Abstract
Therapeutic strategies that target and disrupt the already-formed vessel networks of growing tumors are actively pursued. The goal of these approaches is to induce a rapid shutdown of the vascular function of the tumor so that blood flow is arrested and tumor cell death occurs. Here we show that the mammalian target of rapamycin (mTOR) inhibitor rapamycin, when administered to tumor-bearing mice, selectively induced extensive local microthrombosis of the tumor microvasculature. Importantly, rapamycin administration had no detectable effect on the peritumoral or normal tissue. Intravital microscopy analysis of tumors implanted into skinfold chambers revealed that rapamycin led to a specific shutdown of initially patent tumor vessels. In human umbilical vein endothelial cells vascular endothelial growth factor (VEGF)–induced tissue factor expression was strongly enhanced by rapamycin. We further show by Western blot analysis that rapamycin interferes with a negative feedback mechanism controlling this pathologic VEGF-mediated tissue factor expression. This thrombogenic alteration of the endothelial cells was confirmed in a one-step coagulation assay. The circumstance that VEGF is up-regulated in most tumors may explain the remarkable selectivity of tumor vessel thrombosis under rapamycin therapy. Taken together, these data suggest that rapamycin, besides its known antiangiogenic properties, has a strong tumor-specific, antivascular effect in tumors.
Introduction
Vascular endothelium normally provides a nonadhesive, nonthrombogenic surface for blood constituents. However, in response to inflammatory stimuli from cytokines and bacterial products, induction of adhesion molecules and the expression of endothelial cell surface procoagulant proteins can occur. Central to the conversion of normal endothelium to a procoagulant surface is the induction of tissue factor (TF) on endothelial cells.1 TF is a transmembrane protein that functions as a high-affinity receptor for factor VIIa. Formation of complexes between TF and factor VIIa initiates the extrinsic blood coagulation cascade by activation of factors IX and X.2 Consistent with a protective role of TF in the hemostatic response, it is constitutively expressed in several extravascular cell types surrounding blood vessels (eg, smooth muscle cells, monocytes) and on organ surfaces.3 Under normal circumstances TF is not expressed on endothelial cells but is rapidly induced in response to inflammatory stimuli including tumor necrosis factor α (TNF-α), vascular endothelial growth factor (VEGF), interleukin-1β, lipopolysaccharide, and thrombin, rendering the endothelial cell surface of blood vessels thrombogenic.4 Cell surface expression of TF has long been implicated in many clinical scenarios such as inflammatory or infectious diseases (sepsis), reperfusion injury, and transplant graft rejection.5 The up-regulation of TF under these pathophysiologic conditions may be responsible for thrombotic complications. In addition, alterations in TF expression on endothelial cells has been reported in association with embryogenesis, angiogenesis, metastasis, and atherogenesis.6-8
The mammalian target of rapamycin (mTOR) is a key intermediary in multiple mitogenic signaling pathways and plays a central role in modulating proliferation and angiogenesis in normal tissues and neoplastic processes.9 Rapamycin is a highly specific inhibitor of mTOR and has been widely used as an immunosuppressant agent in organ transplantation and is in clinical trials for treatment of breast and other cancers.10-12 Rapamycin acts by binding to the immunophilin FK506-binding protein 12, which then binds mTOR and inhibits its function in a poorly understood manner. Regulated by the upstream molecules phosphatidylinositol 3-kinase (PI3K)/Akt, mTOR subsequently phosphorylates 2 downstream substrates, a translation repressor 4E-BP1 (eIF4E-binding protein-1) and ribosomal p70S6K, resulting in inactivation of the former and activation of the latter, thus initiating protein translation.13
We have recently shown that the mTOR inhibitor rapamycin can inhibit tumor growth by an antiangiogenic mechanism that involves blockage of VEGF signaling to endothelial cells.14 Interestingly, besides its antiangiogenic effect, new clinical observations suggest rapamycin may also affect blood vessel function, including thrombogenesis. In particular, rapamycin use has been recently associated with thrombotic complications in patients receiving organ transplants.15-19 For instance, hepatic artery thrombosis has been reported shortly after liver transplantation in patients treated with rapamycin.15 Rapamycin has also been implicated as a potential cause for subacute coronary artery thrombosis after the implantation of rapamycin-eluting stents.20 On the other hand, although acute vascular thrombosis is a potential problem in solid organ transplantation, and after coronary revascularization using rapamycin-eluting stents, a better understanding of this thrombogenic effect could be used to the benefit of cancer patients. In fact, induction of selective thrombosis of tumor vasculature has been proposed as a new approach for cancer therapy.21 Moreover, we have very recently shown that the antitumor effect of rapamycin in mice is associated with tumor vessel thrombosis.22
In the present study we hypothesized that rapamycin treatment increases thrombotic activity by boosting the procoagulatory activity of endothelial cells in tumors. Herein, we demonstrate that rapamycin treatment of mice results in tumor site-specific thrombosis. Mechanistically, we show that TF protein expression is up-regulated in human umbilical vein endothelial cells (HUVECs) through positive VEGF–mitogen-activated protein (MAP) kinase signal transduction. Most importantly, TF-dependent VEGF-MAP kinase signaling, which is negatively regulated through mTOR, is optimal when rapamycin is used to inhibit mTOR. We therefore propose that the net effect of rapamycin on these signaling pathway interactions is up-regulation of TF and promotion of tumor vessel thrombosis.
Materials and methods
Mice and cell lines
Male BALB/c (Harlan Winkelmann, Borchen, Germany), immunodeficient Balb/c nu/nu mice (Charles River, Sulzfeld, Germany), and Syrian golden hamsters (Charles River) were used. Animal procedures were approved by the regional authorities. Murine BALB/c-derived CT-26 colon adenocarcinoma cells, A-mel 3 amelanotic hamster melanoma cells, and L3.6pl human pancreatic carcinoma cells were maintained in standard cell culture media supplemented with 10% fetal bovine serum (FBS). HUVEC cultures were purchased from PromoCell (Heidelberg, Germany) and were maintained in Falcon “surface-modified,” polystyrene flasks with endothelial cell growth medium (PromoCell) containing 2% FBS.
Orthotopic pancreatic tumor model
L3.6pl human pancreatic cancer cells were injected orthotopically as described previously.22,23 Briefly, a small left abdominal flank incision was made and the spleen was exteriorized. Tumor cells (8 × 105 in 40 μL saline) were injected into the subcapsular region of the pancreas just beneath the spleen. Pancreatic tumors were allowed to grow in this orthotopic location for 14 days before initiation of treatment. Prior to treatment, the presence of tumors was confirmed in all animals by abdominal palpation. Rapamycin (1.5 mg/kg/d), as kindly provided by Wyeth Pharma (Muenster, Germany), was administered intraperitoneally. The tumor volume was estimated by using the formula: tumor volume = 0.52 ×
Subcutaneous tumor model
To establish subcutaneous tumors in mice 8 × 105 CT-26 colon cancer cells were injected subcutaneously in the mid-dorsal region.24 Tumors were allowed to grow for 7 days without treatment, before rapamycin treatment (1.5 mg/kg/d) was initiated. Control animals received saline instead. After 3 days of treatment, tumors were removed, measured, and prepared for histology.
TF determination
For the TF expression assay, HUVECs were plated, grown to near confluency, and preincubated for 12 hours under serum-reduced (0.5% FBS) conditions. In experiments where inhibitors were used, a 3-hour preincubation period with combinations of rapamycin (5 ng/mL), PI3K inhibitor wortmannin (100 nM; Sigma, Taufkirchen, Germany), or MAP kinase inhibitor PD98059 (25 μM; Calbiochem, Darmstadt, Germany), followed by stimulation with VEGF165 (20 ng/mL; R&D Systems, Wiesbaden, Germany) or angiopoetin-1 (Ang-1, 200 ng/mL; R&D Systems) was performed. After 8 hours, HUVECs were harvested and lysed with 0.5% Triton X-100 in phosphate-buffered saline (PBS). Total TF expression was detected using a TF enzyme-linked immunosorbent assay (ELISA) kit (American Diagnostica, Pfungstadt, Germany).
p70S6 kinase assay
For Western blotting analysis of p70S6 kinase at the Thr389 site (known site of molecule activation7 ), HUVECs were cultured in fully supplemented medium, then starved (“diet” medium: serum and supplement depleted) for 10 hours, and subsequently cultivated for 3 hours with diet medium containing rapamycin (5 ng/mL), when indicated. After this conditioning period, HUVECs were stimulated with recombinant VEGF165 (50 ng/mL) or recombinant Ang-1 (200 ng/mL) or both. After a 20-minute incubation period cells were lysed (Tris [tris(hydroxymethyl)aminomethane]–HCl 20 mM, pH 7.5, NaCl 150 mM, Na2EDTA [ethylenediaminetetraacetic acid] 1 mM, EGTA [ethylene glycol tetraacetic acid] 1 mM, 1% Triton-100, sodium pyrophosphate 2.5 mM, β-glycerophosphate 1 mM, leupeptin 1 μg/mL, Na3VO4 1 mM, phenylmethylsulfonyl fluoride [PMSF] 1 mM) and protein degradation was inhibited by protease-inhibitor tablets (Cell Signaling Technology, Beverly, MA). Equal amounts of protein extract were separated on polyacrylamide–sodium dodecyl sulfate gels, transferred, and probed with rabbit-phospho (Thr389) or (Thr421/Ser424) p70S6 kinase antibody (Cell Signaling Technology). Primary antibody binding was detected with a goat anti–rabbit horseradish peroxidase-conjugated secondary antibody (Amersham, Freiburg, Germany), in an enhanced chemiluminescence Western blotting system (Amersham). To confirm total protein loading, β-actin was detected in the same system using a mouse antibody against β-actin (Sigma) as the primary antibody, followed by a sheep anti–mouse horseradish peroxidase-conjugated secondary antibody (Amersham).
Blood sampling and platelet preparation
Separation and ex vivo fluorescent labeling of platelets was performed as previously described in detail.25 In brief, 2-mL blood samples from syngenic hamster donors were collected in polypropylene tubes containing 0.4 mL Alsevers buffer, prostaglandin E1 (PGE1; final concentration 650 nM; Serva, Heidelberg, Germany), and 1 mL Dulbecco-PBS (D-PBS; Pan-Systems, Aidenbach, Germany). Blood was then centrifuged and the platelet-enriched plasma was gently transferred into a fresh tube containing Alsevers buffer, D-PBS, and PGE1 (940 nM final concentration). The fluorescent marker carboxyfluorescein diacetate (CFDA-SE; Molecular Probes, Eugene, OR) was added and centrifugation was repeated immediately. Finally, the resulting pellet was resuspended in 0.5 mL D-PBS. Platelet concentration and sample purity were measured by means of flow cytometry. Animals received a total of 1 × 108 fluorescently labeled platelets transfused via a polyethylene catheter (PE10, inner diameter 0.28 mm; Portex, Hythe, United Kingdom) placed in the right jugular vein, corresponding to approximately 10% of all circulating platelets.
Dorsal skinfold chamber analysis
Consecutive stages of tumor angiogenesis and platelet-endothelial cell interactions were studied with the dorsal skinfold chamber model, as described previously.14,22,25,26 CT-26 (in mice) or A-mel 3 tumors (in hamsters) were allowed to grow and establish a vascular network in the dorsal skinfold chamber before treatment was initiated. Intravital microscopy was performed on day 7 and on day 11 after a 3-day treatment with rapamycin (1.5 mg/kg/d intraperitoneally) or saline.
Awake animals were immobilized in a Plexiglas tube attached to a computer-controlled microscope stage to allow relocation and repeated observation of identical microvessel segments. Observations were made using × 10 long distance and × 20 water immersion working objectives fitted to a fluorescence microscope (Axiotech vario; Zeiss Oberkochen, Germany) under trans- or epi-illumination. Images were obtained by a silicon-intensified target video camera (C2400-08; Hamamatsu, Herrsching, Germany) and recorded on S-VHS videotape for later off-line analysis.14,22,25,26
Effect of rapamycin on tumor growth of mice with orthotopically implanted L3.6pl pancreatic tumors. Control mice receiving daily saline injections (▪) had to be humanely killed on day 26 because of tumor side effects. In the rapamycin-treated group (○) 4 mice were humanely killed for comparative histomorphologic analysis; the 6 animals left were kept on therapy to confirm long-time survival. Results shown are mean values ± SEM. *P < .05 versus control.
Effect of rapamycin on tumor growth of mice with orthotopically implanted L3.6pl pancreatic tumors. Control mice receiving daily saline injections (▪) had to be humanely killed on day 26 because of tumor side effects. In the rapamycin-treated group (○) 4 mice were humanely killed for comparative histomorphologic analysis; the 6 animals left were kept on therapy to confirm long-time survival. Results shown are mean values ± SEM. *P < .05 versus control.
Quantitative vascular analysis included the determination of the microvascular density (MVD; vessel length per observation area [cm-1]), and the functional capillary density (FCD; red blood cell–perfused vessels per observation area [cm-1]) within the tumor, peripheral tumor, or peritumoral region. Platelet aggregation was quantified by measuring total area of platelet aggregates related to tumor tissue area by means of a digital image analysis system (Zeiss KS400) in 6 to 8 random areas (0.130 mm2) within the tumor or peritumoral tissue, 45 minutes after infusion of ex vivo fluorescently labeled platelets. More than 3 platelets adherent to the vessel wall for more than 30 seconds was defined as a platelet aggregate.
Coagulation assay
TF activity was determined after 12 hours of incubation with VEGF or rapamycin using a one-stage clotting assay.27 HUVECs were washed, scraped from the surface of the culture flasks, washed, and resuspended in 100 μL PBS containing 0.5% of Triton X-100. To start the clotting reaction, 50 μL cell suspension was added to 50 μL citrated normal human plasma (50 μL of 25 mM CaCl2) and finally incubated at 37°C. Clotting times of the samples were measured starting from CaCl2 addition to the first fibrin strand formation. Procoagulant activity of HUVECs induced by stimulants was confirmed to depend on TF using a polyclonal goat anti-TF antibody (American Diagnostica, Greenwich, CT).
Statistical analysis
Data are given as the mean values plus or minus SEM in quantitative experiments. To analyze quantitative differences between experimental groups, an unpaired Student t test was performed.
Results
Growth of an established human pancreatic tumor in nude mice
To determine the potential for rapamycin treatment in a pancreatic cancer situation, nude athymic mice (10/group) were given orthotopic injections of human L3.6pl cancer cells. Pancreatic tumors were allowed to become established for 14 days before rapamycin (1.5 mg/kg/d) treatment was initiated. Compared to control mice, rapamycin treatment resulted in a significant reduction in pancreatic tumor volume (Figure 1). In the same experiments, all control animals were humanely killed on day 26 because of their deteriorating condition. Although still in good condition, 4 randomly selected of the 10 rapamycin-treated mice were also humanely killed for comparative histomorphologic analysis; the remaining 6 rapamycin-treated mice in this group were continued on therapy for as long as 46 days to confirm long-term survival.
Histomorphologic analysis of orthotopic L3.6pl pancreatic tumors and subcutaneous CT-26 colon cancer tumors after therapy
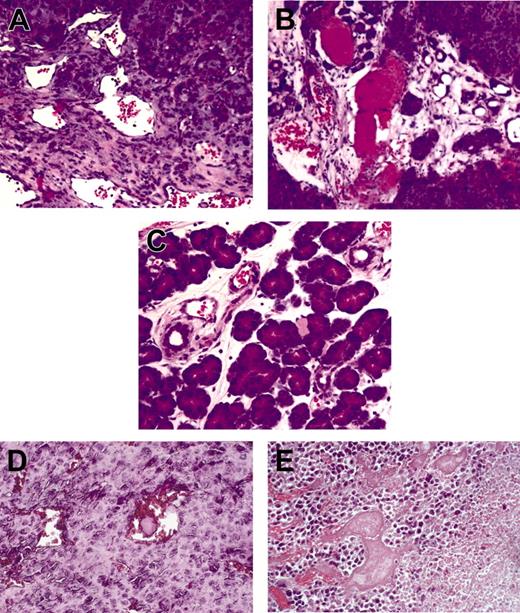
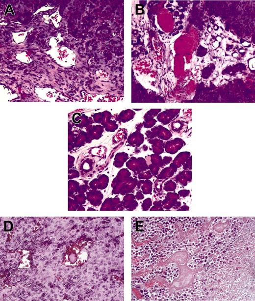
Standard hematoxylin and eosin staining of pancreatic tumors, as well as subcutaneous colon cancer tumors, revealed some striking features with regard to blood vessel formation in rapamycin-treated mice. In particular, in rapamycin-treated tumors we consistently observed the presence of tumor vessels containing fresh and organized thrombi. Typically, tumor vessel thromboses were localized in a rim of viable tumor cells surrounding a central necrotic area. Importantly, neither tumors from controls, nor tissue from adjacent normal pancreas in rapamycin-treated mice, showed any of the same signs of vascular thrombosis. These results suggest the thrombotic effect of rapamycin was localized to the tumor and was not present in normal tissue (Figure 2A-C). To test whether this effect was due to acute or chronic rapamycin exposure, we performed a short-term experiment in a subcutaneous CT-26 tumor model, whereby established subcutaneous CT-26 tumors were treated for only 3 days with rapamycin. Although there was no significant change in tumor volume within this short treatment period, the thrombotic effect of rapamycin on tumor vessels was also apparent after this short treatment period. Once again, we found that rapamycin treatment produced thrombosis in tumor vessels, with associated tissue necrosis, whereas thrombosis remained absent in control tumors (Figure 2D-E). These results suggest that only brief periods of rapamycin exposure can cause tumor vessel thrombosis.
Development of thrombi in pancreatic tumors and colon adenocarcinomas. Rapamycin treatment results in the development of thrombi in orthotopic 3.6pl pancreatic tumors (A-C) and heterotopically implanted CT-26 colon adenocarcinomas (D-E). Representative high-magnification views of an area of pancreatic tumor from control and rapamycin-treated mice are shown. (A) No thrombi were found in control mice. (B) This photomicrograph shows several clotted vessels in a rapamycin-treated L3.6pl orthotopic tumor. (C) Areas of normal pancreatic tissue outside tumors in rapamycin-treated mice do not show evidence of vascular thrombosis. Similar patterns can be observed after short-term treatment with rapamycin in CT-26 tumor-bearing mice. (D) Unaffected vessels in control animals. (E) A central tumor necrosis is surrounded by viable tumor tissue containing thrombotic vessels. Total image magnification, 200×,20× Zeiss Achroplan objective lens, numerical aperture 0.45. Images were acquired with Image J software (rsb.info.nih.gov/ij).
Development of thrombi in pancreatic tumors and colon adenocarcinomas. Rapamycin treatment results in the development of thrombi in orthotopic 3.6pl pancreatic tumors (A-C) and heterotopically implanted CT-26 colon adenocarcinomas (D-E). Representative high-magnification views of an area of pancreatic tumor from control and rapamycin-treated mice are shown. (A) No thrombi were found in control mice. (B) This photomicrograph shows several clotted vessels in a rapamycin-treated L3.6pl orthotopic tumor. (C) Areas of normal pancreatic tissue outside tumors in rapamycin-treated mice do not show evidence of vascular thrombosis. Similar patterns can be observed after short-term treatment with rapamycin in CT-26 tumor-bearing mice. (D) Unaffected vessels in control animals. (E) A central tumor necrosis is surrounded by viable tumor tissue containing thrombotic vessels. Total image magnification, 200×,20× Zeiss Achroplan objective lens, numerical aperture 0.45. Images were acquired with Image J software (rsb.info.nih.gov/ij).
Rapamycin induces selective thrombosis of tumor vessels
To further investigate the phenomenon of selective tumor vessel thrombosis, CT-26 tumor cells were implanted into dorsal skinfold chambers to examine the tumor vasculature by intravital microscopy 3 days after beginning rapamycin treatment. After this relatively short time of drug exposure, the microvascular density, which does not discriminate between perfused and nonperfused vessels, was only slightly reduced (234 ± 28 cm-1 day 7 versus 207 ± 16 cm-1 day 11) in rapamycin-treated mice. In contrast, the functional capillary density, representing the actually perfused vessels, was drastically reduced in these mice. The apparent difference in MVD and FCD indicates that the lower tumor perfusion in rapamycin-treated mice was not due to a loss of tumor vessels, but to obstruction of preexisting vessels (Figure 3A-D). Consistent with the histomorphologic analyses, there was no significant loss of functional capillaries in the peritumoral tissue of rapamycin-treated mice.
To more specifically examine clotting as a cause for the reduction of functional tumor vessels, CFDA-labeled thrombocytes were tracked in the microvasculature of A-mel 3 tumors using intravital microscopy in dorsal skinfold chambers (Figure 4A-K). In these experiments short-term rapamycin treatment (6 days) promoted blood vessel obstruction, as indicated by platelet aggregation in tumor vessels (Figure 4A). More specifically, real-time intravital microscopy analysis showed initial adhesion of platelets to the vascular wall, followed by rapid platelet aggregation to a microthrombus. Formation of microthrombi occurred randomly throughout the tumor vessel system and was not confined to a specific tumor area or vessel type. Loss of blood flow in tumor vessels (decreased FCD) was directly associated with the development of these intravascular microthrombi in rapamycin-treated mice. Remarkably, and consistent with our previous results, accumulation and sticking of platelets occurred almost entirely within tumor vessels of rapamycin-treated hamsters (Figure 4B-K). We did not observe platelet-associated thrombus formation in normal peritumoral tissue or in tumors of control hamsters (Figure 4A-C).
Rapamycin treatment induces the selective shutdown of initially functional tumor vessels. The effect of a 3-day rapamycin treatment (1.5 mg/kg/d) schedule on the functional capillary density (FCD) of normal and CT-26 tumor (TU) tissue (day 11 after tumor implantation) are shown. Intravital microscopy views of (A) peritumoral vessels, (B) a normal tumor vessel network in control mice, and (C) significant loss of FCD in the tumor of a rapamycin-treated animal. (D) A computer-assisted quantitative analysis of blood vessels demonstrates a significant loss of FCD after rapamycin treatment in the peripheral and central tumor region compared to untreated tumors or compared to peritumoral tissue. □ indicates saline control mice; ▦, mice treated with 1.5 mg/kg/d rapamycin. Data shown are mean values ± SEM of 7 mice per group. *P < .05 versus saline control. Total magnification in panels A-C, 630×, 20× Leitz Wetzlar long-distance objective lens, numerical aperture 0.32. Images were acquired with Image J software.
Rapamycin treatment induces the selective shutdown of initially functional tumor vessels. The effect of a 3-day rapamycin treatment (1.5 mg/kg/d) schedule on the functional capillary density (FCD) of normal and CT-26 tumor (TU) tissue (day 11 after tumor implantation) are shown. Intravital microscopy views of (A) peritumoral vessels, (B) a normal tumor vessel network in control mice, and (C) significant loss of FCD in the tumor of a rapamycin-treated animal. (D) A computer-assisted quantitative analysis of blood vessels demonstrates a significant loss of FCD after rapamycin treatment in the peripheral and central tumor region compared to untreated tumors or compared to peritumoral tissue. □ indicates saline control mice; ▦, mice treated with 1.5 mg/kg/d rapamycin. Data shown are mean values ± SEM of 7 mice per group. *P < .05 versus saline control. Total magnification in panels A-C, 630×, 20× Leitz Wetzlar long-distance objective lens, numerical aperture 0.32. Images were acquired with Image J software.
Adherence and aggregation of platelets occurs in tumor vessels but not in normal vessels after treatment with rapamycin. (A) The figure shows the total area of platelet aggregates related to tumor tissue area within a 30-second observation period, as an indicator for an ongoing coagulation process. Platelet aggregates were quantified in 6 to 8 random areas within the tumor (rapamycin R1-R4, ○; control C1-C3, ▵; n = 3-4) or the peritumoral tissue after 6 days of treatment. (B-I) Representative photomicrographs of the dorsal skinfold chambers are shown to illustrate the platelet endothelial interaction in the different groups. (B) In control animals platelets do not stick to tumor vessels; asterisk/arrow indicates flowing platelets. (C) In the peritumoral tissue of rapamycin-treated hamsters no plugging of vessels was observed. (D-G) Thrombus formation in the dorsal skinfold chamber tumors of rapamycin-treated hamsters are shown by sequential photomicrographs; +/arrow indicates adherent platelets (H-I). The overlay of identical sequences in trans- and fluorescent epi-illumination technique shows that thrombus formation is responsible for the observed loss of FCD in tumors. Total magnification for panels B-1, 630×, 20× Leitz Wetzlar long-distance objective lens, numerical aperture 0.32. Images were acquired with Image J software.
Adherence and aggregation of platelets occurs in tumor vessels but not in normal vessels after treatment with rapamycin. (A) The figure shows the total area of platelet aggregates related to tumor tissue area within a 30-second observation period, as an indicator for an ongoing coagulation process. Platelet aggregates were quantified in 6 to 8 random areas within the tumor (rapamycin R1-R4, ○; control C1-C3, ▵; n = 3-4) or the peritumoral tissue after 6 days of treatment. (B-I) Representative photomicrographs of the dorsal skinfold chambers are shown to illustrate the platelet endothelial interaction in the different groups. (B) In control animals platelets do not stick to tumor vessels; asterisk/arrow indicates flowing platelets. (C) In the peritumoral tissue of rapamycin-treated hamsters no plugging of vessels was observed. (D-G) Thrombus formation in the dorsal skinfold chamber tumors of rapamycin-treated hamsters are shown by sequential photomicrographs; +/arrow indicates adherent platelets (H-I). The overlay of identical sequences in trans- and fluorescent epi-illumination technique shows that thrombus formation is responsible for the observed loss of FCD in tumors. Total magnification for panels B-1, 630×, 20× Leitz Wetzlar long-distance objective lens, numerical aperture 0.32. Images were acquired with Image J software.
Rapamycin interferes with the negative feedback mechanism controlling VEGF-mediated TF expression
Because rapamycin interferes with VEGF-dependent pathways in endothelial cells and VEGF contributes to pathologic TF expression on endothelial cells,14 we tested the effect of rapamycin on VEGF-activated TF expression in HUVECs. After stimulation of HUVECs with VEGF, TF expression was markedly up-regulated in comparison to control cultures (∼11-fold; Figure 5). The incubation of HUVECs with rapamycin in the absence of VEGF resulted in a slight increase in TF expression (∼3-fold); however, when adding rapamycin, known to inhibit VEGF-mediated PI3K/Akt signaling through blocking mTOR, TF expression increased even more (∼18-fold). Therefore, we hypothesized that VEGF signaling through PI3K/Akt/mTOR must negatively affect TF expression. To verify this theory, the PI3K/Akt signaling pathway was stimulated with Ang-1. Consistent with the hypothesis that PI3K/Akt signaling via mTOR has a negative effect on TF, Ang-1 addition to cultures reduced TF production, and this inhibitory effect could be completely negated by the addition of rapamycin. Accordingly, the PI3K inhibitor wortmannin up-regulated TF production, however to a lesser degree than rapamycin, but completely prevented the inhibitory effect of Ang-1 (data not shown). Next we focused on the parallel signaling of VEGF through MAP kinase. The MAP kinase inhibitor PD98059 significantly prevented VEGF-driven up-regulation of TF on endothelial cells, indicating that activation of the MAP kinase pathway is critical for up-regulation of TF. Taking these data together, we can show that TF production is stimulated via the VEGF/MAP kinase pathway and inhibited by the PI3K/Akt/mTOR pathway.
The negative feedback mechanism is mediated by the p70S6 kinase
Because our experiments show that mTOR activity might be central for the negative control of TF expression, we investigated the phosphorylation status of the p70S6 kinase at the Thr389 site, which is directly phosphorylated by mTOR.28 In these experiments VEGF stimulation led to a significant increase in the phosphorylation of Thr389 compared to unstimulated controls. Activation of the PI3/Akt pathway with Ang-1 also resulted in phosphorylation of the Thr389 site, however, to a lesser degree compared to VEGF. Compatibly, the PI3K inhibitor wortmannin could inhibit the stimulatory effect of Ang-1 or VEGF on Thr389 phosphorylation (data not shown). Rapamycin completely abolished Thr389 phosphorylation induced by either VEGF or Ang-1 (Figure 6). Phosphorylation of the p70S6 kinase at the Thr421/Ser424 site, known to be induced via the MAP kinase pathway,28,29 was also activated by VEGF, and to a lesser extent by Ang-1. However, rapamycin did not block VEGF-stimulated phosphorylation at this site. Therefore, together these results indicate that VEGF stimulates the rapamycin-insensitive MAP kinase pathway, causing phosphorylation of the Thr421/Ser424 site; at the same time VEGF stimulates the rapamycin-sensitive mTOR pathway, resulting in p70S6 kinase phosphorylation at the Thr389 site. Moreover, these experiments suggest that phosphorylation of p70S6K at different activation sites via mTOR or MAP kinase signaling could be an important mechanism for balancing and controlling TF expression in endothelial cells.
Rapamycin potentiates TF expression of HUVECs in the presence of VEGF. TF expression by HUVECs was measured by ELISA 12 hours after incubation with VEGF or Ang-1 in the presence of different inhibitors. mTOR was inhibited with rapamycin (RAPA), whereas the MAP kinase pathway was interrupted with PD98059 (PD). Results show the mean value ± SEM of 3 independent experiments performed in triplicate. *P < .05 versus control; +, P < .05 versus VEGF stimulation.
Rapamycin potentiates TF expression of HUVECs in the presence of VEGF. TF expression by HUVECs was measured by ELISA 12 hours after incubation with VEGF or Ang-1 in the presence of different inhibitors. mTOR was inhibited with rapamycin (RAPA), whereas the MAP kinase pathway was interrupted with PD98059 (PD). Results show the mean value ± SEM of 3 independent experiments performed in triplicate. *P < .05 versus control; +, P < .05 versus VEGF stimulation.
The negative feedback mechanism controlling TF expression requires activity of the p70S6 kinase. Western blotting analysis was performed on VEGF- and/or Ang-1–stimulated HUVECs with and without rapamycin. Blots were probed with antibodies against phospho-specific p70S6 kinase targeted at the Thr389 or Thr421/Ser424 site, and β-actin.
The negative feedback mechanism controlling TF expression requires activity of the p70S6 kinase. Western blotting analysis was performed on VEGF- and/or Ang-1–stimulated HUVECs with and without rapamycin. Blots were probed with antibodies against phospho-specific p70S6 kinase targeted at the Thr389 or Thr421/Ser424 site, and β-actin.
Rapamycin increases the procoagulant activity of HUVECs
To verify that up-regulation of TF in HUVECs does indeed correspond with increased procoagulant activity, we performed a one-stage clotting assay. In this assay the clotting time was recorded after incubation of treated HUVECs with citrated human plasma. We found that the coagulation time was markedly reduced after stimulation with VEGFs (43 seconds compared to 152 seconds for unstimulated HUVECs; Figure 7). Consistent with our TF protein expression data, the combination of VEGF and rapamycin further accelerated the coagulation reaction (22 seconds). Notably, rapamycin treatment alone also caused a reduction in the clotting time with unstimulated HUVECs (59 seconds). These results translate our earlier findings with TF expression to a function effect, showing that VEGF promotes coagulation events most efficiently in the presence of rapamycin.
Rapamycin potentiates the procoagulant activity of HUVECs in the presence of VEGF. The procoagulant activity of HUVECs was determined in a one-stage clotting assay in response to VEGF (20 ng/mL; ▨) or rapamycin (5 ng/mL; ▩) or both (▦). □ indicates control. Results show the mean coagulation time ± SEM in 3 independent experiments performed in quadruplicate. *P < .001 versus control; +, P < .05 versus VEGF.
Rapamycin potentiates the procoagulant activity of HUVECs in the presence of VEGF. The procoagulant activity of HUVECs was determined in a one-stage clotting assay in response to VEGF (20 ng/mL; ▨) or rapamycin (5 ng/mL; ▩) or both (▦). □ indicates control. Results show the mean coagulation time ± SEM in 3 independent experiments performed in quadruplicate. *P < .001 versus control; +, P < .05 versus VEGF.
Discussion
Rapidly proliferating tumors require an efficient blood supply to meet their nutritional needs in both primary and metastatic disease.30 Current methods of cancer therapy that focus on the vascular needs of the tumor have relied on the use of antiangiogenic factors that prevent the formation of new blood vessels and inhibit new tumor growth in regions of neovascularization. However, this approach does little to eliminate vascular areas of existing tumors where mature vessels already supply adequate circulation, or peripheral regions of tumors that share vascularization with adjacent normal tissues. We have shown previously that the mTOR inhibitor rapamycin has a strong antiangiogenic effect by interfering with VEGF-mediated pathways in endothelial cells.14 In the present study we demonstrate that in addition to the antiangiogenic effect of rapamycin, it can promote thrombosis specifically in tumor vessels, thereby partially disabling the established vascular network of tumors.
Treatment of established L3.6pl pancreatic tumors with rapamycin resulted in an immediate inhibition of primary tumor growth after the onset of therapy. Histologic analyses showed localized thromboses in rapamycin-treated tumors, but not in control tumors, suggesting the pancreatic tumor alone did not induce clotting. Importantly, thrombosis was specifically found in the tumor tissue, and not in the regions surrounding the tumor, or in other organs (lung, muscles, pancreas, colon; data not shown) of rapamycin-treated animals. The thrombogenic effect of rapamycin was not restricted to orthotopic pancreatic tumors because the same effect could be reproduced in a subcutaneous CT-26 colon cancer model in mice, as well as in a A-mel 3 melanoma model in hamsters. Besides promoting endothelial cell death in developing tumor vessels,22 which may be related to vessel thrombosis, the present experiments indicate that rapamycin can induce thrombosis of initially well-functioning tumor vessels, even after relatively short-term rapamycin treatment.
In the present study, we identified TF as a key molecule mediating the thrombogenic effect of rapamycin on tumor endothelial cells. More specifically, TF expression in endothelial cells was up-regulated in the presence of rapamycin and was further up-regulated by stimulating TF cell signaling pathways with VEGF and rapamycin. The relevance of this excessive up-regulation of TF was also shown at a functional level, with demonstration of accelerated clot formation in the presence of VEGF and rapamycin. Based on the presumption that VEGF directly stimulates TF expression pathways, and rapamycin inhibition of mTOR increased the VEGF effect to an even greater extent, we hypothesized that rapamycin inhibition of mTOR likely releases some form of negative regulation on TF expression. Previous studies suggest that whereas positive regulation of TF production depends on MAP kinase activation, negative regulation of TF expression occurs via activation of the PI3K/Akt pathway.31 Therefore, up-regulated expression of TF on endothelial cells, as observed under pathologic conditions,1,5 may be the result of diminished PI3K activity combined with an increase in MAP kinase activity. The relationship between these pathways with regard to TF expression is also supported by a recent study showing that Ang-1, an activator of PI3K, is able to inhibit the induction of TF by VEGF and TNF-α.32 Consistent with this study, we show that mTOR is critical for this inhibitory pathway of TF production and that inhibition of the mTOR pathway with rapamycin causes a shift in the fine-tuned balance of procoagulatory and anticoagulatory signaling pathways toward a procoagulant state. Furthermore, our data suggest that the inhibitory pathway is transmitted via mTOR to p70S6 kinase, because blockage of signaling molecules located upstream of mTOR (such as PI3K/Akt) proved to be less potent at inhibiting TF up-regulation. The results of our Western blot analyses further suggest a possibility that the inhibiting pathway depends on the activity of the p70S6 kinase, which is mainly driven by the phosphorylation of the Thr389 site via mTOR. Based on the data presented, we suggest the following mechanism (Figure 8). On binding of VEGF to the VEGF receptor 1 (VEGFR-1) the MAP kinase pathway is activated, leading to stimulation of TF production. Under normal circumstances, the potential deleterious effects of TF up-regulation are controlled by simultaneous phosphorylation of the p70S6 kinase at the Thr421/Ser424 sites, which are thought to activate p70S6 kinase via relief of pseudo-substrate suppression.28 This negative loop is potentially further stabilized by VEGF activation of the PI3K pathway via the VEGFR-2, or with Ang-1 treatment via the Tie-2 receptor. However, PI3K pathway stimulation causes mTOR-dependent p70S6 kinase activation at its Thr389 site. Therefore, we suggest that mTOR functions as a master switch for the PI3K/p70S6 kinase negative regulatory pathway, thus controlled by rapamycin. In fact, this control mechanism of TF expression could potentially explain why tumors, which usually express VEGF in large amounts, do not undergo early auto-thrombosis and auto-necrosis. Furthermore, this mechanism could help to explain why long-term treatment with rapamycin not only prevents further tumor growth, but causes tumor necrosis.14
Interestingly, several approaches have been undertaken to use TF for specifically inducing tumor vessel thrombosis. For example, Hu et al33 have reported the successful use of different TF fusion proteins to induce tumor vessel thrombosis. Another study by Philipp et al34 suggests the concomitant use of truncated TF and lipopolysaccharide to induce thrombotic tumor vessel occlusion. From a therapeutic standpoint, however, we suggest that administration of rapamycin used to locally boost TF expression has advantages. First, it is a drug already in use in transplant recipients, where it has been shown to be safe for long-term daily treatment. Second, because we have recently reported that rapamycin promotes endothelial cell death in growing vessels,22 the thrombotic activity of TF is even more likely to be directed toward developing vessels in tumors. Finally, mTOR inhibition through rapamycin treatment has recently been shown to have a broad effectiveness against different types of tumor cells,13 adding yet another dimension to its multipotent anticancer activity. However, from another medical perspective, the use of rapamycin creates concerns about the possibility of promoting pathologic thrombosis. In fact, some hints from clinical studies indicate that caution must be taken in this respect when using rapamycin. For instance, there have been reports of rare, but serious, thrombotic complications after organ transplantation and after intracoronary stent implantation.15,16,20 In both of these clinical scenarios, intense vessel repair processes are likely to boost local VEGF production, which when combined with rapamycin, as our present study suggests, increase the likelihood of a thrombotic event.
Proposed pathways for rapamycin-induced TF production in endothelial cells. We suggest that (1) TF is up-regulated by the MAP kinase pathway, (2) inadequate TF production is controlled by simultaneous activation of negative regulating pathways, and (3) inhibition of mTOR with rapamycin leads to complete loss of p70S6 kinase-mediated negative regulation. PDK1 indicates 3-phosphoinositide-dependent kinase 1.
Proposed pathways for rapamycin-induced TF production in endothelial cells. We suggest that (1) TF is up-regulated by the MAP kinase pathway, (2) inadequate TF production is controlled by simultaneous activation of negative regulating pathways, and (3) inhibition of mTOR with rapamycin leads to complete loss of p70S6 kinase-mediated negative regulation. PDK1 indicates 3-phosphoinositide-dependent kinase 1.
In conclusion, the present study shows that rapamycin, besides its antiangiogenic properties, has a strong tumor-specific functional effect on established tumor vessels. The costimulatory effect of rapamycin and local VEGF secretion by tumors results in excessive endothelial TF expression that leads to tumor vessel thrombosis. Importantly, our study suggests that the use of rapamycin for oncologic therapy can target an established blood supply in tumors, and therefore, may be used effectively to not only prevent tumor expansion, but also to shrink existing tumor lesions.
Prepublished online as Blood First Edition Paper, January 25, 2005; DOI 10.1182/blood-2004-09-3540.
Supported by grants from the Wilhelm Sander-Stiftung (no. 2003.133.1), the Deutsche Forschungsgemeinschaft (DFG; no. GR1478/3-1), and the FöFoLe Research Program of the University of Munich.
The publication costs of this article were defrayed in part by page charge payment. Therefore, and solely to indicate this fact, this article is hereby marked “advertisement” in accordance with 18 U.S.C. section 1734.
The authors thank M. Eder and M. Brückel for their excellent technical assistance.








This feature is available to Subscribers Only
Sign In or Create an Account Close Modal