Abstract
The cellular FLICE-inhibitory protein (c-FLIP) is a modulator of death receptor-mediated apoptosis and plays a major role in T- and B-cell homeostasis. Three different isoforms have been described on the protein level, including the long form c-FLIPL as well as 2 short forms, c-FLIPS and the recently identified c-FLIPR. The mechanisms controlling c-FLIP isoform production are largely unknown. Here, we identified by sequence comparison in several mammals that c-FLIPR and not the widely studied c-FLIPS is the evolutionary ancestral short c-FLIP protein. Unexpectedly, the decision for production of either c-FLIPS or c-FLIPR in humans is defined by a single nucleotide polymorphism in a 3′ splice site of the c-FLIP gene (rs10190751A/G). Whereas an intact splice site directs production of c-FLIPS, the splice-dead variant causes production of c-FLIPR. Interestingly, due to differences in protein translation rates, higher amounts of c-FLIPS protein compared with c-FLIPR are produced. Investigation of diverse human cell lines points to an increased frequency of c-FLIPR in transformed B-cell lines. A comparison of 183 patients with follicular lymphoma and 233 population controls revealed an increased lymphoma risk associated with the rs10190751 A genotype causing c-FLIPR expression.
Introduction
B cells are an integral part of the humoral immune response and their differentiation is tightly regulated by apoptosis, which can occur during development in the bone marrow or in the mature B-cell compartment residing in secondary lymphoid tissues. Next to deletion of autoreactive B cells and the regulation of B-cell homeostasis, one important function of apoptosis is to facilitate affinity maturation in the germinal centers.1 Because germinal center B cells are highly prone to the induction of cell death, only B-cell clones producing high-affinity antibodies get access to follicular dendritic cells and T-helper cells, which provide survival signals, for example, via the CD40-CD154 axis.1 In contrast, B-cell clones with low-affinity or nonfunctional immunoglobulins are eliminated by apoptosis, mainly via engagement of death receptors.2 Blocking apoptosis in germinal center B cells may lead to accumulation of transformed cells; and, notably, the majority of B-cell lymphomas, including follicular lymphomas, originate from germinal center B cells.3
In the extrinsic apoptotic pathway that is triggered by death receptors, apical initiator caspases are integrated and activated in the death-inducing signaling complex (DISC).4-6 After their activation, initiator caspases in turn cleave and activate terminal effector caspases, which execute cell death via the processing of selected target proteins.7 Competing with initiator caspases in the DISC is the cellular FLICE inhibitory protein (c-FLIP; CFLAR), which resembles death effector domain-containing caspases but does not contain a proteolytically caspase-like domain.8,9
Several distinct c-FLIP gene transcripts can be identified in human cells, but only 3 specific isoforms are expressed at the protein level. The best characterized isoforms are the long version, c-FLIPL, and a short form, named c-FLIPS.10,11 The production of c-FLIPL and c-FLIPS is regulated by an alternative splicing event leading to either inclusion or skipping of exon 7. Inclusion of exon 7 leads to production of c-FLIPS, which is truncated at the C-terminus and lacks the inactive caspase-like domain, due to the introduction of a stop codon into the c-FLIP open reading frame. In contrast, exon 7 skipping allows synthesis of the full-length isoform c-FLIPL.
A third isoform of c-FLIP was only recently identified in Raji cells and is therefore called c-FLIPR.12,13 Expression of c-FLIPR requires inclusion of intron 6 into the c-FLIP transcript. Because read-through into intron 6 leads to a rapid encounter of a stop codon, a second short form of c-FLIP, namely c-FLIPR, is produced that is similar in size to c-FLIPS but differs in the final C-terminal amino acids.12,13 The exact mechanism defining either c-FLIPS or c-FLIPR expression is not known. Genomic analysis had revealed that c-FLIPR is the only murine short isoform of c-FLIP and that c-FLIPS does not exist in mice, due to lack of exon 7.14
c-FLIP proteins have been shown to play a crucial role for the differentiation and homeostasis of a variety of cell types, especially in the immune system.8 Particularly, c-FLIP and the death receptor pathway are critically involved in the germinal center reaction, which is the main source of high-affinity antibody-producing memory B cells and plasma cells.1,2 Moreover, changes in c-FLIP protein levels have been described in several B-cell malignancies.8,15-19 However, the functions of the different c-FLIP isoforms, in particular c-FLIPR, are yet not fully understood. For the 2 short isoforms, c-FLIPS and c-FLIPR, solely anti-apoptotic functions have been described so far, whereas the role of c-FLIPL is more controversial. Although c-FLIPL was originally described as an inhibitor of caspase-8 in the DISC, low levels of c-FLIPL have also been shown to promote cell death by increasing the enzymatic activity of caspase-8.8 Of note, next to apoptosis, c-FLIP proteins have also been implicated in other signaling pathways such as nuclear factor κB (NF-κB) activation.8
In this study, we identified by sequence comparison in several mammals that c-FLIPR is the evolutionary ancestral short isoform of c-FLIP. Surprisingly, a functional single nucleotide polymorphism (SNP) in the human c-FLIP gene (rs10190751 A/G), which is located in the 3′ splice consensus of intron 6, determines c-FLIP short isoform production. Moreover, we found that c-FLIPR mRNA translation and thus protein expression is significantly reduced compared with c-FLIPS. Analysis of rs101900751 G/A variation in patients indicates that rs10190751 A, which directs expression of c-FLIPR, is associated with an increased risk for follicular lymphoma.
Methods
Cell culture and transient transfections
Chimpanzee cell lines (LTR2008, EB176) and bonobo fibroblasts were cultured in Iscove modified Dulbecco modified Eagle medium (PAA Laboratories) supplemented with 15% fetal calf serum (BioWest), 2 mM glutamine, 0.1 mM MEM nonessential amino acid solution, and 50 μg/mL each of penicillin and streptomycin (Invitrogen). HEK293T human embryonic kidney cells were cultured in Dulbecco modified Eagle medium high glucose (PAA Laboratories) supplemented with 10% fetal calf serum and 50 μg/mL each of penicillin and streptomycin. HeLa cells were cultured in RPMI 1640 (PAA Laboratories) supplemented with 10% fetal calf serum and 50 μg/mL of each penicillin and streptomycin. Transient transfections of HEK293T and HeLa cells were performed with Lipofectamine 2000 reagent (Invitrogen) according to the manufacturer's protocols. All other T- and B-cell lines were cultured in RPMI 1640 supplemented with 10% fetal calf serum and 50 μg/mL each of penicillin and streptomycin. Details of the cell lines used are given in supplemental Table 1 (available on the Blood website; see the Supplemental Materials link at the top of the online article). For c-FLIP induction, cell lines were stimulated with 20-ng/mL phorbol-12-myristate-13-acetate (PMA; Sigma-Aldrich) and 1 μM ionomycin (Sigma-Aldrich). Primary human T and B cells were activated by treatment with 5 μg/mL phytohemagglutinin-L (PHA-L; Sigma-Aldrich) and 10 μg/mL lipopolysaccharide (LPS; Sigma-Aldrich), respectively. Activated T cells were washed with phosphate buffered saline (PBS) and stimulated with 25 U/mL interleukin-2 (IL-2; Tebu-bio) for up to 6 days. Daudi cells were cocultured for 72 hours with L cells, a mouse fibroblast cell line, stably expressing the CD40L. L cells were pretreated with 10 μg/mL mitomycin C (Sigma-Aldrich) to avoid fibroblast growth.
Preparation of human peripheral T and B cells
Human peripheral lymphocytes were isolated by Ficoll-Hypaque density gradient centrifugation (Biochrom AG) from buffy coat material obtained from the Institute of Hemostasis and Transfusion Medicine of the University Hospital Duesseldorf. Monocytes were depleted by incubation of peripheral blood mononuclear cells for 1 hour in RPMI 1640 medium supplemented with 10% fetal calf serum and 50 μg/mL each of penicillin and streptomycin in 175-cm2 cell culture flasks. Nonadherent cells were collected, and T and B lymphocytes were separated by magnetic-activated cell sorting via CD20+ MACS beads (Miltenyi Biotec).
Patients and control samples
Approval for these studies was obtained from the institutional review board of Heinrich-Heine-University Duesseldorf's medical faculty. Informed consent was obtained in accordance with the Declaration of Helsinki. Samples were obtained from 233 healthy control donors recruited by the University Blood Donation Center Duesseldorf and from 183 follicular lymphoma patients provided by several pathology institutes. The control samples were 33.9% male and 66.1% female, and of an average age of 42 plus or minus 17 years. The follicular lymphoma samples were 44.3% male and 55.7% female, and of an average age of 61 plus or minus 13 years. We did not include cutaneous follicular lymphoma in our analysis. All subjects were of white origin.
Genomic DNA preparation and SNP assays
Total DNA was isolated either using the DNeasy Blood and Tissue kit (QIAGEN) or innuPREP DNA Mini kit (Analytik Jena AG) according to the manufacturers' instructions. For control samples, DNA was prepared from blood cells derived from the healthy donors. For the follicular lymphoma patients, paraffin-embedded biopsies containing tumor and healthy tissues were used. SNP assays were carried out on an Applied Biosystems 7300 Real-Time PCR system using the TaqMan SNP Genotyping Assay of Applied Biosystems (#4351379, C_30472738) according to manufacturer's instructions.
RNA isolation and RT-PCR
Total RNA was isolated from 5 to 10 × 106 cells with the RNeasy kit (QIAGEN); 1 μg of total mRNA was used for cDNA synthesis using the SuperScript III First-Strand RT-PCR kit (Invitrogen). The following primers were used to amplify c-FLIPL, c-FLIPS, and c-FLIPR from cDNA: c-FLIP sense, 5′-gatgttgctatagatgtggttc-3′; c-FLIPL antisense, 5′-cctgaatggatttcttcactgg-3′; c-FLIPS antisense, 5′-atttccaagaattttcagatcagga-3′; and c-FLIPR antisense, 5′-tcatgctgggattccatatgtt-3′.
Cloning of c-FLIPS and c-FLIPR
c-FLIPS and c-FLIPR were cloned from Hut78 and Raji cells by PCR using the following primers: c-FLIP sense, 5′-ggggtaccccatgtctgctgaagtcatcc-3′; c-FLIPS antisense, 5′-gctctagagctcacatggaacaatttccaag-3′; and c-FLIPR antisense, 5′-gctctagagctcatgctgggattccatatg-3′. c-FLIP short isoforms were cloned into the pEF4 expression vector (Invitrogen) by restriction digestion with KpnI and XbaI (Fermentas). For the generation of GFP-tagged c-FLIP expression constructs, the c-FLIP isoforms were cloned into the pEGFP-C1 expression vector (Clontech) via the Gateway system (Invitrogen) using the following primers: c-FLIP sense, 5′-cacctctgctgaagtcatccatc-3′; c-FLIPS antisense, 5′-tcacatggaacaatttccaag-3′; and c-FLIPR antisense, 5′-tcatgctgggattccatatg-3′.
Western blot analysis
Western blot analysis was performed as described in the supplemental methods. The antibodies used for Western blotting were c-FLIP (NF6; kind gift of Dr P. Krammer, Heidelberg, Germany) and β-actin (AC-74) and tubulin (DM1A; Sigma-Aldrich). Horseradish peroxidase–conjugated goat anti–mouse IgG was from Southern Biotechnology Associates.
Fluorescence microscopy
HeLa cells grown on a coverslip in a 12-well dish were transiently transfected with 0.5 μg plasmid DNA; 24 hours later, cells were washed with phosphate-buffered saline (PBS) and fixed with 3.7% paraformaldehyde in PBS for 15 minutes. Coverslips were washed with PBS and incubated with 4′,6′-diamidino-2-phenylindole dihydrochloride (DAPI, 100 ng/mL) for 10 minutes. Cells were then mounted in mounting medium (DakoCytomation) and analyzed under a confocal laser scanning microscope (Leica Microsystems) at 630× magnification.
In vitro transcription and translation
In vitro transcription was performed using the T7 RiboMax Express Large Scale RNA Production System (Promega). Transcribed RNA was isolated by phenol-chloroform extraction and in vitro translated with help of a rabbit reticulocyte lysate system (Promega). Coupled in vitro transcription and translation were carried out with the TNT Quick Coupled Transcription/Translation System (Promega) according to manufacturer's protocols.
Statistical analysis
Statistical analysis was conducted by using the SAS software (Version 9.1). Genotype distribution, association with rs10190751 A, and allelic frequency were analyzed using the standard χ2 test; for analysis of genotype distribution, the Cochran-Armitage test was additionally applied. Furthermore, odds ratios including the 95% confidence intervals (CIs) have been calculated. In addition, binary logistic regression using sex and association with rs10190751 as explanatory variables has been computed. A P value less than .05 was considered significant.
Results
c-FLIP gene isoform expression in mammals
We have previously shown that the c-FLIP genomic structures of humans and mice differ significantly from each other.14 In contrast to humans, the mouse c-FLIP gene lacks an equivalent of exon 7. As a consequence, mice do not produce the c-FLIPS isoform, but the only truncated isoform generated is c-FLIPR. To investigate isoform production of c-FLIP proteins in mammals in more detail, we compared the c-FLIP short isoform protein sequences from several selected species (Figure 1A).
Expression of different c-FLIP short isoforms in mammals. (A) Sequence alignment of mammalian c-FLIPS and c-FLIPR proteins. Alignments were performed using Geneious software (http://www.geneious.com). Sequences are shown in single-letter amino acid code. (B) Analysis of c-FLIP genomic sequences of selected cell lines by sequencing of genomic DNA. Shown is the region encompassing the 3′ splice site of intron 6. The AG dinucleotide consensus (bold letters) and the position of rs10190751 A/G (arrow) are indicated. (C) Distribution of the variants of rs10190751 A/G in the different populations analyzed in the HapMap project (CEU indicates Utah residents with ancestry from northern and western Europe; HCB, Han Chinese in Beijing, China; JPT, Japanese in Tokyo, Japan; and YRI, Yoruba in Ibadan, Nigeria).
Expression of different c-FLIP short isoforms in mammals. (A) Sequence alignment of mammalian c-FLIPS and c-FLIPR proteins. Alignments were performed using Geneious software (http://www.geneious.com). Sequences are shown in single-letter amino acid code. (B) Analysis of c-FLIP genomic sequences of selected cell lines by sequencing of genomic DNA. Shown is the region encompassing the 3′ splice site of intron 6. The AG dinucleotide consensus (bold letters) and the position of rs10190751 A/G (arrow) are indicated. (C) Distribution of the variants of rs10190751 A/G in the different populations analyzed in the HapMap project (CEU indicates Utah residents with ancestry from northern and western Europe; HCB, Han Chinese in Beijing, China; JPT, Japanese in Tokyo, Japan; and YRI, Yoruba in Ibadan, Nigeria).
Similar to the described murine isoforms,14 the rat expressed also c-FLIPR as the only short isoform. Accordingly, the rat genomic sequence displays an intron-exon structure corresponding to that of mouse. An isoform homologous to c-FLIPR has also been described for porcine c-FLIP,20 and c-FLIPR is the only short c-FLIP protein sequence in Canis familiaris reported so far. A homologue of c-FLIPL nearly identical to the human isoform is expressed by the chimpanzee Pan troglodytes (data not shown). Interestingly, although the c-FLIP genomic sequence of P troglodytes deposited in the database is highly similar in sequence and retains the human intron-exon structure, production of c-FLIPS is also not possible due to a nucleotide exchange at position 2 of the AG dinucleotide consensus sequence in the 3′ splice site of intron 6. The putative amino acid sequence of the c-FLIPR isoform in P troglodytes is therefore identical to human c-FLIPR (Figure 1A).
A single nucleotide polymorphism in the 3′ splice site of intron 6 of the human c-FLIP gene
The presence of a nucleotide exchange in the 3′ splice site of intron 6 in chimpanzees raises the question whether a similar exchange could be involved in determining c-FLIP isoform production in humans. We therefore sequenced genomic DNA of selected human lymphoid cell lines and the commonly used cervix carcinoma line Hela, which express either c-FLIPS (HeLa, HuT78, Jurkat, Bjab) or c-FLIPR (Raji, SKW6.4, BL60, Nalm6).12,13 In addition, we analyzed 2 EBV-transformed P troglodytes cell lines and fibroblasts from the bonobo Pan paniscus. The analysis revealed that all 3 chimpanzee cell lines carried the defective splice site (Figure 1B). Most interestingly, all human cell lines described to produce c-FLIPR likewise displayed a nucleotide exchange in the 3′ splice site of intron 6 identical to that of chimpanzees. In contrast, cells expressing c-FLIPS had an intact splice acceptor.
The detection of 2 different nucleotides in the splice acceptor site of intron 6 in human cell lines strongly pointed to the possibility of an SNP. Indeed, screening of the NCBI SNP database revealed the presence of an SNP (rs10190751 A/G) at this position. Notably, data of the International HapMap project21 showed that rs10190751 A/G is variably distributed in the different populations (Figure 1C). Whereas the rs10190751 A variant appears to be almost absent in Asia, it has a high prevalence in the African population of Yoruba (Nigeria).
To obtain an overview of the rs10190751 A/G variation in human cell lines, we analyzed further cell lines by genomic sequencing and SNP assays. We placed an emphasis on B and T cells, in which expression of c-FLIPR is often found.13 Our analysis revealed an increased appearance of c-FLIPR especially in B-cell lines (supplemental Table 1).
rs10190751 A/G variation determines c-FLIP short isoform production in humans
We analyzed a selected set of cell lines by reverse transcribed PCR (RT-PCR) and Western blotting. Among these were cells that, according to genomic sequencing and SNP assay analysis (supplemental Table 1), were homozygous for the intact splice acceptor site rs10190751 G; (Jurkat, Hut78, CEM, MED-B1, Ramos, Daudi, Bjab), homozygous for the splice-defective A allele (BL60, SKW6.4, Raji, Nalm6), or contained both alleles (L428, L1236). Cells containing copies of the splice-intact allele should theoretically have the potential to express both c-FLIPS and c-FLIPR. Strikingly, on RNA (Figure 2A) as well as protein level (Figure 2B), we detected expression of c-FLIPR only in cells that were either heterozygous or homozygous for the splice-dead phenotype. Of note, c-FLIPR expression was only found in tumor cell lines of B-cell origin. In contrast, all cell lines homozygous for an intact splice acceptor produced only c-FLIPS at the RNA and protein level. The long isoform c-FLIPL was expressed in all cell lines analyzed.
Differential expression of the c-FLIP isoforms in selected cell lines. (A) Reverse transcription polymerase chain reaction was used to determine the abundance of specific different c-FLIP RNA isoforms within the different human cell lines tested. β-Actin served as a loading control. (B) Analysis of c-FLIP protein expression of the selected cell lines by Western blotting. As the short c-FLIP isoforms are only inducibly expressed in most cell types, cell lines were stimulated in an appropriate manner. The human T-cell lines Jurkat, HuT78, and CEM were stimulated for 16 hours with 20 ng/mL PMA and 1 μM ionomycin. Daudi cells were cocultered with L cells, a mouse fibroblast cell line, stably expressing the CD40L for 72 hours. For a better visualization of short c-FLIP isoform levels, a long exposure is additionally shown. As loading control, tubulin expression levels are presented.
Differential expression of the c-FLIP isoforms in selected cell lines. (A) Reverse transcription polymerase chain reaction was used to determine the abundance of specific different c-FLIP RNA isoforms within the different human cell lines tested. β-Actin served as a loading control. (B) Analysis of c-FLIP protein expression of the selected cell lines by Western blotting. As the short c-FLIP isoforms are only inducibly expressed in most cell types, cell lines were stimulated in an appropriate manner. The human T-cell lines Jurkat, HuT78, and CEM were stimulated for 16 hours with 20 ng/mL PMA and 1 μM ionomycin. Daudi cells were cocultered with L cells, a mouse fibroblast cell line, stably expressing the CD40L for 72 hours. For a better visualization of short c-FLIP isoform levels, a long exposure is additionally shown. As loading control, tubulin expression levels are presented.
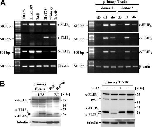
We further examined production of c-FLIP isoforms in P troglodytes cell lines as well as in primary human B and T cells. Primary B cells heterozygous for rs10190751 A/G as determined by genomic sequencing (data not shown) displayed synthesis of mRNAs for both short c-FLIP isoforms (Figure 3A left panel). We also detected expression of both isoforms in primary T cells after stimulation with PHA-L (Figure 3A right panel). For analysis on protein level we selected primary cells that expressed both short c-FLIP isoforms, or cells that were homozygous for either c-FLIPS or c-FLIPR. To increase c-FLIP production, primary B and T cells were stimulated with LPS, PMA/ionomycin, and PHA-L, respectively (Figure 3B). In all primary B and T cells that were analyzed for their rs10190751 A/G status, we detected only the c-FLIP short protein isoforms corresponding to the respective SNP variants. The P troglodytes cell lines EB176 and LTR2008 displayed expression of the c-FLIPR isoform at the RNA and protein level (Figure 3A and data not shown).
Variation of the short c-FLIP isoform expression in chimpanzee cells as well as primary B and T cells. (A) Expression of c-FLIP isoforms in EB176, LTR2008, primary B cells (left panel) and primary T cells (right panel) was analyzed by reverse transcription PCR. Human peripheral T cells (donors 1 and 2) were either left untreated or stimulated with PHA-L (5 μg/mL) for 16 hours. Activated T cells (d1) were washed with PBS and stimulated with IL-2 (25 U/mL) for another 5 days (d6). The indicated cell lines expressing c-FLIPL and c-FLIPR were used as control. (B) Freshly prepared human peripheral B cells (left panel) or T cells of 4 different blood donors (right panel) were either left untreated or stimulated with LPS (10 μg/mL) or PHA-L (5 μg/mL) for 16 hours. Lysates from Raji and PMA/ionomycin-treated HuT78 cells were loaded as positive controls for c-FLIPR and c-FLIPS, respectively. c-FLIP expression was determined by Western blot analysis. Tubulin served as a loading control.
Variation of the short c-FLIP isoform expression in chimpanzee cells as well as primary B and T cells. (A) Expression of c-FLIP isoforms in EB176, LTR2008, primary B cells (left panel) and primary T cells (right panel) was analyzed by reverse transcription PCR. Human peripheral T cells (donors 1 and 2) were either left untreated or stimulated with PHA-L (5 μg/mL) for 16 hours. Activated T cells (d1) were washed with PBS and stimulated with IL-2 (25 U/mL) for another 5 days (d6). The indicated cell lines expressing c-FLIPL and c-FLIPR were used as control. (B) Freshly prepared human peripheral B cells (left panel) or T cells of 4 different blood donors (right panel) were either left untreated or stimulated with LPS (10 μg/mL) or PHA-L (5 μg/mL) for 16 hours. Lysates from Raji and PMA/ionomycin-treated HuT78 cells were loaded as positive controls for c-FLIPR and c-FLIPS, respectively. c-FLIP expression was determined by Western blot analysis. Tubulin served as a loading control.
c-FLIPR is significantly lower expressed than c-FLIPS
Although c-FLIPS and FLIPR do not differ in their antiapoptotic activity,13 we observed that the protein levels of c-FLIPR were generally lower than those of c-FLIPS, which was especially evident in heterozygous cell lines such as Boe and L1236 or in primary T cells (Figures 2B and 3, and data not shown). To analyze whether differences in the c-FLIP isoform levels were due to different protein stabilities, we incubated L428 cells, which as an exception expressed roughly similar amounts of c-FLIPS and FLIPR, with cycloheximide. Consistent with a previous report,13 both isoforms revealed an almost similar rapid turnover, whereas c-FLIPL appeared more stable (Figure 4A and supplemental Figure 1). Similar turnover rates of c-FLIPS and c-FLIPR were also observed in Boe and L1236 cells (supplemental Figure 2). In addition, similar stabilities of c-FLIPS and c-FLIPR mRNAs were found in L428 cells after treatment with the transcription inhibitors α-amanitin (supplemental Figure 3) or actinomycin D (Figure 4B).
Increased protein expression of c-FLIPS. (A) L428 cells were treated for the indicated times with 10-μg/mL cycloheximide. c-FLIP expression was analyzed by Western blot. β-Actin served as a loading control. (B) L428 cells were treated for the indicated times with actinomycin D (ActD, 1 μg/mL). Endogenous c-FLIP isoform mRNA stability was analyzed by RT-PCR. (C) 293T cells were transiently transfected with the indicated cDNA amounts for c-FLIPS or c-FLIPR; 24 hours after transfection, cells were treated for up to 8 hours with 10 μg/mL cycloheximide. Protein stability of the 2 c-FLIP isoforms was monitored by Western blot analysis. Tubulin was analyzed to control equal protein loading. The weaker separation of c-FLIPS and c-FLIPR, compared with panel A, is due to different polyacrylamide concentrations of the gel. Additional faster migrating bands of c-FLIPS and c-FLIPR are presumably caused by translational start at an internal methionine and marked by an asterisk. (D) 293T cells were cotransfected with equal amounts of c-FLIPS– and c-FLIPR–encoding plasmids; 24 hours later, cells were stimulated for the indicated times with actinomycin D (1 μg/mL). mRNA stability was assessed by RT-PCR. The asterisk marks a cDNA band of unclear identity that appears specifically in the transfected cells.
Increased protein expression of c-FLIPS. (A) L428 cells were treated for the indicated times with 10-μg/mL cycloheximide. c-FLIP expression was analyzed by Western blot. β-Actin served as a loading control. (B) L428 cells were treated for the indicated times with actinomycin D (ActD, 1 μg/mL). Endogenous c-FLIP isoform mRNA stability was analyzed by RT-PCR. (C) 293T cells were transiently transfected with the indicated cDNA amounts for c-FLIPS or c-FLIPR; 24 hours after transfection, cells were treated for up to 8 hours with 10 μg/mL cycloheximide. Protein stability of the 2 c-FLIP isoforms was monitored by Western blot analysis. Tubulin was analyzed to control equal protein loading. The weaker separation of c-FLIPS and c-FLIPR, compared with panel A, is due to different polyacrylamide concentrations of the gel. Additional faster migrating bands of c-FLIPS and c-FLIPR are presumably caused by translational start at an internal methionine and marked by an asterisk. (D) 293T cells were cotransfected with equal amounts of c-FLIPS– and c-FLIPR–encoding plasmids; 24 hours later, cells were stimulated for the indicated times with actinomycin D (1 μg/mL). mRNA stability was assessed by RT-PCR. The asterisk marks a cDNA band of unclear identity that appears specifically in the transfected cells.
To analyze the expression levels and turnover rates of c-FLIP short forms expressed exogenously from cDNA templates, 293T cells were transiently transfected with expression plasmids encoding c-FLIPS or c-FLIPR followed by treatment with cycloheximide. Like the endogenous short c-FLIP isoforms, exogenously expressed c-FLIPS and c-FLIPR displayed similar half-life times (Figure 4C and supplemental Figure 1). Nevertheless, we did not achieve protein levels of c-FLIPR as high as those of c-FLIPS, even when we transfected the 10-fold amount of expression plasmid. Furthermore, we treated 293T cells cotransfected with equal amounts of c-FLIPS and c-FLIPR with α-amanitin (supplemental Figure 3) or actinomycin D (Figure 4D). c-FLIPS and c-FLIPR mRNAs derived from cDNA expression plasmids were equally expressed and demonstrated comparable stabilities.
To investigate the protein expression levels of c-FLIPS and c-FLIPR more quantitatively, we transiently transfected 293T cells with green fluorescent protein (GFP) fusion constructs encoding either GFP-c-FLIPS or GFP-c-FLIPR. Transfection with identical amounts of the plasmids led to an impressively stronger production of c-FLIPS compared with c-FLIPR (Figure 5A). Immunofluorescence analysis revealed that both c-FLIPS and c-FLIPR localize to the cytoplasm (Figure 5B). So-called death effector filaments, which can be caused by overexpression of c-FLIP proteins,22,23 could only be observed in GFP-c-FLIPS transfected cells (Figure 5B middle panel), again underlining the higher expression levels of this c-FLIP short isoform.
Enhanced mRNA translation of c-FLIPS over c-FLIPR. (A) GFP-tagged c-FLIPS or c-FLIPR was transiently overexpressed in 293T cells. Differences in protein expression were determined by evaluating the GFP fluorescence intensity via FACS analysis. For relative quantification of low (M1), medium (M2), and high (M3) GFP-c-FLIP expression levels gates were set as indicated. (B) HeLa cells were transiently transfected with either GFP-c-FLIPS or GFP-c-FLIPR; 24 hours after transfection, the cells were fixed and stained with DAPI (blue). Subsequently, samples were analyzed by confocal laser scanning microscopy. (C left panel) Coupled in vitro transcription/translation of c-FLIPS and c-FLIPR. 5, 2, or 1 μL of translated proteins were separated via SDS-PAGE and analyzed by Western blotting. The second (bottom) c-FLIP bands are probably caused by translational start at an internal methionine. (C right panel) c-FLIPS or c-FLIPR were in vitro transcribed and then equal RNA amounts were applied for an in vitro translation assay. Protein levels of the 2 c-FLIP isoforms were determined by Western blot.
Enhanced mRNA translation of c-FLIPS over c-FLIPR. (A) GFP-tagged c-FLIPS or c-FLIPR was transiently overexpressed in 293T cells. Differences in protein expression were determined by evaluating the GFP fluorescence intensity via FACS analysis. For relative quantification of low (M1), medium (M2), and high (M3) GFP-c-FLIP expression levels gates were set as indicated. (B) HeLa cells were transiently transfected with either GFP-c-FLIPS or GFP-c-FLIPR; 24 hours after transfection, the cells were fixed and stained with DAPI (blue). Subsequently, samples were analyzed by confocal laser scanning microscopy. (C left panel) Coupled in vitro transcription/translation of c-FLIPS and c-FLIPR. 5, 2, or 1 μL of translated proteins were separated via SDS-PAGE and analyzed by Western blotting. The second (bottom) c-FLIP bands are probably caused by translational start at an internal methionine. (C right panel) c-FLIPS or c-FLIPR were in vitro transcribed and then equal RNA amounts were applied for an in vitro translation assay. Protein levels of the 2 c-FLIP isoforms were determined by Western blot.
Enhanced expression levels of c-FLIPS are achieved at the level of protein translation
Because we did not observe any particular difference in c-FLIPS and c-FLIPR transcript levels, we investigated whether the higher protein levels of c-FLIPS resulted from differences in protein translation. Interestingly, in a coupled transcription/translation system we obtained an approximately 5 times higher expression level of c-FLIPS compared with c-FLIPR when equal amounts of expression plasmid were added into the system (Figure 5C left panel). Importantly, a similar effect could be observed, when c-FLIP short isoform production was initiated by the addition of in vitro transcribed RNA encoding either c-FLIPS or c-FLIPR to translation competent extracts, excluding differences in transcription efficiency of the c-FLIP short isoform RNAs (Figure 5C right panel). When translation was performed with c-FLIP RNAs preheated at 65°C, an identical result was obtained, indicating that differences in protein translation were presumably not caused by secondary RNA structures.
rs10190751 A and c-FLIPR expression are associated with follicular lymphoma
The frequent appearance of rs10190751 A and concomitant expression of c-FLIPR in B-cell lymphoma cell lines led us to investigate the frequency of rs10190751 A in primary tumor samples. An initial screening of diverse B-cell tumor samples pointed to an accumulation of rs10190751 A in follicular lymphoma (our unpublished observation). Therefore, we compared lymphoma patients (n = 183) with healthy subjects (n = 233) with respect to this SNP. As the A/G variants are unevenly distributed in different populations, all samples were ethnically matched. No correlation was observed between the genotype and the tumor grade or Bcl-2 status (data not shown).
Interestingly, as shown in Table 1, we detected a significant difference between control samples and follicular lymphoma in genotype distribution (χ2 test, P = .043; Cochran-Armitage Trend test, P = .013). We also detected a significant association of the rs10190751 A variant with follicular lymphoma (P = .014; odds ratio = 1.636; 95% CI, 1.105-2.421). Furthermore, a significant difference in allelic distribution between follicular lymphoma and the control samples was found (P = .019; odds ratio = 1.469; 95% CI, 1.066-2.025).
Genotype distribution, association with rs10190751 A, and allelic frequency in follicular lymphoma samples and controls
| . | Control, n = 233 (%) . | Follicular lymphoma, n = 183 (%) . |
|---|---|---|
| Genotype distribution | ||
| GG | 144 (61.8) | 91 (49.7) |
| GA | 82 (35.2) | 83 (45.4) |
| AA | 7 (3.0) | 9 (4.9) |
| χ2 | 0.043 | |
| Cochran-Armitage trend | 0.013 | |
| Association with rs10190751 A | ||
| GG | 144 (61.8) | 91 (49.7) |
| GA + AA | 89 (38.2) | 92 (50.3) |
| χ2 | 0.014 | |
| Odds ratio (CI) | 1.636 (1.105-2.421) | |
| Allelic frequency | ||
| G | 370 (79.4) | 265 (724) |
| A | 96 (20.6) | 101 (27.6) |
| χ2 | 0.019 | |
| Odds ratio (CI) | 1.469 (1.066-2.025) |
| . | Control, n = 233 (%) . | Follicular lymphoma, n = 183 (%) . |
|---|---|---|
| Genotype distribution | ||
| GG | 144 (61.8) | 91 (49.7) |
| GA | 82 (35.2) | 83 (45.4) |
| AA | 7 (3.0) | 9 (4.9) |
| χ2 | 0.043 | |
| Cochran-Armitage trend | 0.013 | |
| Association with rs10190751 A | ||
| GG | 144 (61.8) | 91 (49.7) |
| GA + AA | 89 (38.2) | 92 (50.3) |
| χ2 | 0.014 | |
| Odds ratio (CI) | 1.636 (1.105-2.421) | |
| Allelic frequency | ||
| G | 370 (79.4) | 265 (724) |
| A | 96 (20.6) | 101 (27.6) |
| χ2 | 0.019 | |
| Odds ratio (CI) | 1.469 (1.066-2.025) |
CI indicates 95% confidence interval.
Discussion
Here we have investigated in detail the occurrence of c-FLIP isoforms in several mammalian species. We found that among all species analyzed only humans express c-FLIPS as a short isoform. In some species the absence of c-FLIPS expression is due to the lack of an equivalent exon 7, as it is the case in the mouse and rat.14 The appearance of exon 7 in higher mammals including humans and apes suggests that c-FLIPR is the ancestral short isoform of c-FLIP, whereas FLIPS arose later in evolution.
Although chimpanzees contain an exon 7 equivalent, the sequence provided in the database as well as in the chimpanzee cell lines analyzed lacks the potential to express c-FLIPS due to a nucleotide exchange in the splice acceptor site at position 2 of the AG dinucleotide. Interestingly, an identical exchange constitutes an SNP (rs10190751 A/G) in the human genome and thereby provides for the first time an explanation for the differential appearance of the 2 short c-FLIP isoforms. An intact splice acceptor would theoretically allow production of both short isoforms. However, we detected c-FLIPR only in cells containing at least one splice-dead allele, indicating that the status of the rs10190751 A/G variants strongly determines short c-FLIP isoform expression. Independently of the SNP variant(s) present, transcription of the c-FLIP gene must have the potential to proceed through the whole locus, because we find expression of c-FLIPL in all cells analyzed. Although we have detected only the splice-defective variant in ape cells, due to the limited number of samples, we cannot totally exclude that an SNP identical to rs10190751 A/G is also present in chimpanzees and might therefore allow for the expression of c-FLIPS in addition to c-FLIPR.
Previous studies had indicated that c-FLIPS and c-FLIPR do not differ in their antiapoptotic potential.13 We could not substantiate these findings as HT1080 (human fibrosarcoma) or Raji (human Burkitt lymphoma) cells generated to stably overexpress one of the isoforms consistently expressed remarkably less c-FLIPR levels compared with c-FLIPS (our unpublished observations). Strikingly, we also detect a lower endogenous protein expression of c-FLIPR compared with c-FLIPS, an observation also noted in human T cells.13 In vitro and in vivo analyses indicate that the difference in c-FLIPS and c-FLIPR protein levels does not result from differences in mRNA and protein stability but is achieved rather at the level of translation. Furthermore, the fact that an increased expression of c-FLIPS was also obtained with different cDNA constructs suggests that the coding structure rather than noncoding sequences in the transcripts are responsible for the different translation efficiencies. Nevertheless, our finding that GFP constructs of the differing C-terminal parts of the 2 isoforms were expressed at a similar level (data not shown) suggests that the C-terminal sequences of c-FLIPS and c-FLIPR are not sufficient to determine translation efficiency. Certainly, due to the numerous possibilities that regulate protein translation, determination of the exact mechanism involved for c-FLIP has to await further investigation.
During our studies, we observed that the c-FLIPR–directing allele of the rs10190751 polymorphism was conspicuously often present in transformed B-cell lines. Analysis of the distribution of rs10190751 A/G variant in B-cell lymphoma patients indicated an association of rs10190751 A with an increased risk for follicular lymphoma. For investigation of the sex contribution to the difference between follicular lymphoma and controls, percentages of male and female samples are listed in supplemental Table 2. A multivariate analysis considering sex and association with rs10190751 A indicated a stronger contribution of the male follicular lymphoma samples to the observed difference (supplemental Table 3). Although we have included samples of 183 follicular lymphoma samples, this observation is based on rather small numbers. Further studies of a larger cohort of patients may further substantiate the significance of this observation.
Ongoing somatic mutation as well as cytologic and architectural features, including a follicular growth pattern, identify follicular lymphoma as a germinal center B-cell tumor.3 The initiating genetic event of follicular lymphoma is the t(14:18) translocation, which occurs in approximately 90% of the cases causing constitutive expression of the antiapoptotic protein Bcl-2.24-26 Although expression of Bcl-2 is thought to be essential for the development of follicular lymphoma, overexpression of Bcl-2 alone is not sufficient to cause follicular lymphoma in mice.27-29 Moreover, the presence of sporadic t(14:18) bearing B cells has been reported also in a substantial proportion of healthy persons.30 Therefore, secondary events must contribute to the development of follicular lymphoma.31,32
c-FLIP has been described to play an important role during the germinal center reaction.1,8,33 Conceivably, changes in c-FLIP expression levels caused by rs10190751 A/G variation concomitant with perturbance of the c-FLIP isoform stoichiometry could contribute to development of follicular lymphoma, thereby causing the observed association with rs10190751 A. It should be noted that it is possible that rs10190751 A/G is linked with further genetic traits involved in follicular lymphoma. This could be especially relevant since the c-FLIP gene is clustered with the caspase 8 and caspase 10 genes in humans.34 In line with this notion are reports showing that genetic variants of the caspase 8 gene are associated with multiple forms of cancer.35,36
In our study we have established that c-FLIPR is the evolutionary ancestral and often sole short isoform of c-FLIP in mammals. Unexpectedly, in humans, an SNP in the 3′ splice site of intron 6 determines production of c-FLIPR and is associated with a risk for follicular lymphoma. Interestingly, a recent study identified an increased risk of follicular lymphoma associated with an SNP in the CD40 gene.37 Stimulation of B cell–expressed CD40 by T cell–expressed CD40 ligand is highly important for the delivery of B-cell survival signals, including up-regulation of c-FLIP.1,2,33,38-40 In line with our data, the CD40 gene polymorphism associated with follicular lymphoma causes an impaired rather than an increased CD40 expression.37 Altogether, these observations underline the potential impact of SNPs on genes involved in lymphocyte regulation for the development of follicular lymphoma.
The online version of this article contains a data supplement.
The publication costs of this article were defrayed in part by page charge payment. Therefore, and solely to indicate this fact, this article is hereby marked “advertisement” in accordance with 18 USC section 1734.
Acknowledgments
We thank Daniel Scholtyssik and Andrea Meyer for expert technical assistance as well as Dr Eric Keil for assistance with fluorescence microsopy. We are grateful to Drs Dagmar Dilloo, Hildegard Kehrer-Sawatzki, Werner Schempp, Alexey Ushmorov, and Thomas Wirth for various cell lines. We also would like to thank Dr Peter H. Krammer for providing us with the NF6 antibody and Dr Axel Schwerk for help with statistical analyses.
This work was supported by DFG grants SCHM1586/2-1 (I.S.) and SFB 773 (K.S.-O.).
Authorship
Contribution: W.A.S., K.S.-O., I.S., and C.S. designed research; N.U. and K.K.S. performed research; A.C., C.T., A.C.F., F.N., F.F., S.H., A.M., R.B.Z., and W.A.S. contributed new reagents/analytic tools; N.U., K.K.S., J.B., K.S.-O., I.S., and C.S. analyzed data; and I.S. and C.S. wrote the paper.
Conflict-of-interest disclosure: The authors declare no competing financial interests.
Correspondence: Ingo Schmitz, Institute of Medical Microbiology and Hospital Hygiene, University of Duesseldorf, Universitaetsstrasse 1, Duesseldorf D-40225, Germany; e-mail: ingo-schmitz@uni-duesseldorf.de.
References
Author notes
*N.U. and K.K.S. contributed equally to this work.
†K.S.-O., I.S., and C.S. share senior authorship.





This feature is available to Subscribers Only
Sign In or Create an Account Close Modal