Topics:
multiple myeloma
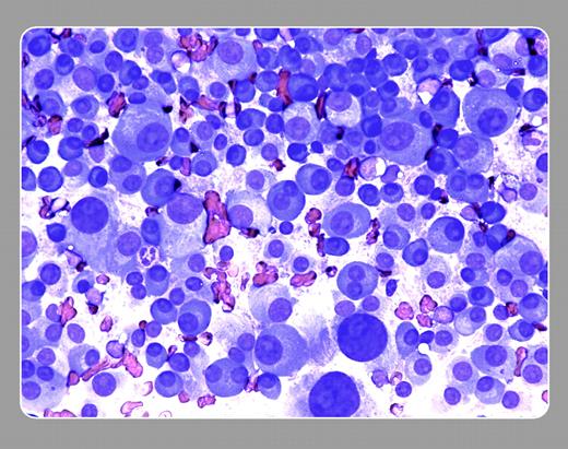
The bone marrow is replaced by malignant plasma cells. The population includes both immature and mature forms as well as multinucleated cells.FIG1
Many Blood Work images are provided by the ASH IMAGE BANK, a reference and teaching tool that is continually updated with new atlas images and images of case studies. For more information or to contribute to the Image Bank, visit www.ashimagebank.org.
Copyright © 2005 by The American Society of Hematology
2005

Peter Maslak, Memorial Sloan-Kettering Cancer Center
This feature is available to Subscribers Only
Sign In or Create an Account Close Modal