Abstract
Studies of mice rendered deficient in granulocyte-macrophage colony-stimulating factor (GM-CSF) or interleukin-3 (IL-3) have established unique roles for these cytokines in pulmonary homeostasis, resistance to infection, and antigen-specific T- and B-cell responses. In addition to these distinctive properties, however, GM-CSF and IL-3 also stimulate the development and activation of hematopoietic cells in many similar ways, raising the possibility that each factor might partially compensate for the other's absence in singly deficient mice. To test whether endogenous GM-CSF and IL-3 mediate redundant functions in vivo, we generated mice lacking both cytokines through sequential gene targeting experiments in embryonic stem (ES) cells. Surprisingly, doubly deficient animals, but not single knockouts, showed increased numbers of circulating eosinophils. Doubly deficient mice, moreover, developed weaker contact hypersensitivity reactions to haptens applied epicutaneously than mice deficient in either factor alone. Together, these findings delineate overlapping roles for GM-CSF and IL-3 in hematopoiesis and immunity.
Introduction
Granulocyte-macrophage colony-stimulating factor (GM-CSF) and interleukin-3 (IL-3) stimulate the proliferation, differentiation, and activation of hematopoietic cells in vitro in many similar ways.1 These overlapping functions reflect, at least in part, the shared use of the βc subunit for receptor signaling.2 The proximity of GM-CSF and IL-3 genomic sequences on mouse chromosome 11 and human chromosome 5 further underscores their close relationship and suggests that these cytokines may have evolved from an ancient gene duplication.3
Notwithstanding these similarities, mice rendered singly deficient in GM-CSF or IL-3 manifest distinct phenotypes. Animals deficient in GM-CSF display normal steady-state hematopoiesis, but develop a lung disease resembling pulmonary alveolar proteinosis (PAP).4,5 The pathogenesis of PAP involves a reduction in surfactant clearance6 by defective alveolar macrophages.7,8 The βc knockout mice acquire comparable lung abnormalities9,10 due to closely related perturbations in surfactant metabolism11 and mount abrogated eosinophil responses as a consequence of the loss of βc-mediated interleukin-5 (IL-5) signaling.12,13Intriguingly, humans with PAP harbor high titers of neutralizing anti–GM-CSF antibodies14 or, less commonly, mutations in βc.15 GM-CSF–deficient mice also show compromised antigen-specific IgG and cytotoxic T-cell responses, interferon-γ (IFN-γ) production, and phagocyte function.16-19Together, these immune defects confer an increased susceptibility toListeria monocytogenes, group B streptococcus, andPneumocystis carinii,20-22 but partial protection against endotoxin challenge23 and collagen-induced arthritis.24
Although IL-3–deficient mice similarly display intact steady-state hematopoiesis, unlike GM-CSF–deficient animals, they maintain normal pulmonary homeostasis.25 Mice deficient in IL-3 mount attenuated mast cell and basophil responses to parasite infection that result in compromised worm expulsion.26 They also show partial reductions in contact hypersensitivity reactions to haptens applied epicutaneously.25 Mice rendered deficient in βIL-3, a second signaling chain for this cytokine, develop blunted IL-3 responses, but show no perturbations of steady-state hematopoiesis.9 27
Mice deficient in GM-CSF or IL-3 have been interbred with other hematopoietic growth factor knockouts to uncover possible redundancies of cytokine function in vivo.28 Mice lacking both GM-CSF and granulocyte colony-stimulating factor (G-CSF), unlike either single mutant, develop neutropenia early in life, resulting in increased mortality.29 Mice deficient in both GM-CSF and macrophage colony-stimulating factor (M-CSF) show more extensive pulmonary pathology and a higher incidence of fatal bacterial pneumonia than GM-CSF single knockouts.30 Mice deficient in both IL-3 and c-kit signaling display more severe defects in mast cell expansion and parasite resistance than either single knockout.26 On the other hand, mice lacking both IL-3 andmpl fail to develop further compromises in thrombopoiesis when compared with single mpl knockouts.31
Because IL-3 signals through both βc and βIL-3, IL-3–deficient mice have been crossed with βc knockouts to generate mice with disrupted GM-CSF, IL-3, and IL-5 function.32 Although these animals mount reduced eosinophil responses due to the loss of IL-5 signaling and develop PAP due to the absence of GM-CSF signaling, no additional abnormalities have been described. In an effort to study more thoroughly the impact of dual GM-CSF and IL-3 ablation, without a concurrent loss in IL-5 signaling, we generated mice lacking both GM-CSF and IL-3 through sequential gene targeting experiments in embryonic stem (ES) cells. Surprisingly, doubly deficient animals have increased numbers of circulating eosinophils and are markedly compromised in contact hypersensitivity reactions.
Materials and methods
Generation of GM-CSF/IL-3–deficient mice
Genomic sequences spanning the GM-CSF locus were excised from pPNT-GM-CSF and introduced into pPHT,33 a targeting vector designed for hygromycin and ganciclovir double selection. pPHT-GM-CSF was electroporated into an IL-3 heterozygous-deficient D3 ES cell clone selected for high germline transmission.25ES cells were propagated on G418/hygromycin resistant feeders (derived from C57Bl/6J-TgN[pPWL512hyg]1Ems JR2354 mice),34 and clones resistant to hygromycin, G418, and ganciclovir were characterized by Southern analysis. A full-length complementary DNA (cDNA) probe was used to analyze the IL-3 locus and the previously reported probe4 shown in Figure1 was used to analyze the GM-CSF locus. Targeted clones were injected into C57Bl/6 blastocysts to generate chimeras that transmitted the doubly mutant allele through the germline. Animals inheriting the targeted allele were interbred to obtain homozygous, doubly deficient animals. The mutant allele was then back-crossed 9 generations onto both C57Bl/6 and Balb/c backgrounds. The βc-deficient mice10 were similarly bred onto both C57Bl/6 and Balb/c backgrounds for a total of 9 generations. The βc-deficient mice were then crossed with GM-CSF/IL-3–deficient mice to obtain homozygous, triply deficient animals.
Generation of GM-CSF/IL3–deficient mice.
(A) Structure of the wild-type and targeted GM-CSF/IL-3 loci. (B). Genotyping of wild-type, heterozygous, and homozygous doubly deficient animals. Tail DNA was digested with either HindIII orBamHI and characterized by Southern analysis using the indicated probes.
Generation of GM-CSF/IL3–deficient mice.
(A) Structure of the wild-type and targeted GM-CSF/IL-3 loci. (B). Genotyping of wild-type, heterozygous, and homozygous doubly deficient animals. Tail DNA was digested with either HindIII orBamHI and characterized by Southern analysis using the indicated probes.
Hematologicevaluation
Hematocrits, total and differential white blood cell and platelet counts, and bone marrow colony forming units-granulocyte, -macrophage, -granulocyte-macrophage, and -granulocyte, erythrocyte, macrophage, megakaryocyte (CFU-G, -M, -GM, and –GEMM, respectively) were determined as previously described.4 CFU-eosinophils (CFU-Eo) were determined in triplicate by culturing 7.5 × 105 bone marrow cells in MethoCult (StemCell Technologies, Vancouver, BC, Canada) supplemented with either 10 or 100 ng/mL recombinant IL-5. Bone marrow eosinophil numbers were determined on stained marrow sections using a micrometer and counting 300 cells along a linear millimeter in randomly chosen fields and on stained cytospins of bone marrow aspirates counting a total of 300 nucleated cells. For bone marrow transplantation experiments, 5 × 106 nucleated blood cells were harvested from donor femurs and injected into lethally irradiated (1100 rads in 2 doses) recipients. Peripheral blood counts were determined at days 9, 23, 64, and 100 after transplantation. GM-CSF, IL-3, and IL-5 were measured by enzyme-linked immunosorbent assay (ELISA) with the appropriate monoclonal antibodies (Endogen, Woburn, MA; Pharmingen, San Diego, CA).
Dendriticcells
Live B16-F10 melanoma cells (5 × 105) secreting murine flt3-ligand were injected subcutaneously into C57Bl/6 mutant and control animals to increase dendritic cell numbers, as previously described.35 Splenocytes and thymocytes were harvested 14 days later and stained with fluorescein isothiocyanate (FITC)- or phycoerythtin (PE)-conjugated monoclonal antibodies to CD11c, CD11b, I-Ab, CD8α, CD1d, CD3ε, CD4, NK1.1, B7-1, B7-2, and CD40 in the presence of blocking antibodies against FcγIII/II receptors (Pharmingen).
Contacthypersensitivity
Mice at least 7 weeks of age were sensitized epicutaneously on day 0 with 70 μL 4% 4-ethoxymethylene-2-phenyl-2-oxazolin-5-one (oxazolone, Sigma, St Louis, MO) in acetone/olive oil (4:1) and challenged 5 days later on the ear with 20 μL 0.5% oxazolone or carrier only. To assess responsiveness to FITC (Sigma), mice were sensitized on day 0 with 400 μL 2.5% FITC in acetone/dibutyl phthalate (1:1) and challenged on day 6 with 40 μL 1.5% FITC. The hapten-specific increase in ear thickness at 24 hours was determined with a micrometer. Draining lymph nodes were harvested 24 to 48 hours after FITC application, processed to single cell suspension, and stained for major histocompatibility complex (MHC) II, B7-1, CD1d, and Ox40-ligand.36 For correction experiments, mice were injected intraperitoneally and subcutaneously with a total of 4700 ng GM-CSF and 810 ng IL-3, beginning 2 days before and finishing 2 days after sensitization (−48 hours, −24 hours, −18 hours, −4 hours, 0 hours, +4 hours, +18 hours, +24 hours, +48 hours). This regimen involved more intensive dosing than previously examined in studies of IL-3 singly deficient animals25 and was undertaken based on pilot experiments indicating an important dose-response effect. Cytokines were harvested from B16 cells engineered to secrete GM-CSF and IL-3.37 38 Control supernatants were from wild-type B16 cells.
Histology
Tissues were fixed in 10% neutral buffered formalin, processed routinely, and embedded in paraffin. They were then sectioned at 4 μm thickness and stained with hematoxylin and eosin. A semiquantitative scoring scheme for the intensity of contact hypersensitivity reactions was established as follows: trace, minimal edema, rare infiltrating lymphocytes or granulocytes, no epidermal changes; 1+, mild edema, focal infiltration of lymphocytes or neutrophils, no epidermal changes; 2+, easily visible edema, diffuse but scattered infiltration of lymphocytes, neutrophils, and eosinophils, foci of intraepidermal neutrophils; 3+, marked edema with numerous lymphocytes, many neutrophils and eosinophils, few intraepidermal abscesses; 4+, marked edema with numerous lymphocytes, neutrophils and eosinophils, many subcorneal and intraepidermal abscesses, focal keratinocyte necrosis.
Statistics
A one-way analysis of variance was used for statistical analysis. When significant differences were observed (P < .05), pairwise t tests were performed, using the Bonferroni correction for the multiple comparisons examined.
Results
Generation of GM-CSF/IL-3–deficient mice
Because GM-CSF and IL-3 are separated by only 14 kb on chromosome 11,3 doubly deficient mice could not be obtained by interbreeding single knockout animals. Thus, mice lacking both cytokines were generated through sequential gene targeting experiments in ES cells. A hygromycin cassette replacing exons 3 and 4 of the GM-CSF locus was introduced by homologous recombination into IL-3 heterozygous deficient ES cells25 (Figure 1A). Two correctly targeted clones gave rise to germline transmission following injection into C57Bl/6 blastocysts. Genotyping of progeny mice revealed that GM-CSF and IL-3 were disrupted on the same allele (Figure 1B). Heterozygous mutant mice were interbred to generate homozygous GM-CSF/IL-3–deficient animals. Mutant mice were obtained at the expected frequencies, remained clinically healthy throughout 18 months of observation, and were fertile. Supernatants of concanavalin A-stimulated splenocytes from mutant animals showed no immune-reactive GM-CSF or IL-3 protein as determined by ELISA (not shown), confirming the generation of a null allele. The mutant allele was back-crossed 9 generations onto Balb/c and C57Bl/6 backgrounds for detailed analysis. Additional studies are required to delineate whether the modest decrease in fertility of GM-CSF–deficient animals29 39 is influenced by the simultaneous ablation of IL-3.
Pathology
Complete pathologic examination of GM-CSF/IL-3–deficient mice revealed abnormalities restricted to the lungs. A progressive accumulation of surfactant in the intra-alveolar spaces and an extensive lymphoid hyperplasia around both airways and veins was observed. Alveolar macrophages demonstrated a marked increase in intracellular surfactant. These features were similar to those previously found in GM-CSF–deficient mice,4 5 and morphologic analysis did not reveal an exacerbation by the concurrent loss of IL-3. Tissue hematopoietic populations and lymphoid organs failed to disclose additional alterations.
Hematopoiesis
The hematocrits and total circulating white blood cell and platelet counts were normal in GM-CSF/IL-3–deficient mice. Unexpectedly, examination of stained blood smears revealed that circulating eosinophils were increased in doubly deficient mice, as compared to single knockouts and wild-type controls (Table1). In contrast, circulating neutrophils, lymphocytes, and monocytes were not affected. Bone marrow-derived CFU-G, -M, -GM, and -GEMM were not altered in GM-CSF/IL-3–deficient animals, and bone marrow precursors did not show enhanced sensitivity to IL-5 in vitro (CFU-Eo in response to 10 ng IL-5 for +/+ mice: 15, 7, 15, 16.7; for −/− mice: 14, 6.3, 16.7, 13.7. Colony sizes were equivalent between +/+ and −/−mice). Enumeration of bone marrow eosinophils by examination of both fixed core sections and cytospins of marrow aspirates did not reveal differences between wild-type and doubly deficient animals (percent eosinophils for +/+ mice: 2.3, 1.3, 2, 1.3; for −/− mice: 1.7, 1.3, 1.3, 1.7). Although no IL-5 was consistently measurable in the blood (the sensitivity of ELISA was 25 pg/mL), interbreeding of GM-CSF/IL-3–deficient and βc-deficient mice resulted in abrogation of the eosinophilia (Table 1), strongly suggesting the participation of IL-5 in this response. Triply deficient mice also demonstrated an unexpected reduction in circulating lymphocytes.
To characterize hematopoiesis in GM-CSF/IL-3–deficient mice further, we lethally irradiated mutant animals and transplanted them with doubly deficient marrow. GM-CSF/IL-3–deficient mice achieved reconstitution that was comparable to wild-type controls, although there was a modest delay in the kinetics of leukocyte recovery (not shown), similar to that previously observed for GM-CSF–deficient animals.40
Dendritic cell development
Recent studies have underscored the striking abilities of GM-CSF and IL-3 to stimulate the growth and differentiation of dendritic cells from hematopoietic precursors.41 However, we and others previously reported that mice deficient in GM-CSF or IL-3 maintained normal numbers of spleen and lymph node dendritic cells.4,25 42 Analysis of the spleens, thymi, and lymph nodes of GM-CSF/IL-3–deficient mice similarly revealed normal numbers of both myeloid- and lymphoid-type dendritic cells (not shown).
In an effort to identify other factors that might contribute to dendritic cell development in these animals, we implanted syngeneic tumor cells engineered to secrete high levels of flt3-ligand.35 These cells serve as an efficient vehicle for the systemic administration of flt3-ligand, a cytokine that dramatically augments dendritic cell numbers in wild-type mice.43 By 14 days after injection, there was a marked increase in splenocytes staining positive for CD11c and MHC II in both mutant and wild-type animals, with an average of 25% positive cells per spleen (Figure 2A,B). Because injection of flt3-ligand–expressing tumor cells produced a 3- to 4-fold increase in total spleen cellularity, a nearly 100-fold expansion of dendritic cell numbers was accomplished in the absence of GM-CSF and IL-3. Flt3-ligand–secreting tumor cells stimulated the generation of both myeloid-type (CD8α−, CD11b+) and lymphoid-type (CD8α+, CD11b−) dendritic cells (Figure 2C-F).43 44 No differences in B7-1, B7-2, CD40, or CD1d expression were observed between doubly deficient and wild-type animals (not shown). Taken together, these results suggest that flt3-ligand may be a critical regulator of dendritic cell development in vivo.
GM-CSF/IL-3–deficient and wild-type mice mount comparable dendritic cell responses to Flt3-ligand.
Splenocytes from mutant and wild-type animals were harvested 14 days after injection of Flt3-ligand–secreting B16 cells and stained for CD11c, MHC II, CD11b, and CD8. (A,C,E) Wild-type mice. (B,D,F) GM-CSF/IL-3–deficient mice.
GM-CSF/IL-3–deficient and wild-type mice mount comparable dendritic cell responses to Flt3-ligand.
Splenocytes from mutant and wild-type animals were harvested 14 days after injection of Flt3-ligand–secreting B16 cells and stained for CD11c, MHC II, CD11b, and CD8. (A,C,E) Wild-type mice. (B,D,F) GM-CSF/IL-3–deficient mice.
Contact hypersensitivity
To evaluate dendritic cell function in GM-CSF/IL-3–deficient mice, we compared the abilities of mutant and wild-type animals to develop contact hypersensitivity reactions to epicutaneously applied haptens. Contact hypersensitivity is a form of delayed-type hypersensitivity in which hapten-protein conjugates are presented by cutaneous dendritic cells, following their migration to regional lymph nodes, to hapten-specific CD4+ and CD8+ T lymphocytes.45-48 On secondary hapten challenge, sensitized T cells initiate a local inflammatory response.
Although GM-CSF/IL-3–deficient mice were indistinguishable from wild-type littermates in the initial reaction to oxazolone challenge (data not shown), they exhibited a dramatically reduced response on secondary challenge, as measured by ear swelling (Figure3A). The degree of compromise was significantly greater than that previously reported for IL-3–deficient mice.25 Similar results were observed on both C57Bl/6 and Balb/c backgrounds and when FITC was used as the hapten (not shown).
Contact hypersensitivity reactions are compromised in GM-CSF/IL-3–deficient mice.
Mice were sensitized with oxazolone on the abdomen and foot pads on day 0 and challenged on the ear on day 5. Ear thickness was measured with a micrometer. (A) Wild-type versus IL-3–deficient,P < .0001. GM-CSF/IL-3 deficient versus IL-3 deficient,P < .0001. Similar results were observed in 8 independent experiments on both the C57Bl/6 and Balb/c backgrounds. (B) Defective contact hypersensitivity reactions can be reversed by the administration of GM-CSF and IL-3 protein during initial sensitization. Wild-type versus GM-CSF/IL-3 deficient, P < .0001. GM-CSF/IL-3 deficient versus control treatment, not significant. GM-CSF/IL-3 deficient versus GM-CSF/IL-3 treatment,P < .0001. Wild-type versus GM-CSF/IL-3 treatment, not significant. Similar results were observed in 5 independent experiments.
Contact hypersensitivity reactions are compromised in GM-CSF/IL-3–deficient mice.
Mice were sensitized with oxazolone on the abdomen and foot pads on day 0 and challenged on the ear on day 5. Ear thickness was measured with a micrometer. (A) Wild-type versus IL-3–deficient,P < .0001. GM-CSF/IL-3 deficient versus IL-3 deficient,P < .0001. Similar results were observed in 8 independent experiments on both the C57Bl/6 and Balb/c backgrounds. (B) Defective contact hypersensitivity reactions can be reversed by the administration of GM-CSF and IL-3 protein during initial sensitization. Wild-type versus GM-CSF/IL-3 deficient, P < .0001. GM-CSF/IL-3 deficient versus control treatment, not significant. GM-CSF/IL-3 deficient versus GM-CSF/IL-3 treatment,P < .0001. Wild-type versus GM-CSF/IL-3 treatment, not significant. Similar results were observed in 5 independent experiments.
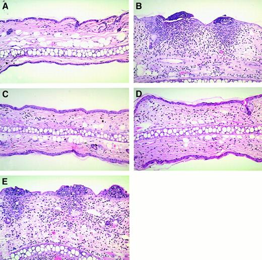
Although no pathologic differences between GM-CSF/IL-3–deficient and wild-type mice were noted in untreated skin or skin at the sensitization site, marked differences were apparent in skin at the challenge site (Figure 4A-C). In wild-type animals, the inflammatory response was characterized by an intense cellular infiltrate consisting primarily of neutrophils, lymphocytes, and eosinophils, which was associated with substantial dermal edema, hyperkeratosis, and focal intraepidermal abscesses (4+, see “Materials and methods” for description of semiquantitative scoring scheme). GM-CSF/IL-3–deficient animals, in contrast, generated a dramatically less intense cellular infiltrate with much less edema and little keratinocyte activation (trace to 1+). IL-3–deficient mice displayed intermediate reactions (2+) and GM-CSF–deficient animals developed strong reactions (3+), but these were reduced compared to wild-type controls (not shown).
Pathologic analysis of contact hypersensitivity.
Ears were harvested 24 hours after secondary oxazolone challenge. (A) Wild-type mouse, diluent only. (B) Sensitized wild-type mouse, hapten challenge. (C) Sensitized GM-CSF/IL-3–deficient mouse, hapten challenge. (D) Sensitized GM-CSF/IL-3–deficient mouse plus control treatment, hapten challenge. (E) Sensitized GM-CSF/IL-3-deficient mouse plus GM-CSF/IL-3 treatment, hapten challenge. All panels at ×200.
Pathologic analysis of contact hypersensitivity.
Ears were harvested 24 hours after secondary oxazolone challenge. (A) Wild-type mouse, diluent only. (B) Sensitized wild-type mouse, hapten challenge. (C) Sensitized GM-CSF/IL-3–deficient mouse, hapten challenge. (D) Sensitized GM-CSF/IL-3–deficient mouse plus control treatment, hapten challenge. (E) Sensitized GM-CSF/IL-3-deficient mouse plus GM-CSF/IL-3 treatment, hapten challenge. All panels at ×200.
To delineate whether the compromise in contact hypersensitivity reflected a defect during the priming phase of the response, we injected doubly deficient mice with GM-CSF and IL-3 protein at the time of initial hapten application. Remarkably, the administration of these factors resulted in complete reconstitution of the attenuated secondary reaction, as measured both by ear swelling (Figure 3B) and pathologic analysis, where the intensity and character of the corrected response were indistinguishable from wild-type levels (Figure 4D,E). These findings formally establish a dual requirement for GM-CSF and IL-3 during hapten sensitization.
To explore this requirement further, we analyzed the dendritic cells that migrated to the draining lymph node following FITC application in doubly deficient and wild-type animals. Similar numbers of FITC-positive cells were found in both groups, and these cells showed comparable staining for CD11c, MHC II, B7-1, and CD1d (Ox40-ligand was not detected). Additional studies are required to identify which features of dendritic cells are compromised by the absence of GM-CSF and IL-3.
Discussion
The generation of GM-CSF/IL-3–deficient mice has provided a system to test the hypothesis that these molecules mediate redundant functions in vivo. The experiments presented here definitively establish overlapping roles for these cytokines in both hematopoiesis and immunity.
Previous studies demonstrated that IL-3/βc-deficient mice have reduced numbers of circulating eosinophils, likely due to the abrogation of IL-5 signaling.32 It was thus surprising to find increased numbers of circulating eosinophils in GM-CSF/IL-3–deficient animals. IL-5 likely contributed to this eosinophilia, however, because mice lacking GM-CSF, IL-3, and βc showed decreased numbers of eosinophils. The mechanism underlying the eosinophilia is currently unclear. The numbers of mature eosinophils and their progenitors were not increased in the bone marrow of GM-CSF/IL-3–deficient mice, suggesting that the steady-state production of this lineage is probably not altered. It is possible that the egress of eosinophils from the circulation is compromised, and future investigations aimed at quantifying eosinophil numbers in a variety of tissue populations will help clarify this idea further. A prolongation of eosinophil life span is an additional consideration that needs to be explored. In either case, it is tempting to speculate that IL-5 normally competes with GM-CSF and IL-3 in signaling through βc.
Because recent investigations have highlighted the abilities of GM-CSF and IL-3 to stimulate dendritic cell development,41 we quantified these cells in the spleen, thymus, and lymph nodes of GM-CSF/IL-3–deficient animals. However, as in our previous studies of mice singly deficient in GM-CSF4 or IL-3,25dendritic cell numbers were not altered in the doubly mutant mice. These results suggest that GM-CSF and IL-3 are either not involved in steady-state dendritic cell development or are components of a larger network of redundant cytokines. In this context, flt3-ligand is likely to play a decisive role, based on its ability to increase dendritic cells in GM-CSF/IL-3–deficient mice by nearly 2 logs. Indeed, a recent report of flt3-ligand knockout mice demonstrated a substantial reduction of dendritic cell numbers in the spleen, thymus, and lymph nodes.49
Although GM-CSF/IL-3–deficient mice maintained normal dendritic cell numbers, these animals were markedly compromised in priming contact hypersensitivity reactions. The degree of impairment significantly exceeded that observed in GM-CSF or IL-3 single knockouts, establishing a dual requirement for both cytokines in this response. Although the administration of GM-CSF and IL-3 protein at the time of hapten sensitization reversed the defect, we have not yet identified the specific pathway compromised in GM-CSF/IL-3–deficient mice. Unlike CCR7 knockout mice,50 which fail to mount contact hypersensitivity reactions due to the lack of dendritic cell migration from the skin to the draining lymph nodes, GM-CSF/IL-3–deficient animals display normal numbers of hapten-loaded dendritic cells in the draining nodes. Moreover, although B7 family members51,52and Ox40-ligand36 also contribute to hapten-specific priming, we were unable to detect differences in these molecules between doubly deficient animals and wild-type controls. Additional experiments are required to elucidate the mechanisms underlying defective hapten sensitization in the absence of GM-CSF and IL-3.
Our own studies have revealed that vaccination with irradiated tumor cells engineered to secrete GM-CSF and, to a lesser extent IL-3, stimulate potent, specific, and long-lasting antitumor immunity.37,38,53 Although we have not yet examined the susceptibility of GM-CSF/IL-3–deficient mice to tumor induction, recent investigations have established a striking inverse correlation between the ability to generate contact hypersensitivity reactions to polycyclic hydrocarbons and susceptibility to the carcinogenic effects of these agents.54 These results raise the intriguing possibility that GM-CSF and IL-3 may, like IFN-γ,55contribute to cancer immunosurveillance.
Acknowledgments
We thank Glenn Begley (WAIMR) and Lorraine Robb (WEHI) for providing βc-deficient mice and Andy Chen and Arlene Sharpe (Brigham and Womens' Hospital) for providing antibodies against OX40-ligand. We thank Christine Sheehan and Esther Brisson (Albany Medical College) for excellent help with the histologic specimens, Susan Lazo-Kallanian and John Daley for excellent help with the fluorescence-activated cell sorting studies, Patricia Bernardo for excellent help with the statistics, Kurt Edelman for excellent technical help, and the staff of the Redstone Animal Facility for excellent help with maintenance of the mouse colony. We thank Jim Griffin for critical review of the manuscript.
Supported by the Swiss National Science Foundation (N.M., S.G.), the Swiss Cancer League (S.G.), the Cancer Research Institute/Partridge Foundation, and CA74886 (G.D.). G.D. is a Clinical Scholar of the Leukemia and Lymphoma Society. S.G. and N.M. should be considered equal first authors.
The publication costs of this article were defrayed in part by page charge payment. Therefore, and solely to indicate this fact, this article is hereby marked “advertisement” in accordance with 18 U.S.C. section 1734.
References
Author notes
Glenn Dranoff, Dana-Farber Cancer Institute, Dana 510E, 44 Binney St, Boston, MA 02115; e-mail:glenn_dranoff@dfci.harvard.edu.



