compared to the PHA-induced CAT expression, which was set at 1. The IL-7–induced CAT expression in Jurkat cells was not determined (ND). The mean found for the relative CAT expression in three to six independent experiments is shown.
Cyclosporin A (CsA) has no effect on the increased binding of AP-1 induced by IL-7, while partly inhibiting the NFAT binding.CsA is an immuno-suppressive drug that acts by inhibiting the phosphatase activity of calcineurin. The cytoplasmic component of NFAT, NFAT1 needs to be dephosphorylated by calcineurin before it can translocate into the nucleus, and form a DNA-binding complex with AP-1. Subsequently, CsA treatment of activated T cells will partly inhibit the IL-2 expression.15,16,41 42 Since IL-7 enhances both the AP-1 and NFAT DNA binding to the IL-2 promoter, we were interested whether CsA could block these IL-7–induced enhancements. To address this question, nuclear extracts were prepared from T lymphocytes stimulated for 2 hours with PHA plus anti-CD28 in the presence or absence of IL-7, with or without the addition of CsA. The nuclear extracts were analyzed for DNA binding factors by electrophoretic mobility shift assay (EMSA). At the same time, T lymphocytes were stimulated for 24 hours, and the supernatants were analyzed for secreted IL-2. As shown in Fig 6A, the PHA/anti-CD28 induced DNA binding of NFAT and AP-1 was again increased with, respectively, 70 ± 11% (mean ± SEM; n = 4) and 110 ± 9% (mean ± SEM; n = 4) by IL-7. The addition of CsA partly inhibited the DNA binding of NFAT, both in the presence and absence of IL-7; only a basal NFAT DNA binding activity could be detected in the presence of CsA. This result is reflected at the protein level. In the presence of CsA, the IL-2 secretion is reduced to a basal expression level: PHA/anti-CD28 activated T lymphocytes secreted 12,358 ± 1,094 pg/mL versus 6,881 ± 737 pg/mL IL-2 (mean ± SEM; n = 4) in the presence of CsA, and PHA/anti-CD28 plus IL-7–activated T lymphocytes secreted 22,955 ± 364 pg/mL versus 9,016 ± 318 pg/mL IL-2 (mean ± SEM; n = 4) in the presence of CsA (Fig 6B). The IL-7 induced enhancement of the AP-1 DNA binding activity was not affected by CsA (Fig 6A). The addition of CsA had also no effect on the NFκB and CD28RC DNA binding activities (data not shown). These results show that the enhanced AP-1 DNA binding activity induced by IL-7 is not mediated through the Ca2+- and calmodulin-dependent signal which activates NFAT1.
The enhanced DNA binding activity of AP-1 induced by IL-7 in activated human T lymphocytes is CsA-resistant, while the NFAT DNA binding activity is CsA-sensitive. (A) Nuclear extracts were prepared from T cells stimulated for 2 hours with PHA plus anti-CD28 (aCD28) in the presence or absence of IL-7. CsA was added 30 minutes before stimulation. EMSAs were performed as described in Fig 3. (B) At the same time, cells were stimulated for 24 hours for IL-2–secretion measurements. The mean for the IL-2 secretion found in four independent experiments is shown.
The enhanced DNA binding activity of AP-1 induced by IL-7 in activated human T lymphocytes is CsA-resistant, while the NFAT DNA binding activity is CsA-sensitive. (A) Nuclear extracts were prepared from T cells stimulated for 2 hours with PHA plus anti-CD28 (aCD28) in the presence or absence of IL-7. CsA was added 30 minutes before stimulation. EMSAs were performed as described in Fig 3. (B) At the same time, cells were stimulated for 24 hours for IL-2–secretion measurements. The mean for the IL-2 secretion found in four independent experiments is shown.
DISCUSSION
In this study, we have examined the involvement of the stromal-derived cytokine IL-7 in the regulation of the IL-2–gene expression in activated human T lymphocytes. The expression of the IL-2 gene is tightly regulated at the transcriptional level through a 300-bp promoter containing several binding sites for both ubiquitous and T-cell specific transcription factors. We demonstrate that IL-7 enhances the expression of IL-2 at the mRNA and protein levels most pronounced in PHA plus anti-CD28 activated T lymphocytes. The accumulation of IL-2 mRNA in PHA/anti-CD28 activated T lymphocytes after 6 hours of stimulation is about fivefold increased in the presence of IL-7. Previously it has been reported that the expression of another Th1-cytokine, IFN-γ is also enhanced by the addition of IL-7.26 Indeed, we observe a fourfold upregulation of the IFN-γ mRNA expression by PHA/anti-CD28 stimulated T lymphocytes in the presence of IL-7. The effect that IL-7 exerts on the IL-2–gene expression is in part mediated at the transcriptional level. The addition of IL-7 leads to a 3.4-fold upregulation of the IL-2–gene transcription rate compared with the transcription rate induced in T lymphocytes stimulated with PHA plus anti-CD28. A similar effect of IL-7 on the IFN-γ transcription rate has previously been reported: the IFN-γ transcription rate in anti-CD3/anti-CD28–stimulated T lymphocytes was increased with a factor 2 in the presence of IL-7.26 The enhanced accumulation of IL-2 and IFN-γ mRNA in PHA/anti-CD28 and PHA/anti-CD28 plus IL-7–stimulated T lymphocytes is also in part mediated at the post-transcriptional level. It has been reported that signaling via CD28 results in the stabilization of IL-2 and IFN-γ mRNA.26,43 In addition it has been shown that IL-7 stabilizes the mRNAs of IL-4, IFN-γ, IL-3, and granulocyte macrophage colony-stimulating factor (GM-CSF ).26 44 The observation that IL-7 has limited effects on the IL-2–mRNA accumulation in PHA–stimulated T lymphocytes, while stimulation with PHA plus anti-CD28 results in a significant IL-2–mRNA expression, suggests that IL-7 is unable to substitute the requirement for CD28 stimulation where the IL-2 gene is concerned. These data indicate that the downstream targets for the CD28 and IL-7–signaling pathways are different.
The electrophoretic mobility shift assays show that IL-7 exerts its effects on the regulation of the IL-2–gene expression through the transcription factors NFAT and AP-1. The addition of IL-7 enhances the DNA binding activities of NFAT and AP-1, in both PHA and PHA plus anti-CD28 activated T lymphocytes. The NFAT DNA binding activity is enhanced with a factor 1.6, while the AP-1 DNA binding activity is more than twofold enhanced. The effects of IL-7 are specific since the DNA binding activities of CD28RC and NFκB are not affected by the addition of IL-7. However, the enhanced binding of NFAT and AP-1 to the IL-2 promoter induced by IL-7 in PHA/IL-7–stimulated T lymphocytes has limited effects at mRNA and protein level. Coactivation with anti-CD28 is required for a significant increase in the IL-2–mRNA accumulation and protein secretion.
In T lymphocytes stimulated with PHA alone or PHA plus IL-7, a DNA binding activity to the CD28 response element (CD28RE) is observed. Several reports have presented evidence that binding to CD28RE might occur in response to TCR signals.45,46 Recently a 35-kD inducible protein was identified and called NF-MAT.11 This factor is most likely responsible for the observed binding to the CD28RE. After costimulation with anti-CD28, the CD28 signal induces the binding of the CD28 responsive complex (CD28RC) to the CD28RE, which initiates the IL-2 production by the activated T lymphocytes. This result is consistent with the observations that T lymphocytes need the costimulatory CD28 signal to produce IL-2, and suggests that the increase in DNA binding to CD28RE is most relevant for the ongoing transactivation.10 47-49
The results obtained with the mobility shift assays, indicating that IL-7 affects the regulation of the IL-2 gene through the DNA binding activities of NFAT and AP-1, could be confirmed by transfection studies.
Since AP-1 forms a part of the NFAT complex that binds to the human IL-2 promoter,13 the results strongly suggest that the IL-7 induced NFAT DNA binding activity is regulated through the AP-1 component of the NFAT complex. This implicates that the IL-7–signaling pathway leads to the activation of the AP-1 proteins fos and jun.50 Only limited data are available about the signaling pathways of IL-7. JAK1, JAK3, and STAT5 have been demonstrated to be involved in IL-7 signaling and so have the protein tyrosine kinases p56lck and p59fyn, and PI 3-kinase.51-56 The activation of MAPK by IL-7 has been reported once.56 The signal transduction pathways leading to the activation of fos and jun proteins are better known. The kinase p21ras (Ras) plays a central role in the activation of the AP-1 proteins through the induction of at least two kinase cascades, which are both critical to NFAT activation and T-cell activation.57-59 Firstly, Ras activates the Raf-1/MEK/ERK (extracellular signal regulated kinase) cascade, resulting in the transcriptional activation of the c-fos promoter. The production of c-fos contributes directly to the induction of the DNA binding activity of AP-1, since fos/jun heterodimers are much more efficient in binding to DNA than jun/jun homodimers.60 The second pathway induced by Ras involves the MEKK/SEK/JNK (c-jun NH2 -terminal kinase) cascade which results both in the transcriptional activation of the c-jun promoter as also in the stimulation of the transcriptional activity of c-jun.17,18,61 The IL-7 induced signaling pathway can activate either one of the signaling proteins involved in the ERK and JNK pathways. We speculate that Raf-1 is not a target for the IL-7 signal, since Raf-1 is involved in the activation of NFκB/Rel proteins. Activated Raf-1 induces the degradation of IκB proteins which sequester NFκB proteins in the cytoplasm.62 The activation of Raf-1 by IL-7 either direct or via Ras, would subsequently result in an upregulation of the DNA binding activity of NFκB. Our results show that the NFκB DNA binding activity is not affected by IL-7. However, this does not exclude the possibility that proteins downstream of Raf-1 are involved in the IL-7–signaling pathway. Further experiments are necessary to gain insight in which signaling proteins are involved in the IL-7–induced activation of fos and jun proteins.
The immunosuppressive drug CsA does not block the IL-7 induced, enhanced DNA binding of AP-1, indicating that the IL-7–signaling pathway is not a CsA-sensitive pathway. This is consistent with a role for the ERK pathway in the signal transduction route of IL-7, since this pathway is not inhibited by CsA.63 Activation of JNK has been shown to be partially sensitive to CsA.63 Some jun family members, distinct from AP-1 activity, are activated by a calcium-regulated, CsA-sensitive signaling pathway.8 IL-7 seems not to use this pathway to activate jun proteins.
IL-7 might also regulate the expression of c-fos through activation of a JAK/STAT pathway. Recently a role for STAT5 has been proposed in the transcriptional activation of the c-fos promoter. Evidence was presented showing that both Ras-mediated and STAT5 signals are necessary for the full expression of c-fos.64 Since IL-7 has been shown to induce the activation of JAK3 and STAT5,31 51 it seems possible that IL-7 upregulates the c-fos expression through activation of STAT5.
Thus, we conclude that IL-7 upregulates the IL-2–gene expression by enhancing the DNA binding activities of both NFAT and AP-1 to the IL-2 promoter. We speculate that the IL-7–signaling pathways cross-talk with other signaling pathways that activate the fos and jun proteins, since both proteins are part of the NFAT and AP-1–transcription factors.
ACKNOWLEDGMENT
We thank Dr C.L. Verweij for providing the p22.6CAT and pX3-CAT plasmids, Dr E.G.E. de Vries for providing the IL-2 cDNA probe, and Dr C.B. Wilson for the IFN-γ cDNA probe. We also thank Dr S.C. Clark for the supply of rhIL-7. We are grateful to M.T. Esselink for performing some of the Northern hybridizations.
Address reprint request to Edo Vellenga, MD, Division of Hematology, University of Groningen, Hanzeplein 1, 9713 GZ Groningen, The Netherlands.





