We read with interest the article by Nishikori et al,1  which reported that expression levels of the bcl-3 gene product distinguish anaplastic lymphoma kinase (ALK)–positive anaplastic large cell lymphoma (ALCL) from Hodgkin lymphoma (HL). The bcl-3 proto-oncogene originally was identified by its involvement in the t(14;19)(q32;q13) observed in a small subset of chronic lymphocytic leukemia (CLL) cases.2,3  BCL-3 protein functions as a p50 subunit-specific I-kappa B (I-κB)–like inhibitor of the NF-kappaB (NF-κB) transcription factor.4,5 

Using 4 ALCL and 3 HL cell lines and the Atlas Human 1.2 cDNA microarray, Nishikori and coworkers1  demonstrated that BCL-3 mRNA levels were significantly higher in ALCL compared with HL cell lines, and confirmed their data using Northern blot analysis, real-time reverse transcriptase–polymerase chain reaction (RT-PCR), and Western blot analysis. Using a similar approach and a “pathway” array (1126 genes) developed by the Cancer Genomics Core Laboratory of our institution, we also compared the gene expression profile of an ALK-positive ALCL cell line, Karpas 299, with an HL cell line established in our laboratory. After appropriate normalization, we found a 6-fold higher BCL-3 mRNA level in Karpas 299 cells compared with HL cells, confirmed by Western blot analysis (data not shown).

Nishikori and coworkers1  also reported that bcl-3 mRNA levels were higher in 3 ALK-positive ALCL compared with 3 ALK-negative ALCL tumor samples. However, the authors did not assess BCL-3 protein levels. We have assessed BCL-3 expression in a series of 40 systemic ALCL tumors (14 ALK positive, 26 ALK negative). Although the ALK-negative ALCL cases were strongly and uniformly CD30 positive, others have suggested that these ALK-negative neoplasms are better classified as peripheral T-cell lymphomas.6  The clinical characteristics and therapy of these patients are similar to that reported elsewhere.7  BCL-3 expression was assessed immunohistochemically using a tissue microarray8  that included 4 cores from each tumor. We used a monoclonal antibody (clone 1E8, Novocastra, Newcastle upon Tyne, United Kingdom) and methods previously described.7 

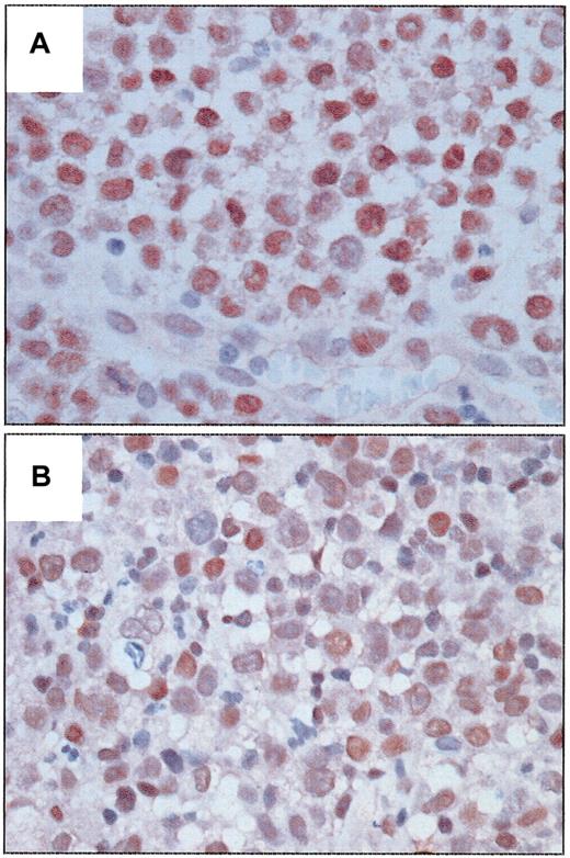
BCL-3 was detected in the nucleus of tumor cells in a subset of ALCL tumors and was significantly associated with ALK expression (Figure 1). Ten of 14 (71.4%) ALK-positive tumors strongly expressed BCL-3 compared with weaker expression in 3 of 26 (11.5%) ALK-negative tumors (P = .0002, Fisher exact test). This association further supports the data of Nishikori et al.1  In our study BCL-3 expression was more frequent in younger patients (P = .04), probably due to its association with ALK. An inverse correlation between BCL-3 and BCL-2 expression also was observed (P = .017). BCL-3 expression was not significantly associated with progression-free or overall survival in patients with ALK-positive or ALK-negative tumors after a median follow-up of 46 months for survivors.

Figure 1.

Expression of BCL-3 protein in systemic ALCL tumors. (A) An ALK-positive ALCL tumor with strong nuclear immunoreactivity in almost all tumor cells. (B) An ALK-negative ALCL tumor with relatively weaker nuclear immunoreactivity in many tumor cells. (Immunoperoxidase, DAB, hematoxylin counterstain, original magnification × 400.)

Figure 1.

Expression of BCL-3 protein in systemic ALCL tumors. (A) An ALK-positive ALCL tumor with strong nuclear immunoreactivity in almost all tumor cells. (B) An ALK-negative ALCL tumor with relatively weaker nuclear immunoreactivity in many tumor cells. (Immunoperoxidase, DAB, hematoxylin counterstain, original magnification × 400.)

Close modal

Of interest, all 8 ALK-positive/BCL-3–positive ALCL tumors with available data expressed nuclear p50 and were positive for phosphorylated p65 protein. High nuclear expression levels of BCL-3 may sequester (p50)2 homodimers in the nucleus, thus preventing active p65/p50 heterodimers from binding to nuclear κB sites as suggested by Nishikori et al.1  This hypothesis provides a possible explanation for the differential effects of CD30 activation on apoptosis in ALCL and HL.9 

In 2 of the 13 patients with BCL-3–positive tumors conventional cytogenetics was performed. The t(14;19)(q32;q13) was not present in either case. Nishikori and colleagues1  have reported that the mechanism of BCL-3 overexpression in ALK-positive ALCL is related to amplification of the gene or demethylation of CpG islands.

In conclusion, our results show that BCL-3 protein is expressed in most ALK-positive ALCL tumors but only in a small subset of ALK-negative tumors, thus providing further in vivo evidence for the differential BCL-3 expression among CD30-positive tumors.

1
Nishikori M, Maesako Y, Ueda C, Kurata M, Uchiyama T, Ohno H. High-level expression of BCL3 differentiates t(2;5)(p23;q35)-positive anaplastic large cell lymphoma from Hodgkin disease.
Blood
.
2003
;
101
:
2789
-2796.
2
Ohno H, Takimoto G, McKeithan TW. The candidate proto-oncogene bcl-3 is related to genes implicated in cell lineage determination and cell cycle control.
Cell
.
1990
;
60
:
991
-997.
3
Ueshima Y, Bird ML, Vardiman JW, Rowley JD. A 14;19 translocation in B-cell chronic lymphocytic leukemia: a new recurring chromosome aberration.
Int J Cancer
.
1985
;
36
:
287
-290.
4
Wulczyn FG, Naumann M, Scheidereit C. Candidate proto-oncogene bcl-3 encodes a subunit-specific inhibitor of transcription factor NF-kappa B.
Nature
.
1992
;
358
:
597
-599.
5
Franzoso G, Bours V, Park S, Tomita-Yamaguchi M, Kelly K, Siebenlist U. The candidate oncoprotein Bcl-3 is an antagonist of p50/NF-kappa B–mediated inhibition.
Nature
.
1992
;
359
:
339
-342.
6
Haralambieva E, Pulford KA, Lamant L, et al. Anaplastic large-cell lymphomas of B-cell phenotype are anaplastic lymphoma kinase (ALK) negative and belong to the spectrum of diffuse large B-cell lymphomas.
Br J Haematol.
2000
;
109
:
584
-591.
7
Rassidakis GZ, Sarris AH, Herling M, et al. Differential expression of BCL-2 family proteins in ALK-positive and ALK-negative anaplastic large cell lymphoma of T/null-cell lineage.
Am J Pathol.
2001
;
159
:
527
-535.
8
Kononen J, Bubendorf L, Kallioniemi A, et al. Tissue microarrays for high-throughput molecular profiling of tumor specimens.
Nat Med.
1998
;
4
:
844
-847.
9
Mir SS, Richter BW, Duckett CS. Differential effects of CD30 activation in anaplastic large cell lymphoma and Hodgkin disease cells.
Blood
.
2000
;
96
:
4307
-4312.
Sign in via your Institution