Abstract
The TEL/PDGFβR fusion protein is expressed as the consequence of a recurring t(5;12) translocation associated with chronic myelomonocytic leukemia (CMML). Unlike other activated protein tyrosine kinases associated with hematopoietic malignancies, TEL/PDGFβR is invariably associated with a myeloid leukemia phenotype in humans. To test the transforming properties of TEL/PDGFβR in vivo, and to analyze the basis for myeloid lineage specificity in humans, we constructed transgenic mice with TEL/PDGFβR expression driven by a lymphoid-specific immunoglobulin enhancer-promoter cassette. These mice developed lymphoblastic lymphomas of both T and B lineage, demonstrating that TEL/PDGFβR is a transforming protein in vivo, and that the transforming ability of this fusion is not inherently restricted to the myeloid lineage. Treatment of TEL/PDGFβR transgenic animals with a protein tyrosine kinase inhibitor with in vitro activity against PDGFβR (CGP57148) resulted in suppression of disease and a prolongation of survival. A therapeutic benefit was apparent both in animals treated before the development of overt clonal disease and in animals transplanted with clonal tumor cells. These results suggest that small-molecule tyrosine kinase inhibitors may be effective treatment for activated tyrosine kinase–mediated malignancies both early in the course of disease and after the development of additional transforming mutations.
DESPITE SIGNIFICANT ADVANCES in the therapy of human leukemia, most adults still die of their disease or complications of therapy. Chronic myelomonocytic leukemia (CMML) is exemplary of the problem: although indolent at presentation, CMML progresses in most cases to acute myeloid leukemia (AML), which is frequently a fatal complication of the disease.1 There are currently no therapies for CMML or other of the myelodysplastic syndromes that are known to prolong survival apart from bone marrow transplant for selected patients.2 3 There is therefore a need to develop more effective therapies for these diseases.
The TEL/PDGFβR fusion protein is generated by t(5;12) (q33;p13), a recurring cytogenetic abnormality associated exclusively with CMML.4-9 Transformation of hematopoietic cells by TEL/PDGFβR is the consequence of oligomerization, mediated by the pointed (PNT) domain of TEL, resulting in constitutive activation of the kinase domain of PDGFβR.10,11 However, the basis for the myeloid lineage specificity of TEL/PDGFβR in human leukemia is not known. Certain leukemogenic fusion proteins have the ability to mediate transformation of multiple lineages of hematopoietic cells in cell culture and in animal model systems,12,13 and are associated with both myeloid and lymphoid disease in humans. For example, the BCR/ABL fusion protein expressed as a result of the t(9;22) translocation is associated with chronic myelogenous and acute lymphoblastic leukemias (ALLs) in humans, and causes myeloid and lymphoid malignancies in murine bone marrow transplant (BMT) models.12 In contrast, certain translocations such as t(7;9), leading to overexpression of TAN-1, the human homolog ofDrosophila Notch-1, are exclusively associated with a single hematopoietic lineage.14 t(7;9) has been identified only in T-cell leukemia/lymphoma in humans. The lineage specificity appears to be intrinsic to TAN-1, because murine BMT experiments, in which activated TAN-1 expression can be achieved in all lineages of hematopoietic cells through retroviral infection, gives rise to only T-lineage hematopoietic disease in mice. TEL/PDGFβR is exclusively associated with CMML in humans, but it is not known whether this myeloid lineage specificity is due to intrinsic properties of TEL/PDGFβR. To test the ability of TEL/PDGFβR to transform primary hematopoietic cells, and to investigate the basis for lineage specificity in humans, transgenic mice were prepared in which TEL/PDGFβR expression was directed to the lymphoid compartment by the immunoglobulin heavy-chain enhancer/promoter (EμVHP). These mice developed lymphoblastic lymphomas and were used to assess the in vivo efficacy of CGP57148, a specific tyrosine kinase inhibitor with known activity against TEL/PDGFβR in vitro.15
MATERIALS AND METHODS
Construction of transgenic mice.
The backbone plasmid pBSVE6βK containing EμVHP and the β-globin splice acceptor and poly A sequences was obtained as a gift from Dr Fred Alt, Harvard Medical School, Boston, MA. The TEL/PDGFβR cDNA cloned by Golub et al4 was inserted 3′ of the EμVHP cassette (Fig 1).4 16The prokaryotic plasmid sequences were removed from the above constructs by restriction enzyme digestion with BssHII and gel purification. Each purified construct was diluted to a concentration of 1.5 to 3.0 ng/μL and 1 fL was microinjected into the pronucleus of a FVB strain murine oocyte. The injected eggs were implanted into the oviduct of a pseudopregnant mouse in the Transgenic Core Facility at Brigham and Women’s Hospital. At 2 weeks of age, founder mice were identified by Southern blot analysis of DNA isolated from tail clippings. Progeny of these founder lines were generated by crossing with normal FVB mice.
EμVHP-TEL/PDGFβR transgenic construct. The immunoglobulin heavy-chain enhancer/promoter cassette contains the 682-bp EcoRI-Xba I fragment of the immunoglobulin-mu enhancer (Eμ), ligated to the 330-bp HindII-Eco I promoter fragment of the VH gene (VHP). The 3′ end of the construct consists of the 1.6-kbBamHI-Pst I fragment of the genomic human β-globin gene containing a small (19-bp) piece of exon 2, the entire 849-bp intron 2, including splice donor and acceptor sites, all of exon 3, and a fragment of nearly 500 bp of 3′UTR, including the polyadenylation signal. Into the multicloning site of pBSVE6βK, between these 2 cassettes, the 2.2-kb cDNA for TEL/PDGFβR fusion gene was inserted. The stop codon in TEL/PDGFβR prevents the β-globin exons from being translated, but the existence of these exons in the transgene mRNA was exploited to assay for expression. Primers used in RT-PCR are indicated by small arrows. Restriction sites: B2 =BssHII, B1 = BamHI, R1 = EcoRI, S2 =SacII, H = HindIII.
EμVHP-TEL/PDGFβR transgenic construct. The immunoglobulin heavy-chain enhancer/promoter cassette contains the 682-bp EcoRI-Xba I fragment of the immunoglobulin-mu enhancer (Eμ), ligated to the 330-bp HindII-Eco I promoter fragment of the VH gene (VHP). The 3′ end of the construct consists of the 1.6-kbBamHI-Pst I fragment of the genomic human β-globin gene containing a small (19-bp) piece of exon 2, the entire 849-bp intron 2, including splice donor and acceptor sites, all of exon 3, and a fragment of nearly 500 bp of 3′UTR, including the polyadenylation signal. Into the multicloning site of pBSVE6βK, between these 2 cassettes, the 2.2-kb cDNA for TEL/PDGFβR fusion gene was inserted. The stop codon in TEL/PDGFβR prevents the β-globin exons from being translated, but the existence of these exons in the transgene mRNA was exploited to assay for expression. Primers used in RT-PCR are indicated by small arrows. Restriction sites: B2 =BssHII, B1 = BamHI, R1 = EcoRI, S2 =SacII, H = HindIII.
Assessment of transgenic mice.
Animals were monitored three times per week for the development of disease by inspection and palpation of the spleen and cervical, femoral, and axillary lymph nodes. Mice with clinically evident disease were killed by CO2 asphyxiation followed by cervical dislocation. Bone marrow cells were isolated by flushing femurs and tibias with phosphate-buffered saline (PBS). Single-cell suspensions were prepared by passing spleen and lymph node tumor tissue through nylon mesh (Falcon, Lincoln Park, NJ) wetted with PBS.
Tumor cell transplantation.
A single-cell suspension from pathologically enlarged lymph nodes was prepared as above. Cells were counted and diluted to a concentration of 2 × 104/mL. Recipient mice were subjected to a single dose of 450 rad and 0.5 mL of the tumor cell suspension was administered by tail vein injection.
Expression analysis.
Single-cell suspensions of tissues were prepared as above. Total cellular RNA was isolated by resuspending 107 cells in 1 mL of a monophase phenol/guanidinium thiocyanate solution (TRIzol; GibcoBRL, Gaithersburg, MD) and processing according to the manufacturer’s instructions. A 4-μg quantity of total mRNA from each sample was reverse-transcribed using AMV reverse transcriptase (GibcoBRL) for 1 hour at 42°C. One microliter of cDNA solution was subjected to 35 cycles of the polymerase chain reaction (94°C for 60 seconds, 56°C for 60 seconds and 72°C for 60 seconds) using primers TPY3F, 5′-TAC AAA AAG TAC CAG CAG-3′ and HBG1, 5′-GCG AGC TTA GTG ATA CTT GT-3′. Cells from representative tissues were washed twice with PBS and lysed in 1% NP40, 150 mmol/L NaCl, 20 mmol/L Tris pH 7.4, 10% glycerol containing 1 mmol/L phenylmethylsulfonylfluoride, 20 μg/mL aprotinin, and 1 mmol/L sodium orthovanadate at 5 × 107 cells/mL. Equal amounts of lysates (100 μg) were analyzed by denaturing polyacrylamide gel electrophoresis in the presence of sodium dodecyl sulfate (SDS) and Western blotting with polyclonal rabbit anti-βPDGFR tail (Pharmingen, San Diego, CA) as described.17
Histology.
Murine tissues were fixed for 24 hours in 10% neutral buffered formalin and embedded in paraffin. Femurs were subjected to an additional decalcification step in RDO (Apex Engineering Products, Plainfield, IL) for 4 hours before processing. The 3-μm sections were deparaffinized and stained with hematoxylin and eosin (H&E).
Flow cytometric analysis.
Single-cell suspensions of bone marrow, spleen, lymph nodes, blood, and thymus were prepared. Red blood cells were lysed in ammonium chloride solution (150 mmol/L NH4Cl, 10 mmol/L KHCO3, 0.1 mmol/L EDTA, pH 7.4) for 5 minutes at room temperature. The cells were washed in PBS with 0.1% NaN3 and 0.1% bovine serum albumin (BSA; staining buffer). To block nonspecific Fc receptor-mediated binding, the cells were preincubated with supernatant from the 2.4G2 hybridoma line (anti-CD16/CD32; cell line obtained from American Type Culture Collection, Rockville, MD) for 20 minutes on ice. Aliquots of 0.5 to 1.0 × 106 cells were then stained for 20 minutes on ice with monoclonal antibodies specific for B220 (CD45R), CD24 (heat-stable antigen), CD117 (c-kit), IgM, CD3, CD2, αβTCR, CD25 (IL-2R α chain), CD40, CD43, CD4, CD8α, and Ly-51 (BP-1) (Pharmingen) conjugated with fluorescein isothiocyanate (FITC), phycoerythrin (PE), or biotin. Binding of biotinylated primary antibodies was detected using PE-conjugated streptavidin (Immunotech, Westbrook, ME) or FITC-conjugated avidin (Southern Biotechnology, Birmingham, AL). Cells were washed once in staining buffer followed by two-color flow cytometric analysis with a FACScan (Becton Dickinson, San Jose, CA). A minimum of 10,000 events was acquired and the data were analyzed using CellQuest software (Version 3.1; LCC International, McLean, VA). The results are presented as contour plots showing FITC and PE fluorescence signals of viable cells gated on the basis of forward and side scatter signals.
Immunoglobulin gene rearrangement.
Genomic DNA was prepared from single-cell suspensions of lymph node tumor cells, and control DNA was isolated from the tail of an unaffected littermate as described.18,19 A 10-μg quantity of genomic DNA was digested with the appropriate restriction endonucleases overnight, subjected to electrophoresis on a 1% agarose gel, and transferred to nylon membranes (Hybond N+; Amersham, Arlington Heights, IL) using alkaline transfer as described.20 A 1.5-kb Pst 1 IgH fragment, a 2.4-kbHindIII-BamHI IgK fragment, and 2.0-kb EcoRI βTCR fragment were used as probes (a gift of Dr Benjamin Rich), random-labeled using 32Pγ dCTP (Boehringer Mannheim, Indianapolis, IN). Hybridization was performed at 65°C for 16 hours and membranes were washed with 2× SSC, 0.1% SDS for 20 minutes at room temperature; 1× SSC, 0.1% SDS at 65° for 20 minutes; and exposed to photographic film (BioMax; Eastman Kodak, Rochester, NY) at −80°C overnight.
Tyrosine kinase inhibitor treatment.
CGP57148 was diluted in PBS to a concentration of 3 mg/mL; 50 mg/kg was injected intraperitoneally (IP) every day for 30 days. Control mice were injected IP with 0.5 mL of PBS alone at the same time. Pvalues for statistical significance were calculated by the log-rank (Mantel-Cox) method. Statistical calculations and Kaplan-Meier survival analyses were performed using the program Statview (SAS Institute, Cary, NC).
RESULTS
Construction of Eμ-TEL/PDGFβR transgenic mice.
The ability of TEL/PDGFβR to transform lymphoid cells in vivo was tested using a transgenic mouse model in which the immunoglobulin heavy-chain enhancer/promoter EμVHP was used to direct TEL/PDGFβR expression to the lymphoid compartment. EμVHP would be expected to result in expression predominantly to the B-cell compartment, but expression in T cells has also been well described.21 22 A total of 10 founder mice were identified as having integrated the TEL/PDGFβR construct. Germline transmission allowed the establishment of eight transgenic lines. One founder failed to breed successfully, and another developed a mediastinal mass and died at 65 days old before analysis or breeding could be completed. Two of the eight lines (I and N lines) consistently developed lymphoid malignancies. The most extensive analysis of tumors (40 separate tumors) was performed on mice from the I line, all of which developed diffuse lymphadenopathy and massive hepatosplenomegaly at a median age of 4 months (Fig 2A). N line mice also consistently developed tumors at the same median age (seven tumors analyzed) that presented in several different patterns (see below).
Gross pathology of Eμ-TEL/PDGFβR lymphoblastic lymphoma in the I line and microscopic histopathology of tumors and affected tissues from Eμ-TEL/PDGFβR mice. (A) Gross dissection of an affected I-line mouse shows enlargement of the liver (L), spleen (S), and thymus (T), as well as massive lymphadenopathy in the cervical (C), axillary (A), and femoral (F) node groups. (B) Touch preparation of the lymph node from an affected I-line mouse shows tumor composed of intermediate-sized lymphoid cells with scant cytoplasm, finely dispersed nuclear chromatin, and a brisk mitotic rate, features of lymphoblastic lymphoma. (C) Clusters of lymphoma cells present in hepatic sinusoids. (D) Lymphoma cells in N-line mouse with T-cell mediastinal lymphoma phenotype show involvement of the lung in peribronchial distribution. (E) Lymphoma cells from the same mouse as in D infiltrating the spleen, with some residual megakaryocytes and erythroid cells. (F) Bone marrow replacement by lymphoblasts in an N-line mouse with ALL phenotype. (G) Same N-line mouse as in F showing splenic involvement with lymphoblastic leukemia (H&E).
Gross pathology of Eμ-TEL/PDGFβR lymphoblastic lymphoma in the I line and microscopic histopathology of tumors and affected tissues from Eμ-TEL/PDGFβR mice. (A) Gross dissection of an affected I-line mouse shows enlargement of the liver (L), spleen (S), and thymus (T), as well as massive lymphadenopathy in the cervical (C), axillary (A), and femoral (F) node groups. (B) Touch preparation of the lymph node from an affected I-line mouse shows tumor composed of intermediate-sized lymphoid cells with scant cytoplasm, finely dispersed nuclear chromatin, and a brisk mitotic rate, features of lymphoblastic lymphoma. (C) Clusters of lymphoma cells present in hepatic sinusoids. (D) Lymphoma cells in N-line mouse with T-cell mediastinal lymphoma phenotype show involvement of the lung in peribronchial distribution. (E) Lymphoma cells from the same mouse as in D infiltrating the spleen, with some residual megakaryocytes and erythroid cells. (F) Bone marrow replacement by lymphoblasts in an N-line mouse with ALL phenotype. (G) Same N-line mouse as in F showing splenic involvement with lymphoblastic leukemia (H&E).
Microscopic and flow cytometric analysis of the malignant phenotype.
Histopathologic examination of I line mice showed tumor with features of lymphoblastic lymphoma, including intermediate-sized lymphoid cells with scant cytoplasm, dispersed nuclear chromatin, and a brisk mitotic rate. All lymph node groups were affected, as well as periportal tissue in the liver, diffuse involvement of the spleen with effacement of normal splenic architecture, and of bone marrow with lymphoblastic lymphoma (Fig 2A through C, and data not shown). Flow cytometry of cell suspensions from bone marrow, spleen, blood, and lymph nodes was performed to determine cell lineage of the tumors. All I-line tissues analyzed contained a dominant population of B220+, CD3−, CD40−, CD43+, HSA+, and BP-1+ cells (Fig3A), consistent with hardy fraction C lymphoblastic lymphoma.23,24 This phenotype corresponds most closely with a late pro–B- or early pre–B-cell lymphoma in humans. However, while all mice of this line showed early B-cell phenotype, other individual mice from the same line had variable staining for CD43 and CD117 (c-kit). These different immunophenotypes show some variability in the stage of differentiation of these tumors, an observation that has been made in several other mouse models of lymphoid malignancy.25-28
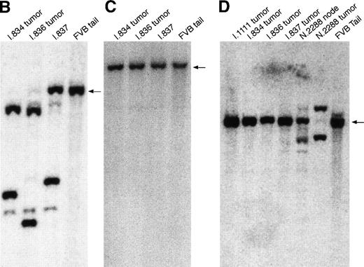
Flow cytometric analysis and immunoglobulin gene rearrangement studies of tumor cells from transgenic animals. (A) Flow cytometric analysis of involved tissues from from affected mice. I-line mice and N-line mice with lymphoma phenotype (I-836) show a large population of early B cells (B220+, CD3−, CD43+, BP-1+, CD117+, IgM−) in lymph node tumors (shown), as well as in bone marrow, spleen, and peripheral blood (data not shown). N-line animals with leukemic phenotype (N-2051) do not have adenopathy, but show a similar immunophenotype in the spleen (shown), marrow and blood (not shown). Normal cells can also be seen in these samples. Cells from an N-line animal with mediastinal tumor phenotype (N-2288) show tumor cells that are CD3+, B220−, CD2+, aβTCR+, and both CD4+/CD8+, as well as CD4+/CD8− and CD4−/CD8+. (B-D) Immunoglobulin and T-cell receptor gene rearrangements in tumors from transgenic animals. (B)EcoRI digests, μVJ probe; faint low–molecular-weight bands in transgenic samples are due to nonspecific probe binding. (C)EcoRI + BamHI digests, kC probe; (D) HindIII digests, βTCR probe. Southern blot analyses of genomic DNA from tumor samples show clonal rearrangements of the immunoglobulin heavy-chain locus in I-line mice. The N-line founder shows a clonal rearrangement of the βTCR locus. Conversely, tumors from I-line mice do not show rearrangements of the kappa light-chain locus or βTCR locus. Genomic tail DNA from an unaffected littermate is used as a control and the germline bands are indicated by an arrow.
Flow cytometric analysis and immunoglobulin gene rearrangement studies of tumor cells from transgenic animals. (A) Flow cytometric analysis of involved tissues from from affected mice. I-line mice and N-line mice with lymphoma phenotype (I-836) show a large population of early B cells (B220+, CD3−, CD43+, BP-1+, CD117+, IgM−) in lymph node tumors (shown), as well as in bone marrow, spleen, and peripheral blood (data not shown). N-line animals with leukemic phenotype (N-2051) do not have adenopathy, but show a similar immunophenotype in the spleen (shown), marrow and blood (not shown). Normal cells can also be seen in these samples. Cells from an N-line animal with mediastinal tumor phenotype (N-2288) show tumor cells that are CD3+, B220−, CD2+, aβTCR+, and both CD4+/CD8+, as well as CD4+/CD8− and CD4−/CD8+. (B-D) Immunoglobulin and T-cell receptor gene rearrangements in tumors from transgenic animals. (B)EcoRI digests, μVJ probe; faint low–molecular-weight bands in transgenic samples are due to nonspecific probe binding. (C)EcoRI + BamHI digests, kC probe; (D) HindIII digests, βTCR probe. Southern blot analyses of genomic DNA from tumor samples show clonal rearrangements of the immunoglobulin heavy-chain locus in I-line mice. The N-line founder shows a clonal rearrangement of the βTCR locus. Conversely, tumors from I-line mice do not show rearrangements of the kappa light-chain locus or βTCR locus. Genomic tail DNA from an unaffected littermate is used as a control and the germline bands are indicated by an arrow.
TEL/PDGFβR lymphoid tumors are clonal.
Clonality of tumors was assessed in transgenic mice by Southern blot analysis with probes for the immunoglobulin heavy-chain, kappa light-chain, and βTCR loci (Fig 3B through D). Clonal rearrangements were detected in I-line tumor tissue with probes for the immunoglobulin heavy-chain locus, but not for the kappa light-chain or βTCR loci, consistent with the histopathologic and flow cytometry data. Furthermore, these data show that in addition to expression of TEL/PDGFβR, tumorigenesis requires additional mutations to give rise to the full malignant phenotype.
TEL/PDGFβR is expressed in involved tissues from transgenic mice.
Expression of TEL/PDGFβR in tissues involved with lymphoma was confirmed by both reverse-transcriptase polymerase chain reaction (RT-PCR) and by Western blot analysis in I-line (Fig4) and N-line mice (data not shown). RT-PCR used primers flanking an intron in the TEL/PDGFβR construct (Fig 1) so that amplimers resulting from contaminating genomic DNA could be distinguished from those arising from cDNA on the basis of size. TEL/PDGFβR transcript was detected in marrow, spleen, and nodes of transgenic animals, but not in marrow or spleen of controls (Fig 4A). TEL/PDGFβR protein was detected by Western blotting with anti-PDGFβR antibody in nodes and bone marrow, but not in kidney of transgenic mice or marrow of control mice (Fig 4B).
Assessment of TEL/PDGFβR transgene expression: the fusion protein is expressed in tumors and hematopoietic tissues from transgenic mice, but not in tissues from normal controls. (A) PCR of RNA isolated from transgenic and normal mouse tissues. The forward primer (TPY3F, 5′-TAC AAA AAG TAC CAG CAG-3′) binds the 3′ end of the PDGFβR, and the reverse primer (HBG1, 5′-GCG AGC TTA GTG ATA CTT GT-3′) anneals to the antisense strand of the human β-globin exon 3 and were designed to span the β-globin intron in the transgenic construct (see Fig 2). Samples contaminated with genomic DNA give a larger, 1.6-kb product (data not shown). The 0.7-kb product expected from the amplification of spliced mRNA is seen in samples isolated from transgenic mouse tumor, spleen, and bone marrow, but not in normal spleen, bone marrow, or in reverse transcriptase–negative controls. (B) Western blot of whole-cell lysates from tumors (N), bone marrow (M), and kidney (K). The antibody used was tail PDGFβR. The TEL/PDGFβR protein runs as a doublet, as reported previously,10 due to an alternate start site for translation within the TEL gene.
Assessment of TEL/PDGFβR transgene expression: the fusion protein is expressed in tumors and hematopoietic tissues from transgenic mice, but not in tissues from normal controls. (A) PCR of RNA isolated from transgenic and normal mouse tissues. The forward primer (TPY3F, 5′-TAC AAA AAG TAC CAG CAG-3′) binds the 3′ end of the PDGFβR, and the reverse primer (HBG1, 5′-GCG AGC TTA GTG ATA CTT GT-3′) anneals to the antisense strand of the human β-globin exon 3 and were designed to span the β-globin intron in the transgenic construct (see Fig 2). Samples contaminated with genomic DNA give a larger, 1.6-kb product (data not shown). The 0.7-kb product expected from the amplification of spliced mRNA is seen in samples isolated from transgenic mouse tumor, spleen, and bone marrow, but not in normal spleen, bone marrow, or in reverse transcriptase–negative controls. (B) Western blot of whole-cell lysates from tumors (N), bone marrow (M), and kidney (K). The antibody used was tail PDGFβR. The TEL/PDGFβR protein runs as a doublet, as reported previously,10 due to an alternate start site for translation within the TEL gene.
I-line Hardy C lymphoblastic lymphoma is transplantable.
To confirm the malignant phenotype of lymphoma cells, 104tumor cells in single-cell suspensions derived from I-line lymph node tumors were transplanted by intravenous injection from an affected transgenic animal into sublethally irradiated syngeneic mice. Tumors developed in these transplanted mice 3 to 4 weeks after transplantation and affected liver, lymph node, marrow, and spleen tissues. Histopathologic and flow cytometric analysis was consistent with B-cell lymphoblastic lymphoma, demonstrating that the transplanted tumors retained the same morphology and immunophenotype as the primary B-cell lymphoblastic lymphoma (data not shown). Tumors also developed in unirradiated recipient mice that received 105 lymph node cells (data not shown).
Other transgenic lines of TEL/PDGFβR mice also develop lymphoblastic lymphoma.
The N-line founder developed a massive mediastinal mass with involvement of pulmonary parenchyma and spleen. Histopathologic examination was consistent with lymphoblastic lymphoma (Fig 2 D and E). Flow cytometric analysis of tumor cells (Fig 3A) showed CD3+, CD2+, αβTCR+, and B220− cells consistent with T-cell lymphoblastic lymphoma. Southern blot analysis confirmed a clonal rearrangement of the TCRβ locus, but not of immunoglobulin heavy-chain or kappa chain loci (Fig 3B through D). RT-PCR confirmed the presence of TEL/PDGFβR transcript (data not shown). Five F1 progeny of the N-line founder have developed a distinct clinical phenotype consisting of massive splenomegaly, weight loss, and eventually hind limb paralysis. The spleen and bone marrow of these animals was involved with lymphoblastic lymphoma (Fig 2F and G) with an identical immunophenotype to that seen in I-line animals, and there were tumor cells circulating in the blood (data not shown). The phenotype of splenomegaly with bone marrow involvement by Hardy C lymphoblastic lymphoma cells is most analogous to human pre-B-cell ALL. Last, one mouse from the N line developed massive lymphadenopathy that was histologically and immunophenotypically identical to that seen in I-line mice.
Treatment with a specific tyrosine kinase inhibitor.
Transgenic I-line mice were treated with daily IP injections of CGP57148 (50 mg/kg).29 CGP57148 is a specific inhibitor of the PDGFβR and ABL kinases at concentrations as low as 1 μmol/L,15 but has no effect on a broad spectrum of other tyrosine and serine/threonine kinases at concentrations as high as 100 μmol/L. Mice were treated for 30 consecutive days, and did not display any obvious toxicity from the treatment. Control mice were treated with PBS for the same duration. There was a statistically significant prolongation of survival in mice treated with CGP57148 compared with PBS controls (Fig 5A). Latency was prolonged by approximately the same duration as CGP57148 therapy in this experiment, suggesting that CGP57148 may have inhibited growth of these cells or prevent tumor progression, but did not eradicate TEL/PDGFβR-expressing cells at the concentration and dosing schedule used in this experiment.
Improved survival of Eμ-TEL/PDGFβR transgenic mice treated with the specific tyrosine kinase inhibitor CGP57148. (A) Premalignant mice model: 6 I-line mice between 5 and 7 weeks old without evidence of malignancy on examination were treated with daily IP injections of CGP57148 for 30 days (—). Concurrently, 9 similar animals were treated with PBS as a control (——). Time to development of overt malignancy is delayed and survival is improved in animals treated with CGP57148. (B) Tumor transplant model: tumor cells from an I-line mouse with massive lymphadenopathy were put into single-cell suspension, and 104 cells were injected into sublethally irradiated syngeneic mice. Ten were treated with CGP57148 (—) and 9 were treated with PBS (—-) for 21 days. Again, mice treated with CGP57148 had a statistically significant improvement in survival. In both figures, an open bar represents the duration and timing of CGP57148 or PBS.
Improved survival of Eμ-TEL/PDGFβR transgenic mice treated with the specific tyrosine kinase inhibitor CGP57148. (A) Premalignant mice model: 6 I-line mice between 5 and 7 weeks old without evidence of malignancy on examination were treated with daily IP injections of CGP57148 for 30 days (—). Concurrently, 9 similar animals were treated with PBS as a control (——). Time to development of overt malignancy is delayed and survival is improved in animals treated with CGP57148. (B) Tumor transplant model: tumor cells from an I-line mouse with massive lymphadenopathy were put into single-cell suspension, and 104 cells were injected into sublethally irradiated syngeneic mice. Ten were treated with CGP57148 (—) and 9 were treated with PBS (—-) for 21 days. Again, mice treated with CGP57148 had a statistically significant improvement in survival. In both figures, an open bar represents the duration and timing of CGP57148 or PBS.
In a separate experiment, the effect of CGP57148 was tested in a transplant model. A total of 104 tumor cells derived from affected lymph nodes of transgenic animals were injected intravenously into 19 sublethally irradiated animals; 10 animals then received daily IP CGP57148 as above and nine received PBS. Again, animals treated with the specific kinase inhibitor had a statistically significant inhibition of development of lymphoblastic lymphoma and survived longer than control animals (P = .0040, Fig 5B). These data suggest that even after acquisition of clonal disease through additional mutations, CGP57148 is capable of inhibiting lymphoblastic lymphoma cell growth. Prolongation of latency was approximately equivalent to the duration of CGP57148 therapy.
DISCUSSION
CMML is a subtype of myelodysplastic syndrome and is characterized by dysplastic monocytosis, variable bone marrow fibrosis, and progression to AML. AML is frequently a fatal complication of CMML, but the molecular genetic basis for progression of disease is poorly understood and there are no known therapies to prevent progression.
t(5;12)(q31;p13), a recurring cytogenetic abnormality associated with CMML, results in fusion of the amino terminus of TEL, containing the PNT oligomerization domain, to the tyrosine kinase domain of PDGFβR. The transformation of Ba/F3 cells by TEL/PDGFβR is dependent on PDGFβR tyrosine kinase activity. A kinase inactive point mutant of TEL/PDGFβR is not transforming,10 and the PDGFβR kinase–specific inhibitor CGP57148 inhibits the growth of TEL/PDGFβR-transformed Ba/F3 cells.15 t(5;12)(q31;p13) is exclusively associated with a myeloid leukemia phenotype; it is never seen in association with lymphoproliferative disorders or lymphoid malignancy. We have developed an animal model of TEL/PDGFβR-mediated malignancy to (1) characterize the basis for myeloid lineage specificity of TEL/PDGFβR in humans, (2) test the transforming properties of the fusion protein in vivo, (3) develop a model system for studying progression of disease, and (4) test therapeutic interventions targeted at the PDGFβR kinase.
Expression of TEL/PDGFβR was directed to the lymphoid lineage using the immunoglobulin heavy-chain enhancer-promoter, Eμ. TEL/PDGFβR was capable of transforming primary lymphoid lineage cells, as evidenced by the development of B and T lymphoblastic lymphomas in different transgenic lines of mice. Expression of TEL/PDGFβR was assayed in mice that developed lymphomas. Tumor, but not unaffected tissues, expressed the TEL/PDGFβR mRNA and protein. Eμ is known to direct expression primarily to the B-cell compartment, but low levels of expression have been documented in other cell types, including T cells. In fact, Eμ-E2A/PBX transgenic mice developed T-cell neoplasms exclusively.30 Because Eμ-TEL/PDGFβR transgenic mice develop lymphoid malignancy, the myeloid lineage specificity of TEL/PDGFβR observed in human leukemias is not due to an inherent inability of the fusion protein to transform lymphoid lineage lymphoid cells. These data contrast with transforming proteins such as TAN-1, which has T-cell lineage specificity both in humans and in murine BMT models, or BCR/ABL, which causes both myeloid and lymphoid malignancy in humans and in murine models. The basis for myeloid lineage specificity of TEL/PDGFβR in humans may relate to events in myeloid differentiation that favor acquisition of the TEL/PDGFβR gene rearrangement.
Southern blot analysis of tumor tissue for immunoglobulin gene rearrangement showed clonal tumors in both B and T lymphoblastic lymphomas. TEL/PDGFβR is transmitted in the germ line, and would be expected to generate polyclonal tumors if it were sufficient to cause hematopoietic malignancy. The finding of clonal tumors shows acquisition of additional mutations in disease pathogenesis in this model, and recapitulates human CMML, in which acquisition of second mutations is associated with progression of disease to AML. For example, in the index case of CMML with t(5;12)(q31;p13), progression to AML was associated with acquisition of t(8;21).4However, in most cases, the nature of the second mutation is unknown. The transgenic mouse model of TEL/PDGFβR-mediated hematologic malignancy provides a reagent for identifying additional mutations associated with disease progression.
Transformation of CMML to AML is frequently a fatal complication. However, the clinical phenotype of CMML is relatively benign, and many patients are asymptomatic at presentation. Specific tyrosine kinase inhibitors of the 2-phenylaminopyrimidine class offer the opportunity for intervention in disease progression. CGP57148 is a specific inhibitor of the PDGFβR and ABL kinases, with negligible effect on other tyrosine and serine/threonine kinases at concentrations in the 0.1 to 1 μmol/L range.15,31,32 Furthermore, CGP57148 inhibits the growth of TEL/PDGFβR-transformed Ba/F3 cells, and inhibition can be rescued by addition of IL-3, demonstrating that the effect of CGP57148 is specific for PDGFβR.15
To determine whether CGP57148 could prolong disease latency in the TEL/PDGFβR transgenic model, drug was administered by daily IP injections for 30 days. Although the compound can inhibit both native PDGFβR and c-Abl kinases, there was no observed toxicity. Furthermore, there was statistically significant prolongation of latency of disease of approximately the same duration as administration of drug. CGP57148 has previously been shown to be active in vivo against BCR/ABL.31 Our data suggest that CGP57148 may also be useful clinically in prolonging disease latency in humans with TEL/PDGFβR-mediated disease. Drug efficacy could potentially be improved by testing modulations in dose, schedule, or route of administration in this animal model. For example, the half-life of CGP57148 in vivo measured in rats is approximately 4 hours (B. Druker, unpublished observation); thus, single-day dosing might not be expected to give maximal efficacy.
The effect of CGP57148 was then tested on tumor cells in a transplant model in which tumor cells were introduced into a syngeneic recipient. There was also a statistically significant prolongation of disease latency in this context as well, demonstrating that CGP57148 is able to inhibit the growth of tumor cells expressing TEL/PDGFβR even after the acquisition of additional mutations. However, tumor cells were apparently not killed by the drug treatment. It is plausible that CGP57148 inhibits the proliferation of cells mediated by TEL/PDGFβR, but that after cessation of therapy, tumor cells are again able to proliferate. This hypothesis could be further explored by testing the effect of CGP57148 ex vivo on tumor cells before transplantation.
The present study shows that TEL/PDGFβR can cause hematopoietic malignancy in a transgenic mouse model, and is capable of causing lymphoid malignancy in this context, despite myeloid lineage specificity in humans. CGP57148, a PDGFβR-specific tyrosine kinase inhibitor, is nontoxic in mice under the conditions used, and prolongs disease latency both in transgenic mice and in transplanted tumor cells. Although these pilot experiments used a small number of animals, the results were statistically significant. Further analysis of CGP57148 and other compounds in this animal model may identify novel therapies to treat CMML in humans and prevent disease progression.
ACKNOWLEDGMENT
The authors thank M. Ryan for assistance in preparing the manuscript and K. Weilbaecher, M. Carroll, D. Sternberg, and T. Ross for helpful discussions and critical reading of the manuscript.
Supported in part by the Lauri Strauss Leukemia Foundation and the Leukemia Society of America (LSA) Grant No. 5461-98 (M.H.T.), National Institutes of Health Grant No. P01CA66996-01, and the Lawrence Family Foundation. D.G.G. is an investigator in the Howard Hughes Medical Institute and is the Stephen Birnbaum Scholar of the LSA.
The publication costs of this article were defrayed in part by page charge payment. This article must therefore be hereby marked “advertisement” in accordance with 18 U.S.C. section 1734 solely to indicate this fact.
REFERENCES
Author notes
Address reprint requests to D. Gary Gilliland, MD, PhD, Division of Hematology, Brigham and Women’s Hosptal, Harvard Institutes of Medicine, Room 420, Boston, MA 02115.






