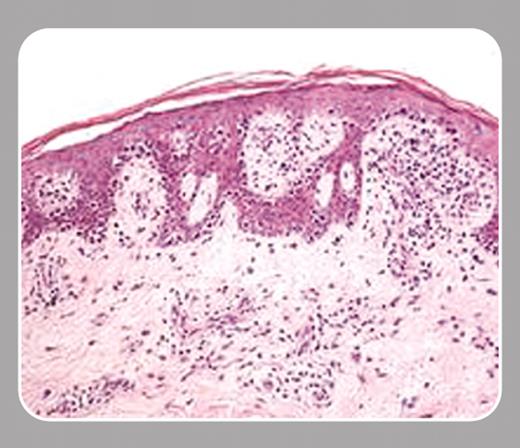
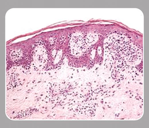
Mycosis fungoides is the most common primary lymphoproliferative disorder of skin. The disease may be difficult to diagnose, particularly in the early patch and plaque stages, when it may resemble a chronic inflammatory dermatitis. The neoplastic cells of mycosis fungoides are CD3+ T cells, which are usually CD4+ T helper cells, and may or may not exhibit an aberrant immunophenotype, with loss of CD7 expression. A number of nonneoplastic conditions, including inflammatory dermatoses, may exhibit an identical immunophenotype, adding to the difficulty of early diagnosis. Often, the diagnosis becomes evident only after multiple biopsies, over a period of months to years. With disease progression, increasing epidermotropism and cytologic atypia are seen, allowing for more definitive diagnosis. With advanced-stage disease, skin tumors may form and neoplastic cells may spread to extracutaneous sites. The pathogenesis of mycosis fungoides is unknown.
In this issue, Tracey and colleagues (page 1042) apply gene-expression profiling techniques to mycosis fungoides, an approach that should significantly expand our knowledge of the disease. First, they identify a 27-gene expression signature, using cDNA microarray analysis on 29 cases of mycosis fungoides and 11 cases of inflammatory dermatoses, which distinguishes between the two. From this they extract a set of 6 genes whose expression can discriminate between mycosis fungoides and inflammatory conditions in 97% of cases. The set of 27 mycosis fungoides–expressed genes, which includes a number of genes involved in the regulation of signaling by tumor necrosis factor (TNF), may hold clues to the pathogenesis of the disease. Finally, through hierarchical clustering of the gene expression data, the authors define 2 main groups of mycosis fungoides cases, one of which includes those that are more aggressive, including cases with tumor-stage disease.
Gene-expression analysis by microarray techniques has been utilized to refine tumor classification for a number of malignant neoplasms, including large B-cell non-Hodgkin lymphoma and breast carcinoma. Tracey and colleagues have now applied this method to a T-cell lymphoma, providing us with a new set of markers that may aid in disease diagnosis, as well as providing a preliminary gene-expression-based tumor classification scheme for mycosis fungoides. Future gene-expression profiling studies, to compare mycosis fungoides with the related Sézary syndrome, other T-cell lymphomas, and benign mimics, such as pseudolymphomatoid drug eruption, will further advance this diagnostically challenging field.

This feature is available to Subscribers Only
Sign In or Create an Account Close Modal