Abstract
The safety and efficacy of peripheral venous administration of a self-complementary adeno-associated viral vector encoding the human FIX gene (scAAV-LP1-hFIXco) was evaluated in nonhuman primates for gene therapy of hemophilia B. Peripheral vein infusion of 1 × 1012 vg/kg scAAV-LP1-hFIXco pseudotyped with serotype 8 capsid, in 3 macaques, resulted in stable therapeutic expression (more than 9 months) of human FIX (hFIX) at levels (1.1 ± 0.5 μg/mL, or 22% of normal) that were comparable to those achieved after direct delivery of the same vector dose into the portal circulation (1.3 ± 0.3 μg/mL, or 26% of normal). Importantly, the pattern of vector biodistribution after systemic and portal vein administration of scAAV-LP1-hFIXco was almost identical. Additionally, comparable levels of gene transfer were achieved in macaques with preexisting immunity to AAV8 following peripheral vein administration of 1 × 1012 vg/kg AAV5-pseudotyped scAAV-LP1-hFIXco. This confirms that alternative serotypes can circumvent preexisting naturally acquired immunity to AAV. Thus, peripheral venous administration of AAV5 and AAV8 vectors is safe and as effective at transducing the liver in nonhuman primates as direct vector administration into the portal circulation. These results should make vector administration to patients, especially those with a severe bleeding diathesis, significantly easier and safer.
Introduction
Two recent advances provide renewed hope for successful gene therapy of hemophilia B (HB) and other disorders affecting the liver with recombinant adeno-associated viral vectors (rAAVs). Firstly, modification of AAVs' single-stranded genome has enabled the packaging of a liver-specific human factor IX (hFIX) expression cassette as complementary dimers within a single virion.1 These self-complementary vectors (scAAVs) improve transduction efficiency of the liver in mice by at least 20-fold over that achieved with comparable conventional AAV vectors, because they are no longer dependent on the target cell machinery for conversion of the single-stranded AAV genome into transcriptionally active double-stranded forms.1-3 Secondly, by packaging the AAV genome inside capsids derived from alternative serotypes of AAVs, of which at least 10 have been fully characterized, it is possible to create a new generation of hybrid vectors with unique biologic characteristics including distinctive immunologic properties and tropism.1,4-7
Among the new isolates there is significant interest in AAV8 because of its low seroprevalence in humans.4 AAV8 may offer other safety advantages because of its distinctive biology. In particular, its ability to uncoat and release its genome rapidly after cellular entry may enable therapeutic transgene expression using a lower dose of vector.7-9 Moreover, the persistence of AAV8 capsid proteins in hepatocytes after liver-targeted delivery is significantly shorter than that of AAV2, which may reduce the opportunity to provoke an immune response.10 Of interest also is the remarkable tropism of AAV8 for the liver. In contrast with AAV2 and AAV5 vectors, we and others have shown that peripheral vein and liver-targeted delivery of AAV8-pseudotyped vector results in equivalent levels of hepatocyte gene transfer in mice.7,8,11 The peripheral vein route of vector delivery is highly desirable for patients with a bleeding diathesis such as HB, because it is technically less complex and risky than selective catheterization of the hepatic artery. However, these murine observations require further validation in a context relevant to humans, because we and others have previously shown that there are distinct species-specific differences in the tropism of AAV vectors in mice and primates, including humans.1,7,12 Additionally, the impact of the route of administration on the magnitude and profile of the immune response to the capsid protein or transgene needs to be carefully considered because of the previously reported route-specific difference in immunity following AAV-mediated gene transfer.11,13
A potentially important advantage of vectors based on alternative serotypes is their ability to bypass natural immunity to AAV2, a serotype that is endemic in humans. This has been demonstrated by a plethora of studies in animals immunized to recombinant vectors but not in the context of natural infection with wild-type AAV that occurs in association with helper virus such as adenovirus.1,4-7 This is particularly relevant in light of the reported eradication of rAAV2-transduced hepatocytes in severe HB patients by a memory T-cell–immune response to the capsid proteins.12 The AAV2 capsid epitope responsible for provoking the cellular immune response is highly conserved in the capsids of other serotypes, including AAV5 and AAV8. However, it is not known if preexisting immunity resulting from wild-type AAV infection will block stable transgene expression mediated by vectors based on alternative serotypes.
To address this and other issues in the context of peripheral venous administration of AAV, we have used nonhuman primates because, like humans, they are natural hosts for wild-type AAV. This animal model may therefore be better suited for assessing safety and efficacy of novel gene therapy strategies as we begin to understand, more fully, the implications of vector immunity and tropism.1,7 Our data indicate that peripheral venous administration of scAAV vector encoding hFIX in rhesus macaques results in safe and efficient transduction of the liver even in animals with preexisting immunity resulting from natural infection with wild-type virus. These results have significant implications for the design of future clinical trials with AAV vectors for HB and other disorders affecting the liver.
Materials and methods
scAAV-hFIX vector production and purification
The scAAV vector encoding hFIX has been previously described.1 In brief, the key elements include a liver-specific regulatory element (LP1) that consists of the core domains from the human apolipoprotein hepatic control region and the human alpha-1–antitrypsin gene promoter followed by a codon-optimized hFIX cDNA. The scAAV vectors were made by the adenovirus-free transient transfection method described before, using an adenoviral helper plasmid and chimeric AAV2 Rep-5Cap and AAV2 Rep-8Cap packaging plasmid called pLT-RCO3 and pAAV8-24 to generate AAV5- and AAV- pseudotyped vector particles, respectively. The scAAV2/5 and scAAV2/8 vectors were purified and characterized as described before.14 Vector genome (vg) titers were determined by our previously described quantitative slot-blot analysis using supercoiled plasmid DNA as standards.11 Importantly, each scAAV particle was calculated as containing 2 copies of single-stranded viral genomes. The purified vector stocks were consistently free of contamination with wild-type AAV and cellular and adenoviral proteins as judged by our previously described methods.11,14
Animal studies
All procedures were performed in accordance with institutional guidelines under protocols approved by the Institutional Biosafety Committee and the Institutional Animal Care and Use Committee at St Jude Children's Research Hospital and the University of Tennessee Health Science Center, Memphis. All animal work carried out in the United Kingdom was performed under the authority of the UK Home Office Project and Personal Licences regulations and was compliant with the guidelines of the University College London ethical review committee. Captive-bred male Macaca mulatta between 3 and 6 years of age and weighing between 4 and 9 kg were purchased from Charles River Laboratories (Sierra, NV). In some animals, vector particles were infused into the mesenteric circulation as described before.15 Peripheral vein infusion entailed insertion of a 20 or 22 gauge intravenous catheter into the saphenous vein of an anesthetized macaque. The vector was diluted in PBS to a final volume that was 10 mL/kg of the total body weight of the macaque and was then infused through the catheter via a standard giving set over 30 minutes while monitoring the animal's vital signs and oxygen saturation. The complete blood count (CBC), serum chemistry, and coagulation profile were performed by ANTECH Diagnostics (Southaven, MS). Serum interleukin-6 (IL-6) levels were assessed using an IL-6 immunoassay kit (R&D Systems, Oxford, United Kingdom) as per manufacturer's instruction.
Determination of FIX levels
Human FIX antigen levels in rhesus samples were determined by enzyme-linked immunosorbent assay (ELISA) according to the previously described methods.15 The antigen values obtained with the standards consisting of serial dilutions of affinity-purified FIX (Sigma, Poole, United Kingdom) correlated well with the expected values when assessed head to head with serial dilutions of human normal pooled plasma (NPP) in naive rhesus plasma (Technoclone, Vienna, Austria) and dilutions of affinity-purified FIX obtained from another vendor (Enzyme Research Laboratories, South Bend, IN). Determination of the biologic activity of human FIX in rhesus plasma entailed coating wells of microtiter plates overnight with 50 μL of the rhesus polyclonal antihuman serum followed by immunocapture of the human FIX antigen in test samples or naive rhesus plasma spiked with 1:100 dilutions of varying amounts of NPP (Technoclone).16 The captured FIX was activated with 10 μL of 300 ng/mL human FXIa (Enzyme Research Laboratories) and then incubated with bovine phospholipids (91/542; National Institute for Biological Standards and Control [NIBSC], Potters Bar, United Kingdom; final concentration 3.6 μg/mL), hirudin (ZLB Behring, Marburg, Germany; final concentration 20 μg/mL), human FX (98/754; NIBSC; final concentration 1 IU/mL), and human FVIII (96/598; NIBSC; final concentration 1 IU/mL) that had been preactivated with human thrombin (89/588; NIBSC; final concentration 0.1 IU of thrombin per international unit of FVIII) in the presence of 3 mM calcium for 20 minutes at 37°C. Activation of FX was determined by adding 0.5 mM of chromogenic substrate S-2765 (Quadratech, Epsom, United Kingdom) to each well followed by quantitation of color change at 405 nm. Specificity of this assay was demonstrated by blocking FX activation with a neutralizing goat anti–human FIX antibody (Affinity Biologicals, Ontario, Canada). Standards consisting of serial dilutions of affinity-purified FIX (Sigma) based on antigen values underestimated the amount of hFIX in rhesus plasma of experimental animals as well as human NPP by 4- to 10-fold. However, our current assay showed excellent correlation with dilutions of a FIX coagulation reference standard (Technoclone). The probability of statistical difference between experimental groups was determined by 1-way analysis of variance (ANOVA) and the paired Student t test using GraphPad Prizm version 4.0 software (GraphPad, San Diego, CA).
Purification of hFIX from rhesus plasma and Western blot analysis
A total of 150 μL rhesus plasma from naive or experimental animals was applied to an immunoaffinity column prepared using our rhesus anti–human FIX IgG fraction conjugated to NHS-activated Sepharose in prepacked HiTrap columns (Amersham Biosciences, Amersham, United Kingdom). Controls consisted of an equivalent amount of fresh frozen plasma or a 1:1000 (2 mU total) dilution of lyophilized human plasma–derived FIX concentrate (Replenine; BPL, Elstree, United Kingdom). All of the bound protein was eluted with a buffer containing 1 mM benzamidine, 150 mM NaCl, and 50 mM glycine (pH 2.5) and concentrated by ultrafiltration. The purified hFIX was then separated by 10% sodium dodecyl sulfate–polyacrylamide gel electrophoresis (SDS-PAGE) and transferred to a nitrocellulose membrane prior to blotting with a 1:1000 dilution of a peroxidase-conjugated goat anti–human FIX antibody (Affinity Biologicals). Bound protein was detected using the enhanced chemiluminescence (ECL) Western blotting chemiluminescent detection system (Amersham Biosciences).
Molecular studies
To determine AAV transgene copy number, high-molecular-weight genomic DNA (10 μg) extracted from macaque tissue samples using our previously described method11,15 was digested with BsrDI, electrophoresed through a 0.8% agarose gel, transferred to a nylon membrane (Hybond-N+; Amersham Biosciences), and then hybridized with an α32P-labeled 842 bp Bst API LP1 fragment at 42°C. The intensity of the hybridization was determined using the STORM phosphorimager and ImageQuant software (Molecular Dynamics, Sunnyvale, CA). To evaluate the biodistribution of scAAV-FIX vectors, 1 μg genomic DNA extracted from various macaque tissues (obtained after a limited nonterminal laparotomy) was subjected to standard polymerase chain reaction (PCR) using primers that amplified a 617 bp region of hFIXco (5′ primer: 5′-TTTCCTGATGTGGACTATGT-3′; 3′ primer: 5′-TCATGGAAGCCAGCACAGAACATG-3′) as described previously.15 Integrity of DNA was confirmed by amplifying a 604 bp region of the rhesus β-actin gene using previously described primers.11 In addition, the transgene copy number in these tissues was confirmed and quantified using quantitative real-time PCR (Q-PCR) with the following primers and probe: 5′ primer, 5′-GGGCAAGTATGGCATCTACA-3′; 3′ primer, 5′-AAAGCATCGAGTCAGGTCAG-3′; and probe, TTGGTCTTCTCCTTGATCCAGTTCACA. The Q-PCR reaction was performed in a total volume of 25 μL containing 2× IQ Supermix (Bio-Rad, Hercules, CA) containing 0.25 μg genomic DNA. This lower limit of sensitivity for this assay was determined to be 10 viral copies per microgram of genomic DNA. To determine transgene expression, total RNA was isolated from the liver of control macaques and animals transduced with scAAV2/5-LP1-hFIXco as described before.1 Approximately 1 μg total RNA from each sample was subjected to the reverse transcription conditions using the first-strand cDNA synthesis kit for reverse transcriptase (RT)–PCR (Roche Molecular Biochemicals, Indianapolis, IN) and 5μL subjected to PCR reaction as described previously, except that GAPDH primers were used to establish equivalent loading.
Detection of anti–human FIX antibodies and anti-AAV antibodies
Plasma samples from macaques were screened for the presence of antibodies against hFIX using an ELISA. Additionally, the positive samples were subjected to a Bethesda assay. An immunocapture assay was used to detect anti-AAV–specific antibodies in rhesus plasma. These assays have been previously described and use peroxidase-labeled goat anti–rhesus or –human IgG, IgG1, IgG2, IgG4, or IgM secondary antibodies.15,17 Results were expressed as the end-point titer, defined as the reciprocal of the interpolated dilution with an absorbance value equal to 5 times the mean absorbance background value. Neutralizing antibody titers (NABs) were assessed by determining the ability of rhesus serum to inhibit transduction of 293T cells by pseudotyped scAAV vector containing the enhanced green fluorescent protein (GFP) cDNA under the control of the CMV promoter (scAAV CMV-GFP) as previously described.15,18 The NAB is expressed as the dilution that inhibited transduction of 293T cells by 50%.
Detection of rAAV genome in body fluids
Plasma, urine, and oral swabs were collected from each macaque at 48- to 72-hour intervals for a period of 2 weeks after peripheral vein administration of scAAV-LP1-hFIXco. Oral swabs were placed in PBS containing 1% penicillin/streptomycin (GIBCO BRL, Gaithersburg, MD) for 30 minutes at room temperature. All 3 types of body fluids were clarified by centrifugation at 20 000g, filtered through a 0.22 μm filter, and aliquotted prior to storage at −70°C. To detect vector genomes in these body fluids, 50 to 100 μL of the samples were incubated with 2× volume of digestion buffer (50 mM KCl, 10 mM Tris [pH 8.0], 2.5 mM MgCl2, and 0.5% Tween 20) containing 200 μg/mL proteinase K at 55°C for 3 hours. After 10 minutes at 95°C to inactivate the proteases, 5 μL of the sample was used in a Q-PCR reaction using the conditions and primers described previously. Negative samples were spiked with vector plasmid and subjected to PCR to ensure that the sample did not contain inhibitors of PCR. The sensitivity of the assay was evaluated by incubating a known concentration of scAAV2/8-LP1-hFIXco (based on slot-blot results) with pretreatment samples of plasma before extracting viral DNA and subjecting it to Q-PCR. This method could reliably detect 500 vector particles in 1 mL rhesus plasma.
Results
Rapid plasma clearance and therapeutic levels of transgene expression following peripheral vein administration of serotype 8–pseudotyped scAAV in macaques
In these studies we used our previously described scAAV vector containing the hFIX cDNA under the control of a liver-specific promoter (LP1-hFIXco).1 These scAAV vectors are better suited for comparative analysis because they dispense with the need for second-strand synthesis. Highly pure clinical grade AAV8-pseudotyped scAAV (scAAV2/8-LP1-hFIXco) particles at a dose of 1 × 1012 vg/kg were administered into the saphenous vein of 3 juvenile male rhesus macaques (M5-sc to M7-sc) as a bolus infusion over 30 minutes. These animals had low to undetectable baseline anti-AAV8 titers (mean of 2 relative units by ELISA and less than 1:20 by transduction inhibition assay [TIA]). By Q-PCR assay the scAAV2/8-LP1-hFIXco vector genomes were detectable in rhesus plasma for up to 72 hours after vector administration but not in urine or saliva. Clearance of the virus from the plasma appeared to be influenced by serotype with scAAV pseudotyped with serotype 5 capsid proteins persisting in plasma for over 7 days (Figure 1A). Despite this period of viremia, vector administration by the peripheral venous route was well tolerated without perturbation of serum IL-6 levels (less than 3 pg/mL) or liver transaminases (alanine aminotransferase less than 65 U/L) over a period of 6 weeks after gene transfer. Notably, the profile of transgene expression was identical in the 3 macaques with therapeutic levels of hFIX (ranging from 1% to 4%) detectable within 24 hours of vector administration and peaking at 72 hours (mean plasma hFIX level, 1.3 ± 0.2 μg/mL or approximately 26%). The levels declined briefly prior to reaching steady-state hFIX levels that were consistent in the plasma of each animal but varied substantially between macaques, ranging from 14% to 28% over a period of at least 9 months (Figure 1B). Mean plasma hFIX levels in these animals approached 22% (1.1 ± 0.5 μg/mL), which is only marginally lower than the level of expression reported previously (stable mean value, 1.3 ± 0.7 μg/mL) in macaques following liver-targeted delivery of 1 × 1012 vg/kg scAAV2/8-LP1-hFIXco.1 However, this difference is not significant given the relatively small number of large outbred animals and the use of different vector stocks and is therefore consistent with the strong tropism of AAV8 for the liver in nonhuman primates.
Plasma clearance of vector and human FIX expression after peripheral vein administration of scAAV2/8 in macaques. (A) Clearance of the vector from rhesus plasma was determined using a Q-PCR assay on samples collected on days 1, 3, and 7 after peripheral vein administration of scAAV2/8 (□) or scAAV2/5 (▪) vector. Standards consisting of serial dilutions of scAAV2/8-LP1-hFIXco in rhesus plasma were used to define the sensitivity of the assay. Results are expressed as mean transgene copy number per microgram of plasma derived from the 3 animals in each of the serotype 5 and 8 cohorts. (B) Human FIX concentration in rhesus plasma was determined at the indicated time points after administration of 1 × 1012 vg/kg (M5-sc, ○; M6-sc, □; and M7-sc, ▵) serotype 8–pseudotyped scAAV-LP1-hFIXco into the peripheral vein of 3 rhesus macaques. Each sample was independently evaluated on at least 3 separate occasions, and the results are depicted as an average together with the standard error of the mean.
Plasma clearance of vector and human FIX expression after peripheral vein administration of scAAV2/8 in macaques. (A) Clearance of the vector from rhesus plasma was determined using a Q-PCR assay on samples collected on days 1, 3, and 7 after peripheral vein administration of scAAV2/8 (□) or scAAV2/5 (▪) vector. Standards consisting of serial dilutions of scAAV2/8-LP1-hFIXco in rhesus plasma were used to define the sensitivity of the assay. Results are expressed as mean transgene copy number per microgram of plasma derived from the 3 animals in each of the serotype 5 and 8 cohorts. (B) Human FIX concentration in rhesus plasma was determined at the indicated time points after administration of 1 × 1012 vg/kg (M5-sc, ○; M6-sc, □; and M7-sc, ▵) serotype 8–pseudotyped scAAV-LP1-hFIXco into the peripheral vein of 3 rhesus macaques. Each sample was independently evaluated on at least 3 separate occasions, and the results are depicted as an average together with the standard error of the mean.
The scAAV-mediated human FIX expressed in macaques is biologically active
A major limitation of the nonhuman primate model is the inability to assess the biologic activity of scAAV-mediated hFIX expression, because macaques that are naturally deficient in FIX protein do not exist. Therefore, we developed a novel functional assay that relies on the unique ability of the polyclonal rhesus anti-hFIX antibodies used in the ELISA assay to selectively capture hFIX in rhesus plasma. Factor Xa (FXa) generated by the immobilized hFIX was then assessed using a 1-stage clotting assay described before.16 Standards consisted of dilutions of NPP in naive rhesus plasma. The biologic activity of hFIX was determined using a 1-stage clotting assay using a FIX coagulation reference standard. A roughly linear relationship between FXa generation as assessed by a standardized chromogenic assay and the amount of hFIX in the rhesus plasma was observed over a range of 1% and 50% (Figure 2). FX activation was not observed with naive rhesus plasma, and the specificity of this reaction was further demonstrated by abrogating FXa generation following incubation of the activated hFIX with a neutralizing anti-hFIX antibody. Using this assay, we observed a fairly strong correlation between hFIX functional activity and antigen levels in samples from our experimental macaques transduced with scAAV (Tables 1 and 2). Importantly, the biologic activity of hFIX in rhesus plasma was significantly above the 1% level required for amelioration of the bleeding phenotype in patients with severe HB. Western blot analysis of affinity-purified hFIX from rhesus plasma demonstrated a prominent 70 kDa band in the expected position for fully functional hFIX on a nonreducing protein gel, indicating that posttranscriptional modification of hFIX occurred appropriately in hepatocytes of nonhuman primates (Figure 2C).
Analysis of the functional activity of hFIX expressed in macaques. Schematic of the functional assay, which relies on the ability of the polyclonal rhesus anti-hFIX antibodies to selectively capture hFIX in rhesus plasma, which is then activated by activated factor XI. This was incubated with factor X (FX) in the presence of cofactor (FVIIIa) and phospholipids to generate activated FX (FXa). The amount of FXa is quantitated using chromogenic substrate S2765. (B) A typical standard curve obtained with our functional immunocapture assay demonstrating a relatively linear range for detection of human FIX over 1% to 50% of normal levels using dilutions of human NPP in naive rhesus plasma. (C) Western blot after affinity purification of equivalent amounts of rhesus plasma; 10% SDS-PAGE of affinity-purified hFIX. Lane 1, fresh frozen plasma (FFP) as a positive control; lane 2, sample from monkey M2-sc that received vector into the portal circulation; lane 3, sample from monkey M5-sc that received vector into the systemic circulation; lanes 4 to 6, naive rhesus plasma from 3 animals that had not been transduced with AAV vectors; lane 7 represents 2 mU of affinity-purified hFIX (Replenine) as an additional positive control.
Analysis of the functional activity of hFIX expressed in macaques. Schematic of the functional assay, which relies on the ability of the polyclonal rhesus anti-hFIX antibodies to selectively capture hFIX in rhesus plasma, which is then activated by activated factor XI. This was incubated with factor X (FX) in the presence of cofactor (FVIIIa) and phospholipids to generate activated FX (FXa). The amount of FXa is quantitated using chromogenic substrate S2765. (B) A typical standard curve obtained with our functional immunocapture assay demonstrating a relatively linear range for detection of human FIX over 1% to 50% of normal levels using dilutions of human NPP in naive rhesus plasma. (C) Western blot after affinity purification of equivalent amounts of rhesus plasma; 10% SDS-PAGE of affinity-purified hFIX. Lane 1, fresh frozen plasma (FFP) as a positive control; lane 2, sample from monkey M2-sc that received vector into the portal circulation; lane 3, sample from monkey M5-sc that received vector into the systemic circulation; lanes 4 to 6, naive rhesus plasma from 3 animals that had not been transduced with AAV vectors; lane 7 represents 2 mU of affinity-purified hFIX (Replenine) as an additional positive control.
Summary of gene transfer efficiency after peripheral vein delivery of scAAV2/8-LP1-hFIXco
| Monkey . | Wt, kg . | Steady-state hFIX antigen level, % of normal . | hFIX biologic activity, % of normal . | Transgene copy no. per diploid genome* . | Duration of expression, d . |
|---|---|---|---|---|---|
| M5-sc | 4.9 | 28 ± 4 | 21 ± 4 | 47 | > 401 |
| M6-sc | 5.7 | 16 ± 4 | 12 ± 4 | 45 | > 311 |
| M7-sc | 4.3 | 14 ± 1 | 12 ± 3 | 40 | > 292 |
| Monkey . | Wt, kg . | Steady-state hFIX antigen level, % of normal . | hFIX biologic activity, % of normal . | Transgene copy no. per diploid genome* . | Duration of expression, d . |
|---|---|---|---|---|---|
| M5-sc | 4.9 | 28 ± 4 | 21 ± 4 | 47 | > 401 |
| M6-sc | 5.7 | 16 ± 4 | 12 ± 4 | 45 | > 311 |
| M7-sc | 4.3 | 14 ± 1 | 12 ± 3 | 40 | > 292 |
Transgene copy number estimated by Southern blot analysis.
Efficient transduction with scAAV2/5 in macaques with preexisting immunity to AAV8
| Monkey . | Weight, kg . | Primary exposure . | Pretreatment anti-AAV8 titers, relative units . | Pretreatment anti-AAV5 titers, relative units . | Transduction efficiency and immune response following administration of scAAV2/5-LP1-hFIXco . | |||||
|---|---|---|---|---|---|---|---|---|---|---|
| Route . | Stable hFIX level, % of normal . | hFIX biological activity, % of normal . | Transgene copy no. per diploid genome* . | Anti-hFIX antibodies . | Duration of expression, d . | |||||
| M8-sc | 5.9 | Wild-type AAV8 | 29 | 2 | IV | 11 ± 1 | 8 ± 3 | 31 | Yes | < 35 |
| M9-sc | 8.9 | Wild-type AAV8 | 32 | 2 | IV | 12 ± 2 | 8 ± 3 | 62 | No | > 271 |
| M3-sc | 5.5 | scAAV2/8 | 41 | 3 | IV | 35 ± 5 | 27 ± 4 | ND | No | > 187 |
| 328 | 7.5 | Wild-type AAV8 | 67 | 2 | MV | 8 ± 2 | 5 ± 2 | 29 | No | > 187 |
| Monkey . | Weight, kg . | Primary exposure . | Pretreatment anti-AAV8 titers, relative units . | Pretreatment anti-AAV5 titers, relative units . | Transduction efficiency and immune response following administration of scAAV2/5-LP1-hFIXco . | |||||
|---|---|---|---|---|---|---|---|---|---|---|
| Route . | Stable hFIX level, % of normal . | hFIX biological activity, % of normal . | Transgene copy no. per diploid genome* . | Anti-hFIX antibodies . | Duration of expression, d . | |||||
| M8-sc | 5.9 | Wild-type AAV8 | 29 | 2 | IV | 11 ± 1 | 8 ± 3 | 31 | Yes | < 35 |
| M9-sc | 8.9 | Wild-type AAV8 | 32 | 2 | IV | 12 ± 2 | 8 ± 3 | 62 | No | > 271 |
| M3-sc | 5.5 | scAAV2/8 | 41 | 3 | IV | 35 ± 5 | 27 ± 4 | ND | No | > 187 |
| 328 | 7.5 | Wild-type AAV8 | 67 | 2 | MV | 8 ± 2 | 5 ± 2 | 29 | No | > 187 |
Transgene copy number estimated by Southern blot analysis.
IV indicates peripheral vein delivery; ND, not done; MV, mesenteric vein delivery.
Molecular configuration and biodistribution of scAAV2/8-LP1-hFIXco after peripheral vein administration of vector
Liver biopsies were obtained 1 month after peripheral venous administration of scAAV2/8-LP1-hFIXco and analyzed by Southern blot analysis to establish hepatocyte gene transfer efficiency at a molecular level. The overall vector genome copy number in liver cells by Southern blot analysis was roughly the same in all 3 animals, with a mean of 44 copies per diploid genome (c/dg; Table 1). This is lower than the transgene copy number observed after liver-targeted delivery (mean of 68 c/dg in M1-sc and M2-sc) of the same dose of scAAV in nonhuman primates, but its significance is again unclear given the small number of animals and the administration of different vector stocks in large outbred animals.1 Most of the scAAV2/8 genome persisted as high-molecular-weight concatamers (about 90%) or circular monomers (about 10%) based on the migration pattern of undigested genomic DNA (data not shown). Genomic DNA extracted from various abdominal tissues and the testes at 1 month after peripheral vein administration of 1 × 1012 vg/kg scAAV2/8-LP1-hFIXco was next subjected to semiquantitative PCR and Q-PCR techniques to assess vector biodistribution. For comparison, DNA samples from the same tissues extracted at 1 month after liver-targeted administration of 1 × 1012 vg/kg scAAV2/8-LP1-hFIXco in 2 macaques described before were concomitantly analyzed for vector genomes.1 The pattern of vector distribution was consistent for both PCR assays with the liver being preferentially transduced with scAAV2/8-LP1-hFIXco in nonhuman primates irrespective of the route of vector administration (Figure 3). The mean transgene copy number in the liver by Q-PCR was 4 and 19 following peripheral and mesenteric vein administration of scAAV2/8, respectively. This is significantly lower than the transduction efficiency estimated by conventional Southern blot analysis (Table 1), and may be a reflection of differences in the method of quantitation.
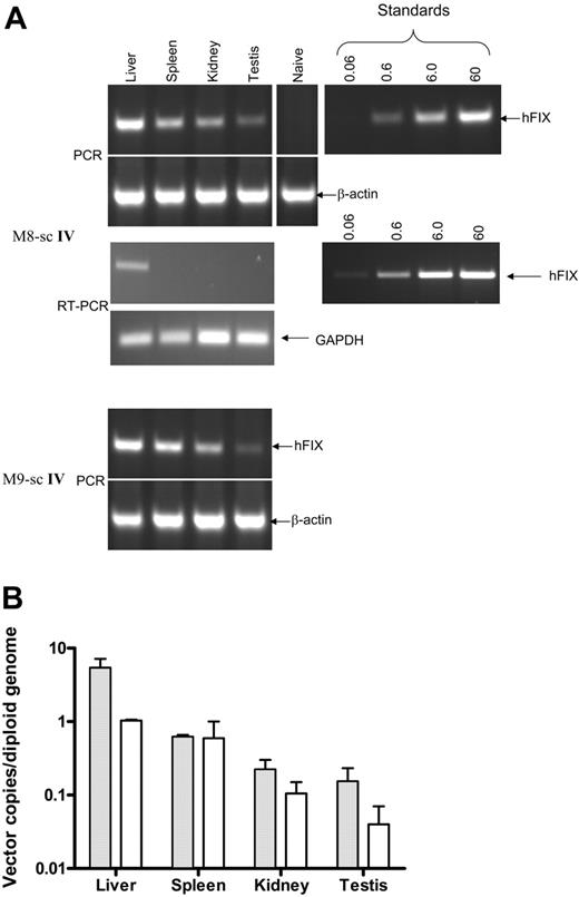
Biodistribution of AAV vector following mesenteric and peripheral vein administration of scAAV2/8-LP1-hFIXco. (A) Results of semiquantitative PCR analysis in which 1 μg genomic DNA, isolated from the indicated organs at 4 weeks after administration of 1 × 1012 vg/kg scAAV2/8 particles via the mesenteric (top 2 panels) or peripheral venous route, was subjected to PCR using primers unique to hFIXco and designed to amplify a 617 bp product. Integrity of the DNA was determined by amplifying a 604 bp region of the rhesus β-actin gene and is shown at the bottom of each panel. (B) Q-PCR reactions were performed in duplicate to quantitate transgene copy number in each organ after peripheral (⊡, n = 3) and mesenteric (□, n = 2) vein administration of scAAV2/8. The results are represented as vector copy number per diploid genome together with standard errors of mean.
Biodistribution of AAV vector following mesenteric and peripheral vein administration of scAAV2/8-LP1-hFIXco. (A) Results of semiquantitative PCR analysis in which 1 μg genomic DNA, isolated from the indicated organs at 4 weeks after administration of 1 × 1012 vg/kg scAAV2/8 particles via the mesenteric (top 2 panels) or peripheral venous route, was subjected to PCR using primers unique to hFIXco and designed to amplify a 617 bp product. Integrity of the DNA was determined by amplifying a 604 bp region of the rhesus β-actin gene and is shown at the bottom of each panel. (B) Q-PCR reactions were performed in duplicate to quantitate transgene copy number in each organ after peripheral (⊡, n = 3) and mesenteric (□, n = 2) vein administration of scAAV2/8. The results are represented as vector copy number per diploid genome together with standard errors of mean.
Among the extrahepatic tissues, the spleen was most consistently transduced with a mean provirus copy number of 0.16 and 0.1 c/dg after liver-targeted and peripheral vein administration of scAAV2/8, respectively. Dissemination of vector to the kidney and testis was variable, with the transgene being detectable in some animals but not others for reasons that remain unclear. The testes were least efficiently transduced with a mean transgene copy number by the Q-PCR assay of 0.01 and 0.03 c/dg after mesenteric and peripheral vein administration of scAAV2/8, respectively. Therefore, based on this limited analysis, transduction of the nonhepatic tissue by scAAV2/8-LP1-hFIXco is not substantially influenced by the route of vector administration in macaques. This is consistent with our previous observation in mice.7
Vectors pseudotyped with AAV5 capsid proteins can mediate efficient gene transfer in nonhuman primates with preexisting immunity to AAV8
An unresolved issue is the ability of AAV vectors based on alternative serotype to overcome preexisting natural immunity to the wild-type virus. We therefore administered 1 × 1012 vg/kg scAAV-LP1-hFIXco vector, pseudotyped with AAV5 capsid, into the saphenous vein of 2 juvenile male rhesus macaques (M8-sc and M9-sc) with modest titers of anti-AAV8 antibodies (mean of 32 relative units and less than 1:720 by ELISA and TIA, respectively) resulting from previous natural infection with wild-type AAV8. These anti-AAV8 titers are significantly above our previously established threshold (less than 3 relative units and less than 1:20 by ELISA and TIA, respectively) for efficient transduction with AAV8-pseudotyped vectors.1 Two additional macaques (328 [M8-2] and M3-sc) that had previously received an infusion of AAV8-pseudotyped vector into the mesenteric vein and therefore had significantly higher titers of anti-AAV8 antibodies (at 67 and 41 relative units, respectively) were also transduced with scAAV2/5-LP1-hFIXco.1,7 M3-sc, after initial successful transduction with 4 × 1011 vg/kg scAAV2/8-LP1-hFIXco, was expressing hFIX at 1% of normal at the time of peripheral vein infusion of 1 × 1012 vg/kg scAAV-LP1-hFIXco pseudotyped with serotype 5 capsid. In contrast, transduction with conventional single-stranded AAV8-pseudotyped vector (rAAV2/8 HCR hAAT-FIX) in monkey 328 was blocked by high preexisting anti-AAV8 antibodies arising from natural infection with wild-type virus.7 In this animal, 1 × 1012 vg/kg scAAV2/5-LP1-hFIXco from the same vector stock was infused into the mesenteric vein instead of the peripheral venous route for comparison (Table 2). The baseline anti-AAV5 titers in all 4 animals were low at a mean of 2 relative units by ELISA.
Despite preexisting immunity to AAV8, administration of scAAV2/5-LP1-hFIXco by the peripheral venous route was well tolerated without perturbation of serum IL-6 levels or liver transaminases over a period of 6 weeks after gene transfer. The kinetics of transgene expression after peripheral vein administration of scAAV2/5-LP1-hFIXco was slower when compared with serotype 8–pseudotyped vectors. Human FIX was undetectable at 24 hours in M8-sc and M9-sc and reached mean peak levels of 1.3 ± 0.3 μg/mL (about 26%) on day 7 after gene transfer instead of day 3 with scAAV2/8 vectors (Figure 4A). Liver-targeted delivery of 1 × 1012 vg/kg scAAV2/5-LP1-hFIXco in monkey 328 resulted in a similar expression profile with peak hFIX levels of 1.2 ± 0.1 μg/mL achieved by 7 days after gene transfer. These levels of plasma hFIX are similar to those previously reported by us following liver-targeted delivery of 1 × 1012 vg/kg scAAV2/5-LP1-hFIXco in a macaque (M4-sc) with preexisting immunity to AAV8.1 Extended follow-up in M4-sc is shown in Figure 4B for comparison. The delay in transgene expression may reflect slower uncoating of AAV5 capsid to release the provirus in nonhuman primates when compared with AAV8, reported previously in murine liver.7,8 Steady-state plasma hFIX levels in M9-sc, M3-sc, and 328 after gene transfer with scAAV2/5-LP1-hFIXco were 0.6 ± 0.1 μg/mL (about 12%), 1.7 ± 0.2 μg/mL (about 35%), and 0.4 ± 0.1 μg/mL (about 8%), respectively, (Figure 4) over a period of at least 6 months. These levels are comparable to levels achieved with serotype 8–pseudotyped scAAV vector. The mean transgene copy number at 1 month after peripheral and mesenteric vein administration of scAAV2/5-LP1-hFIXco was 47 and 39 c/dg, respectively, (Table 2 and Nathwani et al1 ) indicating that peripheral and mesenteric vein administration of scAAV2/5 results in similar transduction efficiency in nonhuman primates.
Transduction of rhesus macaques following peripheral vein administration of scAAV2/5. (A) Human FIX concentration in rhesus plasma was determined at the indicated time points after peripheral vein administration of 1 × 1012 vg/kg scAAV vector pseudotyped with serotype 5 capsid (M3-sc, ⋄; M8-sc, □; M9-sc, ○) into 3 rhesus macaques with moderate to high titers of anti-AAV8 antibodies. (B) Human FIX expression in rhesus plasma was determined at the indicated time points after mesenteric vein administration of 1 × 1012 vg/kg scAAV vector pseudotyped with serotype 5 capsid (328, ▿) of a macaque with high titers of anti-AAV8 antibody. Extended expression profile of a macaque previously transduced with scAAV2/5-LP1-hFIXco (M4-sc, □) is shown for comparison. Each sample was independently evaluated on at least 3 separate occasions, and the results are depicted as an average together with the standard error of the mean.
Transduction of rhesus macaques following peripheral vein administration of scAAV2/5. (A) Human FIX concentration in rhesus plasma was determined at the indicated time points after peripheral vein administration of 1 × 1012 vg/kg scAAV vector pseudotyped with serotype 5 capsid (M3-sc, ⋄; M8-sc, □; M9-sc, ○) into 3 rhesus macaques with moderate to high titers of anti-AAV8 antibodies. (B) Human FIX expression in rhesus plasma was determined at the indicated time points after mesenteric vein administration of 1 × 1012 vg/kg scAAV vector pseudotyped with serotype 5 capsid (328, ▿) of a macaque with high titers of anti-AAV8 antibody. Extended expression profile of a macaque previously transduced with scAAV2/5-LP1-hFIXco (M4-sc, □) is shown for comparison. Each sample was independently evaluated on at least 3 separate occasions, and the results are depicted as an average together with the standard error of the mean.
In M8-sc, hFIX expression was abrogated by anti-hFIX antibodies that were detected at 5 weeks (2 Bethesda inhibitor assay units [BIAU]/mL) after gene transfer. The coagulation screen in this animal was normal, however, suggesting that the antibody did not cross-react with rhesus FIX. In addition, the development of this inhibitor was not associated with hepatotoxicity or nephrotic syndrome as assessed by biochemical analyses of plasma and urine.
Biodistribution and immune response of AAV5-pseudotyped scAAV is distinct
The biodistribution profile after peripheral and mesenteric vein administration of 1 × 1012 vg/kg scAAV2/5-LP1-hFIXco differed from that observed with an equivalent dose of scAAV2/8 vectors (Figure 5). While most of the vector genomes were detected in the liver, the spleen, kidney, and testis were consistently transduced with serotype 5–pseudotyped scAAV, though to a substantially lower degree than the liver. The mean provirus copy number in the spleen was 0.62 and 0.59 c/dg after liver-targeted and peripheral vein administration of scAAV2/5-LP1-hFIXco, respectively, by Q-PCR, which is at least 4-fold higher then with scAAV2/8 vector. These results suggest that there are significant differences in the tropism of AAV5 and AAV8 vectors in nonhuman primates, perhaps due to distinctive receptor profiles or processing of the viral genomes. As before, RT-PCR analysis demonstrated the fidelity of the LP1 expression cassette with transcript being detectable only in the liver despite the significant “spillover” of vector to the spleen and kidneys (Figure 5A).
Biodistribution of scAAV2/5-LP1-hFIXco following peripheral vein administration of scAAV2/5. (A) One microgram of genomic DNA, isolated from the indicated organs 4 weeks after peripheral vein administration of 1 × 1012 vg/kg scAAV2/5 particles in M8-sc (top set of panels) and M9-sc (bottom set of panels), was subjected to PCR using primers unique to hFIXco designed to amplify a 617 bp product. Integrity of the DNA was determined by amplifying a 604 bp region of the rhesus β-actin gene and is shown at the bottom of these panels. The middle panel is RT-PCR analysis of RNA extracted from the organs of M8-sc. Integrity of the RNA was determined by amplifying a 295 bp region of the rhesus GAPDH gene and is shown at the bottom of the panel. (B) Q-PCR reactions were performed in duplicate on genomic DNA to establish transgene copy number in each organ after peripheral (⊡, n = 3) and mesenteric (□, n = 2) vein administration of scAAV2/5. The results are represented as vector copy number per diploid genome together with standard errors of mean.
Biodistribution of scAAV2/5-LP1-hFIXco following peripheral vein administration of scAAV2/5. (A) One microgram of genomic DNA, isolated from the indicated organs 4 weeks after peripheral vein administration of 1 × 1012 vg/kg scAAV2/5 particles in M8-sc (top set of panels) and M9-sc (bottom set of panels), was subjected to PCR using primers unique to hFIXco designed to amplify a 617 bp product. Integrity of the DNA was determined by amplifying a 604 bp region of the rhesus β-actin gene and is shown at the bottom of these panels. The middle panel is RT-PCR analysis of RNA extracted from the organs of M8-sc. Integrity of the RNA was determined by amplifying a 295 bp region of the rhesus GAPDH gene and is shown at the bottom of the panel. (B) Q-PCR reactions were performed in duplicate on genomic DNA to establish transgene copy number in each organ after peripheral (⊡, n = 3) and mesenteric (□, n = 2) vein administration of scAAV2/5. The results are represented as vector copy number per diploid genome together with standard errors of mean.
The kinetics of the immune response after peripheral vein administration of scAAV2/5 and scAAV2/8 vectors was similar and did not appear to be significantly influenced by the route of administration (Figure 6). For both pseudotypes anti-AAV IgM antibodies peaked at 7 days after gene transfer and then declined to baseline levels by 6 weeks. Anti-AAV IgG titers increased from baseline values at approximately 7 days after vector administration and reached peak values by 9 weeks (Figure 6A), which were stably maintained for almost 200 days. Anti-AAV IgG1 levels increased in parallel with total IgG values while IgG2 and IgG3 levels did not rise significantly above baseline (Figure 6B). The magnitude of humoral immunity for the 2 serotypes was, however, quite different. Anti-AAV5 IgG antibody titers were at least 25-fold higher than corresponding values in the scAAV8-transduced macaques. NAB as assessed by the TIA increased in parallel with the anti-AAV IgG levels in both the scAAV5 and scAAV8 cohorts (data not shown).
Humoral immune response after mesenteric or peripheral vein administration of scAAV vector. (A) Plasma obtained from macaques after peripheral (M5-sc, ○; M6-sc, □; M7-sc, ▵) or mesenteric vein (M1-sc, broken line and •; M2-sc, broken line and ♦; see Nathwani et al1 ) administration of scAAV2/8-LP1-hFIXco was analyzed for the presence of AAV8-specific IgG by ELISA (left-hand panel). AAV5-specific IgG titers after peripheral (M8-sc, □; M9-sc, ○) or mesenteric vein (328, broken line and ▾; M4-sc, broken line and ▪) administration of scAAV2/5-LP1-hFIXco are shown in the right-hand panel. (B) Specific isotype profiles of the humoral immune response after administration of scAAV2/8-LP1-hFIXco and scAAV2/5-LP1-hFIXco, respectively (IgM, □; IgG1, ○; IgG2, ▵; IgG4, ⋄).
Humoral immune response after mesenteric or peripheral vein administration of scAAV vector. (A) Plasma obtained from macaques after peripheral (M5-sc, ○; M6-sc, □; M7-sc, ▵) or mesenteric vein (M1-sc, broken line and •; M2-sc, broken line and ♦; see Nathwani et al1 ) administration of scAAV2/8-LP1-hFIXco was analyzed for the presence of AAV8-specific IgG by ELISA (left-hand panel). AAV5-specific IgG titers after peripheral (M8-sc, □; M9-sc, ○) or mesenteric vein (328, broken line and ▾; M4-sc, broken line and ▪) administration of scAAV2/5-LP1-hFIXco are shown in the right-hand panel. (B) Specific isotype profiles of the humoral immune response after administration of scAAV2/8-LP1-hFIXco and scAAV2/5-LP1-hFIXco, respectively (IgM, □; IgG1, ○; IgG2, ▵; IgG4, ⋄).
Discussion
This is the first study to have systematically evaluated the outcome of peripheral vein administration of scAAV vectors encoding hFIX in large outbred nonhuman primates. Safe and efficient transduction of the liver resulting in mean steady-state plasma hFIX expression at approximately 22% and 26% of normal levels was observed after peripheral vein administration of 1 × 1012 vg/kg scAAV vector pseudotyped with serotype 8 and 5 capsid proteins, respectively. Notably, successful transduction was achieved in macaques with preexisting immunity to AAV resulting from natural infection with wild-type virus after peripheral venous administration of vectors based on alternative serotypes of AAV. Using a novel assay, we established that hFIX expressed in macaques after AAV-mediated gene transfer is biologically active with functional hFIX levels that were substantially higher than the threshold required for amelioration of the bleeding diathesis in HB patients. Both AAV5- and AAV8-pseudotyped vectors appear to have a remarkable tropism for the liver in nonhuman primates as reflected by the similar pattern of vector biodistribution and equivalent level of transgene expression after peripheral vein and liver-targeted delivery of scAAV. For patients with severe bleeding diathesis such as HB, these data are significant because the peripheral venous route of vector delivery is a technically less complex and risky procedure than selective catheterization of the hepatic artery, as used in a recent clinical trial.12
Our results with serotype 5–pseudotyped scAAV in macaques are at variance with the previously reported lower levels of transduction following systemic delivery of vector when compared with portal vein administration of the same vector dose in mice.6,19 Also at odds is the similar high transduction efficiency observed with scAAV vectors pseudotyped with either serotype 5 or 8 capsid in macaques after peripheral venous or liver-targeted delivery of vector. This contrasts with between 10- to 100-fold higher potency of AAV8 vectors in mice when compared with AAV2 or AAV5 vectors.1,4,7,8 These species-specific differences may be due to divergent AAV receptor distribution profiles or intracellular processing of vector and raise questions about using the murine model for screening suitable candidate serotypes for the purpose of human gene therapy.
Route of administration and vector dose have been shown by us and others to influence spillover of vector to nontarget tissues as well as the immune response to the transgene and viral capsid proteins in murine models.11,13,20,21 Vector biodistribution in nonhuman primates did not appear to be significantly influenced by the route of administration. We did, however, note significantly higher spillover to nonhepatic tissues with AAV5-pseudotyped vector. Similarly, the humoral immune response to the viral capsid was not influenced by route of vector administration. However, serotype-specific differences in the magnitude of the immune response were observed for reasons that are unknown at present, but may be due to more efficient uptake of antigen-presenting cells by scAAV2/5 vectors. Qualitatively, an increase in the IgG2 subclass was observed after liver-targeted and peripheral venous administration of serotype 5 and 8 vectors, which contrasts with the previously reported IgG2 response after intramuscular delivery of AAV2 in macaques and may reflect differences in serotype or route of vector administration.17 Overall, these results suggest that scAAV vectors pseudotyped with serotype 8 capsid proteins are preferable for liver transduction via the peripheral venous route because of equivalent potency, more rapid increases in transgene levels, less profound immune responses, and more limited biodistribution when compared with scAAV2/5 vectors.
As with liver-targeted delivery of scAAV vectors, neutralizing antibodies to hFIX occurred in one macaque following peripheral vein administration of scAAV2/5-LP1-hFIXco.1 However, this was not observed in other animals given the same dose from the same vector stock and expressing similar levels of hFIX. M8-sc also mounted a robust anti-AAV5 antibody response; however, we have not observed a correlation between inhibitor formation and the magnitude of humoral response to the capsid protein in other animals that have developed anti-hFIX antibody response.1,7,15 Epitope mapping studies have previously suggested that species-specific differences in the human and rhesus FIX proteins are responsible for provoking this humoral response to the transgene although the precise mechanism for the anti-hFIX antibody response in macaques is unclear.1 In the context of gene therapy for HB, most of the eligible patients will have a missense mutation and will have received numerous exposures to factor IX protein concentrates, thus making them less likely to develop inhibitors. Importantly, however, we have previously shown that this humoral response to the transgene product can be successfully eradicated with rituximab-containing immunosuppressive regimens.1
An important observation of our present study is the ability to mediate safe and effective gene transfer after peripheral or mesenteric vein administration of scAAV vectors pseudotyped with serotype 5 capsid proteins in macaques with varying degrees of immunity to AAV8 resulting from wild-type infection or exposure to AAV8 vector. This is consistent with our previous reports in macaques, and collectively these studies suggests that there is little immune cross-reactivity between AAV serotypes in nonhuman primates.1,7 This encourages us to believe that immunity to AAV2, which is highly prevalent in humans, can be circumvented by using scAAV vectors pseudotyped with serotype 5 or 8 capsid proteins. Additionally, our nonhuman primate studies may have helped to resolve the ethical dilemma of exposing patients to low doses of vector such as scAAV2/8 that have little prospect of being efficacious but through development of serotype-specific antibodies would render these individuals refractory to further treatment with this vector. Because of the equivalent potency of AAV5 and AAV8 vectors in nonhuman primates, it is highly likely that these individuals can be effectively treated at a later time point with suitable doses of vector pseudotyped with AAV5 capsid, should our strategy ultimately prove to be successful.
In summary, our study has established that a simple bolus infusion of AAV vectors into the peripheral venous circulation is safe and highly effective at transducing the liver in nonhuman primates. This mode of vector delivery is highly desirable for patients with a bleeding diathesis such as HB but is likely to have a much wider appeal because of its simplicity and efficiency.
Authorship
Contribution: A.C.N. wrote the paper, directed the nonhuman primate studies, and designed the functional assay to determine biologic activity of human FIX in rhesus plasma; J.T.G. was responsible for generating vector particles for the experiments and established the Q-PCR assay; J.M. determined anti–human FIX antibody titers by ELISA and Bethesda assay, determined human FIX levels in rhesus plasma, and performed the affinity purification and Western blot analysis; C.Y.C.N. determined transduction efficiency in nonhuman primates by Southern blot analysis; J.Z. performed the semiquantitative PCR studies; Y.S. generated vector nonhuman primate studies and performed the Q-PCR studies; M.C. determined the humoral response to AAV capsid; E.G. and E.G.D.T. designed the functional assay to determine biologic activity of human FIX in rhesus plasma; and A.M.D. wrote the paper and designed, directed, and performed the nonhuman primate studies.
Conflict-of-interest disclosure: The authors declare no competing financial interests.
Correspondence: Amit C. Nathwani, Department of Haematology, University College London, 98 Chenies Mews, London, United Kingdom, WC1E 6HX; e-mail: a.nathwani@ucl.ac.uk.
The publication costs of this article were defrayed in part by page charge payment. Therefore, and solely to indicate this fact, this article is hereby marked “advertisement” in accordance with 18 USC section 1734.
Acknowledgments
This work was supported by the Assisi Foundation of Memphis; the American Lebanese Syrian Associated Charities (ALSAC); National Heart, Lung, and Blood Institute (NHLBI) grant HL073838; the Katharine Dormandy Trust, United Kingdom; the National Blood Service (R&D research grant BS02/1/RB28); and the Department of Health, United Kingdom.






This feature is available to Subscribers Only
Sign In or Create an Account Close Modal