Abstract
MLL translocations in adult B-cell precursor (BCP) acute lymphoblastic leukemia (ALL) are largely restricted to the immature CD10− immunophenotypes. MLL-AF4 is known to be the most frequent fusion transcript, but the exact frequencies of MLL aberrations in CD10− adult BCP-ALL are unknown. We present a genetic characterization of 184 BCR-ABL− CD10− adult ALL cases (156 cyIg−, 28 cyIg+) diagnosed between 2001 and 2007 at the central diagnostic laboratory of the GMALL study group. Patient samples were investigated by RT-PCR for MLL-AF4, MLL-ENL, and MLL-AF9 and by long-distance inverse polymerase chain reaction, thus also allowing the identification of unknown MLL fusion partners at the genomic level. MLL-AF4 was detected in 101 (54.9%) and MLL-ENL in 11 (6.0%) cases. In addition, rare MLL fusion genes were found: 2 MLL-TET1 cases, not previously reported in ALL, 1 MLL-AF9, 1 MLL-PTD, a novel MLL-ACTN4, and an MLL-11q23 fusion. Chromosomal breakpoints were determined in all 118 positive cases, revealing 2 major breakpoint cluster regions in the MLL gene. Characteristic features of MLL+ patients were significantly lower CD10 expression, expression of the NG2 antigen, a higher white blood count at diagnosis, and female sex. Proposals are made for diagnostic assessment. The clinical studies are registered at http://www.clinicaltrials.gov as NCT00199056 and NCT00198991.
Introduction
Molecular aberrations involving the mixed lineage leukemia (MLL) gene on 11q23 are found in 5% to 10% of acute leukemia cases.1 In B-cell precursor (BCP) acute lymphoblastic leukemia (ALL), these aberrations are largely restricted to the immature CD10− immunophenotypes (pro-B and CD10− pre-B). The translocation t(4;11)(q22;q23) with MLL-AF4 (MLL-AFF1) fusion is known to be the most prevalent MLL fusion gene in ALL, but precise and reliable data regarding the prevalence of the different MLL fusion partner genes, that is, the MLL “recombinome” in adult ALL are lacking. Knowledge of the MLL recombinome is warranted, since MLL fusions are of interest in detecting minimal residual disease in affected patients2,3 and also because controversy exists over whether adult ALL patients with pro-B ALL immunophenotype with or without MLL aberration might have a different prognosis.4-6 We report our experience within the framework of the German Multicenter Therapy Trials for Adult ALL (GMALL) between January 2001 and October 2007 at the central diagnostic laboratory of the GMALL study group.
We investigated 184 patients with a CD10− BCP immunophenotype by reverse transcription polymerase chain reactions (RT-PCRs) for different MLL fusion genes. Since the chromosomal breakpoints in the MLL gene cluster in a relatively restricted region between exons 8 and 13 (numbering according to Nilsson et al7 ), encompassing approximately 8.2 kb, we additionally investigated all samples by a recently published long-distance inverse polymerase chain reaction (LDI-PCR) method that also allowed the identification of unknown MLL translocation partners at the DNA level.
Methods
Patient material
Bone marrow (n = 136) and peripheral blood (n = 45) samples (n = 3 samples unspecified) were obtained for diagnostic purposes within the framework of the GMALL therapy studies 6/99 and 7/03 between January 2001 and October 2007. A list of GMALL study participants appears in the Supplemental Materials and Methods (available on the Blood website; see the Supplemental Materials link at the top of the online article). All samples were taken at the time of primary diagnosis and had a high blast count, as revealed by flow cytometry. The genetic investigations were done retrospectively and prospectively on archived residual material. Preparation of samples, immunophenotyping, and all RT-PCR investigations were performed at the central diagnostic laboratory of the GMALL study group in Berlin. The samples were obtained within clinical studies that were approved by the institutional ethics committees of all participating institutions. The study design and our investigations were conducted in accordance with the Declaration of Helsinki.
Nucleic acid isolation and reverse transcription
Total RNA was isolated using the TRIzol method (Invitrogen, Carlsbad, CA) or the RNEasy kit (QIAGEN, Hilden, Germany). Genomic DNA was isolated using the PureGene Kit (Gentra Systems, Minneapolis, MN). Reverse transcription was done using the Ready-To-Go Beads (Amersham Biosciences, Piscataway, NJ) following the protocol as recommended by the supplier.
PCR for BCR-ABL, MLL-AF4, MLL-ENL, and MLL-AF9
All cDNA samples were investigated for BCR-ABL by 2 different PCR methods as described recently.8 These 2 PCR methods each included an internal control reaction as a control for RNA integrity. In addition, all samples obtained before 2006 were investigated for MLL-AF4 by a nested PCR, as described elsewhere,9 and from 2006 onward, by a single-round PCR according to the BIOMED-1 recommendations.10 PCR for MLL-ENL (MLL-MLLT1) and MLL-AF9 (MLL-MLLT3) were performed basically as described by Jansen et al 11 but with slightly modified ENL primers to increase their annealing temperatures: 5′-TCTGGGCTTGGGGAAGCTGTC-3′ and 5′-CTCCTCGCCTGACGAAGAGT-3′.
In summary, each patient sample was investigated by 7 different PCRs.
PCR methods for other MLL fusion transcripts
PCR primer pairs for detecting MLL-TET1 were the following: 5′-CCGCCTCAGCCACCTAC-3′, 5′-TTCCTTGCTGCCAAGCCGACATTCT-3′ (for the patient with breakpoint in TET1 intron 8) and 5′-GATGCCTTCCAAAGCCTACCTGCAGAAG-3′, 5′-TACTTCAGGTTGCACGGTCTCAGTGTTAC-3′ (for the patient with breakpoint in TET1 intron 11). The reciprocal TET1-MLL transcripts were investigated with the primers 5′-CGTACCTGTACATGTCAAGGAATTGATCCAGAG-3′, 5′-GCCCACTACTGGCACAGAGAAAGCAAACCAC-3′ and 5′-GATCCTGTGGACTCCATCTGCTGGAA-3′, 5′-CTGCGATGATGACAGAGGTTCTTGCACAT-3′, respectively. The expression of MLL-ACTN4 and ACTN4-MLL was detected with the primer pairs 5′-CGAAAGCCCGTCGAGGAAAAGAGTG-3′, 5′-CGCTCCGGCTTAGGTAACCGCT-3′ and 5′-AGCATGGGCGACTACATGGCCCAG-3′,5′-AGATTCCTAAGCCTCCCATCTCCCACACA-3′, respectively. For the MLL-PTD–positive case, the primer pair 5′-CCGCCTCAGCCACCTAC-3′, 5′-CTTCTTGATCTTATCTCCAGATTTGGTCTC-3′ was used.
Immunophenotypic analysis
Immunophenotypic analysis was performed as outlined in detail previously9 using a FACScan and CellQuest software (Becton Dickinson, Heidelberg, Germany).4 Fluorochrome-labeled monoclonal antibodies were used in dual-staining experiments. Cell-surface antigens were considered positive when 20% or more cells showed a fluorescence intensity greater than the negative control, while the cutoff for cytoplasmic or nuclear antigens (cyIg or TdT) was 10%. The diagnosis of a pro-B ALL required expression of at least CD19, CD22 (either membrane or cytoplasmic), and TdT, but negativity for CD10, cytoplasmic immunoglobulin M (IgM; cyIg) and surface Ig (sIg). Expression of CD24 was not required for the diagnosis of a pro-B ALL, as CD24 frequently shows attenuated or absent expression in pro-B ALL.9 CD10− pre-B–ALL was diagnosed as outlined by Gleissner et al.12 Coexpression of B-lineage and myeloid antigens (CD13, CD33, CD65s, CD15) was confirmed in dual staining experiments in the majority of samples and, in a few samples with limited cell numbers for immunophenotypic analyses, by a greater than or equal to 20% overlap of CD19 positivity and expression of the respective myeloid antigen. The great majority of samples showed a very high cell count and more than 50% leukemic cells. Four samples with a lower blast count (CD19+ cells, 27%-39%) were excluded from the immunologic but not the genetic analysis.
Long-distance inverse PCR
LDI-PCR was performed at the DCAL (Frankfurt) as described previously.13 Briefly, 1 μg genomic DNA was digested with restriction enzymes and religated to form DNA circles before LDI-PCR using MLL-specific primers. Restriction polymorphic PCR amplimers were isolated from the gel and subjected to DNA sequence analyses to obtain the patient-specific fusion sequences.
DNA sequencing
DNA sequencing was performed mainly at the DCAL using standard methods on an ABI sequencer. Selected cases and MLL fusion mRNA transcripts were sequenced at the MPI (Berlin, Germany).
Results
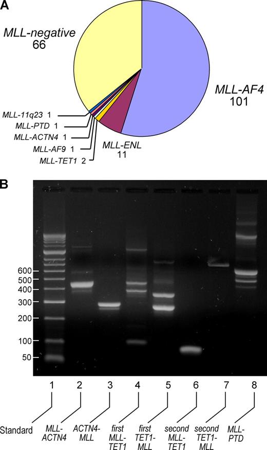
Overall, sufficient material from 184 BCR-ABL–negative patients with a CD10− BCP immunophenotype was obtained at the central diagnostic laboratory of the GMALL study group that allowed a detailed genetic analysis (Figure 1A). All samples were analyzed for MLL-AF4, MLL-ENL, and MLL-AF9 by RT-PCR. All samples, regardless whether RT-PCR positive or negative, were further analyzed by LDI-PCR to identify the chromosomal breakpoint or to disclose/exclude an MLL rearrangement. All chromosomal breakpoint sequences were submitted to the European Molecular Biology Laboratory (EMBL) nucleotide sequence database (accession numbers are listed in the Supplemental Materials and Methods). The detection rates for MLL positivity were similar in bone marrow and peripheral blood.
The MLL recombinome of adult CD10− BCP ALL. (A) The diagram shows the distribution of MLL fusion genes in 184 adult CD10− BCP ALL patients. (B) The agarose gel shows transcripts arising from rare MLL fusions. One patient had an MLL-ACTN4 fusion, 2 others an MLL-TET1 fusion. In the first MLL-TET1–positive patient, additional bands were visible, caused by the splicing of 90-bp TET1 exon 9 and a cryptic 87-bp exon in TET1 intron 8. In all 3 patients, the reciprocal transcript was also detectable.
The MLL recombinome of adult CD10− BCP ALL. (A) The diagram shows the distribution of MLL fusion genes in 184 adult CD10− BCP ALL patients. (B) The agarose gel shows transcripts arising from rare MLL fusions. One patient had an MLL-ACTN4 fusion, 2 others an MLL-TET1 fusion. In the first MLL-TET1–positive patient, additional bands were visible, caused by the splicing of 90-bp TET1 exon 9 and a cryptic 87-bp exon in TET1 intron 8. In all 3 patients, the reciprocal transcript was also detectable.
Patients' basic clinical data are summarized in Table 1MLL-AF4–positive patients had a median age of 46 years (range, 17-81 years), those with other MLL aberrations had a median age of 54 years (range, 23-72 years), while MLL-negative patients had a median age of 49.5 years (range, 17-80 years). The majority of MLL-negative patients were male (37 of 66, 56.1%) while the majority of patients with MLL aberrations were female (MLL-AF4: 65 of 101, 65%; other MLL+: 12 of 17, 70.6%; P = .011, Fisher exact test). MLL-positive patients had a significantly higher white blood count (WBC) at diagnosis (median: 123/nL, range: 0.9-721/nL, n = 74), compared with MLL-negative patients (median: 8.33/nL, range: 0.7-660/nL; n = 48; P(2) < .001, U test). One hundred one (54.9%) patients (81 cyIg−, 20 cyIg+) showed an MLL-AF4 fusion transcript. The chromosomal breakpoint in the MLL gene was identified in every case by LDI-PCR, and the distribution of breakpoints is shown in Figure 2A. Two distinct breakpoint cluster regions (bcr1 and bcr2) in the MLL gene could be distinguished. bcr1 encompassed approximately 3.5 kb from the start of intron 8 up to the first approximately 600 bp of intron 11, and bcr2 included approximately 200bp immediately at the 5′ boundary of exon 12. Ninety-five percent of breaks occurred within these 2 regions. Thirteen breaks occurred within MLL exons, one within AF4 exon 3. The relative frequency of MLL-AF4 fusion transcripts was deduced and is shown in Figure 2B. Seventy-six percent of MLL-AF4 transcripts showed a fusion of MLL to AF4 exon 4.
Basic clinical data of the patients
| . | n . | Age range, y (median) . | Sex, male/female . | WBC per nL (range) . | NG2+ . |
|---|---|---|---|---|---|
| MLL-AF4+ | 101 | 17-81 (46) | 36/65 | 141 (0.9-721), n = 64 | 94% |
| Other MLL+ | 17 | 23-72 (54) | 5/12 | 48.5 (1.4-545), n = 10 | 86.7% |
| MLL− | 66 | 17-80 (49.5) | 37/29 | 8.33 (0.7-660), n = 48 | 15% |
| . | n . | Age range, y (median) . | Sex, male/female . | WBC per nL (range) . | NG2+ . |
|---|---|---|---|---|---|
| MLL-AF4+ | 101 | 17-81 (46) | 36/65 | 141 (0.9-721), n = 64 | 94% |
| Other MLL+ | 17 | 23-72 (54) | 5/12 | 48.5 (1.4-545), n = 10 | 86.7% |
| MLL− | 66 | 17-80 (49.5) | 37/29 | 8.33 (0.7-660), n = 48 | 15% |
Chromosomal breakpoints in the MLL gene. (A) Distribution of the 118 chromosomal breakpoints between exons 7 and 13 of the MLL gene. Breakpoint locations are denoted by ●. The top row shows the 17 breakpoints in patients with MLL aberrations other than MLL-AF4; the bottom shows 101 with MLL-AF4. Two distinct breakpoint cluster regions (bcrs) can be distinguished. All sequences have been submitted to the EMBL/Genbank/DDBJ database (accession numbers listed in the Supplemental Materials and Methods). (B) Relative frequency of different MLL-AF4 mRNA transcripts as deduced from the chromosomal breakpoint locations.
Chromosomal breakpoints in the MLL gene. (A) Distribution of the 118 chromosomal breakpoints between exons 7 and 13 of the MLL gene. Breakpoint locations are denoted by ●. The top row shows the 17 breakpoints in patients with MLL aberrations other than MLL-AF4; the bottom shows 101 with MLL-AF4. Two distinct breakpoint cluster regions (bcrs) can be distinguished. All sequences have been submitted to the EMBL/Genbank/DDBJ database (accession numbers listed in the Supplemental Materials and Methods). (B) Relative frequency of different MLL-AF4 mRNA transcripts as deduced from the chromosomal breakpoint locations.
Patients with a breakpoint in bcr2 showed a tendency toward female preponderance and older age at diagnosis, but this finding was not statistically significant. In addition, the immunophenotype and WBC did not differ significantly between patients with breakpoints in bcr1 and bcr2.
The second most prevalent fusion gene was MLL-ENL in 11 cases (6.0%; 9 cyIg−, 2 cyIg+). ENL exon 2 was fused at the cDNA level to MLL exon 9 (2 patients), exon 10 (2 patients), exon 11 (6 patients), or exon 12 (1 patient). However, at the genomic level, 3 breakpoints (EMBL: AM050805, AM949727, AM050803) were found around 30 kb, 25 kb, and 25 kb 3′ of the first ENL exon indicating a spliced fusion mechanism in these cases.14 The remaining 8 breakpoints were located in ENL intron 1.
In 2 patients, a 57-year-old and a 67-year-old woman, LDI-PCR analysis revealed a MLL-TET1 fusion with chromosomal breakpoints in MLL intron 10/TET1 intron 8 and MLL intron 7/TET1 intron 11, respectively. Both breakpoints on chromosomes 11q23 (MLL-TET1) and 10q21 (TET1-MLL) were determined, and the corresponding fusion mRNA transcripts were detected by RT-PCR (Figure 1B). A hitherto unknown spliced cryptic 87-bp exon beween TET1 exon 8 and 9 was identified in the first patient. One patient, a 69-year-old woman, showed a fusion of MLL to ACTN4 on 19q13 with expression of both fusion mRNA transcripts, MLL-ACTN4 and ACTN4-MLL (Figure 1B). Another patient (female, 66 years) displayed an MLL partial tandem duplication (PTD) and a second (male, 58 years) showed a fusion of MLL intron 9 to sequences approximately 1.339 MB 3′ downstream of MLL, thus indicating a 1.373 MB interstitial deletion on 11q23. No fusion transcripts with the next 3 known same-stranded gene loci (LOC729173, OAF, POU2F3) located 350-450 kb 3′ of the breakpoint were detectable by RT-PCR in this latter case, and thus there was no evidence of a spliced fusion.
The immunophenotypic analysis showed an MLL aberration in 118 (96 cyIg−, 22 cyIg+) patients. The following antigens were significantly less frequently expressed in MLL-positive patients (Fisher exact test, cutoff 20%, P(2) < .01): CD13 (6.3% vs 26%, n = 180), CD33 (4.4% vs 24.6%, n = 177), while the following antigens were significantly more frequently expressed in MLL-positive patients: NG2 (92.2% vs 15%, n = 175), CD65s (62.4% vs 21.7%, n = 177). MLL-positive patients had a significantly lower CD10 expression than MLL-negative patients (median 1.5% vs 3.5%, U test, P(2) < .001). Positive (P) and negative (N) predictive values for MLL positivity were calculated for several variables: NG2+ (P = 93.0%, N = 85.0%), CD65s+ (P = 86.0%, N = 52.7%), CD15+ (P = 83.1%, N = 44.9%), female sex (P = 72.6%, N = 47.4%). The combination of different parameters did not yield a better positive predictive value without a decrease in negative predictive value. Thirteen of 15 evaluable patients with other MLL aberrations other than MLL-AF4 were NG2+.
All breakpoint sequences were submitted to the EMBL/GenBank/DNA Data Bank of Japan (DDBJ) database. Accession numbers are listed in the Supplemental Materials and Methods to this manuscript.
Discussion
This study evaluated a large number of BCR-ABL–negative CD10− BCP-ALL patients with respect to genetic aberrations of the MLL gene. In 101 patients (54.9%) an MLL-AF4 fusion was detected by RT-PCR. In all cases, the chromosomal breakpoint in the MLL gene could be identified by LDI-PCR, thus underlining the reliability of this method for identifying translocations in the MLL bcr. Two separate breakpoint cluster regions (bcr1 and bcr2) could be delineated (Figure 2A). Ninety-nine breaks (83%) were located in the 3.5-kb bcr1 and 12 (10.2%) in the 200-bp bcr2. Different mechanisms have been proposed to explain the clustering of breaks in bcr1 (eg, involvement of Alu element mediated recombination events), factors involved in VDJ recombination, topoisomerase II binding sites, scaffold attachment regions, apoptosis-mediated cleavage of DNA, and a role for bound RNA polymerase II in bcr2 (briefly reviewed in Meyer et al1 ). However, all these proposed mechanisms may explain breaks in bcr2, but not in bcr1. The repair mechanism leading to the chromosomal translocation is most likely a nonhomologous end-joining (NHEJ) mechanism as outlined by Reichel and coworkers.15
Eleven patients (6.0%) showed an MLL-ENL fusion, which is roughly the same prevalence as previously reported in children using cytogenetics.16 For adult ALL, only very few data concerning prevalence and prognostic impact of MLL-ENL are available. All patients revealed a fusion of ENL exon 2 to MLL exons at the RNA level. Three spliced fusions14 with chromosomal breakpoints far 5′ upstream of ENL were detected by LDI-PCR.
Two patients had an MLL-TET1 fusion. TET1 (CXXC6) was first identified as fusion partner of MLL in an AML case with trilineage dysplasia and t(10;11)(q22;q23).17 Two other AML cases with MLL-TET1 were described by Lohrsbach et al18 and Shih et al.19 The reported fusion transcripts in these 3 cases showed a fusion of MLL exons 8 and 9 to TET1 exon 9, while in the case reported by Shih et al, the TET1 exon involved was not specified. Our 2 patients are the first reported ALL patients with this fusion gene. One patient showed a fusion of MLL exon 9 to TET1 exon 9, and the other patient showed a new MLL exon 7/TET1 exon 12 fusion. Both transcripts, MLL-TET1 and TET1-MLL, were detectable, which is in line with the previously reported expression of TET1 in lymphatic tissue. In the first patient, an additional spliced TET1 exon was identified. The putative oncogenic mode of action of these fusion genes is unknown as likewise is the physiologic role of TET1. TET1 encodes a nuclear 2136–amino acid protein with a zinc-binding CXXC domain. Ono et al found various TET1 transcripts expressed in fetal heart, lung, and brain and in adult skeletal muscle, thymus, and ovary.17 Lohrsbach and coworkers detected TET1 transcripts in most organ tissues with the notable exception of adult brain, small intestine, pancreas, and uterus.18
One patient displayed a MLL-ACTN4 fusion. ACTN4 on chromosome 19q13 is an actin-filament cross-linking protein. Mutations in ATCN4 or ATCN4 deficiency lead to focal and segmental glomerulosclerosis.20 ACTN4 appears to be expressed nearly ubiquitously,21 and this is in line with the finding in our patient that not only the MLL-ACTN4 but also the reciprocal ACTN4-MLL fusion transcript could be detected. ACTN4 has not been associated with malignant diseases yet.
One patient showed a partial internal duplication of the MLL gene (MLL-PTD) with duplication of exons 3 through 10 at the mRNA level. MLL-PTD is a fairly common aberration in AML and detected in 5% to 8% of cases,22 but rarely, if ever, found in ALL.23
The distribution of MLL aberrations differs markedly from that recently reported in infant (age < 1 year) ALL, where MLL aberrations were detectable by split fluorescent in situ hybridization (FISH), RT-PCR, or analysis of the MLL breakpoint region in 79% of 124 cases.11 Forty-one percent of these infants showed an MLL-AF4, 18% an MLL-ENL, and 11% an MLL-AF9 fusion. Twelve patients (10%) with other fusion partners were detected: AF10 (n = 3), EPS15 (n = 2), SELB (n = 1), MSF (n = 1), LAF (n = 1). Four MLL split fusion rearrangements remained unresolved at the molecular level. The frequency of MLL rearrangements decreased with age, and there were associations of different MLL aberrations with certain immunophenotypes. Almost all MLL-AF4–positive infant patients had a pro-B ALL immunophenotype, while in MLL-ENL– and MLL-AF9–positive patients, other immunophenotypes were found as well. Pro-B ALL immunophenotype (n = 89) was associated with MLL rearrangement in 94% and CD10− pre-B ALL immunophenotype (n = 4) in 100% of infant cases.11
For diagnostic assessment, we suggest that all CD10− BCP ALL patients should be investigated for MLL-AF4 and MLL-ENL. The MoAb 7.1 for the NG2 antigen should be included in the antibody panel for flow cytometry, and patients showing NG2 positivity should be subjected to further analysis by LDI-PCR13 or panhandle PCR19 to detect a possible cryptic MLL rearrangement. In this way more than 99% of all MLL rearrangements in adult CD10− BCP ALL should be identified and thus might serve as markers for risk stratification and targets for minimal residual disease (MRD) assessment.
The online version of this article contains a data supplement.
The publication costs of this article were defrayed in part by page charge payment. Therefore, and solely to indicate this fact, this article is hereby marked “advertisement” in accordance with 18 USC section 1734.
Acknowledgments
The authors are grateful for the skillful technical assistance of Annette Sindram, Barbara Komischke, and Rita Lippoldt. They thank Sabine Hug and Regina Reutzel, Monika Brüggemann, Sebastian Irmer, and Michael Kneba for logistical support.
This work was supported by the Deutsche José Carreras Leukämiestiftung e.V. (grant R06/22 to T.B.), by the Deutsche Krebshilfe (grant 102362 to R.M.), and by the German Ministry of Science and Education (BMBF; grant NGFN-2, “01GR0414-PDN-S02T17” to R.R.).
Authorship
Contribution: T.B. designed research, performed research (PCR, RT-PCR), analyzed data, and wrote the paper; C.M. performed research (LDI-PCR, sequencing); R.M. designed research and analyzed data; J.H., E.K., and B.S. performed research (LDI-PCR); M.M. performed research (RT-PCR, PCR); R.R. performed research (sequencing); N.G. is head of the GMALL study center; D.H. is head of GMALL study group; E.T. and S.S. performed research (immunophenotyping); and T.R. provided logistical support for sample acquisition.
Conflict-of-interest disclosure: The authors declare no competing financial interests.
A complete list of GMALL study participants appears in the Supplemental Materials and Methods.
Correspondence: Thomas Burmeister, Charité Universitätsmedizin Berlin, Campus Benjamin Franklin (CBF), Medizinische Klinik III, Hindenburgdamm 30, 12200 Berlin, Germany; e-mail: thomas.burmeister@charite.de.


This feature is available to Subscribers Only
Sign In or Create an Account Close Modal