Abstract
To examine the role of fibrinogen γ-chain residue 387Ile in the assembly and secretion of this multichain protein, we synthesized a series of variants with substitution at γ387 by Arg, Leu, Met, Ala, or Asp. Only the variant γ387Asp showed impaired synthesis in the cells and very low secretion into the medium. In addition, we performed thrombin-catalyzed fibrin polymerization and factor (F) XIIIa-catalyzed cross-linking of the γ-chain for 4 variants. The degree of lateral aggregation of protofibrils into fibrin fibers was slightly reduced for γ387Arg and Ala, and moderately reduced for γ387Leu and Met. Although the FXIIIa-catalyzed cross-linking for all of the variants was slower than that for γ387Ile, that of γ387Arg was much more markedly impaired than that of the others. In summary, our studies demonstrated that the specific residue at γ387 or the conformation of γ388-411 residues, but not the length of the γC tail, is critical for fibrinogen assembly and subsequent secretion. Moreover, this residue or the conformation is also important for not only the lateral aggregation of fibrin polymers but also the FXIIIa-catalyzed cross-linking of the γ-chain. Interestingly, our results clearly indicate that the conformations critical for these 2 functions are different from each other.
Introduction
Fibrinogen is a 340-kDa plasma glycoprotein consisting of 2 copies of 3 polypeptide chains, Aα, Bβ, and γ, linked by an extensive network of 29 intrachain and interchain disulfide bonds.1,2 The 3 chains are synthesized, assembled into the 6-chain molecule, and secreted from hepatocytes into the plasma. Studies of fibrinogen expressed from the endogenous genes in human hepatocytes or from transfected cDNAs in BHK cells have shown that assembly occurs through specific intermediates, αγ complexes, βγ complexes, and αβγ half-molecules.3,4 Hypofibrinogenemia or afibrinogenemia, defined as reduced or immeasurable levels of fibrinogen in plasma, can be hereditary. In the past decade, genetic abnormalities in patients with these diseases have been found in all 3 genes and identified as missense, nonsense or frameshift mutations, splice-site abnormalities, or large deletions.
We reported hypofibrinogenemia Matsumoto IV, which is caused by the missense mutation γ153Cys→Arg.5 We found that assembly of this variant fibrinogen in Chinese hamster ovary (CHO) cells was defective and demonstrated that the subsequent secretion of the variant was impaired. Recently, we directly demonstrated using 2-dimensional gel electrophoresis that γ153Ala did not form αγ or βγ complexes.6 This finding suggested that the tertiary structure of the γ-chain C-terminal nodule in the so-called D portion is important for the formation of 2-chain complexes. Furthermore, we also synthesized a series of fibrinogen variants with truncated γ-chains terminating between residues γ379 and the C terminus, γ411.7 Only variants with γ-chains longer than 386 residues were secreted into the culture medium, and the synthesis of the variants with 386 residues or less was reduced about 20-fold, as indicated by the levels in CHO cell lysates. We concluded that residues near the C-terminus of the γ-chain are essential for fibrinogen assembly, and more specifically, the γ387 residue is critical.
Based on our studies of a series of fibrinogen variants with truncated γ-chains,7 we proposed that the loss of residue γ387 destabilized the structure of the γ-chain C-terminal nodule, preventing the assembly of αγ and βγ complexes, perhaps related to the fact that γ387Ile (I) lies within a β-strand composed of residues γ381-388, which is the middle of a 5-stranded antiparallel β-sheet that is inserted between γ189-197 and γ243-252. The residue corresponding to human γ387I is conserved widely among mammals, including bovine, rat, mouse, and chicken, but it is changed to Leu (L) in lamprey and Met (M) in frog. To examine the importance of the Ile residue at γ387 for the structure of the γ-chain C-terminal nodule, in the present study we synthesized 2 fibrinogen variants, γ387L and γ387M. Furthermore, we also synthesized 3 other variants, γ387Arg (R), which corresponds to the residue in the comparable position in human-Bβ (Bβ455), and γ387Ala (A) and γ387Asp (D), as 2 controls. Because all of the variants except for γ387D were secreted into the medium, we were able to examine the function of the variant fibrinogens for thrombin-catalyzed fibrin polymerization and factor (F) XIIIa-catalyzed cross-linking of fibrin. Our results demonstrated that the residue γ387 and the structure of the γ381-411 region in the C-terminus play essential roles for not only fibrinogen assembly in CHO cells but also lateral aggregation of fibrin polymers and FXIIIa-catalyzed cross-linking of the γ-chain.
Materials and methods
Construction of mutant expression vectors
The fibrinogen γ-chain expression vector, pMLP-γ,8 was altered by oligonucleotide-directed mutagenesis using the Transformer Site-Directed Mutagenesis kit (Clontech Laboratories, Palo Alto, CA) and 5 5′-phosphorylated mutagenesis primers (the altered bases are underlined): 5′-CTATGAAGATAAGGCCATTCAACAG for γ387Arg, 5′-CTATGAAGATACTCCCATTCAACAG for γ387Leu, 5′-CTATGAAGATAATGCCATTCAACAG for γ387Met, 5′-CTATGAAGATAGCCCCATTCAAC for γ387Ala, and 5′-CTATGAAGATAGACCCATTCAACAG for γ387Asp) and a 5′-phosphorylated selection primer (5′-TCTAGGGCCCAGGCTTGTTTGC), which had a deletion of a unique HindIII site in the vector. To confirm the insertion of each mutation, the complete γ-chain cDNAs of plasmids were sequenced using a BigDye Terminator Cycle Sequencing Ready Reaction Kit, and an ABI Prism 310 Genetic Analyzer (Applied Biosystems, Foster City, CA), with 2 forward and 2 reverse primers as described.9
Recombinant protein expression
CHO cell lines that express normal human fibrinogen Aα- and Bβ-chains, AαBβ-CHO cells, were obtained by cotransfecting the plasmids pMLP-Aα, pMLP-Bβ, and pRSVneo into CHO cells. The cells were cultured in Dulbecco modified Eagle medium Ham nutrient mixture F12 supplemented as described (DMEM-F12 medium). Each of the variant pMLP-γ vectors and the original pMLP-γ vector were cotransfected with the histidinol selection plasmid (pMSVhis) into the AαBβ-CHO cell line using the standard calcium-phosphate coprecipitation method. Colonies were selected on both G418 (Gibco BRL, Rockville, MD) and histidinol (Aldrich Chemical, Milwaukee, WI). Eight (γ387D) or 9 (wild-type and other variants) colonies from fibrinogen-synthesizing CHO cells were selected at random, expanded in DMEM-F12 medium containing both G418 and histidinol, and examined for fibrinogen synthesis as described.10
Preparation of variant fibrinogens
The CHO cell lines that synthesized the highest amounts of each variant fibrinogen were selected and cultured in 850-cm2 roller-bottles coated with microbeads. Fibrinogen was purified from the harvested culture medium by ammonium sulfate precipitation followed by immunoaffinity chromatography using a calcium-dependent monoclonal antibody (IF-1, Iatron Laboratories, Tokyo, Japan). Fibrinogen was eluted with 5 mM EDTA, and the eluted fractions were pooled and dialyzed against 20 mM HEPES, pH 7.4, 0.12 M NaCl (HBS). The fibrinogen concentration was determined from the ΔA280-320, assuming a 1-mg/mL solution has an absorbance of 1.51.11
Immunoassays
Fibrinogen concentrations in cell lysates or culture media were determined by enzyme-linked immunosorbent assay (ELISA), as described.5 SDS-polyacrylamide gel electrophoresis (PAGE) and immunoblot analysis were performed as described.7 Briefly, immunoblots were developed with a rabbit anti–human fibrinogen antibody (Dako, Carpinteria, CA) and reacting species were visualized with horseradish peroxidase conjugated-goat anti–rabbit IgG antibody (Medical and Biological Laboratories, Nagoya, Japan) and enhanced chemiluminescence (ECL) detection reagents (Amersham Pharmacia Biotech, Buckinghamshire, United Kingdom). Blots were exposed on Hyperfilm-ECL (Amersham Pharmacia Biotech).
Culture medium for immunologic analysis was prepared as follows. Cells were grown to confluence in 60-mm dishes (approximately 1.5 × 106–2.0 × 106 cells), and the conditioned medium was harvested 1 day after confluence (6-8 days after seeding) for immunoblot analysis or ELISA. Cell lysates were prepared from the same cultures in 60-mm dishes. The cells were harvested in trypsin-EDTA solution (Sigma, St Louis, MO), washed 3 times with phosphate-buffered saline (PBS), and lysed in either 50 μL Laemmli sample buffer for immunoblot analysis or 250 μL 0.1% IGEPAL CA-630 (nonionic detergent; Sigma) and 10 mM phenylmethyl sulfonyl fluoride (PMSF; Sigma) for ELISA. To perform an additional immunologic analysis for γ387I-, γ387D-, and AαBβ-CHO cells we cultured the cells using medium containing aprotinin (8.4 × 10–3 TIU/mL; Sigma) to avoid degradation of fibrinogen and the 3 individual chains.
Thrombin-catalyzed fibrin polymerization
Polymerization was monitored by assessing turbidity at 350 nm using a UV-110-02 spectrophotometer (Shimadzu, Tokyo, Japan). Briefly, fibrinogen (90 μL at 0.17 mg/mL) in HBS supplemented with 1 mM CaCl2 was mixed with human α-thrombin (10 μL at 0.5 U/mL) and changes in turbidity were monitored at ambient temperature. The reactions were performed in triplicate and 3 parameters—lag period, the maximum slope of change of absorbance, and the Δabsorbance over 30 minutes—were obtained from the turbidity curves, as described elsewhere.12
Factor XIIIa–catalyzed cross-linking of fibrin or fibrinogen
Factor XIII (FXIII; 50 U/mL) was activated with human α-thrombin (1 U/mL) for 60 minutes at 37°C in HBS with 5 mM CaCl2.13 To examine cross-linking of fibrin, fibrinogen at a final concentration of 0.25 mg/mL was incubated at 37°C with a mixture of FXIIIa (final concentration, 3.3 U/mL) and human α-thrombin (final concentration, 0.07 U/mL) containing 0.67 mM calcium. The reactions were stopped at various times by the addition of an equal volume of SDS sample buffer with 2-mercaptoethanol followed by incubation (5 minutes) at 100°C. Samples equivalent to 2.5 μg fibrinogen were separated by 8% SDS-PAGE and stained with Coomassie brilliant blue R-250. Densitometric analyses of stained gels were performed using the Rapid Electrophoresis System (Helena Lab, Saitama, Japan) and γ-γ/β ratios were calculated at each time point and plotted.
Scanning electron microscopy
For scanning electron microscopy, samples were prepared as described before,14 with a few minor modifications. Briefly, the final concentration of fibrinogen was 0.32 mg/mL. Images were recorded at × 3000 or × 20 000 magnification. Twenty-five fiber diameters for each clot were measured using a vernier caliper on a 300% enlargement from a photograph made at × 20 000 magnification.
Statistical analysis
The statistical significance of differences between normal control and variant fibrinogen was determined using unpaired t tests. A difference was considered significant when P values were less than .05.
Results
Synthesis and secretion of recombinant fibrinogen
To examine the role of the γ387 residue in fibrinogen synthesis and secretion, we expressed 5 variant fibrinogens in which the wild-type Ile was substituted by Arg, Leu, Met, Ala, or Asp. The substitutions were introduced by oligonucleotide-directed mutagenesis of the γ-chain cDNA cloned in the previously described expression vector pMLP-γ.8 Each altered vector and pMLP-γ was cotransfected with pMSVhis into a CHO cell line that expressed the normal Aα- and Bβ-chains of fibrinogen. Histidinol-resistant colonies were picked and expanded, and fibrinogen concentrations in the culture media were determined by ELISA. Because fibrinogen was detected in the culture media of all 5 variants, we selected at random 8 to 9 clones with rapidly dividing cells for further analysis.
The concentrations of fibrinogen detected in the culture media are presented in Figure 1A. For the 9 clones examined, the concentration of normal fibrinogen (γ387I) varied from 0.48 to 2.5 μg/mL, with a mean value of 1.3 μg/mL. The mean concentrations for variants γ387R, γ387L, γ387M, γ387A, and γ387D were 1.6, 2.2, 2.5, 2.3, and 0.04 μg/mL, respectively. Thus, the concentrations of variant fibrinogen found in the culture medium were similar to or higher than normal for γ387R, γ387L, γ387M, and γ387A, but markedly lower for γ387D (P < .001). The fibrinogen concentrations in the cell lysates are also shown in Figure 1B. For normal fibrinogen, the levels varied from 0.19 to 1.5 μg/mL, with a mean of 0.80 μg/mL. The mean concentrations for variants γ387R, γ387L, γ387M, γ387A, and γ387D were 1.2, 1.6, 1.3, 1.3, and 0.24 μg/mL, respectively. Thus, again, 4 variant fibrinogens were synthesized at a level similar to or higher than normal. Furthermore, as was found in the medium, the amount of fibrinogen in cell lysates for variant γ387D was markedly reduced (P < .01). The fibrinogen concentration ratio of medium to cell lysate for normal fibrinogen varied from 1.16 to 2.53, with a mean of 1.70. The mean ratios for variants γ387R, γ387L, γ387M, γ387A, and γ387D were 1.44, 1.37, 2.09, 1.81, and 0.17, respectively (Figure 1C). As compared to γ387I, the level of the synthesis of γ387D was 30% of normal, whereas that of the secretion was only 3.3% of normal. Thus, the secretion ratio was also markedly reduced to 10% of normal (P < .001).
We examined the fibrinogen variants on immunoblots of SDS-polyacrylamide gels run under reducing and nonreducing conditions. Immunoblots of samples of the culture media or cell lysates from individual clones (γ387I, γ387R, γ387L, γ387M, and γ387A) are shown in Figure 2. When SDS-PAGE was performed under nonreducing conditions and the blots were developed with an antifibrinogen antibody (Figure 2C), multiple bands were seen in all of the CHO lysates. The bands at about 62 kDa and 59 kDa were both Aα-chains, because both reacted with an anti–Aα-chain antibody (data not shown) and the bands at 49 kDa and 42 kDa were Bβ-chain and γ-chain, respectively. Based on previous reports,3 bands larger than 62 kDa around 155 kDa, 290 kDa, and 340 kDa were Aαγ, AαBβγ, and fibrinogen (labeled Fbg), respectively. When SDS-PAGE was performed under reducing conditions and the blots were developed with an antifibrinogen antibody (Figure 2D), bands with mobilities comparable to Aα-, Bβ-, and γ-chains and several smaller bands were seen in all cell lysates; these smaller immunoreactive species may arise from proteolytic degradation.
Synthesis of variant fibrinogens in transfected CHO cells. The concentrations of fibrinogen in the culture media (A) and cell lysates (B) were measured by ELISA as described in “Materials and methods.” Fibrinogen concentration ratios of medium to cell lysate are shown in panel C. The mean values are presented with standard deviations indicated by the error bars. Concentrations were determined for 8 to 9 isolates of the CHO lines expressing γ387I (I), γ387R (R), γ387L (L), γ387M (M), γ387A (A), and γ387D (D). Significantly different from γ387I (*P < .05, **P < .01, ***P < .001).
Synthesis of variant fibrinogens in transfected CHO cells. The concentrations of fibrinogen in the culture media (A) and cell lysates (B) were measured by ELISA as described in “Materials and methods.” Fibrinogen concentration ratios of medium to cell lysate are shown in panel C. The mean values are presented with standard deviations indicated by the error bars. Concentrations were determined for 8 to 9 isolates of the CHO lines expressing γ387I (I), γ387R (R), γ387L (L), γ387M (M), γ387A (A), and γ387D (D). Significantly different from γ387I (*P < .05, **P < .01, ***P < .001).
Western blot analysis of the culture medium and CHO cell lysate. Samples of medium (5 μL) were subjected to 8% SDS-PAGE under nonreducing conditions (A) or 10% SDS-PAGE under reducing conditions (B). The blots were developed with a polyclonal antibody to fibrinogen and reactive bands were detected by chemiluminescence, as described in “Materials and methods.” Purified plasma fibrinogen (3 ng) was electrophoresed in the lanes labeled S; medium from individual CHO lines was electrophoresed in the lanes labeled: I, γ387I; R, γ387R; L, γ387L; M, γ387M; A, γ387A. Samples of cell lysate (10 μL) were subjected to 8% SDS-PAGE under nonreducing conditions (C) or 10% SDS-PAGE under reducing conditions (D). Blots were developed as described. Bars at 340 kDa, 290 kDa, and 155kDa, and at 67 kDa, 56 kDa, and 47 kDa, indicate intact fibrinogen, intermediate complex (Int), and AαBβγ-complex (AαBβγ) in panels A and C, or the normal Aα-, Bβ-, and γ-chains in panels B-D.
Western blot analysis of the culture medium and CHO cell lysate. Samples of medium (5 μL) were subjected to 8% SDS-PAGE under nonreducing conditions (A) or 10% SDS-PAGE under reducing conditions (B). The blots were developed with a polyclonal antibody to fibrinogen and reactive bands were detected by chemiluminescence, as described in “Materials and methods.” Purified plasma fibrinogen (3 ng) was electrophoresed in the lanes labeled S; medium from individual CHO lines was electrophoresed in the lanes labeled: I, γ387I; R, γ387R; L, γ387L; M, γ387M; A, γ387A. Samples of cell lysate (10 μL) were subjected to 8% SDS-PAGE under nonreducing conditions (C) or 10% SDS-PAGE under reducing conditions (D). Blots were developed as described. Bars at 340 kDa, 290 kDa, and 155kDa, and at 67 kDa, 56 kDa, and 47 kDa, indicate intact fibrinogen, intermediate complex (Int), and AαBβγ-complex (AαBβγ) in panels A and C, or the normal Aα-, Bβ-, and γ-chains in panels B-D.
Because in the case of γ387D cells only very small amounts of fibrinogen were secreted into the conditioned media, as determined by ELISA, we carefully performed additional analyses using media containing aprotinin to prevent the degradation of fibrinogen. Namely, cells and conditioned media were harvested when cell growth reached 70% to 80% confluence in culture dishes to avoid contamination of fibrinogen derived from dead cells, and fresh medium was added. Conditioned media were harvested after an additional 1, 3, or 7 days of culture. When samples were harvested before reaching confluence, the fibrinogen concentrations in cell lysates for γ387I-, γ387D-, and AαBβ-CHO cells were 3.9, 0.28, and less than 0.02 μg/mL, respectively. The fibrinogen concentrations in the media for γ387I-, γ387D-, and AαBβ-CHO cells were 2.1, less than 0.02, and less than 0.02 μg/mL, respectively. Moreover, in the 5-fold concentrated media of γ387D- and AαBβ-CHO cells harvested after an additional 3 days of culture, the fibrinogen concentrations were 6 and less than 4 ng/mL, respectively.
We also analyzed fibrinogen and the 3 polypeptide chains in the described culture media from γ387D- and AαBβ-CHO cells using immunoblotting with a long period of exposure of the nitrocellulose membrane to Hyperfilm-ECL (Figure 3). When SDS-PAGE was performed under reducing conditions and the blots were developed with an antifibrinogen antibody, 2 or 3 bands were seen in both γ387D- and AαBβ-CHO lysates (Figure 3C). For the 20-fold concentrated media from cells cultured for an additional 3 days, SDS-PAGE was performed under nonreducing conditions and the blots were developed with an antifibrinogen antibody. Several bands were seen in media from both γ387D- and AαBβ-CHO cells, and especially, a weak fibrinogen band was seen in medium from γ387D (Figure 3D). To identify the bands with molecular weight lower than that of fibrinogen, the media were analyzed by 2-dimensional electrophoresis (first dimension: nonreducing conditions; second dimension: reducing conditions) followed by immunoblotting using an antifibrinogen antibody (data not shown). These results demonstrated the presence of bands of Aα, Aα-polymer, Bβ-polymer, or AαBβ-complex (Figure 3D). When SDS-PAGE was performed under reducing conditions and the blots were developed with an antifibrinogen antibody, several bands, including lower-molecular-weight products, were also seen (Figure 3E). To identify the bands, immunoblot analyses were performed using anti–Aα-, anti–Bβ-, or anti–γ-chain–specific antibodies (former 2 are polyclonal antibodies from Chemicon International, Temecula, CA, and latter a monoclonal 2G10 from Accurate Chemical and Scientific, Westbury, NY; Figure 3F-H, respectively). In the medium harvested from γ387D, all of Aα-, Bβ-, and γ-chain were detected, but the medium harvested from AαBβ-CHO cells contained only Aα- and Bβ-chains. Some lower-molecular-weight bands than the Bβ-chain (Figure 3E), one of which is migrated in a similar position to the γ-chain, might be proteolytic degradation products derived from the Bβ-chain. When the cell lysates were analyzed by SDS-PAGE under nonreducing conditions followed by immunoblotting, in the lysate from γ387D cells, the amounts of fibrinogen and AαBβγ-complex bands were smaller, but that of the γ-chain band was larger than that in the lysate from γ387I cells under nonreducing conditions (Figure 3A). In the lysate from AαBβ-CHO cells, only Aα- and Bβ-chains and proteolytic degradation products derived from Aα- or Bβ-chains were observed (Figure 3A). When the cell lysates were analyzed under reducing conditions, 3 polypeptides, including the γ-chain, were synthesized in γ387D cells and the 2 bands of Aα and Bβ in AαBβ-CHO cells, and several proteolytic degradation products were seen in γ387D cells and more than 3 bands in AαBβ-CHO cells (Figure 3B). Altogether, these analyses demonstrated that the γ387D variant γ-chain was synthesized and assembled with low efficiency into fibrinogen, followed by secretion into the culture medium.
Western blot analysis of the culture medium and cell lysate for γ387D- and AαBβ-CHO cells. After growth of the cells in the culture dishes to about 70% to 80% confluence, the cells were harvested, and in other dishes, the culture medium was removed (day 0) and aprotinin-containing fresh medium was added. Media were harvested after an additional 1, 3, or 7 days. Cell lysates were subjected to 8% SDS-PAGE under nonreducing conditions (A) or 10% SDS-PAGE under reducing conditions (B). Samples from media harvested after an additional 1, 3, or 7 days (20 μL for γ387D and AαBβ and 10 μL for γ387I) were subjected to 10% SDS-PAGE under reducing conditions (C). Samples from 20-fold concentrated media (γ387D- and AαBβ-CHO cells) harvested after an additional 3 days of culture were subjected to 8% SDS-PAGE under nonreducing conditions (D) or 10% SDS-PAGE under reducing conditions (E-H). The blots were reacted with a polyclonal antibody to fibrinogen (A-E) and anti–Aα- (F), anti–Bβ- (G), or anti–γ-chain–specific (E) antibodies and, after a longer exposure of the nitrocellulose membrane to Hyperfilm-ECL, chemiluminescence was developed. Bars at 340 kDa and 155 kDa, and at 67 kDa, 56 kDa, and 47 kDa, indicate intact fibrinogen, and AαBβγ-complex (A,D), or the normal Aα-, Bβ-, and γ-chains (B-C,E-H). Labeled S, I, D, and αβ are purified plasma fibrinogen, γ387I-, γ387D-, and AαBβ-CHO cell line, respectively. Bands numbered from 1 to 6 in panel D are determined by 2-dimensional analysis (data not shown). 1, AαBβ-complex; 2, AαBβ-complex; 3, Aα-polymer; 4, Bβ-polymer; 5, Aα-polymer; and 6, Aα-monomer.
Western blot analysis of the culture medium and cell lysate for γ387D- and AαBβ-CHO cells. After growth of the cells in the culture dishes to about 70% to 80% confluence, the cells were harvested, and in other dishes, the culture medium was removed (day 0) and aprotinin-containing fresh medium was added. Media were harvested after an additional 1, 3, or 7 days. Cell lysates were subjected to 8% SDS-PAGE under nonreducing conditions (A) or 10% SDS-PAGE under reducing conditions (B). Samples from media harvested after an additional 1, 3, or 7 days (20 μL for γ387D and AαBβ and 10 μL for γ387I) were subjected to 10% SDS-PAGE under reducing conditions (C). Samples from 20-fold concentrated media (γ387D- and AαBβ-CHO cells) harvested after an additional 3 days of culture were subjected to 8% SDS-PAGE under nonreducing conditions (D) or 10% SDS-PAGE under reducing conditions (E-H). The blots were reacted with a polyclonal antibody to fibrinogen (A-E) and anti–Aα- (F), anti–Bβ- (G), or anti–γ-chain–specific (E) antibodies and, after a longer exposure of the nitrocellulose membrane to Hyperfilm-ECL, chemiluminescence was developed. Bars at 340 kDa and 155 kDa, and at 67 kDa, 56 kDa, and 47 kDa, indicate intact fibrinogen, and AαBβγ-complex (A,D), or the normal Aα-, Bβ-, and γ-chains (B-C,E-H). Labeled S, I, D, and αβ are purified plasma fibrinogen, γ387I-, γ387D-, and AαBβ-CHO cell line, respectively. Bands numbered from 1 to 6 in panel D are determined by 2-dimensional analysis (data not shown). 1, AαBβ-complex; 2, AαBβ-complex; 3, Aα-polymer; 4, Bβ-polymer; 5, Aα-polymer; and 6, Aα-monomer.
Function of recombinant variant fibrinogens
We cultured 4 variant fibrinogen-synthesizing lines of CHO cells, γ387R, γ387L, γ387M, and γ387A, in roller-bottles. The variant fibrinogens were purified from the culture medium, as described in “Materials and methods.” SDS-PAGE performed under reducing conditions showed the usual pattern of 3 bands corresponding to the Aα-, Bβ-, and γ-chains and no increase of degradation fragments or contaminants (data not shown). Because we thought that the level of fibrinogen secretion from γ387D-CHO cells would be too low to enable precipitation and following purification of the fibrinogen, as indicated by the data shown, we did not culture this cell line in roller-bottles.
Thrombin-catalyzed fibrin polymerization was monitored as the change in turbidity at 350 nm, as described in “Materials and methods.” Representative curves are shown in Figure 4. We measured 3 parameters from these curves: the lag time, which reflects the formation of protofibrils; the maximum slope of change of absorbance, which reflects the rate at which protofibrils laterally aggregate with each other to form a fibrin fiber; and the Δabsorbance over 30 minutes, which reflects the fiber diameter (Table 1). Compared to normal fibrinogen, the lag times of γ387L-, γ387M-, and γ387A-fibrinogen were shorter by 0.67- to 0.83-fold, whereas the lag time of γ387R-fibrinogen was approximately the same as normal. The maximum slope of each of the polymerization curves was significantly (P < .001) smaller than normal (13.1 × 10–4/s), namely, γ387L, 4.3 × 10–4/s; γ387M, 5.8 × 10–4/s; γ387A, 6.0 × 10–4/s; and γ387R, 7.7 × 10–4/s. For γ387A- and γ387R-fibrinogen, the Δabsorbance over 30 minutes was 0.369 and 0.343, respectively, which was slightly (but not significantly) smaller than normal (0.382). Those for γ387M- and γ387L-fibrinogen were 0.270 (P < .02) and 0.247 (P < .01), respectively, which were significantly smaller than normal.
Three parameters characterizing thrombin-catalyzed fibrin polymerization
Fibrinogen . | Lag period, min . | Maximum rate of absorbance change, 10-4/s . | Δ absorbance . |
|---|---|---|---|
| γ387Ile | 3.0 ± 0.2 | 13.1 ± 0.3 | 0.382 ± 0.020 |
| γ387Arg | 3.0 ± 0.3 | 7.7 ± 0.2* | 0.343 ± 0.012 |
| γ387Leu | 2.5 ± 0.3 | 4.3 ± 0.2* | 0.247 ± 0.018† |
| γ387Met | 2.0 ± 0.2‡ | 5.8 ± 0.2* | 0.270 ± 0.015§ |
| γ387Ala | 2.4 ± 0.3 | 6.0 ± 0.4* | 0.369 ± 0.028 |
Fibrinogen . | Lag period, min . | Maximum rate of absorbance change, 10-4/s . | Δ absorbance . |
|---|---|---|---|
| γ387Ile | 3.0 ± 0.2 | 13.1 ± 0.3 | 0.382 ± 0.020 |
| γ387Arg | 3.0 ± 0.3 | 7.7 ± 0.2* | 0.343 ± 0.012 |
| γ387Leu | 2.5 ± 0.3 | 4.3 ± 0.2* | 0.247 ± 0.018† |
| γ387Met | 2.0 ± 0.2‡ | 5.8 ± 0.2* | 0.270 ± 0.015§ |
| γ387Ala | 2.4 ± 0.3 | 6.0 ± 0.4* | 0.369 ± 0.028 |
Significantly different from γ387Ile (P < .001).
Significantly different from γ387Ile (P < .01).
Significantly different from γ387Ile (P < .05).
Significantly different from γ387Ile (P < .02).
To examine the difference in the Δabsorbance over 30 minutes, we made fibrin clots, observed them by scanning electron microscopy, and measured the diameter of the fibrin fibers. The fibrin fiber diameter was significantly thinner for γ387L (78 ± 18 nm, P < .001), γ387M (85 ± 24 nm, P < .001), γ387A (100 ± 23 nm, P < .05), and γ387R (102 ± 16 nm, P < .05) than for γ387I (115 ± 20 nm). These observations are in accord with the model proposed by Weisel and Nagaswami,15 in which decreases of the maximum slope of change of absorbance and the Δabsorbance lead to the decrease of fiber diameters.
Thrombin-catalyzed fibrin polymerization. Polymerization of fibrinogen (0.17 mg/mL) was initiated with thrombin (0.05 U/mL) and the change in turbidity at 350 nm was followed with time. Representative polymerization curves for γ387I (♦), γ387R (▵), γ387L (▴), γ387M (▪), and γ387A (□) are shown.
Thrombin-catalyzed fibrin polymerization. Polymerization of fibrinogen (0.17 mg/mL) was initiated with thrombin (0.05 U/mL) and the change in turbidity at 350 nm was followed with time. Representative polymerization curves for γ387I (♦), γ387R (▵), γ387L (▴), γ387M (▪), and γ387A (□) are shown.
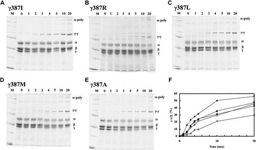
FXIIIa-catalyzed cross-linking of fibrin
Cross-linking of fibrin was performed in the presence of FXIIIa and thrombin, and the reaction products were analyzed by SDS-PAGE as described in “Materials and methods.” The stained gels and densitometric analyses are presented in Figure 5A-E and F, respectively. With normal fibrin (Figure 5A; γ387I), the γ-γ dimer appeared first, being weakly evident at the earliest time point, 1 minute, and the α-polymer band appeared later, being evident at 3 minutes. With longer incubation, the intensity of the γ-γ dimer and α-polymer bands increased, whereas the intensity of the α- and γ-chain bands decreased. With γ387L-, γ387M-, and γ387A-fibrins (Figure 5C-E), the γ-γ dimer and α-polymer bands were evident after 1 and 3 or 4 minutes, respectively. In contrast, with γ387R-fibrin, cross-linking was delayed, the γ-γ dimer and α-polymer bands being evident only after 2 and 10 minutes, respectively (Figure 5B; γ378R). With longer incubation, the rate of increase of the intensity of the γ-γ dimer and α-polymer bands was lower than not only that of the normal fibrin but also that of the other 3 variant fibrins (Figure 5B,F).
Discussion
The present study demonstrated that the 387I residue near the C-terminus of the γ-chain is essential for the assembly and therefore for the secretion of fibrinogen expressed in cultured CHO cells, and this residue in the secreted fibrinogen is also important for lateral aggregation during fibrin polymerization and for factor XIIIa-catalyzed cross-linking of γ-chains.
Studies of fibrinogen synthesis and secretion revealed that not only γ387L- and γ387M-fibrinogen (the replacements observed in frog and lamprey, respectively) but also γ387R-fibrinogen (corresponding to the residue in the comparable position in human-Bβ) and γ387A-fibrinogen (control) were normally or highly synthesized in CHO cells and secreted into the culture medium, in comparison with γ387I. Only γ387D-fibrinogen (into which a negatively charged side chain was introduced) showed markedly impaired synthesis of fibrinogen and only slight secretion into the culture medium. However, interestingly, we observed small amounts of Aα, Aα-polymer, Bβ-polymer, or AαBβ-complex in γ387D-CHO cells. These were also secreted into medium harvested from AαBβ-CHO cells. Because other fibrinogen expression systems using BHK,4 COS-1,16,17 or HepG23 cells showed no secretion of single or polymer Bβ-chain, AαBβ-complex, or Bβγ-complex, we guess that the secretion of polymer Bβ-chain and AαBβ-complex is a unique characteristic of the CHO expression system. Our previous study using a series of fibrinogen variants with truncated γ-chains terminating between residues γ379 and the C-terminus (γ411) indicated that γ387I is essential for fibrinogen assembly, and we guess that length is more critical for this function than the specific residue.7 Although the levels of γ388 termination-(γ387-fibrinogen) and γ387D-fibrinogen synthesis are about 40%7 and 30% of those of normal fibrinogen, respectively, and the level of secretion of γ387-fibrinogen is about 28%7 of that of normal fibrinogen, that of γ387D-fibrinogen is less than 3%. These observations indicate that the residue at γ387 is more critical for fibrinogen secretion than the length of the γC-tail (γ387-411). These results and previous truncation experiments7 led to the speculation that the low level of fibrinogen in γ387- and γ387D-CHO cells was caused by the impaired formation of αγ-complexes and βγ-complexes, which are assembly intermediates of fibrinogen and are not observed in γ386-CHO cells. Furthermore, the marked impairment of secretion of γ387D-fibrinogen indicated that the γ387D residue or the conformation of the γC-tail beyond 388, in the region γ388-411, is critical for fibrinogen secretion. Recently, Vu et al18 demonstrated by using transient transfection of chimeric molecules between Bβ, γ, and angiopoetin-2 into COS-7 cells that the γC nodule allows the secretion of single chains and complexes, whereas the βC nodule prevents their secretion. Based on that notion, our data suggest that the γC nodule in γ387D-fibrinogen allows only slight secretion of this variant.
FXIIIa-catalyzed cross-linking of fibrin. Cross-linking of fibrin by FXIIIa was examined by 8% SDS-PAGE under reducing conditions as described in “Materials and methods.” Fibrinogen (0.25 mg/mL) was mixed with FXIIIa (3.3 U/mL) and thrombin (0.07 U/mL) and the reaction was incubated for the specified time at 37°C in 20 mM HEPES, pH 7.4, 0.12 M NaCl, 0.67 mM CaCl2 buffer. The reduced fibrin chains (α, β, γ, cross-linked γ-γ dimer, and cross-linked α-chain polymers) are indicated on the right side of the gels. The variant fibrinogens used were (A) γ387I, (B) γ387R, (C) γ387L, (D) γ387M, and (E) γ387A. Densitometric analyses were performed and γ-γ/β ratios were calculated and plotted in panel F: γ387I (♦), γ387R (▵), γ387L (▴), γ387M (▪), and γ387A (□).
FXIIIa-catalyzed cross-linking of fibrin. Cross-linking of fibrin by FXIIIa was examined by 8% SDS-PAGE under reducing conditions as described in “Materials and methods.” Fibrinogen (0.25 mg/mL) was mixed with FXIIIa (3.3 U/mL) and thrombin (0.07 U/mL) and the reaction was incubated for the specified time at 37°C in 20 mM HEPES, pH 7.4, 0.12 M NaCl, 0.67 mM CaCl2 buffer. The reduced fibrin chains (α, β, γ, cross-linked γ-γ dimer, and cross-linked α-chain polymers) are indicated on the right side of the gels. The variant fibrinogens used were (A) γ387I, (B) γ387R, (C) γ387L, (D) γ387M, and (E) γ387A. Densitometric analyses were performed and γ-γ/β ratios were calculated and plotted in panel F: γ387I (♦), γ387R (▵), γ387L (▴), γ387M (▪), and γ387A (□).
The degree of lateral aggregation of protofibrils into fibrin fibers varied widely among 4 variant fibrinogens, γ387L, γ387M, γ387R, and γ387A. In brief, the aggregation of γ387R- and γ387A-fibrinogens was slightly reduced, whereas that of γ387L- and γ387M-fibrinogens was moderately reduced and almost the same as that of γ387-fibrinogen (data not shown). These results for γ387 variant fibrinogens indicate that substitution of the residue per se or conformational changes of the γC-tail, γ388-411, affect the lateral aggregation. Furthermore, the result for γ387-fibrinogen indicates that truncation of γ388-411 per se or the conformational change induced by the loss of these residues also affects the lateral aggregation to a similar degree. The lateral aggregation is supported by multiple interactions, including the “B:b” interaction,19,20 intermolecular interactions between the αC domains of different fibrin molecules (αC:αC),21,22 and interactions between the 2 βC domains of different protofibrils (βC:βC).23 Although release of FPB results in an enhanced rate of lateral aggregation of protofibrils,24,25 desA fibrin monomers undergo lateral aggregation by association contacts between the γD regions, (γ350-360 and γ370-380) of different protofibrils,23 without “B:b” and “αC:αC” interactions. We speculated that the reduced lateral aggregation of variants of γ387I-fibrinogen and γ387-fibrinogen was caused by conformational changes in γ350-360 or γ370-380 residues. That is to say, the maximum slope of change of absorbance and Δabsorbance values observed for γ387L-, γ387M-, and γ387-fibrinogens might reflect “B:b,” “αC:αC,” plus “βC:βC” interactions for lateral aggregation.
Unexpectedly, although the lateral aggregation of γ387R-fibrinogen was slightly reduced compared with that of γ387I-fibrinogen, the rate of γ-γ dimer formation from γ387R-fibrin by FXIIIa-catalyzed cross-linking was substantially lower than that from γ387I-fibrin and the 3 other variant fibrins. Interestingly, these results clearly indicate that the critical conformation for FXIIIa-catalyzed cross-linking of γ-chains is different from that for lateral aggregation. Although it is well known that the γ-chain cross-link is formed between the C-terminal γ-chains of 2 fibrin molecules, involving a donor γ406 Lys of one chain and a Gln acceptor at γ398/399 of another, whether these cross-links occur between molecules that are interacting in a longitudinal or transverse manner has been controversial for a long time.26,27 For either manner of cross-linking, we think the following 2 possibilities might account for the reduced rate of γ-chain cross-linking of γ387 variant fibrinogen: (1) the distance between the γ398Gln/399Gln in one molecule and the γ406Lys in the other molecule is longer than can be linked easily, as in normal fibrinogen, and (2) reduced flexibility of residues γ378-411 causes a lower frequency of cross-linking than for normal fibrinogen.
More than 240 families with dysfunctional fibrinogens have been analyzed genetically or structurally.28 Most of these variants display amino acid substitution either in the Aα-chain (143 families) or in the γ-chain (74 families); however, no variants have been found beyond residue γ381. Therefore, we cannot discuss the functions of the γ387-411 tail of fibrinogen based on data from naturally occurring variants. On the other hand, it is well known that plasma fibrinogen contains approximately 15% fibrinogen-2, which is composed of one normal γ-chain and one variant γ′-chain.29 The γ′-chain has a longer (427 residues) γC-terminal tail than the γ-chain and is synthesized by alternative mRNA splicing between exon 9 and exon 10.30-32 Some functions of fibrinogen-2 have been analyzed and compared with those of normal fibrinogen. Fibrinogen-2 shows a milder maximum slope of change of absorbance and Δabsorbance and forms clots with thinner fiber bundles than normal fibrinogen.33-35 These observations are similar to some observations for certain γ387 variants. On the other hand, for fibrinogen-2, the rate of FXIIIa-catalyzed γ-γ dimer formation is similar to that for normal fibrinogen,35 but those for the γ387 variants are lower than normal. All of these results observed for fibrinogen-2 are the results of thrombin binding at a non–substrate high-affinity site on the γ′-chain. However, the relationships between the thrombin binding at the γ′ site and the formation of thinner fibers are controversial.34,35 In addition to these characteristics, the γ′-chain residues between 387 and 407 are the same as those in the γ-chain, resulting in similar conformations of a β-strand composed of residues γ381-388 and the γC nodule, and thus we also cannot discuss the functions of γ387 variants in comparison with those of fibrinogen-2.
The putative structures of the fibrinogen γ-chain C-terminal residue of γ387 variants. The wire-frame views show residues that are within 0.6 nm of residue γ387. The views of γ387 variants were generated with Swiss-Pdb Viewer38 from the protein databank file 3fib/pdb. (A) γ387I; (B) γ387R; (C) γ387L; (D) γ387M; (E) γ387A; and (F) γ387D. Thin and thick dotted lines show putative strong H-bonds and steric hindrance, respectively.
The putative structures of the fibrinogen γ-chain C-terminal residue of γ387 variants. The wire-frame views show residues that are within 0.6 nm of residue γ387. The views of γ387 variants were generated with Swiss-Pdb Viewer38 from the protein databank file 3fib/pdb. (A) γ387I; (B) γ387R; (C) γ387L; (D) γ387M; (E) γ387A; and (F) γ387D. Thin and thick dotted lines show putative strong H-bonds and steric hindrance, respectively.
Crystal structures of the γ-chain domain show that γ387I lies within a β strand composed of residues γ381-389 and this strand inserts in an antiparallel fashion between strands formed by residues γ189-197 and γ243-252.36,37 We generated wire-frame images of the γ387 variants using Swiss-Pdb Viewer38 from the protein databank file 3fib/pdb and concluded that there are newly formed hydrogen-bonds (H-bonds) and steric hindrance based on analysis using a rotamer library. The results showed that the backbone of Ile forms 3 H-bonds to the backbones of 245Ala or 389Phe (Figure 6A). Three other residues, Leu, Met, and Ala, with hydrophobic side chains also form 3 H-bonds (Figure 6C-E). In addition, the replacement of Ile by Asp induces an additional 4 H-bonds between the side chain of Asp and the backbone of 154Gln, 190Gly, or 388Pro (Figure 6F). Moreover, the replacement of Ile by Arg induces 2 additional H-bonds between the side chain of Arg and the backbone of 391Arg and steric hindrance between the side chain of Arg and the side chain of 191Trp (Figure 6B). These putative additional H-bonds and steric hindrance resulting in changes in the tertiary structure of the γ-chain C-terminal domain are in accord with our functional data. Namely, γ387D-fibrinogen showed markedly impaired fibrinogen assembly in CHO cells and markedly impaired secretion from CHO cells. γ387R-fibrinogen showed almost normal assembly and secretion of fibrinogen and fibrin polymerization but marked impairment of FXIIIa-catalyzed γ-γ formation.
In summary, our studies demonstrated that the specific residue at γ387 or the conformation of γ388-411 residues, but not the length of the γC-tail (γ387-411), are critical for fibrinogen assembly and the subsequent secretion. Moreover, the residue or the conformation are also important not only for the lateral aggregation of fibrin polymers but also for the FXIIIa-catalyzed cross-linking of γ-chains. Interestingly, our results clearly indicate that the conformations critical for these 2 functions are different from each other.
Prepublished online as Blood First Edition Paper, May 16, 2006; DOI 10.1182/blood-2006-04-016485.
Supported in part by a Grant-in-Aid for Science Research from the Ministry of Education, Science, and Culture of Japan (no. 16590451; N.O.).
The publication costs of this article were defrayed in part by page charge payment. Therefore, and solely to indicate this fact, this article is hereby marked “advertisement” in accordance with 18 U.S.C. section 1734.
We gratefully acknowledge Dr Susan T. Lord (Department of Pathology and Laboratory Medicine, University of North Carolina, Chapel Hill) for generous gifts of Aα-, Bβ-, and γ-chain vectors and Dr Tsutomu Katsuyama (Department of Laboratory Medicine, Shinshu University School of Medicine, Matsumoto, Japan) for helpful advice.






This feature is available to Subscribers Only
Sign In or Create an Account Close Modal