Abstract
The transcription factor Runx1 is a pivotal regulator of definitive hematopoiesis in mouse ontogeny. Vertebrate Runx1 is transcribed from 2 promoters, the distal P1 and proximal P2, which provide a paradigm of the complex transcriptional and translational control of Runx1 function. However, very little is known about the biologic relevance of alternative Runx1 promoter usage in definitive hematopoietic cell emergence. Here we report that both promoters are active at the very onset of definitive hematopoiesis, with a skewing toward the P2. Moreover, functional and morphologic analysis of a novel P1-null and an attenuated P2 mouse model revealed that although both promoters play important nonredundant roles in the emergence of definitive hematopoietic cells, the proximal P2 was most critically required for this. The nature of the observed phenotypes is indicative of a differential contribution of the P1 and P2 promoters to the control of overall Runx1 levels, where and when this is most critically required. In addition, the dynamic expression of P1-Runx1 and P2-Runx1 points at a requirement for Runx1 early in development, when the P2 is still the prevalent promoter in the emerging hemogenic endothelium and/or first committed hematopoietic cells.
Introduction
The generation of the definitive hematopoietic system during embryogenesis critically depends on the transcription factor Runx1. In mice, homozygous loss of Runx1 function results in embryonic lethality attributable to a complete lack of functional definitive hematopoietic stem cells (HSCs) and progenitor cells and hemorrhages in the central nervous system.1-3 Runx1 belongs to the family of runt-domain transcription factors. The 3 mammalian members of this family, Runx1, 2, and 3, all are important developmental regulators and bind to the same DNA motif.4 Although both Runx2 and Runx3 have been implicated in hematopoiesis, only Runx1 has a role in the emergence of definitive hematopoietic cells,5 reflecting its specific expression at hemogenic sites.6,7
Recently, it was shown that Runx1 is required in VE-cadherin+ cells of the embryo, within the developmental window that starts with the initiation of Runx1 expression in these cells and ends when/before definitive HSCs reach the embryonic day (E) 11 fetal liver (FL).8 Although the precise developmental stage(s) at which Runx1 is required within this window remains to be determined, it is generally believed to be at the transition of hemogenic endothelium to definitive hematopoietic cells.6,8-10 In the adult, Runx1 is no longer critically required in HSCs, although it still plays important roles in maintaining hematopoietic homeostasis and in the generation of specific hematopoietic cells/lineages.11-13
Not only the expression pattern of Runx1 but also its levels need to be tightly controlled for the normal emergence of HSCs in the embryo.3 To gain insight into how this is achieved, we have initiated studies into the transcriptional regulation of Runx1.14,15 Vertebrate Runx1 is transcribed from 2 alternative promoters, the distal P1 and proximal P2.4,16-20 Alternative Runx1 promoter usage results in the generation of a series of transcripts that differ in their untranslated regions and/or protein-coding exons, influencing mRNA stability, efficiency of translation, and Runx1 protein structure (Levanon and Groner,4 Bee et al,20 Pozner et al,21 Ben-Ami et al,22 and references therein). Interestingly, Runx1 isoforms were reported to add to the functional complexity of Runx1 in vitro and in discrete cellular processes in vivo.18,23-25 Thus, alternative Runx1 promoter use adds to the complexity of Runx1 expression and function.
In developmental hematopoiesis, Runx1 is transcribed from both the P1 and P2 promoter.18,20,26,27 However, the physiologic role of P1-Runx1 and/or P2-Runx1 in the first definitive hematopoietic cells of the mouse embryo is not clear. On the one hand, the predominance of P1-Runx1 in FL hematopoietic stem and progenitor cells has been interpreted as the P1 being the critical promoter during HSC emergence.18 On the other hand, a nonredundant role for the P2-Runx1 in embryonic T-cell development and FL hematopoiesis strongly implicated the P2 in definitive hematopoiesis.27 Neither of these studies examined the role of P1-Runx1 and P2-Runx1 at the developmental time during which Runx1 is thought to be most critically required, that is, during the emergence of definitive hematopoietic cells. Here, we generated a novel P1-null mouse model and made use of a recently reported attenuated P2 model27 to examine directly to what extent the P1 and P2 promoter contribute to Runx1 function in definitive hematopoietic cell emergence.
Methods
Generation and maintenance of mutant mice
To generate Runx1P1N mice, a targeting vector deleting a 1.0-kb region containing P1 core promoter sequences and exon1 from the mouse Runx1 gene was constructed. Both the 5′ long and the 3′ short homology arms were amplified, by the use of polymerase chain reaction (PCR), from BAC 97D17 by long-range PCR (LA-PCR kit; Takara) and subsequently ligated into the pPNT-lox2 vector harboring a neo resistance cassette and the HSV-TK gene. The targeting vector was linearized by NotI digestion before transfection into E14 embryonic stem cells. Clones that had undergone homologous recombination (confirmed by Southern blot) were used to generate chimeras by injection of embryonic stem cells into blastocysts. After confirmation of germline transmission, the Runx1P1N mouse line was backcrossed on a C57BL/6 background (4-6 generations). P2neo (Runx1tm1Yg) mice27 were backcrossed on a C57BL/6 background for 2 to 4 generations at the time of analysis. For the generation of +23GFP transgenic reporter mice, a 1.1-kb fragment of the Runx1 +23 hematopoietic enhancer14 was cloned downstream of an hsp68GFP promoter-reporter construct. Cloning strategy and sequences are available upon request. A low copy number transgenic mouse line (≤ 2 copies, data not shown) was generated by pronuclear injection and maintained on a mixed (CBA × C57BL/6) background. Runx1-null mice (Runx1rd [Runx1tm1Spe]2 ; a kind gift of Nancy Speck, University of Pennsylvania) were maintained as heterozygotes on a mixed (CBA × C57BL/6) background. Mice were housed with free access to food and water. All procedures were in compliance with United Kingdom Home Office regulations and were approved by the Home Office. Mice and embryos were genotyped by PCR by use of the primers listed in supplemental Table 1 (available on the Blood website; see the Supplemental Materials link at the top of the online article).
Timed matings and embryo collection
Timed matings of Runx1P1N, P2neo, +23GFP, and Runx1rd mice and staging and dissection of embryos were performed as described.20 Embryos were collected in phosphate-buffered saline (PBS; Gibco, Invitrogen) supplemented with 10% fetal calf serum (FCS; Biosera), 50 U/mL penicillin, and 50 μg/mL streptomycin (Cambrex Corporation).
Generation of cell suspensions
Cell suspensions of embryonic tissues were generated as described20 and viable cells counted on the basis of trypan blue (Sigma-Aldrich) exclusion by the use of a Neubauer hemocytometer.
Flow cytometry
Putative hemogenic endothelium and committed definitive hematopoietic cells were isolated by flow cytometry from wild-type embryos (MoFlow; Beckman Coulter) by use of the following antibodies: VE-cadherin-Alexa Fluor 647 (eBioscience), CD41-PE (BD Biosciences), CD45-APC-Cy7 (BD Biosciences), and Ter119-biotin (BD Biosciences). Binding of the latter was detected by SAV-PE-Cy7 (Caltag). All antibodies and conjugates were titrated to determine their concentration of use. Labeling and flow cytometric isolation of cells was performed as described previously.14,28 Live cells were gated on the basis of Hoechst 33258 exclusion.
For analysis of VE-cadherin+ CD45+ cells in early to mid-E11 dorsal aorta with surrounding mesenchyme (subdissected from the aorta-gonad-mesonephros [AGM] region), cell suspensions of individual tissues were labeled with VE-cadherin-Alexa Fluor 647 (eBioscience) and CD45-PE (BD Biosciences) and viable cells analyzed on a CyAn flow cytometer (Beckman Coulter). AGMs were dissected from embryos obtained from crosses of Runx1P1N or P2neo heterozygous female mice with Runx1P1N::+23GFP or P2neo::+23GFP compound heterozygous male mice, respectively.
RNA analysis
Isolation of RNA was performed as described.20 The ratio of P1-Runx1 and P2-Runx1 was determined by reverse-transcription (RT)–PCR as in Bee at al20 and Pozner et al27 by the use of forward primers specific to P1- and P2-derived transcripts and a reverse primer located in the second exon of the Runt domain (exon 3). For quantitative RT-PCR analysis of total Runx1 expression levels, PCR primers and 5′ FAM to 3′ TAMRA probes were designed with New Primer Express 3.0 software (Applied Biosystems) and tested for linearity and specificity. All reactions were performed on a Sequence Detection System 7000 Thermocycler (Applied Biosystems) by the use of qPCR Mastermix Plus (Eurogentec). For each sample, the threshold cycling (Ct) value was calculated. Each reaction was normalized to Gapdh. Primers and probes are listed in supplemental Table 2.
Hematopoietic stem and progenitor assays
Colony-forming unit culture (CFU-C) assays and analysis of HSC activity were performed as described.14
Fluorescent microscopy
Green fluorescent protein (GFP) transgenic embryos/tissues were photographed by the use of fluorescence illumination (X-Cite 120; Improvision) and a Leica MZFLIII microscope and Leica DFC 300F digital camera (Leica Microsystems). Embryos and dissected tissues were fixed in 4% paraformaldehyde (Electron Microscopy Sciences) for 30 minutes to 2 hours at 4°C, washed in PBS, and soaked in 15% (wt/vol) sucrose overnight, or for smaller tissues until no longer floating, at 4°C. Samples were frozen in Tissue-Tek OCT compound (Sakura, Siemens Medical Solutions Diagnostics) and sectioned at 8 or 10 μm on a Leica CM3050s cryostat. Slides were subsequently stained with To-Pro-3 iodide (0.2μM final concentration; Invitrogen) in PBS for 20 minutes, washed in PBS, and coverslipped with Vectashield mounting medium containing 4′,6-diamidino-2-phenylindole (Vector Laboratories). Sections were photographed with an Olympus BX51 camera (Olympus), Radiance 2000 Confocal Scanning System (Bio-Rad), and Laser Sharp 2000 software (Zeiss).
Results
Runx1 is predominantly expressed from the P2 promoter at the onset of definitive hematopoiesis
The first wave of definitive-type hematopoiesis occurs around E8.5.29,30 To determine Runx1 expression and promoter usage in VE-cadherin+Ter119−CD45−CD41−/lo (referred to as CD41−/lo) putative hemogenic endothelium and VE-cadherin+Ter119−CD45−CD41+ (CD41+) definitive hematopoietic cells as they emerge in the embryo,31-33 these populations were isolated from E8.5 wild-type yolk sac (YS) and PAS (posterior part of the embryo including the para-aortic splanchnopleura, vitelline artery, and allantois) by flow cytometry (Figure 1A). Runx1 was expressed in all 4 populations, with a dramatic increase in expression observed in YS CD41+ cells (Figure 1B), suggestive of an important role for Runx1 in early committed hematopoietic progenitors. Analysis of the relative expression of P1-Runx1 and P2-Runx1 demonstrated that both promoters are active in CD41−/lo and CD41+ cell populations, both in the YS and PAS, with a skewing toward P2 promoter activity (Figure 1C). Taken together, the transition of putative hemogenic endothelium to definitive hematopoietic progenitor cells in the E8.5 YS is accompanied by a dramatic increase in both P1-Runx1 and P2-Runx1, with P2-Runx1 being most prevalent. In the PAS, where clonogenic hematopoietic progenitors can only be found from E9.5,29 the skewing toward P2-Runx1 was more pronounced, whereas an up-regulation in Runx1 levels was not observed concomitant with expression of CD41. Having established that both Runx1 promoters are active at the onset of definitive hematopoiesis, we next asked whether both are equally required in this.
Analysis of Runx1 expression at the onset of definitive hematopoiesis in the E8.5 mouse conceptus. (A) VE-cadherin+Ter119−CD45−CD41−/lo putative hemogenic endothelium and VE-cadherin+Ter119−CD45−CD41+ definitive hematopoietic cells were isolated from wild-type E8.5 (7-12 sp) YS and PAS (posterior part of embryo including PAS, vitelline, and allantois) by flow cytometry. (B) Quantitative RT-PCR of total Runx1 expression in the cell populations isolated in panel A. Relative Runx1 expression was obtained by normalization to Gapdh. (C) RT-PCR analysis of the ratio of P1-Runx1 and P2-Runx1 transcripts in VE-cadherin+Ter119−CD45−CD41−/lo putative hemogenic endothelium and VE-cadherin+Ter119−CD45−CD41+ committed definitive hematopoietic progenitor cells. Although both promoters actively transcribed Runx1 in all populations analyzed, there was a skewing toward use of the P2 promoter. Note that no intersample comparisons of Runx1 levels can be made; see panel B for this. Data represent the relative Runx1 levels and P1/P2-Runx1 ratio in cell populations isolated from a pool of 24 wild-type YS or PAS and are consistent with results obtained from VE-cadherin+Ter119−CD45−CD41−/lo and VE-cadherin+Ter119−CD45−CD41+ cells isolated from the combined E8.5 YS and PAS (n = 2; data not shown).
Analysis of Runx1 expression at the onset of definitive hematopoiesis in the E8.5 mouse conceptus. (A) VE-cadherin+Ter119−CD45−CD41−/lo putative hemogenic endothelium and VE-cadherin+Ter119−CD45−CD41+ definitive hematopoietic cells were isolated from wild-type E8.5 (7-12 sp) YS and PAS (posterior part of embryo including PAS, vitelline, and allantois) by flow cytometry. (B) Quantitative RT-PCR of total Runx1 expression in the cell populations isolated in panel A. Relative Runx1 expression was obtained by normalization to Gapdh. (C) RT-PCR analysis of the ratio of P1-Runx1 and P2-Runx1 transcripts in VE-cadherin+Ter119−CD45−CD41−/lo putative hemogenic endothelium and VE-cadherin+Ter119−CD45−CD41+ committed definitive hematopoietic progenitor cells. Although both promoters actively transcribed Runx1 in all populations analyzed, there was a skewing toward use of the P2 promoter. Note that no intersample comparisons of Runx1 levels can be made; see panel B for this. Data represent the relative Runx1 levels and P1/P2-Runx1 ratio in cell populations isolated from a pool of 24 wild-type YS or PAS and are consistent with results obtained from VE-cadherin+Ter119−CD45−CD41−/lo and VE-cadherin+Ter119−CD45−CD41+ cells isolated from the combined E8.5 YS and PAS (n = 2; data not shown).
Loss of P1-Runx1 affects peripheral blood and bone marrow composition in adult mice
To investigate the physiologic role of P1-Runx1 in definitive hematopoiesis, we generated a P1-null mouse line in which the Runx1 P1 promoter and first exon encoding the P1-Runx1 specific 5′-UTR and N-terminal amino acids are replaced by the neo gene (Runx1P1N allele; Figure 2 and supplemental Figure 1). Loss of P1-Runx1 proteins was confirmed by immunoblot with a P1-specific antibody (supplemental Figure 1). Unlike Runx1-null embryos, which die around E12.5 with massive hemorrhages in the central nervous system and a complete lack of definitive hematopoietic cells, mice homozygous for the Runx1P1N allele (P1N/N) were born alive, indicating that P1-Runx1 is not critical for embryonic survival. Interestingly, analysis of peripheral blood (PB) and bone marrow (BM) of adult P1N/N mice showed a significant decrease in PB white blood cells and platelets and an increase in the percentage of BM Lin−Sca1+c-kit+ HSCs and progenitor cells (supplemental Table 3). This finding is indicative of a role for P1-Runx1 in definitive hematopoiesis, possibly already in the embryo. For the analysis of the requirement for P2-Runx1 at the onset of hematopoiesis, we used the mouse line in which a neo resistance gene is inserted within 1 kb upstream of the P2 promoter (Runx1P2neo; Figure 2), leading to severe attenuation of P2 activity with a near-complete loss of P2-Runx1 mRNA and protein in tissues in which the P2 is normally active and concomitant defects in FL hematopoiesis and T-cell development.27 Homozygous P2neo/neo pups are born alive but die shortly after birth from a failure to thrive, precluding analysis of adult hematopoietic tissues.27
Schematic of the mouse Runx1 locus and the mutations introduced in the distal P1 and proximal P2 promoter region to generate the P1N (see supplemental Figure 1) and P2neo27 alleles, respectively. Neo indicates neomycin resistance gene. Runx1 coding exons (black boxes) with their untranslated regions (gray boxes) are numbered as in Levanon et al17 and Bee et al.20 Exons coding for the DNA-binding runt domain are indicated. The position of the hematopoietic +23 enhancer is indicated by an arrow.
Schematic of the mouse Runx1 locus and the mutations introduced in the distal P1 and proximal P2 promoter region to generate the P1N (see supplemental Figure 1) and P2neo27 alleles, respectively. Neo indicates neomycin resistance gene. Runx1 coding exons (black boxes) with their untranslated regions (gray boxes) are numbered as in Levanon et al17 and Bee et al.20 Exons coding for the DNA-binding runt domain are indicated. The position of the hematopoietic +23 enhancer is indicated by an arrow.
Loss of either P1-Runx1 or P2-Runx1 affects CFU-C numbers at sites of definitive hematopoietic cell emergence
Fully committed definitive hematopoietic progenitor cells can be first and readily detected in the YS as CFU-Cs at E8.5 of gestation.29,32 In the embryo proper (PAS/AGM region), CFU-Cs first emerge around E9 to 9.5, before the generation of definitive HSCs (Palis et al,29 Dzierzak and Speck,30 and references therein) and increase in numbers at E10.5 to 11.5.29 At this later point CFU-Cs also are present in the vitelline and umbilical arteries6 and FL.29 To determine whether P1-Runx1 and/or P2-Runx1 are required for the initial formation and/or maintenance of definitive progenitor cells, Runx1P1N and Runx1P2neo heterozygous mice were mated and E8.5 concepti (YS plus embryo proper), E11.5 YS, dorsal aorta with vitelline and umbilical arteries (AVU), and FL were dissected and plated as single-cell suspensions in methylcellulose supplemented with hematopoietic growth factors. Hematopoietic colonies were counted at day 14 of culture. As shown in Figure 3A and B, CFU-Cs were generated normally in the wild-type tissues. In contrast, there was a significant, 4-fold decrease in total CFU-C number in E8.5 P1N/N concepti. A similar 3.4-fold decrease was observed for E11.5 P1N/N YS CFU-Cs. In the E11.5 P1N/N AVU, the defect was even more pronounced, and CFU-Cs were decreased by 7.2-fold compared with the wild type. There was also a 2-fold decrease in CFU-Cs in the P1N/N FL, although finding this was not statistically significant (P = .08).
Runx1 P1N and P2neo mutations severely affect definitive hematopoietic progenitor cell numbers at hemogenic sites. (A) Total CFU-Cd14 numbers for P1N mutant embryos and their wild-type littermates. (B) Total CFU-Cd14 numbers for P2neo mutant embryos and their wild-type littermates. At E8.5, concepti (embryo proper and YS) of the same genotype were pooled and cell suspensions generated and plated in Methocult M3434. Data are the mean ± SD of 2 independent experiments performed in triplicate. Total number of embryos analyzed at E8.5: 6 P1+/+ (4-7 sp), 10 P1N/+ (5-10 sp), 6 P1N/N (4-7 sp), 8 P2+/+ (4-8 sp), 21 P2neo/+ (4-8 sp), and 12 P2neo/neo (4-8 sp). At E11.5, the AVU, YS, and FL were dissected and pooled according to genotype. Data are the mean ± SD of 3 independent experiments performed at least in duplicate. Total number of embryos analyzed at E11.5: 11 P1+/+, 8 P1N/+, 4 P1N/N, 11 P2+/+, 29 P2neo/+, and 20 P2neo/neo. *Statistically significant differences in CFU-C numbers between the samples indicated (P < .05; Student t test). Although the difference between P2+/+ and P2neo/neo E11.5 YS was not statistically significant (P = .17, t test; most likely attributable to a wide range in wild-type CFU-C between 405-1873 per e.e.), the difference between the P2neo/+ and P2neo/neo YS was (ie, P = .03; Student t test). e.e. indicates embryo equivalent.
Runx1 P1N and P2neo mutations severely affect definitive hematopoietic progenitor cell numbers at hemogenic sites. (A) Total CFU-Cd14 numbers for P1N mutant embryos and their wild-type littermates. (B) Total CFU-Cd14 numbers for P2neo mutant embryos and their wild-type littermates. At E8.5, concepti (embryo proper and YS) of the same genotype were pooled and cell suspensions generated and plated in Methocult M3434. Data are the mean ± SD of 2 independent experiments performed in triplicate. Total number of embryos analyzed at E8.5: 6 P1+/+ (4-7 sp), 10 P1N/+ (5-10 sp), 6 P1N/N (4-7 sp), 8 P2+/+ (4-8 sp), 21 P2neo/+ (4-8 sp), and 12 P2neo/neo (4-8 sp). At E11.5, the AVU, YS, and FL were dissected and pooled according to genotype. Data are the mean ± SD of 3 independent experiments performed at least in duplicate. Total number of embryos analyzed at E11.5: 11 P1+/+, 8 P1N/+, 4 P1N/N, 11 P2+/+, 29 P2neo/+, and 20 P2neo/neo. *Statistically significant differences in CFU-C numbers between the samples indicated (P < .05; Student t test). Although the difference between P2+/+ and P2neo/neo E11.5 YS was not statistically significant (P = .17, t test; most likely attributable to a wide range in wild-type CFU-C between 405-1873 per e.e.), the difference between the P2neo/+ and P2neo/neo YS was (ie, P = .03; Student t test). e.e. indicates embryo equivalent.
In P2neo/neo hematopoietic tissues, CFU-C numbers were severely decreased and were 8.8-fold down compared with the wild type at E8.5. At E11.5, CFU-Cs were down 12.8-fold in the AVU and 10.1-fold in the YS (Figure 3B). In addition, P2neo/neo E11.5 FL CFU-C were significantly decreased (5.9-fold compared with wild type), similar to the reduction observed at E13.5.27 Overall, the defects in the P2neo/neo tissues were more severe than those observed in the P1N/N. In both P1N/N and P2neo/neo tissues, the decrease in colony numbers was predominantly attributable to a decrease in G/M colonies, the main colony type, whereas the absolute number of erythroid colonies was generally not significantly affected (supplemental Figures 2-3). Finally, CFU-C numbers in the P2neo/+ and the P1N/+ tissues appeared somewhat lower than in wild-type littermates, although the difference was not significant and not apparent in all tissues (Figure 3). In conclusion, loss of either P1-Runx1 or P2-Runx1 significantly decreased the total number of clonogenic progenitor cells, consistent with nonredundant roles of both the P1 and P2 promoter in the generation and/or initial expansion of these cells.
To examine whether loss of P1-Runx1 or P2-Runx1 had an effect on the proliferation or self-renewal potential of hematopoietic progenitor cells, we determined colony sizes and performed replating assays. On average, E11.5 P2neo/neo FL colonies were smaller than their wild-type counterparts (Table 1), suggestive of a decline in proliferative potential. This was not seen for P1N/N FL colonies at this stage of development, although at E8.5 both P1N/N- and P2neo/neo-derived colonies tended to be smaller (Table 1). A reduced proliferative potential could well reflect the greater decrease in the total number of myeloid over erythroid colonies (supplemental Figure 2) because myeloid colonies tend to be larger. No differences in colony-replating capacity (a measure for self-renewal) were observed between P1N/N, P2neo/neo, and wild-type hematopoietic progenitors at any time point assayed (negative data, not shown).
Average cell number for P1N and P2neo colonies
| Genotype . | Cells per colony, ×104* . | |||
|---|---|---|---|---|
| E8.5 . | E11.5 AVU . | E11.5 YS . | E11.5 FL . | |
| P1+/+ | 3.2 (3.1-3.3) | 6.5 ± 4.9 | 8.1 ± 5.2 | 5.9 ± 2.0 |
| P1N/+ | 2.6 (2.4-2.8) | 4.2 ± 0.5 | 8.3 ± 6.0 | 8.0 ± 8.7 |
| P1N/N | 1.5 (0.9-2.2) | 4.5 ± 1.9 | 5.6 ± 5.6 | 7.7 ± 10.7 |
| P2+/+ | 2.3 | 2.6 ± 1.1 | 3.6 ± 2.3 | 4.7 ± 0.7 |
| P2neo/+ | 3.0 | 3.3 ± 1.0 | 5.0 ± 2.4 | 3.5 ± 1.5 |
| P2neo/neo | 1.2 | 3.2 ± 3.0 | 6.4 ± 5.0 | 1.7 ± 1.2† |
| Genotype . | Cells per colony, ×104* . | |||
|---|---|---|---|---|
| E8.5 . | E11.5 AVU . | E11.5 YS . | E11.5 FL . | |
| P1+/+ | 3.2 (3.1-3.3) | 6.5 ± 4.9 | 8.1 ± 5.2 | 5.9 ± 2.0 |
| P1N/+ | 2.6 (2.4-2.8) | 4.2 ± 0.5 | 8.3 ± 6.0 | 8.0 ± 8.7 |
| P1N/N | 1.5 (0.9-2.2) | 4.5 ± 1.9 | 5.6 ± 5.6 | 7.7 ± 10.7 |
| P2+/+ | 2.3 | 2.6 ± 1.1 | 3.6 ± 2.3 | 4.7 ± 0.7 |
| P2neo/+ | 3.0 | 3.3 ± 1.0 | 5.0 ± 2.4 | 3.5 ± 1.5 |
| P2neo/neo | 1.2 | 3.2 ± 3.0 | 6.4 ± 5.0 | 1.7 ± 1.2† |
AVU indicates aorta with vitelline and umbilical arteries; CFU-C, colony-forming unit culture; E, embryonic; FL, fetal liver; and YS, yolk sac.
After scoring, day 14 hematopoietic colonies derived from E8.5 concepti or E11.5 tissues were pooled, dispersed into single-cell suspensions, and cells counted. E11.5 data are the mean ± SD from 3 independent CFU-C experiments. E8.5 P1N data represent the average (and range) of 2 independent CFU-C experiments. E8.5 P2neo: n = 1.
P = .03 compared with P2+/+ (Student t test).
Both P1-Runx1 and P2-Runx1 are required for the formation of dorsal aorta hematopoietic cell clusters
On the basis of recent lineage tracing studies, it is now generally accepted that definitive hematopoietic cells emerge from hemogenic endothelium.8,34-36 In the embryo proper, this is reflected in the generation of hematopoietic cell clusters that bud from the endothelial cell layer of the dorsal aorta: isolation and functional analysis of cells with a cluster phenotype (eg, VE-cadherin+CD45+) revealed that these are highly enriched for CFU-Cs, and pre-HSCs.37-42 Thus, to determine whether the severe decrease in definitive hematopoietic progenitors in the P1N/N and P2neo/neo embryos is caused by a defect in their initial generation, we examined hematopoietic cluster formation in the dorsal aorta of P1 and P2 mutant embryos. For this we made use of a novel transgenic mouse line generated in the laboratory, in which emerging hematopoietic stem and progenitor cells are marked by GFP under the control of our recently identified Runx1 +23 hematopoietic enhancer (Figure 4).14 In this way, the birth of definitive HSCs and progenitor cells can be easily and reliably visualized (Figure 5A-C and J-L for P1+/+ and P2+/+ [wild-type] dorsal aorta, respectively). Upon crossing +23GFP transgenic mice onto a P1N/N background, we observed a severe decrease in GFP+ hematopoietic cells/clusters in the dorsal aorta of the P1-null embryos: GFP+ cells were virtually absent along the entire length of the wall of the dorsal aorta (Figure 5G-H) and extremely difficult to find on sections (one of the very few examples is shown in Figure 5I).
The +23GFP reporter mouse line marks emerging HSCs and progenitor cells. (A) Schematic of the construct used to generate transgenic mice. (B) Whole-mount images of E8.5 (panels i and ii) and E10.5 (panels iii and iv) +23GFP transgenic embryos. Panels i and iii: bright field images. Panel ii shows GFP expression in the YS blood islands (arrowhead) of the embryo shown in panel i. Panel iv shows GFP expression in the YS, vitelline artery (VA), and FL of the embryo shown in panel iii. Expression in the dorsal aorta is masked by the ectopic expression in somites (S). (C) Flow cytometric analysis of GFP expression in cell suspensions of E11 AVU and E11 FL. Plots are representative of 3 independent experiments and mean percentage of positive cells (± SD) is indicated. AVU and FL cells were sorted on the basis of their GFP expression (sort gates as indicated; purities ranged from 92% to 99%) and assayed for the presence of hematopoietic stem and progenitor cells. (D) CFU-C assays were performed in methocult supplemented with appropriate growth factors (M3434). In both the AVU and FL, the large majority of CFU-C was found to reside in the GFP+ cell population. To examine HSC activity, cells were transplanted into adult irradiated recipients. PB was analyzed by genomic PCR for GFP at 8 weeks after transfer. *Data show the number of reconstituted mice of the number that received a transplant (Tx). n.d. indicates not done.
The +23GFP reporter mouse line marks emerging HSCs and progenitor cells. (A) Schematic of the construct used to generate transgenic mice. (B) Whole-mount images of E8.5 (panels i and ii) and E10.5 (panels iii and iv) +23GFP transgenic embryos. Panels i and iii: bright field images. Panel ii shows GFP expression in the YS blood islands (arrowhead) of the embryo shown in panel i. Panel iv shows GFP expression in the YS, vitelline artery (VA), and FL of the embryo shown in panel iii. Expression in the dorsal aorta is masked by the ectopic expression in somites (S). (C) Flow cytometric analysis of GFP expression in cell suspensions of E11 AVU and E11 FL. Plots are representative of 3 independent experiments and mean percentage of positive cells (± SD) is indicated. AVU and FL cells were sorted on the basis of their GFP expression (sort gates as indicated; purities ranged from 92% to 99%) and assayed for the presence of hematopoietic stem and progenitor cells. (D) CFU-C assays were performed in methocult supplemented with appropriate growth factors (M3434). In both the AVU and FL, the large majority of CFU-C was found to reside in the GFP+ cell population. To examine HSC activity, cells were transplanted into adult irradiated recipients. PB was analyzed by genomic PCR for GFP at 8 weeks after transfer. *Data show the number of reconstituted mice of the number that received a transplant (Tx). n.d. indicates not done.
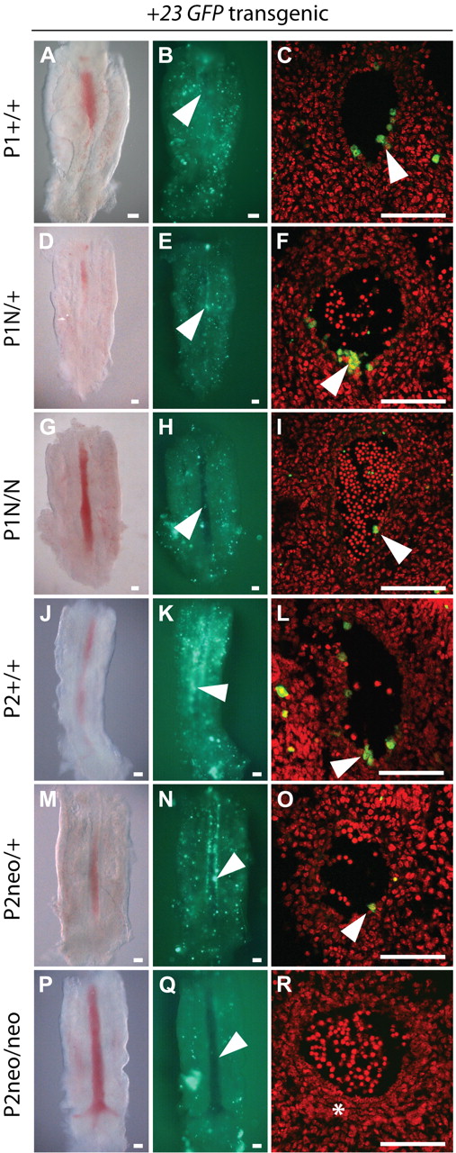
AGM definitive hematopoietic cell emergence shows a greater dependence on P2-Runx1 than P1-Runx1. Panels A, D, G, J, M, and P are representative bright-field images of dissected AGMs of P1 or P2 mutant, +23GFP transgenic compound embryos. Genotypes are as indicated. Panels B, E, H, K, N, and Q are corresponding fluorescent images of dissected AGMs. White arrowheads indicate position of the dorsal aorta. Levels of GFP expression in the aorta are dependent on P1 and P2 genotype. Settings for photomicrographs were identical within the P1 and within the P2 group. Panels C, F, I, L, O, and R are representative images of sections through the AGMs shown, displaying +23-mediated GFP expression in hematopoietic cell clusters (green, examples indicated by white arrowheads). Cell nuclei are shown in red (Topro-3-iodide stained). Total number of embryos analyzed: 2 P1N/N, 1 P1N/+, 2 P2neo/neo, 1 P2neo/+, and 3 wild-type littermates. Scale bar: 100 μm. *Compaction of the mesenchymal cell layers underlying the aorta.
AGM definitive hematopoietic cell emergence shows a greater dependence on P2-Runx1 than P1-Runx1. Panels A, D, G, J, M, and P are representative bright-field images of dissected AGMs of P1 or P2 mutant, +23GFP transgenic compound embryos. Genotypes are as indicated. Panels B, E, H, K, N, and Q are corresponding fluorescent images of dissected AGMs. White arrowheads indicate position of the dorsal aorta. Levels of GFP expression in the aorta are dependent on P1 and P2 genotype. Settings for photomicrographs were identical within the P1 and within the P2 group. Panels C, F, I, L, O, and R are representative images of sections through the AGMs shown, displaying +23-mediated GFP expression in hematopoietic cell clusters (green, examples indicated by white arrowheads). Cell nuclei are shown in red (Topro-3-iodide stained). Total number of embryos analyzed: 2 P1N/N, 1 P1N/+, 2 P2neo/neo, 1 P2neo/+, and 3 wild-type littermates. Scale bar: 100 μm. *Compaction of the mesenchymal cell layers underlying the aorta.
In the wall of the P2neo/neo dorsal aorta, we could not detect any GFP+ cells/clusters (Figure 5P-R). Moreover, a compaction of the mesenchyme underneath the P2neo/neo dorsal aorta was apparent (Figure 5R asterisk), similar to what was previously reported in the Runx1 null.6 This differential effect on cluster formation in the P1N/N and P2neo/neo dorsal aorta was further corroborated by flow cytometric analysis of VE-cadherin+CD45+ hematopoietic cells: loss of P1-Runx1 resulted in a 5.5-fold decrease of dorsal aorta VE-cadherin+CD45+ cells compared with wild-type littermates, whereas upon loss of P2-Runx1 a 33× decrease in this population was observed (Table 2). Whole-mount and section analysis of P1N/+::+23GFP and P2neo/+::+23GFP AGM regions showed that although GFP+ cells/clusters were still present, fewer large clusters were observed than in wild-type littermates (Figure 5D-F and M-O). This was particularly apparent in the P2neo/+ heterozygous dorsal aorta (Figure 5M-O), although flow cytometric analysis of VE-cadherin+CD45+ cells demonstrated a similar decrease of approximately 2-fold upon loss of 1 copy of P1-Runx1 or 1 copy of P2-Runx1 (Table 2). In summary, the decreased hematopoietic cluster formation in the P1 and P2 mutant dorsal aorta correlated well with our functional CFU-C data. Together, these results indicate that loss of P1-Runx1 and, more so, P2-Runx1 severely affects the birth of definitive hematopoietic cells in vivo.
Percentage VE-cadherin+ CD45+ cells in E11.5 dorsal aortae (mean ± SD)
| Mouse line . | Genotype . | ||
|---|---|---|---|
| +/+ . | +/− . | −/− . | |
| P1N | 0.11 ± 0.03 | 0.05 ± 0.02 | 0.02 ± 0.01 |
| (n = 10) | (n = 13) | (n = 10) | |
| P2neo | 0.10 ± 0.08 | 0.05 ± 0.02 | 0.003 ± 0.01 |
| (n = 4) | (n = 8) | (n = 6) | |
| Mouse line . | Genotype . | ||
|---|---|---|---|
| +/+ . | +/− . | −/− . | |
| P1N | 0.11 ± 0.03 | 0.05 ± 0.02 | 0.02 ± 0.01 |
| (n = 10) | (n = 13) | (n = 10) | |
| P2neo | 0.10 ± 0.08 | 0.05 ± 0.02 | 0.003 ± 0.01 |
| (n = 4) | (n = 8) | (n = 6) | |
Individual dorsal aortae with surrounding mesenchyme were analyzed by flow cytometry for the percentage of VE-cadherin+ CD45+ cells. Number of individual aortae analyzed as indicated.
One functional P2-Runx1 allele is sufficient to rescue Runx1 null-associated embryonic lethality
Both P1N/N and P2neo/neo embryos are born alive, indicating that homozygous expression of either P2-Runx1 or P1-Runx1 (in the presence of an attenuated P2) can rescue the Runx1-null phenotype. Because our data indicated that P2-Runx1 is most critical for definitive hematopoietic cell emergence, we assessed whether the presence of 1 functional P2-Runx1 allele would be sufficient to rescue Runx1-null–associated embryonic lethality. P1N/+ mice were crossed with Runx1 heterozygous (Runx1rd/+) mice to generate E12.5 compound P1N/rd embryos. In these embryos, both embryonic lethality and FL anemia were rescued, reminiscent of the situation in Runx1 heterozygote embryos (Figure 6A,C). In contrast, 1 functional allele of P1-Runx1 was not sufficient to rescue embryonic lethality (Figure 6B P2neo/rd).27 In conclusion, the spatiotemporal pattern and/or level of Runx1 expression obtained from 1 functional P2-Runx1 allele is sufficient to initiate definitive hematopoiesis.
E12.5 compound mutant Runx1 embryos and their FLs. (A-D) Representative whole-mount images of wild-type (wt) and Runx1 heterozygous embryos (wt/rd; the Runx1rd allele is a Runx1-null allele2 ), compared with embryos carrying 1 functional P2-Runx1 allele (P1N/rd) or 1 functional P1-Runx1 (and attenuated P2) allele (P2neo/rd). P1N/rd embryos resemble Runx1 heterozygote embryos, indicating that 1 P2-Runx1 allele is sufficient to rescue embryonic lethality and reduced levels of definitive hematopoiesis. P2neo/rd embryos resemble Runx1 null embryos,1,2,27 showing hemorrhages in the central nervous system (black arrowhead; 3 bleeding/8 embryos) and severe FL anemia (8/8). Scale bar: 1000 μm.
E12.5 compound mutant Runx1 embryos and their FLs. (A-D) Representative whole-mount images of wild-type (wt) and Runx1 heterozygous embryos (wt/rd; the Runx1rd allele is a Runx1-null allele2 ), compared with embryos carrying 1 functional P2-Runx1 allele (P1N/rd) or 1 functional P1-Runx1 (and attenuated P2) allele (P2neo/rd). P1N/rd embryos resemble Runx1 heterozygote embryos, indicating that 1 P2-Runx1 allele is sufficient to rescue embryonic lethality and reduced levels of definitive hematopoiesis. P2neo/rd embryos resemble Runx1 null embryos,1,2,27 showing hemorrhages in the central nervous system (black arrowhead; 3 bleeding/8 embryos) and severe FL anemia (8/8). Scale bar: 1000 μm.
Discussion
The functional and morphologic complexity of higher organisms is thought in part to result from the expression of multiple protein isoforms from single gene loci, which is mediated not only by alternative gene splicing but also through use of alternative gene promoters. Although alternative gene promoters are more prevalent in mammalian genomes than previously expected, their precise biologic roles remain poorly characterized (Davuluri et al43 and references therein). Runx1, the master regulator of definitive hematopoietic cell emergence, is transcribed from 2 alternative promoters: the distal P1 and the proximal P2.4,16-20 Before our study, the biologic relevance of the mouse Runx1 promoters for hematopoietic stem and progenitor emergence was not clear. Here we report, through functional and morphologic analysis of a novel Runx1 P1-null mouse model and an attenuated P2 mouse line, that both P1-Runx1 and P2-Runx1 play important nonredundant roles in developmental hematopoiesis but that P2-Runx1 is the most critical to this process.
Interestingly, loss of P1-Runx1 in the embryo was reminiscent of the Runx1 heterozygote phenotype2,3,6,44 in that CFU-Cs and clusters were reduced but sufficient definitive hematopoietic stem and progenitor cells were still generated to promote embryonic survival and seed the FL and bone marrow. Also in the adult, P1N/N mice displayed a phenotype reminiscent of and lying in between the phenotypes reported for Runx1 heterozygote45 and conditional Mx1-Cre Runx1–deleted mice.11-13 Loss of P2-Runx1, in contrast, dramatically affected the emergence of definitive hematopoietic cells, resulting in a phenotype approaching the Runx1 null, as seen from the lack of aortic clusters and compaction of the subaortic mesenchyme.3,6 It should be noted that the P2neo/neo embryos are born alive, possibly attributable to a compensatory mechanism operating in the FL by which the few hematopoietic cells that are generated are expanded to ensure embryonic survival. However, they die shortly after birth.27
Taken together, our findings strongly suggest that the differences observed between P1N/N and P2neo/neo embryos can be entirely explained in terms of P1 or P2 promoter mutations having distinct effects on overall Runx1 dosage. This explanation is particularly attractive because dosage effects of Runx1 and its partner protein CBFβ in developmental hematopoiesis have been well described.2,3,6,28,44,46,47 Alternatively, but not mutually exclusively, Runx1 P1- or P2-specific N-termini/isoforms may contribute to the observed phenotypes.18 Unambiguous analysis of this possibility requires the generation of mouse models in which only a single Runx1 isoform is expressed.
How could loss of P1-Runx1 and P2-Runx1 differentially affect overall Runx1 levels? Analysis of the dynamic expression of P1-Runx1 and P2-Runx1 provides insight into this. We showed that at the onset of Runx1 expression in putative hemogenic endothelium P2-Runx1 is more prevalent than P1-Runx1. During embryonic development, however, P1-Runx1 levels increased and were comparable with/exceeded P2-Runx1 in the putative hemogenic endothelial cells of the E10.5 dorsal aorta (G.S. and M.F.T.R.d.B., unpublished data, 2009).20 Similarly, we observed that in CD45+-definitive hematopoietic progenitor/stem cells, P1-Runx1 levels were comparable with/exceeded P2-Runx1.20 Finally, a near complete switch to P1-Runx1 occurs in the FL and is maintained in adult BM hematopoiesis (Bee et al20 and references therein). In summary, P1 promoter activity initially lags behind on the P2 promoter but increases both in putative hemogenic endothelium and emerging hematopoietic cells with the orderly unfolding of the adult hematopoietic program and increasing embryonic age (Figure 7). Following from this, loss of P2-Runx1 during the window that the P2 is the main active promoter will have a greater effect on overall Runx1 levels and therefore definitive hematopoietic cell emergence, than loss of P1-Runx1, in line with the more severe phenotype observed in the P2neo/neo embryos. This would place the critical requirement for Runx1 in putative hemogenic endothelium8,10 early in development, during the time that the P2 is still the main Runx1 promoter in these cells (Figure 7). Further support for this comes from the finding that hemizygous expression of Runx1 from the P2 promoter could rescue the Runx1-null phenotype, whereas hemizygous expression from the P1 could not, indicating that P2-Runx1 but not P1-Runx1 is expressed at the right time and at sufficient levels for rescue to occur.
Model summarizing the dynamic P1-Runx1 and P2-Runx1 expression and requirement during definitive hematopoietic cell generation in the YS and PAS/AGM. See “Discussion” for explanation. In brief, our results suggest at least 1 discrete developmental stage for which Runx1 is critically required: the predominantly P2-Runx1–dependent stage at the onset of Runx1 expression in VE-cadherin+ cells. Runx1 is no longer critically required in FL hematopoietic cells (recently reported by Chen et al8 ). Yellow indicates endothelial cells; orange, Runx1-expressing hemogenic endothelium (CD41−/lo; Figure 1A)/early committed hematopoietic cells (CD41+); red, Runx1-expressing CD45+ hematopoietic cells.
Model summarizing the dynamic P1-Runx1 and P2-Runx1 expression and requirement during definitive hematopoietic cell generation in the YS and PAS/AGM. See “Discussion” for explanation. In brief, our results suggest at least 1 discrete developmental stage for which Runx1 is critically required: the predominantly P2-Runx1–dependent stage at the onset of Runx1 expression in VE-cadherin+ cells. Runx1 is no longer critically required in FL hematopoietic cells (recently reported by Chen et al8 ). Yellow indicates endothelial cells; orange, Runx1-expressing hemogenic endothelium (CD41−/lo; Figure 1A)/early committed hematopoietic cells (CD41+); red, Runx1-expressing CD45+ hematopoietic cells.
Given the complex translational regulation of Runx1,21,22,27 we cannot formally exclude that in the embryo and/or in specific cells P1-Runx1 and P2-Runx1 are translated with different efficiencies. One scenario in which this could contribute to the loss of P2-Runx1 having a more severe effect on overall Runx1 levels and hematopoiesis than the loss of P1-Runx1, is if translation of P2-Runx1, which is IRES-mediated,27 would be favored over the cap-mediated translation of P1-Runx1 in the cells in which Runx1 is critically required. Such a mechanism also could extend the differential requirement for P2- and P1-Runx1 to later, preliver,8 stages of hematopoiesis during which P1-derived transcripts are more abundant (Figure 7). However, in E8.5 P1N/N concepti we observed a dramatic increase of P2-Runx1 transcripts (T.B. and M.F.T.R.d.B., unpublished observations, 2009) that are apparently unable to rescue the P1-null phenotype. This finding seems difficult to reconcile with a scenario in which translation of P2-Runx1 would be favored over P1-Runx1, unless the increase occurs after P2-Runx1 is critically required. In conclusion, if differences in translation of P1- and P2-derived transcripts occur, we do not, on the basis of the aforementioned observations, expect them to contribute extensively to the more severe phenotype observed in the P2neo/neo embryos.
It is of interest to note that P2-Runx1 is the form of Runx1 that is present in all metazoans, whereas P1-Runx1 is specific to vertebrates only (reviewed in Levanon and Groner4 and Rennert et al19 ). In light of this, the critical role for P2-Runx1 in definitive hematopoiesis can be seen to reflect its conserved role in basic processes such as hematopoiesis that occur in vertebrates and invertebrates alike.48,49 P1-Runx1, on the other hand, may add to the gene regulatory complexity of higher organisms. In line with this, P1 promoter activity generally follows on P2 promoter activity in the cellular systems analyzed so far (as shown in the current study, and in Fujita et al26 and Pozner et al27 ). Further support for this notion comes from a recent study50 on zebrafish runx1 promoter usage that, in contrast to our study, failed to find a role for P1-runx1 in definitive hematopoiesis. This apparent discrepancy can be explained by the fact that the spatiotemporal activity of zebrafish runx1 promoters is clearly divergent from mouse Runx1 promoters.15,20,50 In transgenic fish, the zebrafish promoters drive reporter gene expression to specific sites of developmental hematopoiesis, whereas well-defined mouse and human RUNX1 promoter fragments lack tissue-specific cis-regulatory activity.15,16,50 Moreover, although in the zebrafish dorsal aorta only P2-Runx1 was detected, both P1-Runx1 and P2-Runx1 are present in endothelial and hematopoietic cells of the mouse dorsal aorta and vitelline and umbilical arteries (as shown in the current study, and in Bee et al20 ). Thus, within the vertebrate clade, the P1 promoter adds to the transcriptional and functional complexity of mammalian versus nonmammalian Runx1.
In summary, we report that both the P1 and P2 Runx1 promoters play unique, nonredundant roles in the generation of definitive hematopoietic cells, providing one of the few examples in developmental hematopoiesis of the added complexity ascribed to alternative promoter usage. We demonstrated that the P2 promoter is the critical orchestrator of definitive hematopoietic cell emergence, lending support for an early requirement for Runx1 in this process.
The online version of this article contains a data supplement.
The publication costs of this article were defrayed in part by page charge payment. Therefore, and solely to indicate this fact, this article is hereby marked “advertisement” in accordance with 18 USC section 1734.
Note added in proof.
While this paper was under review, Sroczynska et al51 published an independent study on P1 and P2 promoter use and P1 function in hematopoiesis.
Acknowledgments
We thank Yoram Groner, Ditsa Levanon, and Bill Wood for insightful comments on the manuscript; Marieke von Lindern for stimulating discussions; Kevin Clark for cell sorting assistance; and past and present members of the de Bruijn laboratory for practical help and discussions.
This work was supported by the Medical Research Council UK (to T.B., G.S., A.C.S., P.-S.L., and M.F.T.R.d.B.), the European Union AnEUploidy project (to A.P., Groner laboratory); and the Israel Science Foundation (to A.P., Groner laboratory). A.C.S. was a student of the Gulbenkian PhD Program in Biomedicine and was funded by Fundacao para a Ciencia e Tecnologia.
Authorship
Contribution: T.B. performed experiments, analyzed the data, and drafted the manuscript; G.S. and W.N. performed experiments and analyzed data; S.M. and I.T. generated the Runx1P1N knockout mice; A.P. generated the P2neo mice; A.C.S. and P.-S.L. generated the +23GFP transgenic mice; and M.F.T.R.d.B. performed experiments, analyzed data, and wrote the manuscript.
Conflict-of-interest disclosure: The authors declare no competing financial interests.
The current affiliation for T.B. is Lowy Cancer Research Centre, University of New South Wales, Sydney, NSW, Australia. The current affiliation for A.P. is Department of Human Genetics, Howard Hughes Medical Institute, University of Utah School of Medicine, Salt Lake City, UT.
Correspondence: Marella de Bruijn, MRC Molecular Haematology Unit, Weatherall Institute of Molecular Medicine, John Radcliffe Hospital, University of Oxford, Oxford, OX3 9DS, United Kingdom; e-mail: marella.debruijn@imm.ox.ac.uk.







This feature is available to Subscribers Only
Sign In or Create an Account Close Modal