Abstract
Generally, nonsense codons 50 bp or more upstream of the 3′-most intron of the human β-globin gene reduce mRNA abundance. In contrast, dominantly inherited β-thalassemia is frequently associated with nonsense mutations in the last exon. In this work, murine erythroleukemia (MEL) cells were stably transfected with human β-globin genes mutated within each of the 3 exons, namely at codons 15 (TGG→TGA), 39 (C→T), or 127 (C→T). Primer extension analysis after erythroid differentiation induction showed codon 127 (C→T) mRNA accumulated in the cytoplasm at approximately 20% of the normal mRNA level. Codon 39 (C→T) mutation did not result in significant mRNA accumulation. Unexpectedly, codon 15 (TGG→TGA) mRNA accumulated at approximately 90%. Concordant results were obtained when reticulocyte mRNA from 2 carriers for this mutation was studied. High mRNA accumulation of codon 15 nonsense-mutated gene was revealed to be independent of the type of nonsense mutation and the genomic background in which this mutation occurs. To investigate the effects of other nonsense mutations located in the first exon on the mRNA level, nonsense mutations at codons 5, 17, and 26 were also cloned and stably transfected into MEL cells. After erythroid differentiation induction, mRNAs with a mutation at codon 5 or 17 were detected at high levels, whereas the mutation at codon 26 led to low mRNA levels. These findings suggest that nonsense-mediated mRNA decay is not exclusively dependent on the localization of mutations relative to the 3′-most intron. Other factors may also contribute to determine the cytoplasmic nonsense-mutated mRNA level in erythroid cells.
Introduction
Mutations that introduce premature translation termination codons (CD) into protein-coding gene regions result more often than not in decreased steady state levels of the corresponding mRNA. This nonsense codon-mediated mRNA decay (NMD) has been found in bacterial, yeast, plant, and mammalian cells (for a review, see Frischmeyer and Dietz1 and references thereafter2-18).
It has been proposed that in the human β-globin gene, mutations causing translation-premature termination in exons 1 and 2 result in a decrease of the mRNA from the affected allele, causing a 50% reduction of total β-globin chain synthesis in the heterozygote.12,19-24 However, nonsense codons within the third (final) exon do not seem to reduce β-globin mRNA abundance.25,26 The latter mutations allow for the generation of truncated protein in an amount that approximates the amount of full-length protein from a normal allele.25 26It is postulated that this additional burden causes saturation of the proteolytic system of the erythroid precursor cells, leading to the precipitation of insoluble globin chains, which is likely to contribute to ineffective erythropoiesis and to result in dominantly inherited β-thalassemia.
Several authors have been mapping the boundary between nonsense codons that do and do not reduce the abundance of human β-globin mRNA.12,14,15 Their results have shown that in nonerythroid cells, a boundary exists within exon 2. Data from these studies indicate that NMD requires at least 1 intron 3′ of the nonsense codon.14,15 The minimum interval between the nonsense codon causing NMD and the 3′-most exon–exon junction has been estimated to be approximately 50 nucleotides for the β-globin mRNA.14,15 These authors also showed that nuclear splicing and cytoplasmic translation co-operate to enact a mechanism that distinguishes physiological from premature translation termination codons, leading to decay of the mutant mRNA.14 15
In the current work, we describe the impact of nonsense mutations on the cytoplasmic human β-globin mRNA accumulation in differentiated erythroid cells. Our results show that after erythroid differentiation induction, nonsense mutations in the 5′ half of exon 1 fail to specify NMD. Additional data are presented to support the hypothesis that in erythroid cells, the localization of nonsense mutations relative to the 3′-most intron of the human β-globin gene does not seem to be the only factor in determining the corresponding level of cytoplasmic mRNA accumulation.
Materials and methods
Plasmids
Plasmids containing the human β-globin gene were derived from p158.2 (kindly donated by Dr S Liebhaber, Philadelphia, PA), which comprises the 4.1-kb HpaI/XbaI genomic fragment encoding the entire 1.6-kb gene along with 0.8 kb of the 3′ flanking region and 1.7 kb of the 5′ flanking sequence, adjacent to a 1.9-kbKpnI/PvuII DNA fragment of the human β-globin locus control region DNase-hypersensitive site 2.27Variant β-globin genes carrying CD 15 (TGG→TGA) (β15), CD 39 (C→T) (β39), or CD 127 (C→T) (β127) mutations were obtained by amplifying genomic DNA fragments from β-thalassemia carriers or patients with those mutations. Polymerase chain reactions (PCR) performed to obtain fragments with β15 or β39 mutations, included primers L5′β 5′-TAAGCCAGTGCCAGAAGAG-3′ and R5′β 5′-TCCCATTCTAAACTGTACCC-3′ in a 100-μL mix containing 200 ng template DNA, 100 pmol of each oligomer, 250 mmol/L of each dNTP, 1×Taq polymerase buffer, and 2 U Taq polymerase (Perkin-Elmer Cetus, Branchburg, NJ). Amplifications were performed under the following conditions: 95°C for 5 minutes, 60°C for 2 minutes, 72°C for 2 minutes (1 cycle); 92°C for 1 minute, 60°C for 1 minute, and 72°C for 2.5 minutes (30 cycles); and 72°C for 5 minutes (1 cycle). To obtain DNA fragments carrying the β127 mutation, primers 4748-4767 5′-AACGTGCTGGTCTGTGTGCT-3′ and 5708-5727 5′-AGAATGGGACTTCCATTTGG-3′ were used. Amplifications were performed as above but with an extension temperature of 57°C. Amplified DNA fragments were purified with the QIAquick PCR purification kit (Qiagen, Hilden, Germany) and cloned into pCR vector (Invitrogen, NV Leek, The Netherlands) according to the manufacturer's protocol. Desired mutant plasmids were identified by PCR, using replicate bacterial colonies as DNA templates, and a set of oligomers specific for the originally amplified human β-globin gene fragment. After visualizing the amplified DNA fragments in an agarose gel, the plasmid DNA, corresponding to the replicate bacterial colonies containing the expected fragment size, was extracted and sequenced by the dideoxy method using the Sequenase Kit Version 2.0 (US Biochemical, Cleveland, OH). Fragments containing the β15 or β39 mutation were produced with NcoI and BamHI digestion, gel-purified, and ligated into the NcoI/BamHI site of p158.2 using T4 DNA ligase (Amersham, Buckinghamshire, UK), according to the manufacturer's protocol. Fragments containing the β127 mutation were produced with EcoRI and EcoNI digestion, gel-purified, and ligated into the EcoRI/EcoNI sites of p158.2. Competent Escherichia coli TG1 cells were transformed with the ligation mix by heat-shock. Correct mutant plasmids were identified by sequencing the DNA fragment located between the NcoI and BamHI sites or betweenEcoRI and 100 bp downstream of the polyadenylation sites.
Synthesis of β-globin gene variants
Additional variant β-globin genes were created containing nonsense mutations at CD 5 (CCT→TAG) (β5), CD 15 (TGG→TAG), CD 15 (TGG→TAA), CD 15 (TGG→TGA) in cis to CD 2 positive forApaLI/AspHI, CD 17 (AAG→TAG) (β17), or CD 26 (GAG→TAG) (β26). These variant human β-globin genes were synthesized by creating point mutations within the 428-bpNcoI–BamHI fragment by overlap-extension PCR and ligating the mutant sequences into the preparedNcoI/BamHI site of p158.2. Oligomers were synthesized by Life Technologies (Barcelona, Spain) (Table1). Mutations indicated above were introduced by a similar strategy that is described in detail for nonsense mutations at CD 5. The first PCR reaction included sense primer L5′β and the mutagenic antisense primer β5(ATC)b (Table 1) in a 50-mL mix containing 50 ng template DNA, 100 ng each primer, 250 mmol/L each dNTP, 1× Pfu buffer, and 2.5 U clonedPfu DNA polymerase (Stratagene, Cambridge, UK). An overlapping fragment was generated by the second PCR reaction, which comprised the same reaction mix but with mutagenic sense oligomer β5(TAG)c (Table 1) and R5′β. Amplifications were performed at the following settings: 94°C for 45 seconds (1 cycle); 94°C for 45 seconds, 53°C for 45 seconds, 72°C for 45 seconds for the first PCR reaction or 72°C for 1 minute 15 seconds for the second PCR reaction (30 cycles); 72°C for 10 minutes (1 cycle). One microliter each of reactions 1 and 2 was combined with 48 μL PCR reaction containing oligomers L5′β and R5′β and amplified using 94°C for 45 seconds (1 cycle); 94°C for 45 seconds, 53°C for 45 seconds, 72°C for 1 minute 45 seconds (30 cycles); and 72°C for 10 minutes (1 cycle). The amplified product was first cloned in pCR vector, as described above. The NcoI/BamHI fragment was gel-purified and ligated into the NcoI/BamHI sites of p158.2, as previously described. Mutation CD 15 (TGG→TGA) in cis to CD 2 positive for ApaLI/AspHI was constructed just with PCR reaction 1. This reaction mix was obtained as described for the other β-globin gene variants, but including oligomers 3438-3457 5′-GACACCATGGTGCACCTGAC-3′ and R5′β and using as a DNA template the plasmid presenting the human β-globin gene with the nonsense mutation CD 15 (TGG→TGA). Oligomer 3438-3457 comprises the NcoI restriction site (underlined sequence) located in the initiation translation codon and theApaLI restriction site (sequence in italic) located at CD 1/2 of the human β-globin gene. The integrity of all clones was verified by DNA sequencing.
Cell culture and transfection
Murine erythroleukemia (MEL) cells, which primarily express adult α- and β-globins, were cultured in RPMI medium with Glutamax-1 (Gibco-BRL, Paisley, UK), supplemented with 10% fetal bovine serum, 100 U/mL penicillin, and 100 μg/mL streptomycin at 37°C/5% CO2. Cells in log phase were washed twice in excess cold phosphate-buffered saline (PBS) and resuspended in cold PBS to a density of 7.8 × 107 cells/mL. Aliquots of 12.5 × 106 cells were transferred to electroporation chambers (Bio-Rad, Hercules, CA). Because the recombinant plasmids do not contain the gene that encodes the drug-resistance function used in selecting stable transformants, cotransfections were made with 10 μg p158.2 or its derivatives linearized with SalI, and 1 μg pCDNAneoI (Invitrogen) linearized with AccI. Forty micrograms of a carrier plasmid were added to increase efficiency, to a final volume of 40 μL. Electroporations were performed in a Cell-Porator (Power Pac 300; Bio-Rad) apparatus at the following settings: high ohms, 250 V, and 960 μF. Cells were placed at room temperature for 10 minutes and then equally divided into two 75-cm2 tissue culture flasks containing 15 mL supplemented RPMI+Glutamax-1 media. Two days after electroporation, cells were plated in selection growth medium by adding G418 (Gibco-BRL) to 700 μg/mL. Approximately 15 days later, the selection was complete, and the G418 concentration was reduced and maintained at 400 μg/mL. From each transfection, one pool of stably transfected cells was established by expanding the G418-resistant cells that survived after 2 weeks in selective medium. Pellets of 107 cells were obtained and frozen at −70°C for further analysis. Erythroid cell differentiation was induced in an equal amount of transfected MEL cells by adding 2% (vol/vol) dimethyl sulfoxide to the media during 5 consecutive days.
RNA isolation
Cytoplasmic total RNA from MEL cells was prepared using the RNeasy total kit (Qiagen) following the manufacturer's instructions. RNA pellets were resuspended in sterile water and stored at −70°C. Total reticulocyte RNA was isolated from human peripheral blood by phenol extraction of acid-precipitated polysomes.28 The RNA pellets were resuspended in sterile water and stored at −70°C.
Primer extension
Specific oligonucleotides for human β-globin gene 5′-CCACAGGGCAGTAACGGCAGA-3′ and mouse α-globin gene 5′-CAGCCTTGATGTTGCT-3′ were end-labeled by incubating 2 pmol of each oligomer with [γ-32P] ATP (approximately 3000 Ci/mmol) and T4 polynucleotide kinase in a 10 μL reaction for 30 minutes at 37°C. The labeled product was purified on a G-25 Sephadex mini-spin column. A master mixture was carried out that contained approximately 0.05 pmol (5 × 105 cpm) of each 5′ end-labeled oligonucleotide per sample, in a solution of 0.4 mol/L NaCl, 10 mmol/L Pipes, pH 6.5, and 1 mmol/L EDTA, pH 8.0. Each hybridization was done to 10 μg total RNA with an excess of primer (Figure 1, lanes 11, 12, 13) for 4 hours at 50°C. Then reactions were ethanol-precipitated, washed in 70% ethanol, dried, and resuspended in a solution containing 50 mmol/L Tris-HCl, pH 7.5, 3 mmol/L MgCl2, 10 mmol/L dithiothreitol (DTT), 75 mmol/L KCl, 0.5 mmol/L of each dNTP, 0.1 mg/mL bovine serum albumin, 0.1 mg/mL actinomycin D, 20 U RNasin (Pharmacia, Uppsala, Sweden), and 40 U Moloney murine leukemia virus (M-MLV) reverse transcriptase (Gibco-BRL). The reaction mixture was incubated for 40 minutes at 37°C and was followed by extraction with phenol/chloroform/isoamyl alcohol. Nucleic acids were ethanol precipitated, washed, dried, resuspended in denaturing buffer, and electrophoresed on an 8% polyacrylamide–8 mol/L urea gel. The intensity of each band on autoradiographs was quantitated by densitometry (Sharp Scanner JK-330; Image Master Software Phoretix; Pharmacia).
Representative autoradiograph of the primer extension analysis of MEL cell RNA, before (lanes 1, 3, 5, 7) and after erythroid differentiation induction (lanes 2, 4, 6, 8, 11, 12, 13), transfected with normal (lanes 1, 2, 11, 12, 13), β15 (lanes 3, 4), β39 (lanes 5, 6), or β127 (lanes 7, 8) β-globin genes.
Human β- and mouse α-globin specific oligonucleotides were hybridized with 10 μg murine RNA and then extended with reverse transcriptase as described in “Materials and methods.” Two hundred fifty nanograms of human reticulocyte RNA (lane 9) and 10 μg untransfected MEL cells mRNA (lane 10) were also reverse transcribed to show the positions of human β- (96 nt) and mouse α-globin (76 nt) cDNA, respectively. In addition, 1, 10, and 15 μg RNA extracted from cells transfected with the normal β-globin gene (lanes 11, 12, 13, respectively) were transcribed to show that the experiment was carried out in the presence of primer in excess. Levels of human β-globin mRNA (hβ) relative to endogenous mouse α-globin mRNA (mα) are indicated at the bottom.
Representative autoradiograph of the primer extension analysis of MEL cell RNA, before (lanes 1, 3, 5, 7) and after erythroid differentiation induction (lanes 2, 4, 6, 8, 11, 12, 13), transfected with normal (lanes 1, 2, 11, 12, 13), β15 (lanes 3, 4), β39 (lanes 5, 6), or β127 (lanes 7, 8) β-globin genes.
Human β- and mouse α-globin specific oligonucleotides were hybridized with 10 μg murine RNA and then extended with reverse transcriptase as described in “Materials and methods.” Two hundred fifty nanograms of human reticulocyte RNA (lane 9) and 10 μg untransfected MEL cells mRNA (lane 10) were also reverse transcribed to show the positions of human β- (96 nt) and mouse α-globin (76 nt) cDNA, respectively. In addition, 1, 10, and 15 μg RNA extracted from cells transfected with the normal β-globin gene (lanes 11, 12, 13, respectively) were transcribed to show that the experiment was carried out in the presence of primer in excess. Levels of human β-globin mRNA (hβ) relative to endogenous mouse α-globin mRNA (mα) are indicated at the bottom.
Reverse transcription–polymerase chain reaction assay
A 10-μL reaction mixture containing 50 pmol oligomer RNA3′UTAS 5′-GGCCCTTCATAATATCCCCCAGT-3′ and 1 μg human reticulocyte RNA was heated to 95°C for 2 minutes and then chilled on ice. Ten microliters of a reverse transcription (RT) reaction mix, 3 μL of 5× M-MLV buffer (Gibco-BRL), 25 mmol/L of each dNTP, 15 mmol/L DTT, 10 U RNasin (Gibco-BRL), and 40 U M-MLV RT (Gibco-BRL) were added. The reaction was incubated for 1 hour at 42°C. A 50-μL PCR reaction containing 100 pmol of each oligomer PL-50 5′-GCTTACATTTGCTTCTGACAC-3′, 2AS 5′-GTGATACTTGTGGGCCAGGGCAT-3′, and 2 μL RT sample, as template, was carried out as described above. Amplifications were performed in a thermal cycler (Hybaid; Omn-E) at the following settings: 94°C for 3 minutes, 54°C for 2 minutes (1 cycle); 72°C for 1.5 minutes, 94°C for 1 minute, 54°C for 1 minute (20, 25, or 30 cycles); and 72°C for 8 minutes (1 cycle). After visualization of 5 μL of each PCR product in agarose gel, the remaining reaction mixture was extracted with phenol/chloroform/isoamyl alcohol in a 25:24:1 ratio and precipitated. Pellets were resuspended in 10 μL sterile water. Four microliters of each sample were digested with ApaLI andAspHI, in parallel, using recommended buffers and conditions (New England Biolabs, Schwalbach/Taunus, Germany). Undigested and digested samples were analyzed on a 2% Nusieve agarose gel, stained with ethidium bromide. Band intensities were quantitated by densitometry as described above.
Differential termination of primer extension
Two picomoles of a 17-mer oligonucleotide 5′-TCATCCACGTTCACCTT-3′ were end-labeled and purified as described above. Approximately 0.05 pmol (5 × 105 cpm) of the end-labeled oligonucleotide were hybridized to 1 μg total human reticulocyte RNA for 2 hours at 42°C, in a volume of 10 μL. After hybridization the samples were reverse transcribed, in the absence of dTTP, in 20 μL of a solution containing 50 mmol/L Tris-HCl, pH 7.5, 3 mmol/L MgCl2, 10 mmol/L DTT, 75 mmol/L KCl, 0.5 mmol/L dATP, dCTP, and dGTP, 0.1 mg/mL actinomycin D, 20 U RNasin (Gibco-BRL), and 40 U M-MLV reverse transcriptase (Gibco-BRL). The reaction mixtures were incubated for 40 minutes at 37°C and then extracted with phenol/chloroform/isoamyl alcohol, precipitated, resuspended in denaturing buffer, and electrophoresed on a 20% polyacrylamide sequencing gel, using the end-labeled 17-mer as size marker. The resultant autoradiographic signals were quantitated by densitometry as described above.
Results
Cytoplasmic mRNA levels of nonsense-mutated β-globin genes in stably transfected MEL cells
The aim of this study was to elucidate the effect of the position of nonsense mutations on the corresponding cytoplasmic mRNA accumulation. For this purpose we analyzed 3 different nonsense mutations, CD 15 (TGG→TGA), CD 39 (C→T), and CD 127 (C→T), located in the first, second, and third exons of the human β-globin gene, respectively. Each nonsense-mutated human β-globin gene was cloned into the p158.2 vector and stably transfected into MEL cells. A primer extension assay was carried out to quantify the human β-globin mRNA accumulation (Figure 1; 96 nt band) before and after the induction of MEL cell erythroid differentiation. Expression of each mutant allele was compared to the expression of the normal human allele, using the expression of the endogenous mouse α-globin gene (Figure 1, 76 nt band) as an internal control. Figure 1 shows that without induction of the transfected MEL cells (lanes 1, 3, 5, and 7), neither the heterologous nor the endogenous globin genes were expressed. In contrast, the differentiation of erythroid cells induced globin gene expression (lanes 2, 4, 6, and 8). The average mRNA accumulation level from the globin gene mutated in exon 2 (β39) represents only 2% of the normal, whereas the average level of β127 represents 20% of the normal level (from duplicate experiments). However, the average level of cytoplasmic β15 mRNA accumulation, from 4 different experiments, represents 90% of the wild-type mRNA level. These data indicate that nonsense mutations in the first exon of the human β-globin gene may result in a high cytoplasmic mRNA accumulation, whereas mutations in exon 3 may result in intermediate levels. The discrepancy between our results with the β127 allele and those published by Hall and Thein25 may be attributed to the marked difference in experimental protocols used in the 2 studies: reticulocyte RNA assayed by RT-PCR (Hall and Thein25) and stably transfected differentiated MEL cell RNA assayed by primer extension (this study). However, in qualitative terms, both studies agree in that the β127 nonsense mutation leads to measurable mRNA accumulation.
RT-PCR analysis of the β15 transcript in β-thalassemia carriers
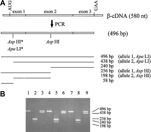
The results described above, obtained in MEL cells stably transfected with the human β15 allele, were unexpected as they showed a high level of transcripts expressed from this gene. It would, therefore, be interesting to test whether these levels were also found in peripheral reticulocytes from persons carrying this mutation. The β15 nonsense mutation carriers studied here were heterozygous for anAspHI or an ApaLI polymorphism, located in codon 2 of the human β-globin gene,29 30 with the β15 allele linked to the absence of the restriction site (Figure2). β-Globin cDNA was generated by RT from reticulocyte mRNA, and fragments measuring 496 bp were amplified by PCR (Figure 3B, lanes 1, 4, and 7). The expression of each allele was then assessed by the AspHI and ApaLI polymorphisms to distinguish mRNA derived from the normal allele and the mutated allele. Results showed that mutant mRNA was present in the reticulocytes of both β15 carriers at almost normal levels (Figure 3B). To improve the estimate of the expression of the mutated allele, an additional RT-PCR experiment, under nonlimiting conditions (20 cycles of amplification), was carried out. RT-PCR products were digested with ApaLI. Results from 2 different experiments showed the average level of the mutated allele expression was approximately 70% that of the normal allele.
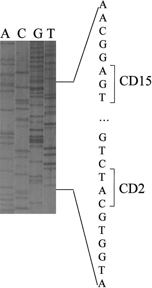
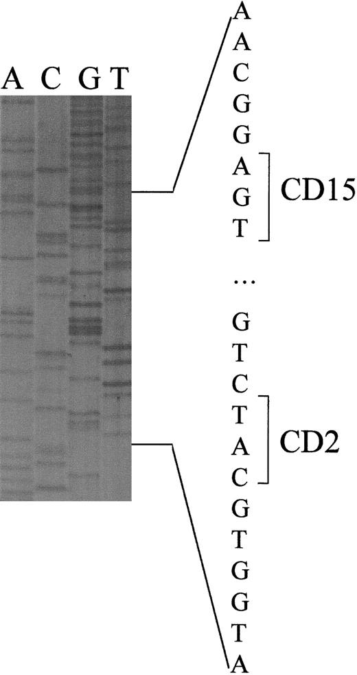
Sequence analysis of a cloned β-globin gene in the region of exon 1 from a carrier of the nonsense mutation (TGG→TGA) at codon 15 in cis to the absence of a ApaLI site at codon 2.
The DNA sequence around codons 2 and 15 is indicated on the right.
Sequence analysis of a cloned β-globin gene in the region of exon 1 from a carrier of the nonsense mutation (TGG→TGA) at codon 15 in cis to the absence of a ApaLI site at codon 2.
The DNA sequence around codons 2 and 15 is indicated on the right.
RT-PCR plus restriction endonuclease analysis of peripheral blood reticulocyte RNA from a normal subject and from 2 β15 carriers.
(A) Schematic representation of the protocol. The reticulocyte mRNA was reverse transcribed, originating cDNA fragments of 580 nt. Boxed areas represent human β-globin gene exons, and AUG and UAA represent translation initiation and termination codons, respectively. β-cDNA was amplified, producing DNA fragments of 496 bp. The localization ofAspHI and ApaLI restriction sites is indicated. The AspHI/ApaLI polymorphic restriction enzyme site, located at codon 2, is indicated by an asterisk. In the β15 carriers, the mutated allele is linked to allele 1 at codon 2. (B) Representative ethidium bromide-stained agarose gel electrophorogram of normal undigested DNA (lane 1), AspHI-digested normal DNA (lane 2), ApaLI-digested normal DNA (lane 3), undigested DNA from 2 β15 carriers (lanes 4 and 7, respectively),AspHI-digested DNA from 2 β15 carriers (lanes 5 and 8, respectively), and ApaLI-digested DNA from 2 β15 carriers (lanes 6 and 9, respectively). Fragment length is indicated on the right.
RT-PCR plus restriction endonuclease analysis of peripheral blood reticulocyte RNA from a normal subject and from 2 β15 carriers.
(A) Schematic representation of the protocol. The reticulocyte mRNA was reverse transcribed, originating cDNA fragments of 580 nt. Boxed areas represent human β-globin gene exons, and AUG and UAA represent translation initiation and termination codons, respectively. β-cDNA was amplified, producing DNA fragments of 496 bp. The localization ofAspHI and ApaLI restriction sites is indicated. The AspHI/ApaLI polymorphic restriction enzyme site, located at codon 2, is indicated by an asterisk. In the β15 carriers, the mutated allele is linked to allele 1 at codon 2. (B) Representative ethidium bromide-stained agarose gel electrophorogram of normal undigested DNA (lane 1), AspHI-digested normal DNA (lane 2), ApaLI-digested normal DNA (lane 3), undigested DNA from 2 β15 carriers (lanes 4 and 7, respectively),AspHI-digested DNA from 2 β15 carriers (lanes 5 and 8, respectively), and ApaLI-digested DNA from 2 β15 carriers (lanes 6 and 9, respectively). Fragment length is indicated on the right.
Quantitative determination of reticulocyte mRNA from β15 carriers by differential termination of primer extension
To investigate by an independent assay whether the β15 allele is highly expressed in vivo, a differential termination of primer extension assay was developed to distinguish normal from nonsense-mutated mRNA alleles in β15 carriers. With this technique, a radioactively end-labeled synthetic 17-nucleotide primer was hybridized to the β-globin mRNA 3 nucleotides downstream to the mutation site. cDNA synthesis in the absence of dTTP resulted in the addition of 14 nucleotides in the normal cDNA and only 3 nucleotides in the nonsense mutated β-globin cDNA (Figure 4A). This assay allowed for the calculation of the proportion of expression of the β15 allele relative to the normal allele by densitometric measurements of the 20-nucleotide (mutant) extension product and 31-nucleotide (normal) extension product (Figure 4B). Results from the 2 β15 carriers in 2 independent experiments showed that expression of the mutated allele is approximately 40% that of the normal allele.
Differential termination of primer extension analysis of peripheral blood reticulocyte RNA from a normal subject or from 2 β15 carriers.
(A) Illustration of the principle underlying the experiment. The end-labeled (represented by *) 17-mer oligonucleotide (underlined sequence), described in “Materials and methods,” was hybridized to the mRNA, and reverse transcription was performed in the absence of dTTP. Products of 31 and 20 nucleotides resulted from the extension of normal and mutant (β15) alleles, respectively. Arrows represent the site of differential termination of primer extension. (B) Representative autoradiograph of PAGE separation of normal cDNA (lane 1), and cDNA from 2 β15 carriers (lanes 2 and 3, respectively). Lane 4 contains an end-labeled 17-nucleotide primer as a size marker. The position of the full-length primer extension product is on the right. The average ratio of mutated versus normal allele expression, using results from 2 independent experiments, is indicated at the bottom.
Differential termination of primer extension analysis of peripheral blood reticulocyte RNA from a normal subject or from 2 β15 carriers.
(A) Illustration of the principle underlying the experiment. The end-labeled (represented by *) 17-mer oligonucleotide (underlined sequence), described in “Materials and methods,” was hybridized to the mRNA, and reverse transcription was performed in the absence of dTTP. Products of 31 and 20 nucleotides resulted from the extension of normal and mutant (β15) alleles, respectively. Arrows represent the site of differential termination of primer extension. (B) Representative autoradiograph of PAGE separation of normal cDNA (lane 1), and cDNA from 2 β15 carriers (lanes 2 and 3, respectively). Lane 4 contains an end-labeled 17-nucleotide primer as a size marker. The position of the full-length primer extension product is on the right. The average ratio of mutated versus normal allele expression, using results from 2 independent experiments, is indicated at the bottom.
Type of nonsense mutation at CD 15 of the human β-globin gene does not influence the high level of the corresponding cytoplasmic mRNA
To elucidate whether the high accumulation level of the human β-globin mRNA presenting the opal TGA mutation at codon 15 resulted from the type of mutation, genes carrying the amber(TGG→TAG) or ocher (TGG→TAA) mutation at codon 15 were also cloned, stably transfected into MEL cells, and studied by primer extension analysis, as described above. Results showed that before MEL cell differentiation induction, neither the heterologous nor the endogenous globin genes were expressed (data not shown). After erythroid differentiation, expression of these genes also revealed high mRNA accumulation levels, as was observed for the gene carrying theopal mutation. Data from 2 independent experiments showed that the average level of cytoplasmic mRNA carrying the mutation CD 15 (TGG→TAG) was 45% of normal and that the mRNA carrying the mutation CD 15 (TGG→TAA) was approximately 75% of normal (Figure5, lanes 3 and 4, respectively).
Representative autoradiograph of the primer extension analysis of MEL cells RNA.
Cells underwent erythroid differentiation induction, and were transfected with β5 (lane 2), β15 (TGG→TAG) (lane 3), β15 (TGG→TAA) (lane 4), β15 (TGG→TGA) ApaLI-positive at codon 2 (lane 5), β17 (lane 6), β26 (lane 7), or normal (lane 8) β-globin genes. Lane 1 contains 250 ng human reticulocyte RNA. Experiment was carried out as described in “Materials and methods” and Figure 1. The position and length of human β- and mouse α-globin cDNA are indicated on the right. Levels of human β-globin mRNA (hβ) relative to endogenous mouse α-globin mRNA (mα) are indicated at the bottom.
Representative autoradiograph of the primer extension analysis of MEL cells RNA.
Cells underwent erythroid differentiation induction, and were transfected with β5 (lane 2), β15 (TGG→TAG) (lane 3), β15 (TGG→TAA) (lane 4), β15 (TGG→TGA) ApaLI-positive at codon 2 (lane 5), β17 (lane 6), β26 (lane 7), or normal (lane 8) β-globin genes. Lane 1 contains 250 ng human reticulocyte RNA. Experiment was carried out as described in “Materials and methods” and Figure 1. The position and length of human β- and mouse α-globin cDNA are indicated on the right. Levels of human β-globin mRNA (hβ) relative to endogenous mouse α-globin mRNA (mα) are indicated at the bottom.
Unexpected high level of erythroid mRNA carrying the mutation CD 15 (TGG→TGA) does not depend on the genomic background in which this mutation occurs
To investigate whether the high mRNA accumulation of the gene carrying the mutation CD 15 (TGG→TGA) resulted from a potentialcis-acting element located within codon 2, this mutation was introduced in a gene that isApaLI/AspHI+ at codon 2. In this context, it should be recalled that the results reported above were obtained with CD 15 (TGG→TGA) linked to theApaLI/AspHI− allele at codon 2. After stably transfecting MEL cells with this new construct, gene expression was analyzed by primer extension before and after erythroid differentiation induction. Results showed that before induction, globin genes were not expressed (data not shown). After erythroid differentiation, results from 2 independent experiments indicated that the mRNA average level was 135% of normal (Figure 5, lane 5). These data indicate that the expression of the human β-globin gene presenting the nonsense mutation CD 15 (TGG→TGA) is high, independently of the presence or absence of theApaLI/AspHI site located at codon 2 (Figure 1, lane 4 vs Figure 5, lane 5). This result suggests that at this position, there is not a cis-acting element involved in enhancing nonsense-mutated mRNA levels, or, if thiscis-acting element indeed exists, the nucleotide substitution at codon 2 does not influence its binding capacity to trans-acting factors.
Other nonsense mutations located in exon 1 of the human β-globin gene give rise to different levels of the corresponding erythroid cytoplasmic mRNA
To investigate whether other nonsense mutations located in exon 1 give rise to high mRNA levels, the following nonsense mutations were introduced in the human β-globin gene cloned in the p158.2 vector: CD 5 (CCT→TAG), CD 17 (AAG→TAG), and CD 26 (GAG→TAG). These constructs were stably transfected into MEL cells, and a primer extension assay was carried out as described above, to quantify the human β-globin mRNA accumulation, before and after the induction of erythroid cell differentiation. Results showed that before induction of the transfected MEL cells, neither the heterologous nor the endogenous globin genes were expressed (data not shown). After erythroid differentiation, globin gene expression was induced (Figure 5). Results from 3 independent experiments indicate that the average levels of the β5, β17, and β26 mRNA were 70%, 80%, and 3% of normal mRNA levels, respectively (Figure 5, lanes 2, 6, and 7, respectively). These findings indicate that nonsense mutations in the 5′ half of exon 1 of the human β-globin mRNA result indeed in a high level of the corresponding cytoplasmic mRNA, whereas mutations in the 3′ half of exon 1 result in almost no mRNA accumulation. Data presented in this work suggest the existence of a boundary between codons 17 and 26 that separates nonsense codons that do and do not escape nonsense-mediated mRNA decay.
Discussion
The small size of the β-globin gene and the wide range of nonsense mutations that have been described at this locus make it an attractive model for investigating the effects of premature translation termination on mRNA metabolism. The current work begins to study the cytoplasmic β-globin mRNA accumulation in stably transfected MEL cells bearing a nonsense mutation located in either the first (β15), the second (β39), or the third (β127) exon of the human β-globin gene. Results show that β15 mRNA accumulates at unexpectedly high levels (Figure 1). Two additional approaches were used to confirm this finding in erythroid cells in vivo (Figures 3 and 4).
Previous studies using different experimental systems had shown that nonsense mutations located either in the first or second exon of the human β-globin gene are associated with low levels of β-globin mRNA accumulation.12,20-22 More recently, 2 distinct studies have shown that nonsense mutations located more than 50 bp upstream of the 3′-most exon–exon junction reduce β-globin mRNA abundance in transiently transfected nonerythroid cells.14 15
The nonsense mutation CD 15 (TGG→TGA) studied here, which is linked to the absence of the ApaLI/AspHI polymorphic restriction site located at codon 2 of the gene,29 is to our knowledge the first nonsense mutation located in exon 1 reported to result in high levels of cytoplasmic mRNA accumulation. A set of additional experiments allowed us to conclude that: (1) The unexpectedly high level of erythroid mRNA accumulation does not depend on the type of nonsense mutation. This observation is in agreement with previous data showing that the type of nonsense mutation does not affect the corresponding mRNA accumulation.12 (2) The high accumulation of the nonsense-mutated mRNA does not depend on the genomic background where the mutation occurs. (3) Other nonsense mutations located in exon 1 also result in high levels of cytoplasmic mRNA accumulation.
The results obtained from the study of nonsense-mutated mRNA at codons 5, 15, or 17 seem to indicate that the human β-globin mRNA carrying a nonsense mutation in the 5′ half of exon 1 escapes NMD. These findings suggest that the spatial relationship between the premature termination codon and the 3′-most exon–exon junction is not the only critical determinant in deciding whether nonsense-mutated transcripts are or are not targeted for decay. The mechanism by which these nonsense transcripts are not targeted for decay is still unknown. It is conceivable that NMD is not operating simply because it is unnecessary to degrade mRNA—the translated β-chains are small enough to be completely hydrolyzed by the red blood cell proteolytic system, thus protecting the organism from the deleterious dominant-negative effects of the truncated peptides.
It is also possible that NMD is abrogated by the fact that the mutation is close enough to the translation initiation codon to allow for translation re-initiation at a consensus sequence31downstream of codon 17. This mechanism was described for other nonsense mutations, such as those affecting the triosephosphate isomerase gene.32 In fact, in the human β-globin gene, there are 2 AUG codons within a consensus initiation translation sequence, located at codons 55 and 73/74. If a re-initiation mechanism is operating in the cell, then small nonfunctional peptides would be produced. These peptides would be degraded by the proteolytic system in the red blood cell precursors, resulting in a typical β-thalassemia minor phenotype as it is observed in vivo. Nevertheless, the mechanism of translation re-initiation proposed above does not explain the β26 or β39 very low mRNA level, unless the translation termination complex located at those codons would still impose steric constraints on the translation initiation complex that could reinitiate at codon 55, thus resulting in NMD. The results described here may indicate the existence of a stabilizing element within exon 1 that would inactivate the NMD pathway through the interaction with stabilizing trans-acting factors.
This work is the first study showing that nonsense mutations in exon 1 of the human β-globin gene (namely at codons 5, 15, and 17) give rise to high mRNA accumulation levels. In fact, previous studies analyzed nonsense transcripts mutated not further upstream than codon 21/22 (Zhang et al15) or codon 26 (Thermann et al14). In both cases a substantial reduction of human β-globin mRNA was reported and was confirmed by our own results with codon 26 nonsense-mutated mRNA. These data may indicate that the boundary between nonsense codons that do or do not inhibit mRNA NMD is located between codons 17 and 21/22.
The current study analyzes the nonsense-mutated mRNA accumulation in an erythroid system: stably transfected mouse erythroid cells or human reticulocytes. The concordance between results obtained in both systems might indicate that the study performed in mouse erythroid cells has allowed us to analyze the gene expression in the presence of the trans-acting factors required for an accurate turnover of the human β-globin nonsense-mutated mRNAs.
Although our results suggest that mRNAs carrying nonsense mutations in the 5′ region of exon 1 trigger a mechanism by which they escape NMD, more experimental data are needed to identify its molecular basis.
Acknowledgments
Plasmid p158.2 was generously provided by S. Liebhaber (University of Pennsylvania, Philadelphia, PA). Genomic DNA carrying the β127 mutation was generously provided by S. Thein (John Radcliffe Hospital, Oxford, UK), and genomic DNA carrying the β15 mutation was generously provided by Isabel Gonçalves (Faculdade de Ciências e Tecnologia, Monte da Caparica, Portugal). L. Romão thanks P.-H. Romeo (INSERM U91, Paris, France) for allowing the training in his laboratory. We thank Peter Jordan, Helena Corte-Real, and Joana Pinto for reading the manuscript and for their helpful comments. The authors thank S. Beck and S. Pedro for automatic sequencing.
Supported by grants from Fundação para a Ciência e a Tecnologia (PBIC/C/SAU/1562/92 and PRAXIS/P/SAU/63/96). A. I. and M. A. were the recipients of Fellowships from Fundação para a Ciência e a Tecnologia, and S.S. was the recipient of a Fellowship from Instituto Nacional de Saúde Dr Ricardo Jorge.
The publication costs of this article were defrayed in part by page charge payment. Therefore, and solely to indicate this fact, this article is hereby marked “advertisement” in accordance with 18 U.S.C. section 1734.
References
Author notes
Luı́sa Romão, Instituto Nacional de Saúde Dr Ricardo Jorge, Av Padre Cruz, 1649-016 Lisbon, Portugal.









