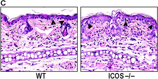
In the article by Hubbard et al entitled “Absence of inducible costimulator on alloreactive T cells reduces graft versus host disease and induces Th2 deviation,” which appeared in the November 1, 2005, issue of Blood (Volume 106:3285-3292), the last row of Figure 6D was mislabeled; it should have been labeled as “ICOS-/-.” Also, a low-resolution version of Figure 3C was published. The high-resolution version of Figure 3C is reprinted here.
Copyright © 2006 by The American Society of Hematology
2006

This feature is available to Subscribers Only
Sign In or Create an Account Close Modal