Abstract
Idiopathic myelofibrosis (IM) is characterized by increased numbers of CD34+ cells in the peripheral blood (PB). We explored the possible mechanisms underlying this abnormal trafficking of CD34+ cells. Plasma levels of neutrophil elastase (NE), total and active matrix metalloproteinase 9 (MMP-9), and soluble vascular cell adhesion molecule-1 (sVCAM-1) were dramatically increased in IM. The absolute number of CD34+ cells in the PB was correlated with the levels of sVCAM-1. Marked elevations of the levels of NE but not total and active MMP-9 as well as MMP-2 were detected in media conditioned by IM mononuclear cells (MNCs) as compared with that of healthy volunteers. IM MNC-conditioned media, however, was shown by zymographic analysis to contain increased gelatinolytic activity corresponding to the molecular weight of MMP-9. IM MNC-conditioned media also exhibited a greater ability to cleave VCAM-1 and c-kit in vitro, consistent with the biologic actions of NE. In addition, the increased ability of IM PB CD34+ cells to migrate through a reconstituted basement membrane was diminished by several inhibitors of MMP-9 activity, indicating that these cells express increased levels of this MMP. These data indicate that a proteolytic environment exists in IM which might result in the sustained mobilization of CD34+ cells.
Introduction
Idiopathic myelofibrosis (IM) is a chronic Philadelphia chromosome–negative myeloproliferative disorder (MPD) characterized by splenomegaly, a leukoerythroblastic blood picture, teardrop erythrocytes (dacrocytosis), varying degrees of bone marrow (BM) fibrosis, and extramedullary hematopoiesis.1-4 Barosi et al5 has demonstrated that the peripheral blood (PB) of patients with IM contains significantly greater numbers of CD34+ cells than healthy control subjects and patients with other Philadelphia (Ph)–negative MPDs.
The transient mobilization of hematopoietic stem cells (HSCs) and progenitor cells (HPCs) into the PB in response to a variety of growth factors and chemokines, including granulocyte colony-stimulating factor (G-CSF) and interleukin-8 (IL-8), has been attributed to the induction of a highly proteolytic environment within the BM.6-14 In particular, matrix metalloproteinase-9 (MMP-9) (gelatinase B), neutrophil elastase (NE), and cathepsin G (CG) have been reported to accumulate in the BM of mice treated with G-CSF in a manner that mirrors HSC/HPC mobilization6,9,12-18 Several events, which have been reported to occur as a consequence of this proteolytic environment within the BM, have been implicated in HSC/HPC mobilization11-13,19 Proteases released by activated neutrophils cleave vascular cell adhesion molecule-1 (VCAM-1) expressed by stromal cells leading to the disruption of a key adhesive interaction between VCAM-1 and very late antigen-4 (VLA-4) expressed by HSCs and HPCs.11-13,19 The interaction of stromal cell–, endothelial cell–, and osteoblast-derived stromal cell-derived factor-1 (SDF-1) and CXC-chemokine receptor-4 (CXCR4) expressed by HSCs and HPCs is also believed to provide a key signal regulating HSC/HPC trafficking within the BM.9,20-26 G-CSF, by promoting the release of both NE and CG, has been reported to induce HSC/HPC mobilization through the proteolytic inactivation of SDF-1 and CXCR4.9,27 It has also been suggested that gelatinase pathways play a critical role in growth factor–stimulated HSC/HPC mobilization.6,18 MMPs stored in neutrophil granules are rapidly released following activation, while neutralizing antibodies to MMP-9 have been shown to partially block HSC/HPC mobilization induced by IL-8.14,28 In addition, PB CD34+ cells have been shown to migrate through a reconstituted basement membrane (Matrigel) more readily than steady-state CD34+ cells not expressing gelatinases,17 suggesting that the up-regulation of cell-bound MMPs, their secretion, or both may enhance HSC/HPC transmigration and eventual HSC/HPC mobilization. Furthermore, the proteolytic cleavage of c-kit by neutrophil and macrophage-secreted proteases, as well as the release of soluble stem cell factor (sSCF) by MMP-9 following G-CSF administration, has been previously documented.16-18 Whether alteration in the interaction between SCF and c-kit further contributes to the mobilization of HSCs and HPCs following G-CSF administration remains a subject of ongoing investigation. Many of the growth factors and cytokines that are known to be effective mobilizers of HSCs and HPCs also play a regulatory role in the synthesis and secretion of various MMPs by BM cells.12,17 Although protease-independent pathways of HSC/HPC mobilization likely exist,29 these data collectively suggest that a complex network of events contribute to HSC/HPC mobilization following a variety of stimuli.
Abnormal CD34+ cell trafficking is an integral part of the pathobiology of IM. The mechanisms responsible for this continuous process remain poorly defined and might differ from that associated with the transient HSC/HPC mobilization following the administration of cytokines, chemokines, or chemotherapeutic agents. We have hypothesized that alterations of the adhesive interactions between HSCs and the BM microenvironment that normally retain HSCs and HPCs within the BM may lead to the mobilization of malignant CD34+ cells in IM. Since the BM cells of patients with IM are frequently inaspiratable, the inaccessibility of cells comprising the BM microenvironment is a major obstacle to studying the processes involved in this phenomenon. We have, therefore, investigated these potential pathways by studying PB mononuclear cells and plasma to detect evidence of a proteolytic environment in patients with IM.
In this study, we provide evidence that the CD34+ cell mobilization that characterizes IM may be due to multiple proteolytic activities leading to the disruption of the interactions between HSCs and HPCs and the BM microenvironment.
Patients, materials, and methods
Reagents
Human NE, purified from human sputum, was obtained from Elastin Products (Owensville, MO). Recombinant human (rhu) MMP-9 was obtained from R&D Systems (Minneapolis, MN). rhuMMP-9 was activated in vitro with aminophenyl mercuric acid according to the manufacturer's instructions. Rhu G-CSF, IL-6, SDF-1, SCF, granulocyte macrophage colony-stimulating factor (GM-CSF), erythropoietin (EPO), thrombopoietin (TPO), and IL-3 were kindly provided by Amgen Biologicals (Thousands Oaks, CA). Purified recombinant forms of the extracellular domain of human (rhu) c-kit (residues 1-520) and rhuVCAM-1, as well as sheep anti–human VCAM-1 antibody and goat anti–human c-kit antibody, were obtained from R&D Systems.
Patients and healthy control subjects
All human tissue samples were obtained after informed consent following the guidelines of the Institutional Review Boards at The University of Illinois at Chicago, Mt Sinai School of Medicine in New York, NY, Baylor College of Medicine in Houston, TX, and the Instituto di Ricoveroe Cura a Carattere Scientifico (IRCCS) Policlinico S, in Matteo, Italy. Frozen plasma and low-density mononuclear cells (MNCs) were provided by Dr Giovanni Barosi of the IRCCS Policlinico S, while Dr Josef Prchal at Baylor College of Medicine and Dr Steven Fruchtman at Mount Sinai School of Medicine provided fresh PB samples, which were subsequently processed in Chicago. All PB samples were obtained from (1) healthy volunteers during steady-state hematopoiesis; (2) healthy donors mobilized with G-CSF (administered at a dose of 5 μg/kg/d subcutaneously; Amgen); (3) patients with IM or polycythemia vera (PV), who met the World Health Organization (WHO) diagnostic criteria for IM and PV.1-4,30 None of the patients was receiving cytotoxic agents at the time of the study and none had evidence of transformation to acute leukemia. The absolute number of PB CD34+ cells in patients with IM was determined by the method of Barosi et al.5
Purification of human PB CD34+ cells and preparation of cell-conditioned media
PB samples were collected in tubes containing sodium heparin at the University of Illinois, Mt Sinai School of Medicine, or Baylor College of Medicine. The tubes were first centrifuged at 1800 RPM (740 g) at room temperature for 30 minutes, and the platelet-free plasma was removed, divided into aliquots into 1-mL vials, and immediately frozen at - 80°C. The volume of plasma removed from each tube was then replaced with sterile Dulbecco phosphate-buffered saline (PBS; Cambrex, Walkersville, MD), and the tubes were mixed by inversion. The cells were then removed and layered onto Ficoll-Hypaque (1.077 g/mL; Amersham Biosciences, Piscataway, NJ), and the MNCs were separated after centrifugation. Unless they were used immediately, cells were frozen in 50% Iscoves modified Dulbecco medium (IMDM; Cambrex), 40% fetal calf serum (Hyclone, Logan, UT), and 10% dimethyl sulfoxide (DMSO; Sigma-Aldrich, St Louis, MO) and stored in liquid nitrogen. The samples obtained from Italy were first collected, processed and frozen in a similar fashion, and then shipped on dry ice to Chicago.
Frozen MNCs were thawed by adding warm IMDM drop wise to the tubes containing the cells. The cells were allowed to equilibrate for 30 minutes at room temperature and then washed 3 times with IMDM containing 10% fetal calf serum (FCS). A CD34+ cell population was isolated from the thawed MNCs by using a CD34+ Isolation Kit (Miltenyi Biotec, Auburn, CA) according to the manufacturer's instructions. The purity of the CD34+ cell population was analyzed by using a FACSCaliber Flow Cytometer (Becton Dickinson, Mountain View, CA). Only cell fractions showing a CD34+ cell purity of at least 85% were used for subsequent experiments.
IM MNC-conditioned medium was prepared by suspending cells washed in serum-free IMDM at a concentration of 1 × 106 cells/mL for 24 hours at 37°C and 5% CO2. After centrifugation at 400g for 10 minutes, the cell-conditioned media (supernatants) were then collected and stored at 80°C until further study. The conditioned media were analyzed for levels of soluble VCAM-1 (sVCAM-1), total MMP-2, total MMP-9, active MMP-9, IL-8, and NE, as well as their ability to cleave c-kit and VCAM-1, to degrade gelatin, or both.
Matrigel assay
The in vitro cell migration of IM CD34+ cells through an artificial basement membrane was studied using a modified Matrigel-based assay system.17 Briefly, 6.5-mm polycarbonate filters of 8-μm pore size (Corning, Corning, NY) were coated with 20 μg Matrigel (Collaborative Biomedical Products, Bedford, MA). The lower compartments of the modified (blind well) Boyden chambers were filled with IMDM supplemented with 0.1% bovine serum albumin (BSA) in the presence of 100 ng/mL SDF-1, and the Matrigel-coated filters were placed between the upper and lower compartments. Freshly isolated PB CD34+ cells were suspended in 0.1 mL IMDM/0.1% BSA at a concentration of 2.0 × 106 cells/mL, placed in the upper compartments, and incubated for 5 hours at 37°C in 5% CO2. Cells that had migrated through the Matrigel-coated filters were recovered from the lower compartments and counted by using a hemocytometer. The percentage of cell migration was calculated from the ratio of the number of cells recovered from the lower compartment to the total number of cells loaded in the upper compartment. Each experiment was performed in triplicate and repeated at least twice. To examine the role of MMPs in the migration of CD34+ cells through Matrigel, 2 inhibitors of MMPs, MMP-9/MMP-13 Inhibitor I (Calbiochem, La Jolla, CA)31 and o-phenanthroline (Sigma, St Louis, MO),14 as well as interferon-α (R&D Systems), which down-regulates the transcription of MMP-9,32 were used. For these experiments, cells were preincubated overnight with 10 nmol/L MMP-9/MMP-13 Inhibitor I or 10 nmol/L o-phenanthroline, or with 100 ng/mL interferon-α before being loaded into the upper compartments of the Boyden chambers. The optimal concentrations of the inhibitors used were similar to those previously reported.17 Overnight incubation of the CD34+ cells in the presence of o-phenanthroline, interferon-α, and MMP-9/MMP-13 Inhibitor I at 37°C, 5% CO2 had a negligible effect on cell viability, as determined by trypan blue staining.
ELISAs for soluble VCAM-1, MMP-2, total and active MMP-9, IL-8, and NE
Frozen samples of both plasma and conditioned media were thawed overnight at 4°C and then analyzed using either commercially available enzyme-linked immunosorbent assays (ELISAs) (IL-8 and sVCAM-1; R&D Systems; MMP-2 and total MMP-9, Oncogene Research, Boston, MA; NE, Cell Sciences, Norwood, MA) or a fluorometric assay (endogenous active MMP-9, R&D Systems). The total MMP ELISAs detected the total levels (inactive and active forms) of the gelatinases. The concentration of endogenous active MMP-9 was measured by using a fluorometric assay in which total MMP-9 is first immunoabsorbed to plastic wells coated with an anti–MMP-9 monoclonal antibody, and the concentration of active MMP-9 is measured with a fluorogenic substrate cleaved by proteolytically active MMP-9. Sensitivity of these assays as provided by the manufacturers is as follows: MMP-2, 0.1 ng/mL; total MMP-9, 0.1 ng/mL; active MMP-9, 0.005 ng/mL; NE, 0.4 ng/mL; sVCAM, 2 ng/mL; and IL-8, 1.5 pg/mL. All plasma samples were diluted 10- to 40-fold and conditioned media 5- to 20-fold in dilution buffers provided by the manufacturers and analyzed according to manufacturer's protocol.
Proteolytic digestion of rhuVCAM-1 (CD106), rhu c-KIT (CD117), and fragment analysis
The rhu c-kit or rhuVCAM-1 was diluted to a concentration of 10 μg/mL in PBS. Aliquots (10 μL) were mixed with an equal volume of conditioned media or PBS containing 2 μg/mL human NE, 2 μg/mL activated rhuMMP-9, or no enzyme and incubated at 37°C for 6 hours for studies of the cleavage of rhu c-kit18 or for 15 minutes for studies of the cleavage of rhuVCAM-1.13 The reactions were then stopped by adding an equal volume of 125 mM Tris (tris(hydroxymethyl)aminomethane)–HCl, pH 6.8, 20% glycerol, and 4% sodium dodecyl sulfate and boiling for 10 minutes. Samples were subsequently separated by electrophoresis on 10% polyacrylamide gels, transferred onto a polyvinylidene diflouride (PVDF) membrane, and immunoblotted with goat anti–human c-kit antibody or goat anti–human VCAM-1 serum each at a 1:5000 dilution and a horseradish peroxidase (HRP)–conjugated donkey F(ab)′2 fragment anti–goat immunoglobulin G (IgG; Jackson Immunoresearch Laboratories, West Grove, PA) at a 1:20 000 dilution. Blots were revealed by an enhanced chemiluminescence (ECL) plus Western Blotting Detection System (Amersham Biosciences) using the Chemi Doc photography system (BioRad Laboratories, Hercules, CA).
Gelatin zymography
Gelatinolytic activities of various MNC-conditioned media were assessed under nonreducing conditions by using a modified sodium dodecyl sulfate (SDS)–polyacrylamide gel electrophoresis.17 MNC-conditioned media (15 μL) was mixed with 5 μL loading buffer (0.16 M Tris-HCl, 50% glycerol, 8% SDS, and 0.08% bromophenol blue) and loaded onto a 10% polyacrylamide gel copolymerized with 2 mg/mL gelatin (Sigma). Electrophoresis was performed by using a mini-PROTEAN III electrophoresis system (Bio-Rad Laboratories) under constant voltage (120 V) for 4 to 6 hours at 4°C. The gels were washed 3 times for 20 minutes each with 2.5% Triton X-100 (Sigma) to remove the SDS and to allow the electrophoresed enzymes to renature before being incubated in zymography buffer (0.15 M NaCl, 5 mM CaCl2, 0.05% NaN3, 50 mM Tris-HCl, pH 7.5) for 24 to 48 hours at room temperature. To determine whether zones of lysis detected by zymography were produced by MMPs, parallel gels were incubated in the presence of 1.0 mM o-phenanthroline, a synthetic inhibitor of MMPs. The gels were then stained with 0.05% Coomassie brilliant blue G-250 (Sigma) in 2.5:1:7 ethanol-acetic acid-water and destained with 2:1:7 isopropanolacetic acid-water. Blue prestained protein standards (10-250 kDa; Bio-Rad) were used to determine the molecular weights of the gelatinases. Gels were photographed using the Chemi Doc photography system. The intensity of the bands in zymography was quantified by using Scion Image for Windows software (Scion, Frederick, MD).
Statistical analysis
The results are expressed as the mean ± the standard deviation (SD) of data obtained from varying numbers of separate experiments. Differences between percentages were calculated by using the Wilcoxon test, whereas differences between other groups were compared by using either a Student t test or analysis of variance. Statistical significance was assumed for P less than .05. Correlations between the absolute number of IM PB CD34+ cells and the plasma levels of NE, total MMP-9, active MMP-9, sVCAM-1, and total MMP-2 were performed by linear regression analysis using the least-squares method.33
Results
Protease levels in the plasma of patients with IM
To determine whether IM is characterized by a proteolytic environment, the plasma levels of total MMP-2, total and active MMP-9, and NE were quantitated. As can be seen in Figure 1, IM plasma contains a remarkable increase in NE levels as compared with the plasma of healthy control subjects. The NE levels in the plasma of patients with IM were not, however, significantly greater than the levels in the plasma of patients with PV. In addition, levels of total MMP-9 (Figure 2A) but not total MMP-2 (Figure 2B) were increased in the plasma of patients with both IM and PV as compared with healthy control subjects. Plasma levels of total MMP-9 in IM were significantly greater than that observed in PV plasma. To determine whether increased levels of IL-8 could be responsible for the elaboration of plasma MMP-9, levels of IL-8 were measured by ELISA and shown not to be elevated (IM, 37.2 ± 45.3 pg/mL; normal, 20.9 ± 3.7 pg/mL; P > .05).
We next measured the levels of active MMP-9 in the plasma of healthy control subjects and patients with both IM and PV using a fluorometric assay. As can be seen in Figure 2C, the levels of active MMP-9 in the plasma of patients with both IM (P < .01) and PV (P < .01) were increased as compared with healthy control subjects. The plasma levels of active MMP-9 in patients with IM, however, were similar to that in PV plasma (P > .05).
IM plasma contains increased levels of sVCAM-1
In an attempt to determine whether VCAM-1 is cleaved in patients with IM, we measured the concentration of sVCAM-1 in the plasma of patients with both IM and PV and of healthy control subjects. As can be seen in Figure 3A, IM plasma contains statistically significantly higher levels of sVCAM-1 when compared with the plasma of both patients with PV (P < .05) and healthy control subjects (P < .01). The levels of sVCAM-1 in the plasma of patients with PV were also significantly higher than of healthy control subjects (P < .05). These observations are consistent with the possibility that VCAM-1 cleavage or shedding occurs in response to a BM microenvironmental stimulus in patients with IM.
NE levels in the plasma of patients with IM. The levels of NE in the plasma of healthy subjects (n = 19), patients with PV (n = 15), and patients with IM (n = 32) were assayed by ELISA. Each point represents the mean of the concentration of NE in each individual plasma sample assayed in duplicate. The bars represent the mean of each sample group. The levels of NE in the plasma of healthy control subjects were significantly less than that of both patients with IM (P < .001) and patients with PV (P < .01). There was no significant difference between the levels of NE in plasma from patients with IM and PV (P > .05).
NE levels in the plasma of patients with IM. The levels of NE in the plasma of healthy subjects (n = 19), patients with PV (n = 15), and patients with IM (n = 32) were assayed by ELISA. Each point represents the mean of the concentration of NE in each individual plasma sample assayed in duplicate. The bars represent the mean of each sample group. The levels of NE in the plasma of healthy control subjects were significantly less than that of both patients with IM (P < .001) and patients with PV (P < .01). There was no significant difference between the levels of NE in plasma from patients with IM and PV (P > .05).
MMP-9, MMP-2, and active MMP-9 levels in the plasma of patients with IM. (A) Levels of MMP-9 in the plasma of healthy subjects (n = 25) and patients with IM (n = 45) and PV (n = 20) were assayed by ELISA. Each point represents the mean of the concentration of MMP-9 in each individual plasma sample assayed in duplicate. The bar represents the mean of each sample group. The levels of MMP-9 in the plasma of both patients with IM (P < .001) and patients with PV (P < .001) were significantly greater than that of normal control plasma. There was no significant difference between the levels of MMP-9 in patients with IM and PV (P > .05). (B) Levels of MMP-2 in the plasma of healthy subjects (n = 9) and patients with IM (n = 11) were assayed by ELISA. Each point represents the mean of the concentration of MMP-2 in each individual plasma sample assayed in duplicate. The bar represents the mean of each sample group. There was no significant difference between the levels of MMP-2 in the plasma of healthy subjects and patients with IM (P > .05). (C) Levels of endogenous active MMP-9 in the plasma of healthy subjects (n = 17) and patients with IM (n = 28) and PV (n = 10) were assayed by ELISA. Each point represents the mean concentration of endogenous active MMP-9 in each individual plasma sample assayed in duplicate. The bar represents the mean of each sample group. The levels of endogenous active MMP-9 in the plasma of both patients with IM (P < .01) and patients with PV (P < .01) were significantly greater than that of normal control plasma. There was no significant difference between the levels of endogenous active MMP-9 in patients with IM and PV (P > .05).
MMP-9, MMP-2, and active MMP-9 levels in the plasma of patients with IM. (A) Levels of MMP-9 in the plasma of healthy subjects (n = 25) and patients with IM (n = 45) and PV (n = 20) were assayed by ELISA. Each point represents the mean of the concentration of MMP-9 in each individual plasma sample assayed in duplicate. The bar represents the mean of each sample group. The levels of MMP-9 in the plasma of both patients with IM (P < .001) and patients with PV (P < .001) were significantly greater than that of normal control plasma. There was no significant difference between the levels of MMP-9 in patients with IM and PV (P > .05). (B) Levels of MMP-2 in the plasma of healthy subjects (n = 9) and patients with IM (n = 11) were assayed by ELISA. Each point represents the mean of the concentration of MMP-2 in each individual plasma sample assayed in duplicate. The bar represents the mean of each sample group. There was no significant difference between the levels of MMP-2 in the plasma of healthy subjects and patients with IM (P > .05). (C) Levels of endogenous active MMP-9 in the plasma of healthy subjects (n = 17) and patients with IM (n = 28) and PV (n = 10) were assayed by ELISA. Each point represents the mean concentration of endogenous active MMP-9 in each individual plasma sample assayed in duplicate. The bar represents the mean of each sample group. The levels of endogenous active MMP-9 in the plasma of both patients with IM (P < .01) and patients with PV (P < .01) were significantly greater than that of normal control plasma. There was no significant difference between the levels of endogenous active MMP-9 in patients with IM and PV (P > .05).
We then addressed whether the degree of constitutive mobilization of CD34+ cells was significantly correlated with the degree of plasma level of sVCAM-1 in patients with IM. As can be seen in Figure 3B, plasma levels of sVCAM-1 correlated positively with the absolute number of PB CD34+ cells in patients with IM (r = 0.76; P = .020). However, there were no significant correlations between plasma levels of NE, MMP-9, and active MMP-9 and the absolute number of PB CD34+ cells in patients with IM (data not shown).
IM PB MNCs produce increased levels of proteases
We next attempted to determine whether IM MNCs were one of the potential sources of the increased protease activity detected in the plasma of patients with IM. As shown in Figure 4A, the levels of NE were dramatically increased in the media conditioned by MNCs derived from patients with IM and patients with PV, as compared with healthy control subjects. There was, however, no significant difference between the levels of NE in media conditioned by either IM or PV MNCs. By contrast, IM and PV MNC-conditioned media did not contain elevated levels of either total MMP-9 (Figure 4B) or total MMP-2 (data not shown). As determined by using a fluorometric assay, there was a modest increase in the mean level of active MMP-9 in IM MNC-conditioned media as compared with media conditioned by normal MNCs, which did not reach statistical significance (Figure 4C).
Proteases capable of cleaving VCAM-1 are produced in media conditioned by IM MNCs
Various individual MNC-conditioned media were incubated with purified rhuVCAM-1 and then analyzed by Western blot using a polyclonal goat antiserum against the extracellular domain of human VCAM-1. Purified NE, but not MMP-9, cleaved rhuVCAM-1 into smaller fragments (Figure 5A). IM MNC-conditioned media displayed a greater ability than normal MNC-conditioned media to cleave VCAM-1 (Figure 5A). These data suggest that active proteases capable of cleaving VCAM-1 are generated by IM MNCs and that this activity might play an important role in HSC/HPC mobilization.
Proteases capable of cleaving c-kit are produced in media conditioned by IM MNCs
The cleavage of c-kit resulting in reduction of c-kit expression by HSCs and HPCs has also been implicated in HSC/HPC mobilization.18 BM fluid from G-CSF–mobilized mice has been reported to be capable of cleaving c-kit.18 To demonstrate whether a similar protease activity was produced by IM MNC-conditioned media, MNC-conditioned media were incubated with a purified extracellular domain of rhuc-kit and then analyzed by Western blot by using a polyclonal goat antiserum against the extracellular domain of human c-kit. As shown in Figure 5B, both recombinant NE and MMP-9 were capable of cleaving c-kit. In addition, media conditioned by IM MNCs exhibited greater proteolytic activity against c-kit than media conditioned by normal MNCs (Figure 5B).
Plasma levels of sVCAM-1 and their correlation with total absolute numbers of CD34+ cells in the PB of patients with IM. (A) The levels of sVCAM-1 in the plasma of healthy subjects (n = 10) and patients with PV (n = 8) or IM (n = 19) were assayed by ELISA. Each point represents the mean concentration of sVCAM-1 in each individual plasma sample assayed in duplicate. The bar represents the mean of each sample group. The levels of sVCAM-1 in the plasma of both patients with PV (P < .05) and patients with IM (P < .01) were significantly greater than that of normal control plasma. In addition, the levels of sVCAM-1 in the plasma of patients with IM were significantly greater than that from patients with PV (P < .05). (B) Correlation between total absolute numbers of PB CD34+ cells and plasma levels of sVCAM-1 in patients with IM. The absolute numbers of CD34+ cells in the PB were correlated with the levels of sVCAM-1 in the plasma of patients with IM (n = 12), using the least-squares method.
Plasma levels of sVCAM-1 and their correlation with total absolute numbers of CD34+ cells in the PB of patients with IM. (A) The levels of sVCAM-1 in the plasma of healthy subjects (n = 10) and patients with PV (n = 8) or IM (n = 19) were assayed by ELISA. Each point represents the mean concentration of sVCAM-1 in each individual plasma sample assayed in duplicate. The bar represents the mean of each sample group. The levels of sVCAM-1 in the plasma of both patients with PV (P < .05) and patients with IM (P < .01) were significantly greater than that of normal control plasma. In addition, the levels of sVCAM-1 in the plasma of patients with IM were significantly greater than that from patients with PV (P < .05). (B) Correlation between total absolute numbers of PB CD34+ cells and plasma levels of sVCAM-1 in patients with IM. The absolute numbers of CD34+ cells in the PB were correlated with the levels of sVCAM-1 in the plasma of patients with IM (n = 12), using the least-squares method.
NE, MMP-9, and active MMP-9 levels in the MNC-conditioned media. (A) Levels of NE in media conditioned by MNCs isolated from the PB of healthy subjects (n = 13), patients with PV (n = 14), or patients with IM (n = 17) were assayed by ELISA. Each point represents the mean concentration of NE in media conditioned by the MNCs from individual patients with IM and PV as well as healthy control subjects assayed in duplicate. The bar represents the mean of each sample group. The levels of NE in the MNC-conditioned media from both patients with PV (P < .05) and patients with IM (P < .001) were significantly greater than that of healthy control subjects. There was no significant difference between the levels of NE in media conditioned by MNCs from patients with IM and PV (P > .05). (B) Levels of MMP-9 in media conditioned by MNCs isolated from normal PB (n = 15), PV PB (n = 14), and IM PB (n = 21). Each point represents the mean concentration of MMP-9 in media conditioned by the MNCs from individual patients with IM and PV as well as healthy control subjects assayed in duplicate. The bar represents the mean of each sample group. The levels of MMP-9 in the MNC-conditioned media from healthy control subjects were not significantly different than that in conditioned media prepared with MNCs from both patients with PV and patients with IM (P > .05). (C) Levels of endogenous active MMP-9 in media conditioned by MNCs isolated from normal PB (n = 10), PV PB (n = 9), and IM PB (n = 12). Each point represents the mean concentration of endogenous active MMP-9 in media conditioned by the MNCs from individual patients with IM and PV as well as healthy control subjects assayed in duplicate. The bar represents the mean of each sample group. The levels of endogenous active MMP-9 in the MNC-conditioned media from healthy control subjects were not significantly different from that in conditioned media prepared with MNCs from both patients with PV and patients with IM (P > .05).
NE, MMP-9, and active MMP-9 levels in the MNC-conditioned media. (A) Levels of NE in media conditioned by MNCs isolated from the PB of healthy subjects (n = 13), patients with PV (n = 14), or patients with IM (n = 17) were assayed by ELISA. Each point represents the mean concentration of NE in media conditioned by the MNCs from individual patients with IM and PV as well as healthy control subjects assayed in duplicate. The bar represents the mean of each sample group. The levels of NE in the MNC-conditioned media from both patients with PV (P < .05) and patients with IM (P < .001) were significantly greater than that of healthy control subjects. There was no significant difference between the levels of NE in media conditioned by MNCs from patients with IM and PV (P > .05). (B) Levels of MMP-9 in media conditioned by MNCs isolated from normal PB (n = 15), PV PB (n = 14), and IM PB (n = 21). Each point represents the mean concentration of MMP-9 in media conditioned by the MNCs from individual patients with IM and PV as well as healthy control subjects assayed in duplicate. The bar represents the mean of each sample group. The levels of MMP-9 in the MNC-conditioned media from healthy control subjects were not significantly different than that in conditioned media prepared with MNCs from both patients with PV and patients with IM (P > .05). (C) Levels of endogenous active MMP-9 in media conditioned by MNCs isolated from normal PB (n = 10), PV PB (n = 9), and IM PB (n = 12). Each point represents the mean concentration of endogenous active MMP-9 in media conditioned by the MNCs from individual patients with IM and PV as well as healthy control subjects assayed in duplicate. The bar represents the mean of each sample group. The levels of endogenous active MMP-9 in the MNC-conditioned media from healthy control subjects were not significantly different from that in conditioned media prepared with MNCs from both patients with PV and patients with IM (P > .05).
IM MNC-conditioned media contain gelatinolytic activities
A comparison of the gelatinolytic activities in media conditioned by MNCs isolated from healthy control subjects, as well as patients with PV and IM, is shown in Figure 6. Gelatinolytic activities were clearly demonstrated by purified MMP-9 but not NE (Figure 6A). While nonmobilized PB MNC-conditioned media exhibited a modest degree of gelatinolytic activity, media conditioned by 8 of 11 patients with IM and 1 of 8 patients with PV exhibited a far greater degree of activity (Figure 6A). Figure 6B shows that bands corresponding to a 92-kDa activity found in media conditioned by IM MNCs were not detected in those experiments in which the inhibitor o-phenanthroline was added, indicating that this band of lysis was produced by MMP-9. Although the total MMP-9 levels as assessed by ELISA (Figure 4B) were not significantly increased in IM MNC-conditioned media, MMP-9 levels, as assessed by densitometric analysis of gelatinolytic activities, were increased by 3- to 12-fold in 8 of the 11 media conditioned by IM MNCs (Figure 6C).
Migration of IM CD34+ cells through Matrigel and the effects of MMP inhibitors
To explore whether the production of MMPs by CD34+ cells might contribute to HSC/HPC mobilization in patients with IM by facilitating their migration across basal lamina, we next monitored the transmigration of these cells across a reconstituted basement membrane (Matrigel). CD34+ cells from patients with IM showed a significantly higher percentage of migration in an in vitro Matrigel-based Transwell assay than did PB CD34+ cells isolated from either healthy volunteers or G-CSF–mobilized healthy donors (Figure 7A). These findings are surprising since the expression by IM CD34+ cells of CXCR4, the receptor for SDF-1, the chemoattractant used in these experiments, was significantly reduced as compared with normal PB CD34+ cells (11.3% ± 6.7%, n = 8, versus 23.8% ± 6.4%, n = 5, respectively; P < .05).
We next determined whether the functional activity of the MMP expressed or secreted by IM CD34+ cells could be pharmacologically altered by inhibitors of MMP activity. Preincubation with the synthetic inhibitor o-phenanthroline, a global MMP inhibitor, was found to reduce the ability of IM CD34+ cells to cross the Matrigel-coated barrier by approximately 70% (Figure 7B). Preincubation with MMP-9/MMP-13 Inhibitor I, a specific nonzinc chelating inhibitor of MMP-9 and MMP-13, reduced the migration of IM CD34+ cells across the Matrigel by 50% (Figure 7B). Furthermore, preincubation with interferon-α, which is occasionally used in the treatment of IM and is known to down-regulate MMP transcription,32 also reduced the migration of IM CD34+ cells across the Matrigel-coated membrane by 50% (Figure 7B). The preincubation of IM CD34+ cells with o-phenanthroline and interferon-α together did not significantly reduce the migration of these cells across the reconstituted basement membrane to a greater extent than that observed with o-phenanthroline alone (Figure 7B). These findings suggest that either cell-bound MMPs or MMPs secreted by IM CD34+ cells may also play a role in the mobilization of these HSCs and HPCs into the PB.
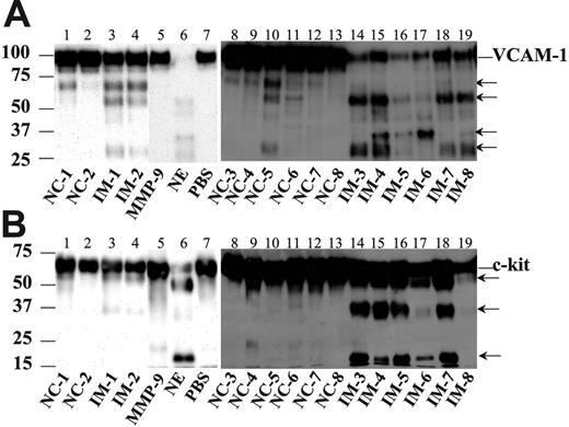
Media conditioned by IM MNCs have a greater ability to cleave VCAM-1 and c-kit. (A) MNCs were incubated in serum-free IMDM at 37°C and 5% CO2 for 24 hours. Recombinant rhuVCAM-1 was incubated for 15 minutes at 37°C in the presence of medium conditioned by PB mononuclear cells from either healthy volunteers (n = 8) or patients with IM (n = 8) or in the presence of purified human NE, MMP-9, or PBS. Following preincubation, samples were analyzed by Western blot with a goat anti–human VCAM-1 antibody. The arrows represent the fragments of the extracellular domain of VCAM-1. (B) Purified extracellular domains of rhuc-kit was incubated at 37°C for 6 hours in the presence of medium conditioned by PB mononuclear cells from either healthy volunteers (n = 8) or patients with IM (n = 8) or in the presence of purified human NE, MMP-9, or PBS. Following preincubation, samples were analyzed by Western blot with a goat anti–human c-kit antibody. The arrows represent the fragments of the extracellular domain of c-kit.
Media conditioned by IM MNCs have a greater ability to cleave VCAM-1 and c-kit. (A) MNCs were incubated in serum-free IMDM at 37°C and 5% CO2 for 24 hours. Recombinant rhuVCAM-1 was incubated for 15 minutes at 37°C in the presence of medium conditioned by PB mononuclear cells from either healthy volunteers (n = 8) or patients with IM (n = 8) or in the presence of purified human NE, MMP-9, or PBS. Following preincubation, samples were analyzed by Western blot with a goat anti–human VCAM-1 antibody. The arrows represent the fragments of the extracellular domain of VCAM-1. (B) Purified extracellular domains of rhuc-kit was incubated at 37°C for 6 hours in the presence of medium conditioned by PB mononuclear cells from either healthy volunteers (n = 8) or patients with IM (n = 8) or in the presence of purified human NE, MMP-9, or PBS. Following preincubation, samples were analyzed by Western blot with a goat anti–human c-kit antibody. The arrows represent the fragments of the extracellular domain of c-kit.
IM MNC-conditioned media contain elevated gelatinolytic activity, which is inhibited by an MMP inhibitor. (A) The gelatinolytic activities of media conditioned by PB MNCs from healthy volunteers (n = 6), patients with PV (n = 8), and patients with IM (n = 11); purified human NE; MMP-9; or PBS were analyzed by zymography. MNCs were incubated in serum-free IMDM at 37°C and 5% CO2 for 48 hours, and the cell-conditioned media or purified proteases were electrophoresed in 10% acrylamide containing 2 mg/mL gelatin in a cold room. Following electrophoreses, the gels were washed with 2.5% Triton X-100, renatured for 36 to 48 hours at 37°C, and stained with Coomassie blue. (B) Effect of the MMP inhibitor, o-phenanthroline, on the gelatinase activity of the media conditioned by the MNCs isolated from healthy volunteers (n = 6), patients with PV (n = 8), and patients with IM (n = 11); purified human NE; MMP-9. The parallel gels were incubated in the presence of 1.0 mM o-phenanthroline after electrophoresis. (C) Densitometric analysis of gelatinolytic activities (MMP-9). The intensities of the bands in the conditioned media by IM and PV were quantitated relative to the normal control and expressed as fold increase.
IM MNC-conditioned media contain elevated gelatinolytic activity, which is inhibited by an MMP inhibitor. (A) The gelatinolytic activities of media conditioned by PB MNCs from healthy volunteers (n = 6), patients with PV (n = 8), and patients with IM (n = 11); purified human NE; MMP-9; or PBS were analyzed by zymography. MNCs were incubated in serum-free IMDM at 37°C and 5% CO2 for 48 hours, and the cell-conditioned media or purified proteases were electrophoresed in 10% acrylamide containing 2 mg/mL gelatin in a cold room. Following electrophoreses, the gels were washed with 2.5% Triton X-100, renatured for 36 to 48 hours at 37°C, and stained with Coomassie blue. (B) Effect of the MMP inhibitor, o-phenanthroline, on the gelatinase activity of the media conditioned by the MNCs isolated from healthy volunteers (n = 6), patients with PV (n = 8), and patients with IM (n = 11); purified human NE; MMP-9. The parallel gels were incubated in the presence of 1.0 mM o-phenanthroline after electrophoresis. (C) Densitometric analysis of gelatinolytic activities (MMP-9). The intensities of the bands in the conditioned media by IM and PV were quantitated relative to the normal control and expressed as fold increase.
Discussion
A number of conditions, including the administration of cytokines, chemokines, or chemotherapy; acute myeloid leukemia; and myelodysplastic disorders, have been associated with CD34+ cell mobilization.6-8,28,34,35 IM is, however, associated with a greater degree of CD34+ cell mobilization. Cytokine-, chemokine-, or chemotherapy-induced CD34+ cell mobilization is, however, transient, usually occurring for a limited period of time after the administration of a mobilizing agent.6-8,14,28 By contrast, the pattern of mobilization of CD34+ cells in IM is quite different, since it is sustained and occurs in the absence of an external stimulus.1,3,5,36
A number of investigators have provided evidence that G-CSF–induced mobilization might be the consequence of the creation of a proteolytic environment within the BM, which might disrupt adhesive interactions between CD34+ HSCs and HPCs and components of the BM microenvironment (VCAM-1, SDF-1, or SCF).6-8,16-18,21-23 Neutrophils activated following G-CSF treatment release the contents of cytoplasmic granules, leading to the activation of such proteases as MMP, cathepsin G, and elastase.6,9,13,15-18,28 Recently, Levesque et al29 have suggested that protease-dependent degradation of VCAM-1 and SDF-1 within the BM likely does not fully account for the mechanisms of underlying HSC/HPC mobilization. Using protease-deficient mice those investigators showed that both protease-dependent and -independent pathways likely contribute to the ability of G-CSF to promote HSC/HPC mobilization.29
The aberrant cellular trafficking in IM has been previously attributed to the disruption of the BM microenvironment, which occurs as a result of reactive BM fibrosis and osteosclerosis.37 This explanation seems unlikely, however, since allogenic stem cell transplantation of peripheral blood grafts for patients with IM is not characterized by delayed engraftment or a high rate of graft failure.38-41 Surprisingly, the rate of graft failure has been reported to be higher following autologous stem cell transplantation than allogenic stem cell transplantation,38-41 suggesting that HSC/HPC homing and engraftment are not adversely affected by the BM microenvironment in IM. These clinical transplantation data indicate that the abnormal cellular trafficking in IM might rather be a consequence of the malignant hematopoietic cells. In this report, we have attempted to determine whether the creation of a proteolytic environment in IM might contribute to HSC/HPC mobilization.
Migration of IM CD34+ cells through Matrigel and the effects of MMP inhibitors. (A) The migration of normal (n = 5), G-CSF mobilized healthy volunteer (n = 3), and IM PB CD34+ (n = 8) cells through a preformed basement membrane (Matrigel) and (B) the effects of incubation of 3 inhibitors of MMP activity on CD34+ cell migration. Polycarbonate filters (6.5 mm) of 8-μm pore size were precoated with 20 μg Matrigel. The lower compartments of the modified Boyden chambers were filled with IMDM supplemented with 0.1% BSA in the presence of 100 ng/mL SDF-1, and the Matrigel-coated filters were placed between the upper and lower compartments. Freshly isolated PB CD34+ cells were suspended in 0.1 mL IMDM/0.1% BSA at a concentration of 2.0 × 106 cells/mL, placed in the upper compartments, and incubated for 4 hours at 37°C in 5% CO2. Cells that had migrated through the Matrigel-coated filters were recovered from the lower compartments and counted by using a hemocytometer. The percentage of cell migration was calculated from the ratio of the number of cells recovered from the lower compartment to the total number of cells loaded in the upper compartment. Each experiment was performed in triplicate using PB CD34+ cells from between 3 and 5 patients with IM. For these experiments, cells were preincubated overnight with 10 nmol/L o-phenanthroline, 10 nmol/L MMP-9/MMP-13 Inhibitor I, or 100 ng/mL interferon-α (IFN-α) before being loaded into the upper compartments of the Boyden chambers. Values are shown as the mean ± SD.
Migration of IM CD34+ cells through Matrigel and the effects of MMP inhibitors. (A) The migration of normal (n = 5), G-CSF mobilized healthy volunteer (n = 3), and IM PB CD34+ (n = 8) cells through a preformed basement membrane (Matrigel) and (B) the effects of incubation of 3 inhibitors of MMP activity on CD34+ cell migration. Polycarbonate filters (6.5 mm) of 8-μm pore size were precoated with 20 μg Matrigel. The lower compartments of the modified Boyden chambers were filled with IMDM supplemented with 0.1% BSA in the presence of 100 ng/mL SDF-1, and the Matrigel-coated filters were placed between the upper and lower compartments. Freshly isolated PB CD34+ cells were suspended in 0.1 mL IMDM/0.1% BSA at a concentration of 2.0 × 106 cells/mL, placed in the upper compartments, and incubated for 4 hours at 37°C in 5% CO2. Cells that had migrated through the Matrigel-coated filters were recovered from the lower compartments and counted by using a hemocytometer. The percentage of cell migration was calculated from the ratio of the number of cells recovered from the lower compartment to the total number of cells loaded in the upper compartment. Each experiment was performed in triplicate using PB CD34+ cells from between 3 and 5 patients with IM. For these experiments, cells were preincubated overnight with 10 nmol/L o-phenanthroline, 10 nmol/L MMP-9/MMP-13 Inhibitor I, or 100 ng/mL interferon-α (IFN-α) before being loaded into the upper compartments of the Boyden chambers. Values are shown as the mean ± SD.
Increased emperipolesis of neutrophils within megakaryocytes is characteristic of IM and, therefore, might play a role in the disease process.42 Such neutrophil-megkaryocyte interactions in IM could contribute to the release of fibrogenic growth factors as well as a variety of proteases, which potentially could play a role in the biogenesis of BM fibrosis, osteosclerosis, and CD34+ cell mobilization.
In patients with IM, the plasma levels of total and active MMP-9, NE, but not total MMP-2 were elevated. These elevations were, however, shown not to be specific for IM since the levels of these proteases were also elevated in patients with PV. VCAM-1 has been shown, in mice, to be cleaved by neutrophil proteases in the BM following HSC/HPC mobilization by G-CSF.13,15 To determine whether VCAM-1 was also cleaved during mobilization in humans, several groups measured sVCAM-1 in the serum of patients mobilized with G-CSF and demonstrated that serum concentrates of sVCAM-1 were significantly increased.43,44 These findings were thought to be consistent with VCAM-1 being cleaved or shed in response to a mobilization agent in humans. In the plasma of patients with IM, we were able to demonstrate significantly higher levels of sVCAM-1 than that in the plasma of either patients with patients or healthy control subjects. In addition, the high levels of sVCAM-1 were significantly correlated with the absolute number of PB CD34+ cells. These data suggest that the elevated functional NE activity is characteristic of patients with IM and may play a role in the abnormal CD34+ cell mobilization that characterizes IM, as compared with PV.
A major pitfall in dissecting the mechanisms underlying abnormal CD34+ cell trafficking in IM is the inability to access BM cells from these patients because of their BM characteristically being inaspiratable. We have attempted to bypass these obstacles by studying the behavior of PB MNCs and CD34+ cells with the underlying hypothesis that their behavior might reflect, albeit imperfectly, that of IM BM cells. MNC-conditioned media contained elevated levels of biologically active NE as demonstrated by the ability of this conditioned media to cleave both VCAM-1 and the extracellular domains of c-kit. The phenotype and function of IM PB CD34+ cells have been recently characterized by our laboratory.45 A greater percentage of IM CD34+ cells express c-kit than does normal PB.45 Since the BM in IM is not aspiratable, we were unable to compare BM c-kit expression by CD34+ cells with that of PB. A global reduction of c-kit expression by CD34+ cells has, however, been reported following chemotherapy and cytokine mobilization.46 The SCF and c-kit relationship likely provides not only a stimulus of cellular proliferation but also a crucial determinant of stromal cell–stem cell interactions.47 The role of disruption of the c-kit/SCF interaction in the mobilization of CD34+ cells in IM is suggested by the cleavage of c-kit by IM MNC-conditioned media. This proteolytic activity could be attributed to the increased levels of NE present in IM-conditioned media. However, the increased expression of c-kit by IM CD34+ cells indicates that the SCF/c-kit interaction may likely not be critically involved in the process of mobilization in IM.
Surprisingly, the levels of both total and active MMP-9 in IM MNC-conditioned media were not significantly elevated as compared with media conditioned with either healthy control or PV MNCs. However, the gelatinolytic activity present in the IM MNC-conditioned media was greater than that present within normal or PV MNC-conditioned media. In addition the inhibition of this geletinolytic activity by MMP inhibitors provides evidence that this activity could be attributed to MMPs.
Janowska-Wieczorek et al17 and others12,48 have shown that cytokine-mediated stem cell mobilization could in part be attributed to both the up-regulated expression of gelatinase by CD34+ cells and the increased transmigration of these cells through Matrigel. In this report, we demonstrated that IM CD34+ cells are more effective in transmigrating through a reconstituted basement membrane and that this aberrant migratory behavior could be inhibited by incubation with 2 MMP inhibitors, o-phenanthroline and MMP-9/MMP-13 Inhibitor I, and with interferon-α.14,31,32 These data suggest that the active up-regulation of MMP by IM CD34+ cells is an intrinsic property of IM, which might also play a role in their preferential mobilization into the PB.
These studies suggest that the milieu of patients with IM is characterized by a proteolytic environment that might contribute to CD34+ cell mobilization. The elevated levels of NE and MMP-9 (total and active) in the plasma of patients with IM suggest that these proteolytic activities are a product of a malignant clone. These studies do not, however, exclude the possibility that yet undefined nonproteolytic pathways might also play a role in the aberrant trafficking pattern of CD34+ cells in IM. Furthermore, the ability of protease inhibitors to correct the in vitro abnormalities reported here suggests that inhibitors of MMP-9 activity, NE activity, or both might be useful in altering the progression of disease in IM.49-51 The assays described in this report might, therefore, provide a means of screening for pharmacologic agents for the treatment of patients with IM.
Appendix
Members of the MPD Research Consortium: R. Hoffman, M. Xu, D. Rondelli, V. Lindgren, H. Ni, and C. Ferrans, University of Illinois at Chicago, IL; T. Barbui, A. Falanga, G. Finazzi, M. Introna, and A. Rambaldi, Ospedali Riuniti di Bergamo, Italy; G. Barosi, M. Marchetti, and E.P. Alessandrino, IRCCS Policlinico S Matteo, Pavia, Italy; S. Fruchtman, H. Gilbert, R. Weinberg, and J. Strauchen, Mt Sinai Hospital, New York, IL; C. Kessler, Georgetown University Medicine Center, Washington, DC; A.R. Migliaccio, M. Migliaccio, and R. Lorenzini, Instituto Superiore Sanita', Rome, Italy; H. Pahl, University Hospital, Freiburg, Germany; J.T. Prchal, U. Popat, K. Baker, M.P. Mimms, and D. Stockton, Baylor College of Medicine, Houston, TX; J. Prchal, McGill University, Montreal, Canada; R. Silver, New York Weill Medical College of Cornell University, New York, NY; J. Spivak, B.D. Smith, and D.R. Williams, Johns Hopkins University School of Medicine, Baltimore, MD; R. Marchioli and Gianni Tognoni, Ist. Di Ricerche Farmacologiche Mario, Negri, Italy; A.M. Vannucchi, University of Florence, Florence, Italy; H. Kantarjian and S. Versovsek, MD Anderson Cancer Center, Houston, TX; J. Goldberg, I. Belitskaya-Levy, J. Matthew, and Y. Shao, New York University School of Medicine, New York, NY.
Prepublished online as Blood First Edition Paper, February 10, 2005; DOI 10.1182/blood-2004-08-3238.
Supported by a grant from the Myeloproliferative Disorder Foundation.
A complete list of the members of the MPD Research Consortium appears in the Appendix.
The publication costs of this article were defrayed in part by page charge payment. Therefore, and solely to indicate this fact, this article is hereby marked “advertisement” in accordance with 18 U.S.C. section 1734.







This feature is available to Subscribers Only
Sign In or Create an Account Close Modal