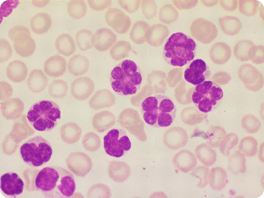
A 22-year-old female presented with 2 weeks of fever, anemia, generalized lymphadenopathy, hepatosplenomegaly, and skin rashes. Her total leukocyte count was 306 × 109/L. Peripheral blood smear showed many atypical lymphocytes with petal-shaped nuclei like flowers as seen in the photograph. Peripheral blood immunophenotype noted negative markers for myeloid and B lymphoid lineage (CD10, CD19, CD3, CD5, CD7, cyto-CD3, TCR, CD16, CD56) and strongly positive for CD4 and CD25, and also CD2, which was atypical. Bone marrow aspirate and biopsy revealed involvement by acute leukemia. Serology for HTLV-1 was positive and serum calcium was normal.
A diagnosis of adult T-cell leukemia was made. This leukemia is a neoplastic disease of CD4-positive T lymphocytes. Flower cells are described typically in HTLV-1–induced adult T-cell leukemia. They may also be seen in asymptomatic carriers of HTLV-1. Although convoluted nuclei with high total leukocyte count can occur in Sézary syndrome, a typical petal shape of nuclei is usually not seen. In this patient, the clinical presentation and peripheral blood smear strongly indicated adult T-cell leukemia; HTLV-1 and the immunophenotype provided additional evidence. The patient received intensive chemotherapy but died of neutropenic fungal infection.
A 22-year-old female presented with 2 weeks of fever, anemia, generalized lymphadenopathy, hepatosplenomegaly, and skin rashes. Her total leukocyte count was 306 × 109/L. Peripheral blood smear showed many atypical lymphocytes with petal-shaped nuclei like flowers as seen in the photograph. Peripheral blood immunophenotype noted negative markers for myeloid and B lymphoid lineage (CD10, CD19, CD3, CD5, CD7, cyto-CD3, TCR, CD16, CD56) and strongly positive for CD4 and CD25, and also CD2, which was atypical. Bone marrow aspirate and biopsy revealed involvement by acute leukemia. Serology for HTLV-1 was positive and serum calcium was normal.
A diagnosis of adult T-cell leukemia was made. This leukemia is a neoplastic disease of CD4-positive T lymphocytes. Flower cells are described typically in HTLV-1–induced adult T-cell leukemia. They may also be seen in asymptomatic carriers of HTLV-1. Although convoluted nuclei with high total leukocyte count can occur in Sézary syndrome, a typical petal shape of nuclei is usually not seen. In this patient, the clinical presentation and peripheral blood smear strongly indicated adult T-cell leukemia; HTLV-1 and the immunophenotype provided additional evidence. The patient received intensive chemotherapy but died of neutropenic fungal infection.
Many Blood Work images are provided by the ASH IMAGE BANK, a reference and teaching tool that is continually updated with new atlas images and images of case studies. For more information or to contribute to the Image Bank, visit www.ashimagebank.org.

This feature is available to Subscribers Only
Sign In or Create an Account Close Modal