Two recurrent translocations have been associated with mucosa-associated lymphoid tissue (MALT)–type lymphoma, t(11;18)(q21;q21) and t(1;14)(p22;q32). The first, t(11;18)(q21;q21), results in the fusion protein API2-MLT (API2-MALT1). Through t(1;14)(p22;q32), the BCL10 gene is entirely transferred to the IgH gene, resulting in its overexpression. Wild-type BCL10 is implicated in apoptosis, and it has been suggested that mutated forms gain oncogenic activity. The occurrence of genomicBCL10 mutations in 35 gastric MALT-type lymphomas with or without t(11;18)(q21;q21) (10 and 25 cases, respectively) was investigated. DNA extracted from either whole tissue sections or microdissected clusters of tumor cells was used. Five polymerase chain reactions amplifying the coding exons were performed and were followed by direct sequencing of the products. Twenty differences with the published BCL10 sequence, all single nucleotide substitutions, were detected in 16 cases. Of these, 12 represented known polymorphisms, either at codon 8, 213, or 5. Of the remaining 8 substitutions, 2 were silent and 6 resulted in amino acid substitutions. Mutation analysis results were correlated with the BCL10 expression pattern. Aberrant nuclear BCL10 expression was detected in 14 cases. No association could be demonstrated between the latter and the presence of BCL10 mutations. In contrast, all 10 cases carrying t(11;18)(q21;q21) showed nuclear expression, whereas this staining pattern was absent in 21 of 25 cases without t(11;18)(q21;q21). These results demonstrate that BCL10mutations are rare in gastric MALT-type lymphoma and are not related to the aberrant nuclear expression of BCL10. In contrast, they indicate that the presence of the API2-MLT fusion protein is associated with aberrant nuclear BCL10 expression.
Introduction
The BCL10 gene has recently been cloned from the t(1;14)(p22;q32), which was found in a B-cell lymphoma of mucosa-associated lymphoid tissue (MALT).1 As a consequence of this translocation, the entire BCL10 gene was juxtaposed to the IgH enhancer region, resulting in its overexpression. The wild-type BCL10 gene encodes a protein containing an amino-terminal caspase recruitment domain and was found to weakly promote apoptosis, to activate NF-κB, and to suppress malignant transformation in in vitro assays.1,2 In contrast, truncation of BCL10 beyond the caspase recruitment domain failed to induce apoptosis but retained NF-κB activation and enhanced transformation by cooperating oncogenes.1,2 TruncatingBCL10 mutations were detected in MALT-type lymphomas and in follicular lymphoma lacking the 1p22 chromosomal aberration and at a slightly higher frequency in high-grade MALT-type lymphoma than in low-grade MALT-type lymphoma.1-3 Based on these findings, it was suggested that the BCL10 gene is implicated in the pathogenesis and progression of the lymphoma through the loss of its proapoptotic function. In addition, because BCL10 mutations were also detected at a high frequency in cell lines derived from male germ cell tumors and mesothelioma without chromosomal rearrangements of the BCL10 locus, it was suggested that BCL10mutation might represent a common pathogenetic mechanism involved in a variety of solid tumors.1
In a series of other studies, the occurrence of BCL10mutation could not be confirmed for lymphoma and other hematologic malignancies or for a wide range of solid tumors4-13; thus, the role of BCL10 mutation resulting in the loss of tumor suppressor function remains controversial. Moreover, the occurrence of the t(1;14)(p22;q32) in MALT-type lymphoma is not always associated with the presence of BCL10 mutations.3 This observation contradicts the possible pathogenic role of loss of proapoptotic BCL10 function in view of the overexpression of wild-type BCL10 in these cases. However, the BCL10 expression pattern in tumor cells from MALT-type lymphoma with the t(1;14)(p22;q32) differ from that seen in normal marginal zone cells. Although in normal marginal zone cells BCL10 is expressed only in the cytoplasm, it is expressed in nucleus and cytoplasm in tumor cells from t(1;14)(p22;q32)-positive MALT-type lymphoma cases.14 It was suggested that the altered cellular localization of BCL10 protein may represent another mechanism for BCL10-induced lymphomagenesis3,14 and that this mechanism might be involved in cases without the t(1;14)(p22;q32) because these cases also showed, in part, nuclear BCL10 expression.14 The explanation for the nuclear translocation of BCL10 protein in t(1;14)(p22;q32)-positive and t(1;14)(p22;q32)-negative MALT lymphoma cases has not been elucidated.
In the current study, we investigated the occurrence of genomicBCL10 mutations in a series of 35 well-characterized cases of gastric MALT lymphoma and 10 gastric diffuse large B-cell lymphoma (DLBCL). Mutation analysis results were correlated with the expression pattern of BCL10 protein to test a possible association between both. We also investigated the possible relationship between the expression of BCL10 protein and BCL10 gene alteration in the presence or absence of the API2-MLT (also calledAPI2-MALT1) fusion transcript. The latter results from the t(11;18)(q21;q21) for which all cases were previously analyzed15 and which represents a more common genetic alteration in MALT lymphoma than the BCL10 gene rearrangement.
Materials and methods
Cases
Thirty-five gastric MALT lymphoma cases and 10 gastric diffuse large B-cell lymphoma cases, previously analyzed for the presence of the API2-MLT fusion transcript,15 were used for the current study. All cases were documented by a gastrectomy specimen, and at least one representative freshly frozen tissue bloc was available for each case. Twenty-two MALT-type lymphomas were determined not to have large cell proliferation, and the remaining 13 were determined to have large cell proliferation. Large cell proliferation was defined as the presence of sheets or clusters of large cells within the MALT-type lymphoma, with large cells colonizing pre-existing follicle centers or with a tumor mass composed of large cells associated with a MALT-type lymphoma. As reported in our previous study, 10 of 22 low-grade MALT-type lymphoma cases and none of MALT-type lymphomas with a large cell proliferation showed the presence of API2-MLT fusion transcripts detected by reverse transcription–polymerase chain reaction (RT-PCR) in total RNA extracted from frozen tissue sections.15 Five lymph nodes and 5 spleens showing reactive histology were also included in the study and served as control material.
DNA samples
By evaluation of a hematoxylin and eosin-stained frozen tissue section, it was ascertained for all cases that tumor cells accounted for most of the cells in the tissue section. Thus, for all cases, DNA was extracted from whole frozen tissue sections by using the QIAamp DNA Mini kit according to the manufacturer's recommendations (Qiagen Westburg, Leusden, The Netherlands). In addition, for 18 of 35 MALT-type lymphoma cases in which the tissue section also comprised an abundant number of normal cells (eg, smooth muscle cells), tumor cells were enriched by microdissection to exclude the possibility of false-negative findings because of the preponderance of normal alleles. Of these 18 cases, 35 tumor cell clusters were microdissected and used for the analysis. For 2 cases of MALT-type lymphoma with large cell proliferation (cases 25 and 35), one microdissected tumor cell cluster consisted exclusively of large tumor cells. In 6 cases, normal cells were microdissected from the section to identify polymorphisms. For the purpose of microdissection, a hematoxylin and eosin-stained frozen section was digested by incubation at 40°C for 3 hours in collagenase H (Boehringer Mannheim, Brussels, Belgium). Clusters of 20 to 100 tumor cells were microdissected and aspirated with a sterile glass needle, transferred to an Eppendorf tube, and resuspended in 5 μL solution containing 1 μL of a 10× high-salt buffer (260 mM Tris-HCl, pH 9.5; 65 mM MgCl2) and 7 mg/mL proteinase K (Boehringer Mannheim). Samples were incubated overnight at 55°C and then were boiled for 1 minute to inactivate proteinase K. DNA was amplified using degenerate oligonucleotide-primed PCR (DOP-PCR).
DOP-PCR was performed on a thermocycler (Perkin Elmer 480; Applied Biosystems, Lennik, Belgium) in 2 separate phases. Four initial cycles (preamplification step) were carried out in a 10-μL reaction mixture (using ThermoSequenase [Amersham Pharmacia, Roosendaal, The Netherlands] and a high-salt buffer) at low-stringency conditions, which was followed by 30 cycles in a 40-μL reaction volume (using AmpliTaq polymerase LD [Applied Biosystems] and a low-salt buffer) at high-stringency conditions. Both PCR reactions contained the UN1-primer (5′-CCGACTCGAGNNNNNNATGTGG-3′, with N = A, C, G, or T) allowing universal amplification of genomic DNA.16 Reagents, volumes, and reaction were previously described by Kuukasjärvi et al.17 The product was purified (Qiagen Westburg, Leusden, The Netherlands) before further use.
Polymerase chain reaction analysis
PCR for the full coding sequence of the BCL10 gene consisted of 5 different reactions amplifying coding exon 1 by a single reaction and coding exons 2 and 3 by 2 separate overlapping reactions. Primer sequences in the 5′ to 3′ direction were the following: Bex1F, GGACCCGGAAGAAGCGCCATCTCC; Bex1R, GATCCTCCTTGTCCTCGGAC TC; Bex2.1F, AAGACTGCCAACTAATAGTCACGT; Bex2.1R, CCGAATTTTCCAGCC CTTTTTCT; Bex2.2F, CCGAAGAAATTTCTTGTCGAACA; Bex2.2R, AGCATTATTA CATTTAAATTAGCTC; Bex3.1F, CACAAGATGGACAGTGACTCC; Bex3.1R, TTGA AGAGAAGATGGTATTTTCAGT; Bex3.2F, GAAGGAGAATCCAGCACGA; Bex3.2R, TGTCATCATTAAAAATTAAAAGGCA. PCR was performed in a GeneAmp PCR system 9600 (Applied Biosystems) in final volumes of 50 μL, containing 10 mM Tris-HCl (pH 8.3), 50 mM KCl, 2.5 mM MgCl2, 200 μM each dNTP, 0.2 μM each primer, 500 ng DNA (either extracted from tissue sections or purified DOP-PCR material), and 2.5 U Taq polymerase (AmpliTaq Gold; Applied Biosystems). Thermal cycle conditions were 10 minutes at 94°C followed by 40 cycles of denaturation (94°C, 1 minute), annealing (20 cycles at 63°C, 1 minute and 20 cycles at 60°C, 1 minute), and extension (72°C, 1 minute).
Sequencing of polymerase chain reaction products and mutation analysis
All PCR products were directly sequenced in both directions using the Big Dye Terminator Ready Reaction kit and an ABI PRISM 310 Genetic Analyzer, according to the manufacturer's recommendations (Applied Biosystems). Mutation analysis was performed by comparing obtained sequences to the germline BCL10 sequence as recorded in GenBank (accession no. AF097732), using SeqMan 4.00 software (DNAStar, Madison, WI).
Immunohistochemistry
Paraffin-embedded sections were used for the analysis of BCL10 expression by immunohistochemistry using a BCL10 monoclonal antibody kindly provided by M. Dyer (Sutton, United Kingdom). Reactive spleen and lymph node tissue sections were also stained as controls.
After deparaffinization, the formalin- or B5-fixed tissue sections were incubated for 30 minutes in methanol plus peroxide at room temperature, followed by a brief wash in phosphate-buffered saline (PBS). Slides were heated 3 times in a sodium-citrate buffer (pH 6) using a microwave oven at 750 W, slowly cooled in the same solution, and briefly washed in PBS. Incubation with the BCL10 antibody (1:10) was carried out overnight at 4°C, followed by a brief wash with PBS. Staining was performed using the EnVision system (DAKO, Glostrup, Denmark) according to the manufacturer's recommendations and with amino ethyl carbazole. Sections were counterstained with hematoxylin.
Results
All results are summarized in Table 1.
BCL10 gene mutation
In the 5 DNA samples derived from the lymphadenitis cases, 2 distinct differences with the published BCL10 sequence (GenBank accession no. AF097732), both single nucleotide substitutions, were observed in coding exons 1 and 3. These included C/G in codon 8 (CTC > CTG) (exon 1) and G/A in codon 213 (GGA > GAA) (exon 3). The presence of these substitutions in normal DNA suggests they represent polymorphisms. The polymorphism at codon 213 caused an amino acid substitution (GLY > GLU), whereas the polymorphism in codon 8 was silent. Both polymorphisms were reported previously.3-5 12
As analyzed on the DNA extracted from whole tissue sections, the 35 MALT-type lymphoma cases showed a total of 16 differences with the published sequence in 14 cases. Twelve cases showed 1 difference, and 2 cases exhibited 2 differences. All were single nucleotide substitutions, and 11 of 16 were identified as one of the polymorphisms described above for the lymphadenitis cases: the polymorphisms at codon 8 and codon 213 were detected 7 and 4 times, respectively. One case exhibited 2 polymorphisms at codons 8 and 213 (case 28). The remaining 5 single nucleotide substitutions were present in codons 5, 11, 68, 94, and 227, and all caused amino acid substitutions except for the substitution in codon 227, which was silent (Table 1). The substitution in codon 5 was G to T (GCA > TCA) (exon 1), causing an amino acid substitution (ALA > SER) and was previously described by others as a polymorphism.4,5 12
Analysis on DNA derived from microdissected tumor cell clusters revealed 2 additional differences with the published BCL10 sequence, both single nucleotide substitutions. One of these was found in a tumor cell cluster of case 13. It comprised no large cell component, and it was silent (codon 175). The other was a nucleotide substitution (codon 207) in the large tumor cell cluster microdissected from case 25, causing an amino acid substitution (Table 1, Figure1). In contrast, the substitutions in codons 68, 94 (Figure 1), and 227—detected in the total DNA of cases 31, 14, and 21 and described above—were not found in the corresponding DNA sample from the microdissected tumor cell clusters. To further investigate these discrepancies, 3 extra tumor cell clusters (all composed of small tumor cell) were microdissected from each of these 5 cases and analyzed separately. Cases 13 and 25 showed a single nucleotide substitution in 1 of the 3 additionally analyzed clusters (codons 100 and 93, respectively) that was not found in the whole tissue DNA. Both mutations were different from the ones detected in the DNA from the first tumor cell clusters (Table 1). The substitutions found in the DNA from whole tissue sections in cases 14, 21, and 31 were not found in the 3 additionally investigated tumor cell clusters. Analysis on DNA derived from normal cells in the latter cases could not demonstrate these mutations. In contrast, we could confirm that the codon 8 and codon 213 alterations found in cases 21 and 28 were polymorphisms given that they were also found in normal cells derived from the same specimen. No significant difference was found between the frequency of mutations in MALT-type lymphoma with and without large cell component.
BCL10 mutations in MALT-type lymphomas.
(A-C) Direct sequencing results from case 25. (A) Normal DNA derived from whole tissue sections. (B) Normal DNA derived from a small tumor cell cluster obtained by microdissection. (C) Substitution at position 620: T > C in DNA derived from large tumor cell cluster. Residual peak of T indicates the presence of normal alleles. (D-F) Direct sequencing results from case 14. (D) Substitution at position 280: T > G in DNA derived from whole tissue sections. Residual peak of T indicates the presence of normal alleles. (E) Normal DNA in normal cells. (F) Normal DNA in a cell cluster microdissected from the tumor.
BCL10 mutations in MALT-type lymphomas.
(A-C) Direct sequencing results from case 25. (A) Normal DNA derived from whole tissue sections. (B) Normal DNA derived from a small tumor cell cluster obtained by microdissection. (C) Substitution at position 620: T > C in DNA derived from large tumor cell cluster. Residual peak of T indicates the presence of normal alleles. (D-F) Direct sequencing results from case 14. (D) Substitution at position 280: T > G in DNA derived from whole tissue sections. Residual peak of T indicates the presence of normal alleles. (E) Normal DNA in normal cells. (F) Normal DNA in a cell cluster microdissected from the tumor.
Of the 10 gastric DLBCL cases, 4 exhibited a single difference with the published BCL10 sequence. Cases 41 and 43 showed the codon 8 polymorphism, and case 40 demonstrated the codon 213 polymorphism. The remaining difference found in case 37 was a single nucleotide substitution, which occurred in codon 195 and was silent (Table 1). None of the potentially pathogenic mutations occurred more than once, and no apparent clustering of these mutations within a specific region of the BCL10 gene was observed.
BCL10 expression by immunohistochemistry
Analysis of normal spleen and lymph node tissue sections demonstrated expression of BCL10 protein. It was abundantly expressed in the cytoplasm of follicle center cells and in the cytoplasm of marginal zone cells compared with the expression of BCL10 in the lymphocytic corona, where it was absent or weak and never abundant. In none of the normal tissue sections was nuclear staining observed (Figure 2).
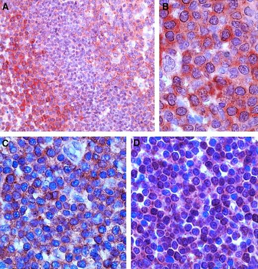
Immunohistochemical staining for BCL10 protein expression.
(A) Reactive spleen with strong cytoplasmic BCL10 expression in the marginal zone and in the germinal center and absent to weak expression in the lymphocytic corona. Original magnification × 400. (B) High magnification of splenic reactive marginal zone cells, expressing BCL10 in the cytoplasm and not in the nucleus. Original magnification × 1000. (C) Cytoplasmic BCL10 expression in the tumor cells of case 20 (MALT-type lymphoma without the API2-MLT fusion). Original magnification × 1000. (D) Aberrant nuclear BCL10 expression in case 4 (MALT-type lymphoma with the API2-MLT fusion). Original magnification × 1000.
Immunohistochemical staining for BCL10 protein expression.
(A) Reactive spleen with strong cytoplasmic BCL10 expression in the marginal zone and in the germinal center and absent to weak expression in the lymphocytic corona. Original magnification × 400. (B) High magnification of splenic reactive marginal zone cells, expressing BCL10 in the cytoplasm and not in the nucleus. Original magnification × 1000. (C) Cytoplasmic BCL10 expression in the tumor cells of case 20 (MALT-type lymphoma without the API2-MLT fusion). Original magnification × 1000. (D) Aberrant nuclear BCL10 expression in case 4 (MALT-type lymphoma with the API2-MLT fusion). Original magnification × 1000.
All MALT-type lymphoma cases showed cytoplasmic staining in the tumor cells, ranging from weak to abundant. In addition, 14 cases also displayed nuclear staining (Figure 2). All gastric DLBCL cases showed cytoplasmic expression, but no nuclear BCL10 expression, in the tumor cells.
Correlation of results: BCL10 mutation, BCL10 nuclear expression, API2-MLT fusion.
No obvious relation between BCL10 mutation and BCL10 nuclear expression could be deduced from the results summarized in Table 1. Of 14 cases displaying nuclear BCL10 expression, only 3 revealed a potentially pathogenic mutation (excluding known polymorphisms and silent mutations). In contrast, all 10 cases known to contain API2-MLT fusion transcripts showed BCL10 nuclear staining (Table 1). Four other cases without API2-MLT fusion transcripts also expressed BCL10 in the nucleus.
Discussion
Initial studies on the involvement of BCL10 mutation in the pathogenesis of lymphomas and other malignancies1-3have reported splice variants and deletions and insertions within homopolymeric runs, resulting in truncated BCL10 protein. These truncated forms demonstrated loss of proapoptotic function but retained the capacity to activate NF-κB and showed enhanced malignant transformation.1,2 These findings led to the suggestion that BCL10 is an important tumor suppressor gene, of which the truncating mutation is commonly involved in tumorogenesis.1-3
We analyzed a series of gastric MALT-type lymphomas for the occurrence of BCL10 mutations. We detected 3 commonly reported polymorphisms3-5 12 that occurred 12 times in 11 cases (1, 7, and 4 times, respectively, in codons 5, 8, and 213). The polymorphic nature of codon 8 and 213 alterations was further confirmed by the analysis of reactive tissues and matched normal cells of the lymphoma cases. Apart from these polymorphisms, we further detected 8 differences in 6 cases with the published BCL10 sequence (GenBank accession no. AF097732) not previously reported, all of which represented single nucleotide substitutions.
In 5 cases, we observed a discrepancy between results obtained on DNA extracted from whole tissue sections and those obtained on DOP-PCR–amplified DNA derived from 4 microdissected tumor clusters from the corresponding case. In 2 of these 5 cases, 2 different alterations, not present in the whole tumor DNA, were found in a different cluster. In contrast, the 3 other cases showed a mutation in the whole tumor DNA not present in the analyzed cell clusters. Based on a hematoxylin and eosin-stained serial section, it was ascertained for all cases that most cells present in the analyzed tissue section represented tumor cells. Nevertheless, it is likely to assume that the amount of normal DNA is higher in the whole tissue sections than in a microdissected tumor cell cluster, precluding the detection of a mutation occurring in the tumor cells. Amplification-related errors may cause these discrepancies. In particular, DOP-PCR may have induced technical artifacts whereby the DOP-PCR–amplified DNA may not perfectly represent the genotype of the microdissected tumor cells. Finally, the mutations may not be present in all tumor cells, precluding their detection in some samples by the abundance of tumor cells lacking the mutation. The latter implicates the presence of subclones with and without a particular mutation. This hypothesis is attractive because the same phenomenon has been described for other genes in lymphoid malignancies, such as the c-Myc and theBCL6 genes, in which it has been indicated as ongoing mutations.18 19 Discrepant results between different DNA samples from the same tumor specimen also indicate that these substitutions are not genetic polymorphisms, as additionally confirmed for cases 14, 21, and 31 by the analysis on DNA derived from corresponding normal cells (codons 94, 227, and 68).
The significance of these mutations in the pathogenesis of MALT-type lymphoma is unclear. Two of 8 BCL10 mutations detected in the MALT-type lymphoma cases were silent, whereas the remaining 6 resulted in amino acid substitutions that might have altered the structure of the protein. The functional importance of the latter should be investigated, but it is probably low because the potentially pathogenic mutations were detected at only a low frequency, were nonrecurrent, and did not show a clustering within a specific domain of the BCL10 gene. In addition, none of these mutations has been reported. Finally, as discussed above, it is possible that not all tumor cells from the same case exhibited the particular mutation, indicating that it might be secondarily acquired, precluding its role in the development of the lymphoma. In contrast, the codon 207 mutation in the large cell component of one case might have caused the acquisition of the high-grade morphology. However, ongoing mutation was not restricted to cases with a high-grade component. Moreover, no significant difference was found between the frequency of mutations in MALT-type lymphoma with and without large cell proliferation. Finally, of the 10 gastric DLBCL cases—at least some of which might have evolved out of MALT-type lymphoma—only one case showed a mutation, and that mutation was moreover silent.
Based on all these arguments we conclude that BCL10 genomic mutations do not play an important role in the pathogenesis or the progression of gastric MALT-type lymphoma. This conclusion is in line with the interpretation of some recent reports,4,5,10,11but it contradicts that of the initial studies on BCL10mutation.1-3
The discordance between the findings of the latter studies and ours might be attributable to the occurrence of posttranscriptional modification because those studies were conducted on single cDNA clones in which the mutation frequency was higher than in genomic DNA.20 We cannot preclude that our cases exhibited additional mutations at the RNA level because we used genomic DNA. The possibility of posttranscriptional RNA modification is, however, contradicted by others who did not find truncating mutations in cDNA or in matched genomic DNA from malignant mesothelioma and colorectal carcinoma, which were also reported to exhibit similar truncating mutations.21 Alternatively, the discrepancy between results might have been caused by cloning or PCR artefacts,22 though similar truncating mutations were found by direct sequencing of PCR products, and their occurrence was confirmed in different studies at varying frequencies ranging from 10%3 to 45%1 of non-Hodgkin lymphoma cases. A third explanation for discrepant results may be the ongoing nature of the mutations, which might lead to an underestimation of mutation frequency by the direct sequencing of PCR products and not of individual clones.20 Of 18 cases analyzed on both types of DNA, only 5 showed discordant results between matched DNA samples, and none of the mutations in these cases resulted in BCL10 truncation. Thus, we have no arguments in favor of this explanation; the reason for the discrepancy between different studies remains unclear.
Other important findings resulting from the current study concern the expression of BCL10 and its cellular localization, as identified by immunohistochemistry. Although control tissues only revealed cytoplasmic BCL10 expression, we found that 14 of 35 gastric MALT-type lymphoma cases displayed, apart from the cytoplasmic expression, nuclear BCL10 expression, confirming the findings of Ye et al.14 Our results clearly demonstrate that genomicBCL10 mutation cannot be responsible for the nuclear localization of BCL10 protein in MALT-type lymphoma cells. Neither can the latter be entirely explained by the occurrence of the t(1;14) as Ye et al14 found aberrant nuclear expression not only in 4 MALT-type lymphomas with the t(1;14) but in 20 of 36 cases without the translocation. Of interest, we found nuclear expression of BCL10 to be highly associated with the occurrence of the API2-MLTfusion, comparable to what was recently reported by Liu et al.23 All 10 t(11;18)-positive cases included in the current study showed nuclear expression. Based on these findings, it is tempting to speculate on a possible interaction between the API2-MLT fusion protein and BCL10, resulting in the altered subcellular localization of the latter. In view of our results, the finding that BCL10 specifically interacts with MLT is intriguing.24,25BCL10 and MLT form a tight complex that serves to oligomerize the caspaselike domain of MLT. The latter appears to subsequently activate the downstream IκB kinase complex, leading to the induction of NF-κB.25 Moreover, it was shown that the API2-MLT fusion protein also activates NF-κB through the same pathway.25The activation of NF-κB by either overexpressed BCL10-mediated MLT oligomerization or by API2-MLT may represent the major pathogenic mechanism involved in MALT-type lymphoma, preferentially above the loss of proapoptotic function of BCL10. This is in line with the observation that BCL10 only weakly promotes apoptosis.1,2,26 27
It is unclear whether BCL10 might directly interact with API2-MLT, explaining the aberrant nuclear expression of BCL10. Binding of BCL10 to MLT requires the presence of the immunoglobulinlike domains of MLT,25 present in the API2-MLT fusion protein in only some cases. Moreover, the expression of API2-MLT has not been observed in the nucleus,28 making it unlikely that direct binding of BCL10 to API2-MLT results in nuclear colocalization of both. Alternatively, if API2-MLT represents a gain-of-function mutant in inducing NF-κB, independent of BCL10-mediated oligomerization, BCL10 might take on other functions exerted in the nucleus and, until now, unknown. It was indeed shown that caspase recruitment domain–containing proteins may have unexpected functions. For instance, the caspase recruitment domain of pro-caspase-2 mediates nuclear transport.29 This hypothesis may also be supported by the fact that all cases with t(1;14) and consequent BCL10 overexpression, show nuclear staining.14 The abundance of the protein in these cases might result in the discharge of other (nuclear) functions, apart from NF-κB activation. An explanation for aberrant nuclear BCL10 expression, not based on direct interaction between API2-MLT and BCL10, may also apply for cases without the API2-MLT fusion protein. Indeed, 4 of 25 API2-MLT fusion transcript-negative cases included in our study showed nuclear staining.
In summary, our results show that BCL10 mutation does not play an important role in the development or the progression of gastric MALT-type lymphoma and that BCL10 nuclear expression is not related to the occurrence of BCL10 mutations. In contrast, t(1;14) and t(11;18), both resulting in NF-κB activation, are associated with an aberrant nuclear expression of BCL10.
We thank Miet Vanherck for excellent technical assistance.
Supported by a grant from the Belgian Cancer Association.
The publication costs of this article were defrayed in part by page charge payment. Therefore, and solely to indicate this fact, this article is hereby marked “advertisement” in accordance with 18 U.S.C. section 1734.
References
Author notes
Brigitte Maes, Department of Pathology, University Hospitals Leuven, Minderbroedersstraat 12, B-3000 Leuven, Belgium; e-mail: brigitte.maes@uz.kuleuven.ac.be.

