Abstract
Without a prior history of hemorrhagic disease, a 62-year-old man suffered recurrent episodes of bleeding. Solubility of the patient’s clot in 5 mol/L urea indicated a problem with fibrin stabilization. The transamidase activity potential of factor XIII, measured by the incorporation of radioactive putrescine into N,N-dimethylcasein as test substrate, was 62% of control, close to the normal range of values. Examination of the patient’s clot from recalcified plasma by sodium dodecyl sulfate-polyacrylamide gel electrophoresis showed that essentially none of the chains and only about two thirds of the γ chains of fibrin became cross-linked under conditions where both were fully cross-linked in the controls. An antibody to factor XIII was isolated which, although recognizing the recombinant rA2subunits, as well as the virgin A2B2 plasma ensemble, showed a 100-fold greater affinity for the thrombin-activated rA2′ and A2′B2 forms of the zymogen, suggesting that the latter would be its main target during coagulation. Furthermore, the patient’s IgG has an ability, never seen before, for inducing an enzymatically active configuration in the thrombin-activated zymogen in the absence of Ca2+.
THE TERM FIBRIN stabilization describes the transition of a urea-soluble fibrin clot into a urea-resistant structure.1-4 The former is produced in mixtures of thrombin with purified fibrinogen or plasma anticoagulated by a Ca2+-chelator:
Transition to a urea-insoluble clot requires the presence of fibrin stabilizing factor (factor XIII), the precursor of the transamidating enzyme (XIIIa) responsible for the cross-linking of fibrin molecules so that they can no longer be dispersed in 5 mol/L urea. Activation of the factor XIII zymogen (A2B2) requires both thrombin and Ca2+:5-7
The dissociated A2* species is the factor XIIIa enzyme involved in fibrin stabilization or cross-linking (xl):
Factor XIIIa reacts in an ordered sequence with fibrin, at a rapid rate with sites in the γ chains, and more slowly with those in the α chains8; the β chains of fibrin do not contribute directly to cross-linking.9
Schemes 1 through 3 represent only the mere outlines of a complex biological system and do not show the unique orchestration of regulatory controls6,7,10 11 necessary to ensure clot stabilization within the normally allowed time frame after injury.
Cross-linking of both the γ and the α chains of fibrin are needed for generating a structure with the firmness required for a hemostatic plug. Reaction of factor XIIIa with γ chains causes a linear end-to-end ligation of fibrin molecules,12-14whereas α chain cross-linking is thought to stiffen the fibrils cross-wise. Although few in number, generating 4 to 6 mol of Nε(γ-glutamyl)lysine bridges per mole of fibrin causes a five-fold increase in the viscoelastic modulus (G′) of the clot.15 A urea-soluble thrombus is also more susceptible to plasmin digestion than its urea-insoluble counterpart.16The enzymatic cross-linking of α2 plasmin inhibitor to the α chains of some fibrin molecules is thought to provide protection against lysis.17 18
The search for disorders of fibrin stabilization represents an interesting chapter in the study of blood coagulation because testing modalities for identifying and classifying various defects in the operation of the system were developed well before its relevance to bleeding conditions became evident. These potentially fatal hemorrhagic diseases arise if no factor XIIIa activity is generated on the pathway of coagulation or if the enzyme is unable to cross-link the clot network within the physiologically permissible time frame. Characteristically, clotting and bleeding times of the patients are in the normal range, attesting that immediate hemostasis, which is a measure of the rate of aggregation of fibrin molecules: nfibrin ⇌ (fibrin)n, proceeds at a regular rate. Delayed bleeding (oozing) occurs because the hemostatic plug fails on account of its mechanical weakness and easy lysability. The disorders are usually diagnosed by the solubility of the patient’s clot in 5 mol/L urea,1,2 or in 1% monochloroacetic acid,19 solvents in which a normal plasma clot cannot be dispersed. However, a positive finding with this test covers a variety of molecular disorders of different etiologies.
Absence of a functional FXIII zymogen in the plasma is responsible for most of these diseases. The autosomal recessive condition occurs with an estimated frequency of 1 in 5 million, with about 300 known cases worldwide in diverse racial and ethnic groups.20-22 On account of transcriptional or folding problems, most are due to the lack of synthesis of A subunits, but there are cases also with the absence of the carrier B subunits without which the A subunits cannot survive in the circulation.23-25
The present case belongs to a different class of the disorders of fibrin stabilization in which an acquired inhibitor interferes with one or more of the biochemical reactions involved in the physiological pathway pertaining either to the activation of the factor XIII zymogen (scheme 2) or to fibrin stabilization (scheme 3). Acquired inhibitors, mostly autoimmune antibodies,26 may arise against any of the molecular species shown in schemes 2 and 3. According to their modes of action, three major types can be distinguished: the type I inhibitor prevents activation of the A2B2, factor XIII ensemble to A2*; the type II inhibitor interferes with the transamidating function of the activated A2*; and the type III inhibitor is directed against the fibrin substrate itself, blocking the reactivities of the cross-linking sites for access to the A2*, factor XIIIa enzyme. This report describes a patient who came to our attention after suffering a massive hematoma at age 62. Laboratory tests showed the presence of a circulating antibody with partial characteristics of the type I and II inhibitors, but with a target specificity not seen in previous literature reports.26 An abstract of this work was published earlier.27
CASE HISTORY
This man, born in 1927, had a coronary angiogram to evaluate angina in 1989. Excessive hemorrhage occurred from the femoral artery puncture, necessitating suturing of the vessel. In April 1991 he developed low back pain. After spinal manipulation, a huge ecchymosis covered his back and flanks, and hematologic evaluation was advised. He was noted to be anemic and was treated with transfusions of packed red blood cells and epsilon aminocaproic acid, and the hematoma subsided. Three months later another hematoma appeared on his left forearm; this time there was no history of trauma. Hematuria also occurred, but cystoscopy showed no obvious cause.
Past medical history showed several prior surgical procedures including appendectomy, thyroidectomy, and coronary artery bypass grafting at age 53; none of these was associated with excessive bleeding. His medications included thyroid, propranolol, lasix, potassium, and atarax. Aspirin had been discontinued after development of the back bleeding. There was no family history of a hemorrhagic disorder.
On physical examination, a subconjunctival hemorrhage was noted in the right eye, and large areas of skin discoloration demarcating the previous hematomas were observed on the back and forearm. There were a few fading ecchymoses and petechiae at sites of constriction from the belt and hose. There was no lymphadenopathy or hepatosplenomegaly.
Extensive coagulation studies, including a bleeding time, partial thromboplastin time, prothrombin time, thrombin time, fibrinogen, and clotting factors VII, VIII, IX, XI, and XII, were all normal.
The patient was treated with prednisone in a dose of 20 mg daily for 4 weeks, and 20 mg every other day for an additional 4 weeks, and then the drug was discontinued. However, in December, 1991 he experienced persistent oozing from a lesion on his cheek, and subsequently hematomas on the leg and forearm. Minor bleeding episodes continued over the next 2 years. In March 1993, he presented with unstable angina. A trial of oral cyclophosphamide, 150 mg daily, was given before coronary angioplasty. Nevertheless, he developed a large hematoma at the site of femoral artery catheter insertion, which slowly resolved over a period of several weeks. In January, 1995 unstable angina recurred; coronary angiography was again associated with a groin hematoma. In March, 1995, coronary artery bypass grafting was performed; hemostasis was secured with the use of a factor XIII concentrate, as we have previously described.28 Since his operation he has continued to have minor bleeding, most recently an extensive ecchymosis of his right upper arm after a venepuncture in May 1997.
MATERIALS AND METHODS
Blood was collected into 3.8% citrate with a ratio of 9:1. Platelet-poor plasma was prepared by centrifuging at 1,360g for 20 minutes. Serum was separated by centrifugation (1,360g for 20 minutes) from blood clotted in glass tubes at room temperature for 2 hours.
IgG was purified from serum on a ZetaChrom 60 D1 amine disk (AMF Laboratory Products, Meriden, CT) as previously described29or on a Protein A-Sepharose 4B column (Pharmacia, Piscataway, NJ). In the latter procedure, normal or patient serum (4 mL) was diluted with 9 vol phosphate-buffered saline (PBS) (10 mmol/L sodium phosphate, 154 mmol/L NaCl, pH 7.4) and passed through the Protein A column (1 × 6.5 cm) at approximately 1 mL/min at room temperature. The column was washed with a minimum of 200 mL of PBS, the IgG eluted with 0.1 mol/L glycine-HCl, pH 2.5, fractions with pH <5.5 were pooled (approximately 4 mL) and neutralized to pH 7 to 7.4 with 1 N NaOH. After dialysis against 2 × 4 L PBS, the IgG was concentrated using a Centricon 30 microconcentrator (Amicon, Danvers, MA). Protein concentration was determined by absorbance at 280 nm (E1cm1% = 13.5).
Fibrinogen (plasminogen-free; American Diagnostica, Greenwich, CT) was dissolved in 50 mmol/L Tris-HCl, pH 7.5, 1 mmol/L EDTA, 150 mmol/L NaCl, dialyzed at 4°C overnight against the same buffer, and stored at −20°C. The protein concentration was determined by absorbance at 280 nm (E1cm1% = 15.1). Human α-thrombin (a gift from J.W. Fenton III, New York State Department of Health, Albany) was stored at −70°C in 0.75 mol/L NaCl. Bovine thrombin (Parke-Davis, Ann Arbor, MI) was dissolved in 25 mmol/L Tris-HCl, pH 7.5, 25% (vol/vol) glycerol to 500 U/mL and stored at −70°C. Thromstop (American Diagnostica) was dissolved in 50 mmol/L Tris-HCl, pH 7.5 to 0.2 mmol/L and stored at −20°C. Trasylol (10,000 U/mL; FBA Pharmaceuticals, West Haven, CT) was diluted as needed into 50 mmol/L Tris-HCl, pH 7.5, 100 mmol/L NaCl. N,N-dimethylcasein was purchased from Sigma, St Louis, MO or prepared from Hammersten casein (United States Biochemical Corp, Cleveland, OH) using the procedure of Lin et al30; it was dissolved in 50 mmol/L Tris-HCl, pH 7.5 and stored at −20°C.
Human factor XIII was purified from outdated human CPDA-1 plasma31 and stored at 4°C in 50 mmol/L Tris-HCl, pH 7.5, 1 mmol/L EDTA, 10 U/mL Trasylol. Protein concentration was determined by absorbance at 280 nm (E1cm1% = 13.8). The B2 subunits of factor XIII were isolated from human plasma according to Lorand et al.31 Protein concentration32 is expressed in terms of a bovine serum albumin standard (Pierce Chemical Co, Rockford, IL). The recombinant factor XIII A subunit (rA2; a gift from Dr P. Bishop, ZymoGenetics, Seattle, WA)33 was stored at 4°C in 75 mmol/L Tris-HCl, 1 mmol/L glycine, 0.5 mmol/L EDTA and 0.2% sucrose, pH 7.5. Protein concentration was determined by absorbance at 280 nm (E1cm1% = 14.9).
Functional assay for factor XIIIa generation.
The patient’s plasma was tested for formation of the intrinsic transamidase upon treatment with thrombin and Ca2+, and enzyme activity was measured by the incorporation of14C-putrescine into N,N-dimethylcasein using a filter paper assay.34 Patient or normal plasma (18 μL) was mixed with 6 μL 50% (vol/vol) glycerol and 6 μL 20 mmol/L Gly-Pro-Arg-Pro (Oz Chemicals, Jerusalem, Israel) and treated with bovine thrombin (5 μL, 250 U/mL) for 30 minutes at room temperature, followed by the addition of 5 μL of 0.1 mmol/L Thromstop. Incubation was performed in a total volume of 75 μL which, in addition to the above components, comprised 50 mmol/L Tris-HCl, pH 7.5, 0.11 mmol/L 14C-putrescine (61 μCi/μmol; Amersham, Arlington Heights, IL), 5.3 mg/mL N,N-dimethylcasein, 13 mmol/L dithiothreitol (DTT), and 10 mmol/L CaCl2. The incorporation reaction was allowed to proceed for 30 minutes at 37°C and 10 μL aliquots were spotted on filter paper and processed for measuring protein-bound radioactivity. Enzyme activity is given as 14C-putrescine (cpm) for the 10 μL mixture for the 30-minute reaction. Activity measured in the absence of thrombin was used as reference.
Fibrin chain cross-linking profiles of plasma clots.
Patient or normal plasma (100 μL) was mixed (37°C; total volume of 500 μL) in 40 mmol/L Tris-HCl, pH 7.5, 80 mmol/L NaCl with 6 U of bovine thrombin and 10 mmol/L CaCl2. Clots were wound onto glass rods as they formed, washed (1 × 3 mL and 1 × 1 mL of 50 mmol/L Tris-HCl, pH 7.5, 100 mmol/L NaCl, 1 mmol/L EDTA), solubilized (200 μL of 50 mmol/L sodium phosphate, pH 7.1, 2% sodium dodecyl sulfate [SDS], 9 mol/L urea, 40 mmol/L DTT at 37°C for 60 minutes), and 15 to 45 μL aliquots were analyzed by SDS-polyacrylamide gel electrophoresis (PAGE).35 Gels were stained with Coomassie brilliant blue R and scanned on an Ultrascan SL densitometer (LKB, Bromma, Sweden).
Electrophoretic analysis of cross-linked fibrin polymers in anticoagulated plasma after clotting with thrombin.
Normal or patient plasma (100 μL; with 1 mmol/L EDTA) was treated with 2.5 U bovine thrombin for 30 minutes at 37°C in a total volume of 500 μL, which also included 40 mmol/L Tris-HCl, pH 7.5, 80 mmol/L NaCl, and 10 U/mL Trasylol. Clots were wound onto glass rods as they formed, washed (2 × 3 mL of 50 mmol/L Tris-HCl, pH 7.5, 100 mmol/L NaCl, 1 mmol/L EDTA), solubilized (200 μL of 10 mol/L urea, 2% SDS at 37°C for 60 minutes) and centrifuged (16,000g, 10 minutes). Electrophoresis was performed by applying 20 μL aliquots to 2% agarose gels.36 Other 10-μL aliquots of the urea-SDS solubilized materials were treated with 40 mmol/L DTT at 37°C for 20 minutes, and electrophoresed on SDS-polyacrylamide as described above.
Effect of patient’s IgG on the enzymatic cross-linking of clots from purified human fibrinogen.
Incubations (37°C, 2 hours) were performed in mixtures (500 μL) comprising 50 mmol/L Tris-HCl, pH 7.5, 100 mmol/L NaCl, 0.5 mg/mL human fibrinogen, factor XIII (2.5 μg/mL rA2 or 5 μg/mL A2B2), 2 mg/mL IgG (normal or patient, isolated on a ZetaChrom 60 disk), 20 U/mL Trasylol, 12.5 U/mL bovine thrombin, and either 2 mmol/L EDTA or 10 mmol/L CaCl2. Clots were wound onto glass rods as they formed, washed, solubilized in 200 μL as described above, and 50-μg aliquots were analyzed by SDS-PAGE.9
The effect of the patient’s IgG on the thrombin-activated rA2 or rA2′.
Conversion of rA2 (25 μg/mL) to rA2′ was performed at room temperature for 20 minutes in 50 mmol/L Tris-HCl, pH 7.5 with 1.25 U/mL of human α-thrombin. Enzyme activity was measured by a recently published procedure37 on a CytoFluor Model 2300 fluorimeter (Millipore, Bedford, MA), upgraded to a model 2350. The rate of increase in fluorescence was monitored at 37°C for the enzyme-catalyzed incorporation of dansylcadaverine [N-(5-aminopentyl)-5-dimethylaminonaphthalene-1-sulfonamide] into N,N-dimethylcasein (excitation filter 360/40 nm; emission filter 490/40 nm; sensitivity 5). Measurements were performed in a 96-well low-fluorescence CytoPlate (PerSeptive Biosystems, Framingham, MA) in 125-μL mixtures, which comprised 50 mmol/L Tris-HCl, pH 7.5, 2 mg/mL N,N-dimethylcasein, 0.5 mmol/L dansylcadaverine, 0.25 μg rA2′, and 0 to 40 μg of normal or patient IgG, in the presence or absence of 1 mmol/L CaCl2. In measuring enzyme activities, corrections were applied with regard to the nonenzymatic controls.
Cross-linking of the recombinant γC30 fragment of fibrinogen by rA2′ without Ca2+ in the presence of the patient’s IgG.
A recombinant 30-kD fragment of γ-chain of fibrinogen (a gift from Drs H.C.F. Côté and Earl W. Davie, University of Washington, Seattle)38 was incubated with rA2′ and EDTA at 37°C for 4 hours. The 25-μL mixture contained 50 mmol/L Tris-HCl, pH 7.5, 150 mmol/L NaCl, γC30 (160 μg/mL; 5.3 μmol/L), 0 to 3 mg/mL normal or patient IgG, rA2′ (10 μg/mL; 0.625 μmol/L; quenched by hirudin after its activation by thrombin), and 1 mmol/L EDTA or 5 mmol/L CaCl2. After the reaction, the samples were analyzed by SDS-PAGE under nonreduced conditions on 10% acrylamide and the Coomassie brilliant blue R stained gels were scanned.
Immunoblots (dot blot assay) with the patient’s IgG.
One-microliter aliquots of 0.2 mg/mL A2B2, 0.1 mg/mL rA2, 0.2 mg/mL A2′B2(treated with 30 U/mL human α-thrombin at room temperature for 20 minutes), 0.1 mg/mL rA2′, 0.1 mg/mL B2, and 0.2 mg/mL fibrinogen were spotted on nitrocellulose (0.2 μm pore size; Schleicher & Schuell, Keene, NH). Unbound areas were blocked with 1% Blotto (1% nonfat dry milk [Carnation, Los Angeles, CA] in PBS) for 20 minutes. The strips were incubated with patient IgG (0.05 mg/mL in 1% Blotto) or with normal IgG as control for 60 minutes at room temperature and washed (three times with PBS). Binding of IgG was identified with a Vectastain ABC kit specific to human IgG (Vector Laboratories, Burlingame, CA). The biotinylated secondary antibody was diluted 1:4,000 in 1% Blotto, the strips incubated for 1 hour, and washed (three times with PBS). After formation of avidin-biotinylated peroxidase complex (dilution 1:4,000 in 1% Blotto for 30 minutes), the strips were incubated for 1 hour and washed (three times with PBS). The peroxidase label was developed with a solution containing 10 mL of 4-chloro-1-naphthol (3 mg/mL in ice-cold methanol; Sigma), 50 mL PBS and 30 μL of 30% hydrogen peroxide.
Recognition of factor XIII components by the patient’s antibody in solution.
Enzyme-linked immunosorbent assay (ELISA) studies were performed in 96-well Microtest III assay plates (Falcon 3910) at room temperature. The A2B2 antigen was diluted to 4 μg/mL in 50 mmol/L Tris-HCl, pH 7.5 and 100 μL/well allowed to bind to the plate for 2 hours at room temperature, followed by blocking with 2% Blotto (2% nonfat dry milk in PBS; 3 × 250 μL). Patient IgG (10 μg in 2% Blotto) was mixed with varying amounts of factor XIII (A2B2 or rA2) or thrombin-treated factor XIII (A2′B2 or rA2′) for 30 minutes at room temperature, and the mixtures were then added to the wells. After overnight incubation at room temperature, the wells were washed (three times with 2% Blotto), reincubated for 2 hours with an alkaline phosphatase-conjugated antibody to human IgG (γ-chain specific, Sigma; 100 μL/well of a 1:5,000 dilution in 2% Blotto) and washed again (three times with 2% Blotto; two times with 100 mmol/L Tris-HCl, pH 9.5, 100 mmol/L NaCl, 5 mmol/L MgCl2), and 100 μL of 1 mg/mL p-nitrophenyl phosphate disodium (Sigma) in the final wash buffer added to each well. Color was read in a Dynatech MR600 (Dynatech Laboratories, Alexandria, VA) microplate reader at 410 nm.
Changes in the titer of the antibody in the patient’s serum during the course of disease.
A2′B2 (4 μg/mL in 50 mmol/L Tris-HCl, pH 7.5; 100 μL/well) was bound to ELISA plates at room temperature for 2 hours and blocked with 2% bovine serum albumin (BSA) in PBS. The patient’s serum (0.25 μL in 100 μL of the BSA buffer), or normal serum as control, was added to the wells and incubated overnight at room temperature. This was followed by washing with BSA and reincubation for 2 hours with an alkaline phosphatase-conjugated antibody to human IgG (γ-chain specific; 100 μL/well of a 1:5,000 dilution in BSA). The plates were washed (three times with BSA; two times with 100 mmol/L Tris-HCl, pH 9.5, 100 mmol/L NaCl, 5 mmol/L MgCl2) and 100 μL of 1 mg/mL p-nitrophenyl phosphate disodium in the final wash buffer was added to each well. Color was read in the microplate reader as above.
RESULTS
Malfunctioning of the fibrin stabilizing system in the patient’s plasma.
Initial laboratory findings showed that the recalcified plasma clot of the patient could be readily dissolved in 5 mol/L urea.1-4Inasmuch as this indicated a problem with fibrin stabilization, the susceptibility of the patient’s clot to fibrinolysis was also tested. The patient’s plasma and a normal control plasma sample were spiked with I125-fibrinogen, mixed with 20 ng/mL r-tPA, and clotted with 0.5 U/mL thrombin and Ca2+ for 2 hours at room temperature. The samples were then incubated at 37°C and assayed in duplicate at 30, 60, 90, and 120 minutes. The time to reach 50% lysis (LR50) for the patient was 27 minutes, versus >120 minutes for the control. This experiment was repeated with the patient’s purified IgG (5 mg/mL), mixed with 30% normal plasma. A mixture of normal IgG and normal plasma was used as a control. Samples were treated as above. The LR50 for the patient IgG was 22 minutes, compared with 63 minutes for the control.
The catalytic potential of the factor XIII zymogen in the patient’s plasma was evaluated for transamidation after its conversion to XIIIa with thrombin plus Ca2+, in the14C-putrescine:N,N-dimethylcasein substrate system.34 39 Results from these amine incorporation experiments (Table 1) excluded the possibility of a hereditary factor XIII deficiency.
Analysis of the cross-linking profile of the patient’s clot by SDS-electrophoresis in polyacrylamide after reduction with DTT (Fig 1A) or in agarose without treatment by DTT (Fig 1B), showed an abnormal feature never seen before in this family of diseases. A significant proportion (measured in the gel scan as 61%) of the monomeric γ chains of fibrin in the patient’s clot were found to become cross-linked to dimeric γ-γ structures when clotting was induced only by the addition of thrombin alone without Ca2+ (ie, in the presence of EDTA; lane 3, Fig 1A). Normally, such cross-linked γ-γ dimers in plasma can be generated only with a combination of thrombin plus Ca2+, which also brings about the formation of high molecular weight, cross-linked αn polymers (lane 2, Fig 1A). By contrast, even the combination of thrombin and Ca2+ proved to be rather ineffective in promoting the cross-linking of α chains in the patient’s clot (lane 4, Fig 1A); moreover, with the added presence of Ca2+, there was a rather insignificant increase in the amount of cross-linked γ-γ dimers (from 61% to 67%) or in the γ chains remaining as monomers (compare lanes 3 and 4, Fig 1A). Altogether, a comparison of the normal electrophoretic profile with that of the patient’s clot (lanes 2 and 4, Fig 1A) showed that, even under the forced conditions for clotting used in these experiments, cross-linking of the patient’s fibrin was greatly inhibited.
Abnormal fibrin cross-linking profiles in clots obtained from the patient’s plasma in the presence and absence of Ca2+. (A) Normal (lanes 1 and 2) or patient (drawn 7/31/91; lanes 3 and 4) plasma (100 μL) was clotted in the presence of either 1 mmol/L EDTA (lanes 1 and 3) or 10 mmol/L CaCl2(lanes 2 and 4) with 6 U bovine thrombin for 30 minutes at 37°C in a total volume of 500 μL, which also included 40 mmol/L Tris-HCl, pH 7.5, 80 mmol/L NaCl, and 10 U/mL Trasylol. The washed clots were reduced with DTT and analyzed by SDS-PAGE. (B) Normal (lanes 1) or patient (drawn 9/12/91; lanes 2) plasma (100 μL) was clotted in the presence of 1 mmol/L EDTA with 2.5 U bovine thrombin for 30 minutes at 37°C in a total volume of 500 μL, which also included 40 mmol/L Tris-HCl, pH 7.5, 80 mmol/L NaCl, and 10 U/mL Trasylol. The washed clots were dissolved in urea-SDS for electrophoresis on 2% agarose (lanes 1b and 2b) and also, after treatment with DTT, by SDS-PAGE (lanes 1a and 2a). Normal controls were collected from two different donors for the experiments shown in (A) and (B).
Abnormal fibrin cross-linking profiles in clots obtained from the patient’s plasma in the presence and absence of Ca2+. (A) Normal (lanes 1 and 2) or patient (drawn 7/31/91; lanes 3 and 4) plasma (100 μL) was clotted in the presence of either 1 mmol/L EDTA (lanes 1 and 3) or 10 mmol/L CaCl2(lanes 2 and 4) with 6 U bovine thrombin for 30 minutes at 37°C in a total volume of 500 μL, which also included 40 mmol/L Tris-HCl, pH 7.5, 80 mmol/L NaCl, and 10 U/mL Trasylol. The washed clots were reduced with DTT and analyzed by SDS-PAGE. (B) Normal (lanes 1) or patient (drawn 9/12/91; lanes 2) plasma (100 μL) was clotted in the presence of 1 mmol/L EDTA with 2.5 U bovine thrombin for 30 minutes at 37°C in a total volume of 500 μL, which also included 40 mmol/L Tris-HCl, pH 7.5, 80 mmol/L NaCl, and 10 U/mL Trasylol. The washed clots were dissolved in urea-SDS for electrophoresis on 2% agarose (lanes 1b and 2b) and also, after treatment with DTT, by SDS-PAGE (lanes 1a and 2a). Normal controls were collected from two different donors for the experiments shown in (A) and (B).
Inasmuch as the fibrin molecule is a disulfide-linked, symmetrically duplex structure of three constituent chains [αβγ]2connected to each other by disulfide bonds, SDS-electrophoresis after reduction with DTT does not provide any information about the true nature and the extent of the end-to-end ligation with factor XIIIa. The pattern in lane 3, Fig 1A only shows that clotting with thrombin in the absence of Ca2+ could generate sufficient enzyme activity in the patient’s plasma to bring about the cross-linking of approximately 61% of the γ chains. This observation, however, sheds no light on the size of the covalently fused fibrin units, and the observation would be just as compatible with the formation of 61% of 2x(αβγ)2 dimerically cross-linked fibrin molecules as with the cross-linking of a lower percentage of the fibrin into covalently linked higher polymeric structures. To examine this issue, an SDS-agarose electrophoretic procedure was used without prior treatment of the samples by DTT.36 Lane 1b in Fig 1B shows that the clot, produced by the addition of thrombin to normal citrated plasma (containing also 1 mmol/L EDTA), could be readily dissociated to monomeric fibrin units (marked F1), mixed in with only negligible amounts of lower forms (<F5) of cross-linked oligomers. In sharp contrast to this, the patient’s plasma, clotted under the same conditions with thrombin, yielded an extensive array of covalently fused fibrin molecules (F3, F4, F5 … Fn), some of which correspond to structures of molecular mass much higher than 3 × 106(lane 2b, panel B). Inasmuch as all of these polymers were generated by γ chain ligation, we may conclude that they represent linearly assembled, end-to-end ligated fibrin filaments.14
The clotting abnormality is due to a unique autoimmune antibody present also in the patient’s serum.
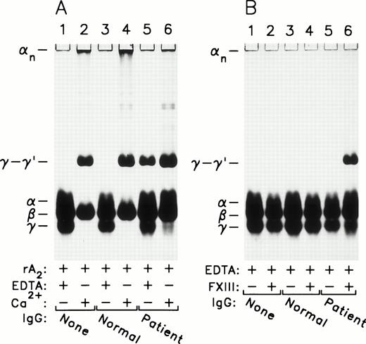
It was possible to reproduce both features of the anomaly observed in Fig 1 with the patient’s plasma by clotting normal plasma or fibrinogen in the presence of the patient’s serum or purified IgG fraction. The findings illustrated by Fig 2indicate that a circulating antibody, present in apparent excess in the patient’s serum, acts (1) as a strong inhibitor of cross-linking of α chains in a complete clotting mixture composed of fibrinogen, recombinant rA2 zymogen, Ca2+, and thrombin (compare lane 6 with lane 4 in Fig 2A), and (2) that the interaction of the antibody with the factor XIII zymogen can somehow induce the generation of enzyme activity even in the absence of Ca2+to give rise to substantial amounts of cross-linked γ-γ dimers (lane 5 in Fig 2A and lane 6 in Fig 2B). Rheological measurements (not shown; kindly performed by Dr E. Ang, Northwestern University) showed that the viscoelastic storage modulus (G′ at 120 minutes), an index of clot stiffness, was about 90 Pa with inclusion of normal IgG (such as in lane 4, Fig 2A), whereas that of the clot with the patient’s IgG (as in lane 6, Fig 2A) was only about half as much (50 Pa).
Effect of the patient’s IgG on the cross-linking of clots obtained in mixtures with purified fibrinogen. (A) Incubations were performed at 37°C for 2 hours in 0.5 mL mixtures containing 50 mmol/L Tris-HCl, pH 7.5, 100 mmol/L NaCl, 0.5 mg/mL human fibrinogen, 2.5 μg/mL rA2, 20 U/mL Trasylol, either no IgG (lanes 1 and 2) or 2 mg/mL normal IgG (lanes 3 and 4) or patient IgG (purified on a ZetaChrom 60 disk from serum drawn on 7/31/91; lanes 5 and 6), either 2 mmol/L EDTA (lanes 1, 3, and 5) or 10 mmol/L CaCl2(lanes 2, 4, and 6), and 12.5 U/mL bovine thrombin. Washed clots were analyzed by SDS-PAGE after reduction with DTT. (B) Incubations were performed at 37°C for 2 hours in 0.5 mL mixtures containing 50 mmol/L Tris-HCl, pH 7.5, 100 mmol/L NaCl, 0.5 mg/mL human fibrinogen, 20 U/mL Trasylol, 2 mmol/L EDTA, either no IgG (lanes 1 and 2) or 2 mg/mL normal IgG (lanes 3 and 4) or patient IgG (lanes 5 and 6), in the absence (lanes 1, 3, and 5) or presence (lanes 2, 4, and 6) of 5 μg/mL human factor XIII (A2B2), and 12.5 U/mL bovine thrombin. Clots were processed and analyzed as in (A).
Effect of the patient’s IgG on the cross-linking of clots obtained in mixtures with purified fibrinogen. (A) Incubations were performed at 37°C for 2 hours in 0.5 mL mixtures containing 50 mmol/L Tris-HCl, pH 7.5, 100 mmol/L NaCl, 0.5 mg/mL human fibrinogen, 2.5 μg/mL rA2, 20 U/mL Trasylol, either no IgG (lanes 1 and 2) or 2 mg/mL normal IgG (lanes 3 and 4) or patient IgG (purified on a ZetaChrom 60 disk from serum drawn on 7/31/91; lanes 5 and 6), either 2 mmol/L EDTA (lanes 1, 3, and 5) or 10 mmol/L CaCl2(lanes 2, 4, and 6), and 12.5 U/mL bovine thrombin. Washed clots were analyzed by SDS-PAGE after reduction with DTT. (B) Incubations were performed at 37°C for 2 hours in 0.5 mL mixtures containing 50 mmol/L Tris-HCl, pH 7.5, 100 mmol/L NaCl, 0.5 mg/mL human fibrinogen, 20 U/mL Trasylol, 2 mmol/L EDTA, either no IgG (lanes 1 and 2) or 2 mg/mL normal IgG (lanes 3 and 4) or patient IgG (lanes 5 and 6), in the absence (lanes 1, 3, and 5) or presence (lanes 2, 4, and 6) of 5 μg/mL human factor XIII (A2B2), and 12.5 U/mL bovine thrombin. Clots were processed and analyzed as in (A).
Additional experiments were conducted to confirm the unique attribute of the antibody for activating the thrombin-modified rA2′ zymogen in the absence of Ca2+. Figure 3 shows that the finding holds true also when the transamidase activity is monitored by the incorporation of dansylcadaverine into N,N-dimethylcasein.37 Although the inclusion of Ca2+ (1.2 mmol/L) in the reaction mixture caused some enhancement in the rate of amine incorporation, enzyme activity still stayed well below that found with control normal IgG (Fig 4).
Mixing the patient’s IgG with thrombin-modified factor XIII (rA2′) generates transamidase activity even in the absence of Ca2+. Recombinant factor XIII A2 subunits (25 μg/mL rA2 in 50 mmol/L Tris-HCl, pH 7.5) were treated with 1.25 U/mL of human -thrombin at room temperature for 20 minutes. Reactions were performed at 37°C in a total volume of 125 μL with 40 μg of normal (○) or varying concentrations of patient (•) IgG (isolated on a Protein A column from serum drawn 9/12/91), 50 mmol/L Tris-HCl, pH 7.5, 2 mg/mL N,N-dimethylcasein, 0.5 mmol/L dansylcadaverine, and 0.25 μg rA2′. The increase in fluorescence intensity accompanying the amine incorporation reaction at 60 minutes is shown.
Mixing the patient’s IgG with thrombin-modified factor XIII (rA2′) generates transamidase activity even in the absence of Ca2+. Recombinant factor XIII A2 subunits (25 μg/mL rA2 in 50 mmol/L Tris-HCl, pH 7.5) were treated with 1.25 U/mL of human -thrombin at room temperature for 20 minutes. Reactions were performed at 37°C in a total volume of 125 μL with 40 μg of normal (○) or varying concentrations of patient (•) IgG (isolated on a Protein A column from serum drawn 9/12/91), 50 mmol/L Tris-HCl, pH 7.5, 2 mg/mL N,N-dimethylcasein, 0.5 mmol/L dansylcadaverine, and 0.25 μg rA2′. The increase in fluorescence intensity accompanying the amine incorporation reaction at 60 minutes is shown.
Comparing the effect of the patient’s IgG on the incorporation of dansylcadaverine into N,N-dimethylcasein by rA2′ in the presence and absence of Ca2+. Reactions were performed at 37°C in a total volume of 125 μL with no IgG (○,•), 25 μg normal IgG (▿, ▾) or patient IgG (□,▪; isolated on a Protein A column from serum drawn 9/12/91), 50 mmol/L Tris-HCl, pH 7.5, 2 mg/mL N,N-dimethylcasein, 0.5 mmol/L dansylcadaverine, and 0.25 μg rA2′, in the absence (open symbols) or presence of 1 mmol/L CaCl2(closed symbols). Fluorescence was measured as in Fig 3.
Comparing the effect of the patient’s IgG on the incorporation of dansylcadaverine into N,N-dimethylcasein by rA2′ in the presence and absence of Ca2+. Reactions were performed at 37°C in a total volume of 125 μL with no IgG (○,•), 25 μg normal IgG (▿, ▾) or patient IgG (□,▪; isolated on a Protein A column from serum drawn 9/12/91), 50 mmol/L Tris-HCl, pH 7.5, 2 mg/mL N,N-dimethylcasein, 0.5 mmol/L dansylcadaverine, and 0.25 μg rA2′, in the absence (open symbols) or presence of 1 mmol/L CaCl2(closed symbols). Fluorescence was measured as in Fig 3.
Another proof that the interaction of the patient’s IgG with the thrombin-modified rA2′ zymogen could generate an enzyme (IgG:rA2o) with cross-linking activity in the absence of Ca2+ was provided by experiments with the recombinant C-terminal γC30 fragment of γ chains of human fibrinogen.38 As shown in Fig5, incremental doses of the patient’s IgG in the presence of EDTA gave rise to increasing amounts of cross-linked γC30 dimers, eventually matching that obtained with Ca2+ in the mixture. Inasmuch as the reaction of the IgG:rA2o enzyme with the γC30, in contrast to that with the preassembled fibrin substrate, occurs in solution, it was expected that the overall cross-linking efficiency measured for the dimerization of γC30 in Fig 5 would fall well below that of the formation of γ-γ dimers in fibrin (Fig 1A, lane 3).
Specificity of the patient’s abnormal antibody.
In view of the complexities of the biochemical reactions involved in fibrin stabilization (schemes 1 through 3), it is not surprising to find that the autoimmune antibodies examined thus far for blocking this phase of blood coagulation, show a great variety of target specificities. In this case, immunoblots (dot blots on nitrocellulose) showed that the patient’s IgG recognized the purified plasma factor XIII zymogen (A2B2), the thrombin-modified allozymogen ensemble (A2′B2), and also the recombinant rA2 subunit and its thrombin-modified rA2′ form. However, negative results were obtained with the purified carrier B2 subunits of plasma factor XIII and with fibrinogen as the antigens (data not shown). These findings suggest that the antibody is entirely A subunit-directed, recognizing both the virgin and the thrombin-cleaved zymogens. Further ELISA tests, in which either A2B2 or A2′B2 were plated, indicated significantly higher adsorption of the IgG from the patient’s serum to the thrombin-modified A2′B2 species (data not shown). However, a more rigorous evaluation of specificity was obtained by allowing increasing amounts of antigen to bind to a fixed amount of the patient’s IgG in the liquid phase and measuring the amount of residual free antibody by ELISA. The results of these assays, which probably best reflect on the antigen recognition by the patient’s IgG in plasma, are illustrated in Fig 6 and can be summarized as follows: (1) competition by rA2 for the antibody in solution was similar and perhaps slightly better than that by A2B2; (2) competition by rA2′ was indistinguishable from that of A2′B2 and, most importantly, (3) the affinity of the IgG for either of these thrombin-modified zymogens was shown to be about two orders of magnitude greater than their virgin counterparts.
ELISA competition assays show that thrombin-modified factor XIII′ is the prime target of the patient’s antibody. Patient IgG (isolated on a Protein A column from serum drawn 9/12/91; 10 μg in 2% Blotto) was mixed with varying amounts of factor XIII (A2B2 or rA2) or thrombin-treated factor XIII (A2′B2 or rA2′) for 30 minutes at room temperature and the mixtures were then added to wells previously coated with 0.4 μg A2B2. After overnight incubation at room temperature, the human IgG bound to the immobilized antigen in the wells was detected with an alkaline phosphatase-conjugated antibody (γ-chain specific). For experimental details, see Materials and Methods.
ELISA competition assays show that thrombin-modified factor XIII′ is the prime target of the patient’s antibody. Patient IgG (isolated on a Protein A column from serum drawn 9/12/91; 10 μg in 2% Blotto) was mixed with varying amounts of factor XIII (A2B2 or rA2) or thrombin-treated factor XIII (A2′B2 or rA2′) for 30 minutes at room temperature and the mixtures were then added to wells previously coated with 0.4 μg A2B2. After overnight incubation at room temperature, the human IgG bound to the immobilized antigen in the wells was detected with an alkaline phosphatase-conjugated antibody (γ-chain specific). For experimental details, see Materials and Methods.
The antibody titer in the patient’s serum diminished gradually with time.
During the follow-up period, several serum samples were collected and were tested for assessing changes in the titer of the circulating antibody. Thrombin-modified A2′B2 was used as the antigen, and the extent of IgG binding from the patient’s serum was measured by ELISA. The results presented in Fig 7 show a gradual decrease in the titer of the antibody and essentially normal values were recorded for the samples for the past 18 months. Not surprisingly, disappearance of the circulating inhibitor allowed for a near-normal cross-linking of the α chains of fibrin upon clotting recent specimens of the patient’s plasma with thrombin plus Ca2+ (lane 4, inset to Fig 7). Also, unlike clots from the earlier period of the disease, those from the recent samples could not be dissolved in 5 mol/L urea. However, despite the fact that the antibody could no longer be detected by ELISA in the sera recently collected, it still revealed itself, probably on account of being tightly bound to factor XIII in association with fibrin(ogen), by causing activation of the zymogen and the cross-linking of γ chains when clotting was induced with thrombin alone in the absence of Ca2+ (lane 3, inset to Fig 7).
Changes in the titers of the antibody in the patient’s serum over the course of the disease. Normal (solid bar) and patient (open bars) serum samples were diluted (0.25 μL of serum in 100 μL of 2% BSA in PBS) and incubated in wells coated with 0.4 μg of thrombin-modified factor XIII (A2′B2). After overnight incubation at room temperature, the human IgG bound to the antigen was detected with an alkaline phosphatase-conjugated antibody (γ-chain specific). For experimental details, see Materials and Methods. Values shown are averages for duplicate samples. Inset: Normal (lanes 1 and 2) and patient plasmas (lanes 3 and 4; drawn 5/03/97) were treated with thrombin in the presence (lanes 2 and 4) and absence (lanes 1 and 3) of Ca2+ and the washed clots were analyzed by SDS-PAGE as in Fig 1A.
Changes in the titers of the antibody in the patient’s serum over the course of the disease. Normal (solid bar) and patient (open bars) serum samples were diluted (0.25 μL of serum in 100 μL of 2% BSA in PBS) and incubated in wells coated with 0.4 μg of thrombin-modified factor XIII (A2′B2). After overnight incubation at room temperature, the human IgG bound to the antigen was detected with an alkaline phosphatase-conjugated antibody (γ-chain specific). For experimental details, see Materials and Methods. Values shown are averages for duplicate samples. Inset: Normal (lanes 1 and 2) and patient plasmas (lanes 3 and 4; drawn 5/03/97) were treated with thrombin in the presence (lanes 2 and 4) and absence (lanes 1 and 3) of Ca2+ and the washed clots were analyzed by SDS-PAGE as in Fig 1A.
DISCUSSION
The urea-solubility of the patient’s recalcified plasma clot was a positive sign of a defect with fibrin stabilization. Although the onset of bleeding at the age of 62 years in our patient made a diagnosis of hereditary deficiency quite unlikely, we have previously found that a patient who presented with bleeding for the first time at age 70 actually suffered from inherited deficiency of factor XIII (unpublished). Enzyme activities for amine incorporation vary about 10-fold within the normal population and, in the absence of a family history of bleeding, it would be impossible to decide on the basis of the assay alone whether the measured value for a given individual fell into the category of low normals or heterozygotes.20,21Thus, the somewhat reduced, 62% activity of factor XIII in the patient’s plasma (Table 1) would not, by itself, be an indicator of a major deficiency. Values as low as 0.36% of controls were recorded with the same assay procedure34,39 in families with a mild phenotype of factor XIII deficiency, not even requiring maintenance therapy.40 In addition, as expected, the measured concentrations of the A and B antigens for the subunits of plasma factor XIII were also within the normal range of values during the entire period of our study from 1991 through 1997 (data not shown).
After excluding a hereditary deficiency, our attention was focused on the presence of an inhibitor found in the plasma and also in the serum, but not in the platelets, of the patient. It could be purified as an IgG immunoglobulin and showed some unusual properties. Based on the data in Table 1, the potential factor XIII activity, measured in the patient’s plasma by the incorporation of a synthetic amine (putrescine) into a casein substrate,34 was not significantly affected by the presence of the antibody. Yet, by examining changes in the fibrin chain profiles during the factor XIIIa-catalyzed cross-linking in the presence of Ca2+, it was obvious that we were dealing with a potent inhibitor. As shown in Figs 1 and 2, the patient’s antibody completely blocked the cross-linking of the α chains and partially the γ chains of fibrin.
The patient’s antibody seems to be specifically directed against the thrombin-activated form of the factor XIII zymogen: A2′B2, recognizing this species with much greater affinity than the virgin A2B2 factor (Fig 6). Moreover, the antibody binds equally well to A2′B2 and rA2′, showing that it is entirely A subunit oriented. Over the years, we have examined several autoimmune inhibitors against factor XIII in our laboratory, but found none displaying the same degree of selectivity for the thrombin-modified subunits of the zymogen as this patient’s IgG.
A most unusual characteristic of this antibody is that, in binding to A2′B2 or rA2′, it is capable of inducing a significant amount of enzyme activity even in the presence of EDTA, whereas it is known that conversion to the factor XIIIa enzyme would obligatorily require Ca2+. Thus, we conclude that the binding of the patient’s IgG to either of the two thrombin-activated zymogens: eg, IgG + rA2′ ⇌ IgG:rA2′ ⇌ IgG:rA2o or IgG + A2′B2 ⇌ IgG:A2′B2 ⇌ IgG:A2o + B2 (we have evidence for the dissociation of B subunits; not shown), opens up access for accommodating the substrates, such as casein and dansylcadaverine in Figs 3 and 4 or the γ chain crosslinking sites of fibrin in Figs 1,2, and 5. This allows for substantial catalysis, even though the turnover is limited because it does not match either the rate or the extent of the reactions seen in the presence of Ca2+without the antibody. Otherwise, the catalytic center in the IgG:A2o complex must be the same or very similar to that found in the Ca2+-activated A2*, because both enzyme activities could be abolished by addition of the active site-directed inhibitor of factor XIIIa (a gift from Dr Andrew M. Stern, Merck Research Laboratories, West Point, PA):411,3,4,5-tetramethyl-2[(2-oxopropyl)thio]imidazolium chloride (data not shown).
In a recent review,26 22 published cases of acquired inhibitors of fibrin stabilization were compiled and analyzed. The severity of this class of hemorrhagic diseases is borne out by the fact that in 6 of the 22 cases bleeding was reported as the cause of death, ie, a mortality of 27%. The condition was shown to affect males and females equally (45% and 55%) and, as with other hemorrhagic disorders due to acquired inhibitors against coagulation factors, the disease is more prevalent with advancing age; 16 of the 22 patients surveyed (73%) were in the age group older than 50 years. Also, in the majority of patients (15, ie, 68%) the acquired inhibitor was identified as an immunoglobulin. Two of the affected individuals had hereditary factor XIII deficiencies and developed the neutralizing antibody after repeated therapeutic infusions of plasma or plasma fractions. History of treatment by drugs with potential autoimmunizing side effects (isoniazid, procainamide) or a prior, very strong allergic reaction may often contribute to precipitating the disease. Nevertheless, the nature of the actual causative agent in most of these cases, as in the present one, remains unknown. Omitting the two hereditary factor XIII-deficient patients from consideration, in 6 of 13 cases with inhibitory IgGs, the antibody eventually disappeared from the circulation either on account of the cessation of the drug suspected to have caused the condition or because of immunosuppressive treatments (cyclophosphamide, prednisone, plasmapheresis, infusion of factor XIII concentrate) or spontaneously. As illustrated in Fig 7, the inhibitor can no longer be detected in the serum of our patient; nevertheless, the abnormal production of γ-γ crosslinked dimers without Ca2+ (inset to Fig 7) still shows the presence of this antibody in association with the fibrinogen:factor XIII complex. This unique abnormality, though also progressively diminishing with time, remains a distinguishing hallmark of this patient’s clotting profile to date.
Supported by Grants No. HL-16346 and HL-02212 from the National Institutes of Health (NIH), Bethesda, MD.
The publication costs of this article were defrayed in part by page charge payment. This article must therefore be hereby marked “advertisement” in accordance with 18 U.S.C. section 1734 solely to indicate this fact.
REFERENCES
Author notes
Address reprint requests to Laszlo Lorand, PhD, Department of Cell and Molecular Biology, Northwestern University Medical School, Searle 4-555, 303 E Chicago Ave, Chicago, IL 60611; e-mail: l-lorand@nwu.edu.

















