Subjects:
BloodWork
Topics:
osteoclasts
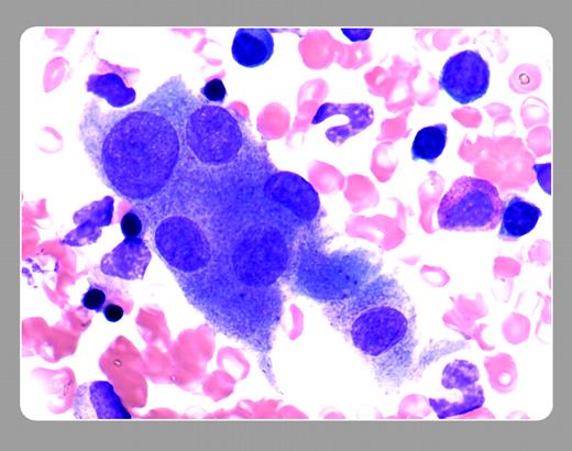
Figure 1.
Osteoclasts are large multinucleated cells with granular cytoplasm. They may resemble megakaryocytes. Their nuclei, however, tend to be regular in shape and are separated by areas of cytoplasm.
Peter Maslak, Memorial Sloan-Kettering Cancer Center
Figure 1.
Osteoclasts are large multinucleated cells with granular cytoplasm. They may resemble megakaryocytes. Their nuclei, however, tend to be regular in shape and are separated by areas of cytoplasm.
Peter Maslak, Memorial Sloan-Kettering Cancer Center
Many Blood Work images are provided by the ASH IMAGE BANK, a reference and teaching tool that is continually updated with new atlas images and images of case studies. For more information or to contribute to the Image Bank, visit www.ashimagebank.org.
Copyright © 2006 by The American Society of Hematology
2006

This feature is available to Subscribers Only
Sign In or Create an Account Close Modal