Abstract
We hypothesized that the silent cerebral infarcts (SCI), which affect up to 40% of children with sickle cell disease (SCD), could occur in the setting of acute anemic events. In a prospective observational study of children with and without SCD hospitalized for an illness associated with acute anemia, we identified acute silent cerebral ischemic events (ASCIE) in 4 (18.2%) of 22 with SCD and in 2 (6.7%) of 30 without SCD, using diffusion-weighted magnetic resonance imaging. Children with ASCIE had lower hemoglobin concentration than those without (median 3.1 vs 4.4 g/dL, P = .003). The unique temporal features of stroke on diffusion-weighted magnetic resonance imaging permit estimation of incidence rates for ASCIE of 421 (95% confidence interval, 155-920) per 100 patient-years during acute anemic events for all patients. For children with SCD, the estimated incidence was 663 (95% confidence interval, 182-1707) which is much higher than previously reported. Acute anemic events are common in children with SCD and prevalence could partially account for the high SCI. Some ASCIE (1 of 4 in our study) may be reversible. Alterations in management may be warranted for children with severe anemia to identify unrecognized ischemic brain injury that may have permanent neurocognitive sequelae.
Introduction
Stroke is a major cause of disability in children with sickle cell disease (SCD), with clinically apparent stroke occurring in 10% in the absence of primary prevention. A larger percentage (20%-40%) suffer smaller strokes that do not produce obvious neurologic symptoms termed silent cerebral infarcts (SCI). These lesions actually are associated with significant cognitive impairment,1,2 can be progressive,3 and increase the risk of subsequent overt stroke.4 By their “silent” nature, the onset of SCI is unknown, but acute silent cerebral ischemic events (ASCIE) can be detected during the acute or subacute phase by magnetic resonance imaging (MRI) using diffusion-weighted imaging (DWI).5-7 The unique features of DWI allow differentiation of strokes occurring acutely (within 0-14 days) from more remote events.
We previously reported ASCIE as incidental MRI findings in 7 children with SCD; 4 were associated with acute anemic events6 related to viral-induced aplastic crisis or splenic sequestration, when there is a precipitous drop in the otherwise stable chronic anemia of SCD.8-12 The resultant decrease in oxygen delivery to the brain because of severe anemia could lead to clinically silent ischemic injury, just as acute anemic events are known to be a risk factor for clinically overt stroke in children with SCD.12
We suspected that similar events (ASCIE) could occur in children without SCD when they experienced acute severe anemia. We hypothesized that ASCIE, which by definition are not recognized clinically, often occur during episodes of acute anemia. In this prospective observational study, we screened children with acute, severe anemia, both with and without SCD, for ASCIE using DWI. Our secondary hypothesis was that these acute events (ASCIE) could lead to permanent brain lesions that would later be classified as SCI on follow-up MRI studies.
Methods
Patients and imaging studies
With the approval of the University of Texas Southwestern Institutional Review Board and in accordance with the Declaration of Helsinki, we prospectively screened all children from 2 to 19 years of age admitted to Children's Medical Center Dallas with severe anemia over a 30-month period from October 2007 to April 2010. Laboratory studies were manually reviewed daily for inpatients (excluding patients in the neonatal and cardiovascular intensive care units) to identify children with low hemoglobin concentrations. We included children, both with and without SCD, who had severe anemic events defined as a hemoglobin concentration ≤ 5.5 g/dL regardless of etiology, with at least a 30% decrease from their clinically established baseline for children with a known chronic anemia. This value was chosen empirically based on prior observations of silent infarction in the setting of severe anemia,6 hemoglobin concentrations observed in our population of children with SCD during acute anemic events, and the clinical judgment of the study hematologists.
By the nature of the screening process, we were unable to assess the rapidity of the decline in hemoglobin concentration. We excluded children with a history of traumatic head injury in the prior 2 weeks, a reported history or clinical examination finding of new focal neurologic deficits of > 24 hours' duration, a clinical condition precluding transport, or contraindication for MRI. The exclusion for focal neurologic abnormalities applied only to findings reported by the primary care team before enrollment. Parent consent (and patient assent for children > 10 years old) was obtained for those ≥ 2 years old, clinically stable, and within 7 days of presentation with severe anemia. An abbreviated brain MRI consisting of axial DWI and T2-weighted fluid-attenuated inversion recovery (FLAIR) images was performed at 1.5 Tesla field strength in 7 patients and 3 Tesla in 45 patients. MRI was performed without sedation and interpreted by experienced pediatric neuroradiologists who were blinded to the clinical status of the patients. Follow-up MRI studies or MRA were not part of the study protocol but were reviewed when obtained for other clinical indication.
Definitions of ASCIE and SCI
The definitions of stroke, silent stroke, and transient ischemic attack (TIA) are evolving.13 Small strokes can be identified in some patients presenting with clinical TIA.14 In children, particularly those with SCD or other illnesses presenting with severe anemia, it is often difficult to clinically identify signs and symptoms of stroke or TIA as these children are often severely ill, in pain, or sedated, thereby limiting the neurologic examination. For this study, we used the established definition of SCI from the SCD literature, of “an abnormal MRI of the brain with increased signal intensity in multiple T2-weighted images and no history or physical findings of a focal neurologic deficit lasting > 24 hours.”15,16 We defined an ASCIE similarly, as an area of restricted diffusion on DWI with a corresponding area of decreased signal on the apparent diffusion coefficient (ADC) map without previously identified focal neurologic findings lasting > 24 hours. Children with severe anemia do not routinely undergo clinical evaluation by a pediatric neurologist, so new neurologic abnormalities identified on the formal study examination, after enrollment, were still considered as clinically “silent” for the study.
Studies in adults with TIA and in children with SCD have demonstrated that not all DWI-positive lesions result in permanent brain lesions visible on subsequent imaging studies.7,17 Thus, we defined 3 different lesion types to differentiate ASCIE from SCI and acute SCI: (1) ASCIE are apparent as DWI-positive lesions indicating acute ischemia. (2) SCI are more remote injuries visible on FLAIR MRI. (3) The term acute SCI is reserved for acute ischemic lesions which result in permanent injuries, that is, ASCIE with corresponding lesions (SCI) on follow-up MRI studies. Thus, some ASCIE may be reversible (without correlate on subsequent imaging) and other ASCIE may represent SCI imaged during the acute phase (acute SCI). When available, we reviewed subsequent clinically indicated MRI in our subjects for the persistence of lesions in locations corresponding to the ASCIE, which would establish the initial lesions as acute SCI.
Neurologic examination and clinical evaluation
As more subtle deficits could escape detection by non-neurologists, subjects underwent a complete structured neurologic examination by a pediatric neurologist after enrollment. Children with abnormalities detected by this examination were not excluded. Evaluation included the Pediatric National Institutes of Health Stroke Scale (PedNIHSS)18 and the Pediatric Stroke Outcome Measure (PSOM), a validated instrument for assessing outcome of pediatric stroke,19 after enrollment and at follow-up when the child was clinically stable. Patient demographics, hematologic parameters, etiology of the severe anemia, and management of the anemic event, including requirement for transfusion, oxygen supplementation, or transfer to the intensive care unit were abstracted from the medical record. These treatment decisions were made by the patients' individual care teams and were not part of this study protocol.
Statistical analysis
Demographic, clinical, and laboratory variables were analyzed for association with ASCIE using the χ2 or Fisher exact test for categorical and the Mann-Whitney U test for continuous variables, as appropriate. A P value < 0.05 was considered significant, without correction for multiple comparisons. We used the temporal information provided by DWI to calculate estimated incidence rates for ASCIE from 1 DWI-MRI per patient (ie, 2 MRIs separated in time were not required for each patient) expressed as the number of events per 100 patient-years of observation.7 We calculated these estimated incidence rates for ASCIE from the single DWI scans based on the estimate that each DWI provided 10 days of patient observation because, after a stroke, the DWI signal becomes abnormal within hours and persists for 7 to 14 days.20-22 As a secondary analysis, we also calculated estimated incidence rates based on 7 and 14 days of observation. As these incidence rates are derived from single observations and the duration of positive DWI signal may vary, we report these as estimated incidence rates or as approximate (∼) in the tables. Data were analyzed using IBM SPSS Statistics 19 and MedCalc Version 11.
Results
Enrollment and etiologies of anemia
During the 30-month study period, 58 children met criteria and consented to participate. MRI was obtained for 52 (22 of 24 with SCD and 30 of 34 with other causes of anemia). The other 6 were unable to remain still for the unsedated MRI. The groups were similar in age (median SCD 8.2 years vs non-SCD 9.8 years, P = .078) and sex (SCD, 64% male vs non-SCD, 43% male, P = .171). Hemoglobin concentrations were similar (median SCD: 4.25 g/dL, range: 2.2-5.4 vs non-SCD: 4.40 g/dL, range: 2.4-5.5, P = .630). Etiologies of severe anemia in the children with SCD included parvovirus-induced aplastic crisis (7), splenic or hepatic sequestration (6), acute chest syndrome (3), other febrile illness (3), gastrointestinal bleed (2), or postprocedure anemia (1). Etiologies for the children without SCD included malignancy (13), hemolytic or aplastic anemia (6), blood loss from gastrointestinal bleed or dysfunctional uterine bleeding (9), or anemia associated with end-stage renal disease (1) or lupus (1).
Imaging findings
ASCIE were identified by DWI in 4 (18.2%) of 22 children with SCD and 2 (6.7%) of 30 without SCD (P = .382, Table 1). All had areas of restricted diffusion on DWI with corresponding areas of decreased signal on ADC map. There were corresponding abnormalities on the initial FLAIR images in 4 of 6. DWI lesions were subcortical or in the deep white matter (Figures 1–2). One patient had deep white matter DWI lesions and a lesion in the splenium of the corpus callosum without history of seizure. Two of the 6 patients had multiple DWI lesions, 4 had solitary lesions.
Patients with ASCIE
| SCD/Non-SCD . | Age, y/sex . | Etiology of anemia . | Hgb, g/dL . | Transfusion . | ICU transfer . | Neurologic examination . | DWI/ADC . | Initial FLAIR . | Correlate on follow-up MRI . | MRA . |
|---|---|---|---|---|---|---|---|---|---|---|
| Non-SCD | 7/M | Autoimmune hemolysis | 3.7 | + | + | Abn | +/+ | + | ND | ND |
| Non-SCD | 9/M | Aplastic anemia | 2.4 | + | + | Normal | +/+ | − | − | Normal |
| SCD | 10/F | Aplastic crisis | 2.9 | + | + | ND | +/+ | + | + | Normal |
| SCD | 6/M | Acute chest syndrome | 4.1 | + | − | Normal | +/+ | + | + | Subtle vascular irregularity ipsilateral ICA/MCA |
| SCD | 11/M | Aplastic crisis and splenic sequestration | 2.2 | + | − | Abn | +/+ | − | ND | ND |
| SCD | 5/M | Aplastic crisis | 3.3 | + | − | Normal | +/+ | + | + | Normal |
| SCD/Non-SCD . | Age, y/sex . | Etiology of anemia . | Hgb, g/dL . | Transfusion . | ICU transfer . | Neurologic examination . | DWI/ADC . | Initial FLAIR . | Correlate on follow-up MRI . | MRA . |
|---|---|---|---|---|---|---|---|---|---|---|
| Non-SCD | 7/M | Autoimmune hemolysis | 3.7 | + | + | Abn | +/+ | + | ND | ND |
| Non-SCD | 9/M | Aplastic anemia | 2.4 | + | + | Normal | +/+ | − | − | Normal |
| SCD | 10/F | Aplastic crisis | 2.9 | + | + | ND | +/+ | + | + | Normal |
| SCD | 6/M | Acute chest syndrome | 4.1 | + | − | Normal | +/+ | + | + | Subtle vascular irregularity ipsilateral ICA/MCA |
| SCD | 11/M | Aplastic crisis and splenic sequestration | 2.2 | + | − | Abn | +/+ | − | ND | ND |
| SCD | 5/M | Aplastic crisis | 3.3 | + | − | Normal | +/+ | + | + | Normal |
ASCIE indicates acute silent cerebral ischemic event; SCD, sickle cell disease; Hgb, hemoglobin; ICU, intensive care unit; DWI, diffusion-weighted imaging; ADC, apparent diffusion coefficient; FLAIR, fluid-attenuated inversion recovery; MRI, magnetic resonance imaging; MRA, magnetic resonance angiography; F, female; M, male; Abn, abnormal; ND, not done; ICA, internal carotid artery; and MCA, middle cerebral artery.
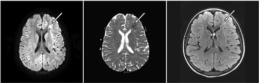
Axial MRI images of case 3. A 10-year-old girl with SCD and parvovirus infection with hgb = 2.9 g/dL showing (left, arrow) an area of restricted diffusion on DWI images with an ACD correlate (middle). Follow-up FLAIR MRI 7 months later (right) shows a lesion corresponding to the affected area on the DWI.
Axial MRI images of case 3. A 10-year-old girl with SCD and parvovirus infection with hgb = 2.9 g/dL showing (left, arrow) an area of restricted diffusion on DWI images with an ACD correlate (middle). Follow-up FLAIR MRI 7 months later (right) shows a lesion corresponding to the affected area on the DWI.
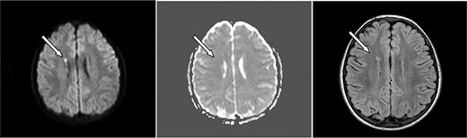
Axial MRI images of case 4. A 6-year-old boy with SCD and acute chest syndrome with hgb = 4.1 g/dL showing (left, arrow) an area of restricted diffusion on DWI images with an ADC correlate (middle). Follow-up FLAIR MRI 4 months later (right) shows a lesion corresponding to the affected area on the DWI.
Axial MRI images of case 4. A 6-year-old boy with SCD and acute chest syndrome with hgb = 4.1 g/dL showing (left, arrow) an area of restricted diffusion on DWI images with an ADC correlate (middle). Follow-up FLAIR MRI 4 months later (right) shows a lesion corresponding to the affected area on the DWI.
Abnormalities consistent with remote SCI were identified on FLAIR images in 5 (22.7%) of 22 of the children with SCD. This included 1 child with SCD and ASCIE who had FLAIR lesions without DWI correlate. Unexpectedly, 8 (26.7%) of 30 of the children without SCD also had lesions on FLAIR images. Both of the children without SCD who had ASCIE had additional lesions on the FLAIR images without DWI correlate.
Follow-up MRI studies (Figures 1–2) were obtained 2.5 to 7 months later for other clinical indications for 4 of 6 of the patients with ASCIE; 3 had lesions on FLAIR images consistent with SCI in locations corresponding to the ASCIE on the initial study MRI (Table 1) and thus meet the definition of acute SCI. All 3 had SCD. Notably, the patient without a corresponding lesion on follow-up imaging also had no FLAIR correlate on the initial study MRI. This patient did not have SCD. We believe this to be a transient, reversible ASCIE.7 Magnetic resonance angiography (MRA) was not part of our study protocol but was obtained for the clinically indicated follow-up studies for 4 of 6 of the patients with ACSIE and was normal in 3, with 1 patient demonstrating subtle vascular irregularities in the internal carotid artery and middle cerebral artery ipsilateral to the ASCIE (Table 1).
Incidence of ASCIE
ASCIE were identified overall in 6 (11.5%) of 52 MRI studies performed. Given that each DWI study provides an estimated 10 patient-days of observation for acute ischemic events, this corresponds to an overall estimated ASCIE incidence of 421 (95% confidence interval [CI], 155-920) ASCIE per 100 patient-years. For children with SCD, the estimated incidence was 663 (95% CI, 182-1707) ASCIE per 100 patient-years, and was lower for children without SCD, 243 (95% CI, 30-881) ASCIE per 100 patient-years (Table 2). As the actual duration of signal abnormality on DWI is unknown and likely variable, we also calculated estimated incidence rates based on 7 or 14 patient-days of observation per DWI scan, with resultant incidence rates as follows: overall, 602 (95% CI, 220-1306) for 7 days of observation vs 301 (95% CI, 111-656) for 14 days of observation; SCD, 948 (95% CI, 260-2439) or 474 (95% CI, 130-1219), and children without SCD, 348 (95% CI, 42-1246) or 174 (95% CI, 21-628) per 100 patient-years (all 7 days vs 14 days of observation, respectively).
Stroke (overt and silent) incidences in SCD
| Condition (setting) . | Incidence per 100 patient-years . | Reference . |
|---|---|---|
| Overt stroke | ||
| Overt stroke (CSSCD) | 0.61 | Ohene-Frempong et al, 199823 |
| 2-5 years old | 1.02 | |
| 5-9 years old | 0.79 | |
| Overt stroke after parvovirus infection | 30.1 | Wierenga et al, 200112 |
| Over stroke (California) | Fullerton et al, 200424 | |
| Before STOP | 0.88 | |
| After STOP | 0.17 | |
| Overt stroke (Memphis) | McCarville et al, 200825 | |
| Before TCD screening | 0.46 | |
| After TCD screening | 0.18 | |
| Over stroke (Philadelphia) | Enninful-Eghan et al, 20105 | |
| Before TCD screening | 0.67 | |
| After TCD screening | 0.06 | |
| Silent stroke | ||
| New silent stroke (CSSCD, well state) | 1.01 | Pegelow et al, 20023 |
| Recurrent silent stroke (CSSCD) | 7.06 | Pegelow et al, 20023 |
| Recurrent SCI (SITT, well state) | 10.7 | Quinn et al, 20107 |
| New ASCIE (SITT, well state) | 47.3 | Quinn et al, 20107 |
| ASCIE (in setting of severe anemia) | ||
| SCD patients | ∼ 664 | Current study |
| Non-SCD patients | ∼ 243 | Current study |
| All patients | ∼ 421 | Current study |
| Condition (setting) . | Incidence per 100 patient-years . | Reference . |
|---|---|---|
| Overt stroke | ||
| Overt stroke (CSSCD) | 0.61 | Ohene-Frempong et al, 199823 |
| 2-5 years old | 1.02 | |
| 5-9 years old | 0.79 | |
| Overt stroke after parvovirus infection | 30.1 | Wierenga et al, 200112 |
| Over stroke (California) | Fullerton et al, 200424 | |
| Before STOP | 0.88 | |
| After STOP | 0.17 | |
| Overt stroke (Memphis) | McCarville et al, 200825 | |
| Before TCD screening | 0.46 | |
| After TCD screening | 0.18 | |
| Over stroke (Philadelphia) | Enninful-Eghan et al, 20105 | |
| Before TCD screening | 0.67 | |
| After TCD screening | 0.06 | |
| Silent stroke | ||
| New silent stroke (CSSCD, well state) | 1.01 | Pegelow et al, 20023 |
| Recurrent silent stroke (CSSCD) | 7.06 | Pegelow et al, 20023 |
| Recurrent SCI (SITT, well state) | 10.7 | Quinn et al, 20107 |
| New ASCIE (SITT, well state) | 47.3 | Quinn et al, 20107 |
| ASCIE (in setting of severe anemia) | ||
| SCD patients | ∼ 664 | Current study |
| Non-SCD patients | ∼ 243 | Current study |
| All patients | ∼ 421 | Current study |
SCD indicates sickle cell disease; CSSCD, Cooperative Study of Sickle Cell Disease; STOP, Stroke Prevention Trial in Sickle Cell; TCD, transcranial doppler ultrasound; and SITT, Silent Infarction Transfusion Trial.
The duration of DWI signal abnormalities may be even longer in areas of watershed infarction, lasting up to 30 days,26 although this estimate, based on studies of adults with overt stroke, and possible ongoing hypoperfusion may not apply in our clinical setting of severe anemia. With this longer duration of DWI signal abnormalities, our estimated incidence rates for ASCIE are 140 events per 100 patient-years for the overall study population, 221 events per 100 patient-years for the SCD subgroup, and 81 events per 100 patient-years for children without SCD.
Demographic, clinical, and laboratory findings associated with ASCIE
Children with SCD were no more likely to have ASCIE than those without SCD (P = .382) although there were few ASCIE observed overall, 4 in children with SCD and 2 in those without SCD. There were no significant differences in age or sex between children with and without ASCIE (Table 3). Children with ASCIE had significantly lower median hemoglobin concentrations at presentation (3.1 g/dL; range, 2.2-4.1) compared with those without (4.4 g/dL; range, 2.6-5.5, P = .003). There were no significant differences in white blood cell or platelet count. Most patients required transfusion and many were transferred to the intensive care unit for clinical management (Table 3). In this exploratory analysis, we found a significant difference in the proportion receiving oxygen supplementation, with 5 (83.3%) of 6 of the children with ASCIE but only 13 of 46 (28.3%, P = .015) without ASCIE receiving oxygen.
Comparison of patients with and without ASCIE
| Measure . | Patients without ASCIE . | Patients with ASCIE . | P* . |
|---|---|---|---|
| Sex, male, no./total (%) | 23/46 (50.0) | 4/6 (66.7) | .670 |
| Median age, y (range) | 9.60 (3.07-17.76) | 8.33 (5.73-11.27) | .474 |
| Fever present, no./total (%) | 24/46 (52.2) | 4/6 (66.7) | .674 |
| Abnormal initial neurologic examination, no./total (%) | 8/43 (18.6) | 2/5 (40) | .276 |
| Abnormal follow-up neurologic examination, no./total (%) | 10/38 (26.3) | 1/4 (25) | > .999 |
| Oxygen requirement, no./total (%) | 13/46 (28) | 5/6 (83.3) | .015 |
| ICU admission, no./total (%) | 11/46 (23.9) | 3/6 (50) | .325 |
| Transfusion, no./total (%) | 42/46 (91.3) | 6/6 (100) | > .999 |
| Median minimum hemoglobin, g/dL (range) | 4.4 (2.6-5.5) | 3.1 (2.2-4.1) | .003 |
| Median white blood count, ×103 (range) | 7.750 (0.1-105.5) | 11.250 (2.2-25.7) | .742 |
| Median platelets, ×103 (range) | 171 (1-588) | 189 (4-601) | .626 |
| Measure . | Patients without ASCIE . | Patients with ASCIE . | P* . |
|---|---|---|---|
| Sex, male, no./total (%) | 23/46 (50.0) | 4/6 (66.7) | .670 |
| Median age, y (range) | 9.60 (3.07-17.76) | 8.33 (5.73-11.27) | .474 |
| Fever present, no./total (%) | 24/46 (52.2) | 4/6 (66.7) | .674 |
| Abnormal initial neurologic examination, no./total (%) | 8/43 (18.6) | 2/5 (40) | .276 |
| Abnormal follow-up neurologic examination, no./total (%) | 10/38 (26.3) | 1/4 (25) | > .999 |
| Oxygen requirement, no./total (%) | 13/46 (28) | 5/6 (83.3) | .015 |
| ICU admission, no./total (%) | 11/46 (23.9) | 3/6 (50) | .325 |
| Transfusion, no./total (%) | 42/46 (91.3) | 6/6 (100) | > .999 |
| Median minimum hemoglobin, g/dL (range) | 4.4 (2.6-5.5) | 3.1 (2.2-4.1) | .003 |
| Median white blood count, ×103 (range) | 7.750 (0.1-105.5) | 11.250 (2.2-25.7) | .742 |
| Median platelets, ×103 (range) | 171 (1-588) | 189 (4-601) | .626 |
ASCIE indicates acute silent cerebral ischemic event; and ICU, intensive care unit.
Mann-Whitney for continuous variables; Fisher exact for categorical variables.
Neurologic examination findings
Structured neurologic examination revealed previously unrecognized abnormalities in 10 of 48 children after enrollment. This examination could not be performed in 4 patients. For clinical reasons, most were examined posttransfusion. PSOM was more sensitive, with abnormalities scored on PedNIHSS for only 2 of the 10 children (1 had PedNIHSS = 1 for language abnormalities, the other had PedNIHSS = 1 for visual field deficit). PSOM scores ranged from 0.5 to 3 (of the maximum score of 10) and in general corresponded to mild deficits without significant functional impairment in individual domains. Total PSOM scores were 0.5 for 6 children, 1 for 2 children, 2 for 1 child, and 3 for 1 child. Abnormalities were primarily in the cognitive behavioral domain of the PSOM but some subtle sensory-motor and language deficits were also noted. Only 2 children with ASCIE had abnormalities noted at presentation. One had PSOM = 0.5 for a mild language production deficit and the other had PSOM = 1 for moderate cognitive deficits. One child with ASCIE did not have a formal neurologic examination at presentation, but had a normal examination at follow-up.
Follow-up neurologic examination was performed 1 to 12 months after presentation. Of the 10 children with abnormalities on initial examination, 8 showed improvement with lower PSOM score (5 had normal follow-up examination) while 1 worsened and 1 was lost to follow-up. However, new abnormalities on examination were noted in 7 children who had normal examinations at presentation. Abnormalities at follow up were overall less severe, with 11 children having PSOM scores ranging from 0.5 to 3, with PSOM = 0.5 for 7 children, PSOM = 1 for 1 child, PSOM = 1.5 for 2 children, and PSOM = 3 for 1 child. Again, abnormalities were primarily mild and in the cognitive/behavioral or language domains.
Of the 2 children with ASCIE who had abnormalities on initial examination, 1 had improvement in PSOM score (cognitive deficit) decreasing from 1 (moderate) at presentation to 0.5 (mild), the other was lost to follow-up. Three others with ASCIE who had normal examination at presentation remained normal and 1 was lost to follow-up. There were no significant differences in the proportions of children with abnormalities on examination between the children with and without ASCIE at either time point (Table 3).
Discussion
Previously identified risk factors for silent infarction in SCD include a lower pain event rate, history of seizures, increased leukocyte count, and Senegal β globin haplotype27 but not severe anemia. A more recent study identified sex, high systolic blood pressure, and a low baseline hemoglobin as risk factors for SCI.28 Acute anemic events are an identified risk factor for overt stroke in children with SCD. Such events, usually because of parvovirus B19 infection, hyperhemolysis, or splenic sequestration, frequently complicate the otherwise stable chronic anemia of SCD.8 Severe anemia, either acutely proximate to the stroke9 or in the steady state10,11 increases the risk for overt stroke. Compelling evidence of this relationship is provided in a retrospective review of 346 acute anemic events suffered by SCD patients, where the crude risk of overt stroke during the subsequent 5 weeks was 58 times greater than expected.12
We identified ASCIE in 4 (18.22%) of 22 of children with SCD and in 2 (6.7%) of 30 of children without SCD who presented with severe anemic events. The observed ASCIE estimated incidence rate is much higher than the incidence reported for either overt or silent strokes in other studies of SCD (Table 2). The estimated incidence rate for ASCIE in our study population of children with SCD and an exacerbation of their anemia is more than 1000 times greater the incidence of overt stroke in SCD23 and 650 times greater than the reported incidence of SCI.3 It is 22 times greater than the rate of overt stroke during the 5 weeks after acute anemic events.12 Even with the most conservative estimate of the duration of the DWI signal abnormality (30 days), the estimated incidence in our SCD group of 221 ASCIE per 100 patient-years remains much higher than the reported incidence of other ischemic events in children with SCD.
ASCIE are rarely detected in children with or without SCD who undergo MRI when they are clinically stable. The demonstrated temporal association of ASCIE and severe anemia in this study suggests that a significant proportion of SCI in children with SCD may be occurring in the setting of acute illnesses characterized by worsening of anemia. This is also supported by prior reports of ASCIE in association with severe anemia5,6,29 or those of SCI associated with acute chest syndrome.30 Most SCI observed in patients with SCD occur in the deep subcortical white matter, not directly in the area supplied by the internal carotid artery or its branches, as would be expected for an embolic phenomenon. Rather, SCI occur in the watershed or border zone regions, which are at highest risk of hypoperfusion or hypoxia during severe anemia.29 The high incidence of ASCIE observed during severe anemia in our study, in this same watershed distribution, is suggestive of a causal association. However, it is possible that other etiologies could account for these findings, such as coincident hypoxia, transfusion-related events, perhaps related to paradoxical embolization or MRI changes related to posterior reversible encephalopathy syndrome, where both reversible and irreversible MRI changes have been observed.30
Cerebral vasculopathy could also contribute to ischemia, especially in the setting of severe anemia. However, while MRA was not part of our study protocol, of 4 patients with ASCIE who subsequently had a clinically indicated MRA, 3 had no evidence of cerebral vasculopathy, and 1 had only a subtle vascular irregularity ipsilateral to the lesion. This small number of MRA studies in our study precludes further speculation, but warrants further observation.
Prior studies did not use DWI for the calculation of incidence rates. However, a similar calculation was performed using the large number of DWI studies obtained as part of the ongoing Silent Infarction Transfusion Trial (SITT) where ASCIE were observed in 10 (1.3%) of 771 DWI studies, yielding a baseline incidence rate of 47.3 (95% CI, 22.7-87.2) ASCIE per 100 patient-years in clinically stable children with SCD.7 Notably, 1 of the 10 patients with ASCIE in that study was admitted 5 days before the DWI for acute chest syndrome with associated severe anemia. The others had no antecedent medical events. In this present study, the observed ASCIE estimated incidence rate during severe anemia is 14 times greater than that observed in SITT where the majority of the patients were at their clinical baseline. Therefore, as for overt stroke,11 there may be 2 distinct clinical settings for ASCIE/SCI: (1) those which occur at the time of or (2) in the absence of, antecedent, or concurrent medical events such as an acute exacerbation of anemia. Risk factors, recurrence rates, and optimal treatment approaches for the 2 groups may differ.
The term silent cerebral infarction is a misnomer, as previously noted,1,2,13-16 but is the current standard in the field to describe these small lesions with no obvious focal findings. Our observations demonstrate that “silent” may be more a matter of the depth of the investigation. The PedNIHSS was relatively insensitive, with abnormal scores for only 2 of the children while the PSOM was more sensitive, with abnormalities in 10 of the 48 children examined at presentation. The majority of these findings were in the cognitive-behavioral domain. Such abnormalities, in general, do not localize well and thus are difficult to attribute to an individual lesion, as may be possible with focal motor, sensory, or language deficits. More detailed neuropsychiatric evaluation was beyond the scope of this study. Careful examination and more detailed follow-up evaluation may be warranted for children with severe anemia with subtle findings or cognitive changes.
We also observed ASCIE in 2 children with severe anemia without SCD. To our knowledge, ASCIE have not been previously reported in prospective studies of children without SCD. Iron-deficiency anemia is an established risk factor for overt stroke in children, although other factors such as an associated thrombocytosis may apply.31 In one study, previously healthy children with overt stroke were 10 times more likely to have iron-deficiency anemia than healthy children without stroke.31 These iron-deficient children accounted for more than half of all overt stroke cases in children without other underlying illnesses. Thus, in children with conditions associated with severe anemia, “silent” brain injury could occur and cause neurocognitive impairment that might erroneously be attributed to the treatments or medications for their primary disorder.
ASCIE may be reversible. Evidence of permanent brain injury (SCI) was noted on follow-up imaging study in 3 of 4 cases. One had no corresponding lesion on the follow-up MRI. The SITT study also demonstrated that that ASCIE occur more frequently than SCI, suggesting that the ischemic injury in children with SCD detectible by DWI may be reversible or result in lesions below the level of detection by MRI.7 Our observations also support this potential reversibility. Many of our patients had abnormalities on formal neurologic examination and whether they had ASCIE or not, most showed improvement at follow-up. Some of this dysfunction could be related to subthreshold or reversible brain ischemia caused by their severe anemia. Further investigation is needed to determine whether closer monitoring and more rapid recognition and treatment of severe anemia can prevent or reverse ASCIE.
Our study is limited by the small number of children with severe anemia able to undergo MRI because of their age or clinical status. Several were found to have evidence of prior SCI and thus may have represented a group at increased risk for recurrent SCI.3 We were unable to define the rapidity of decline of the hemoglobin concentration. There may be differences in the risk of ischemic brain injury for those with more sudden decreases in hemoglobin concentration. This may be more relevant for children without SCD where baseline hemoglobin concentrations were unknown and their clinical conditions may have resulted in a slower decline to below our study threshold. Furthermore, most of the children were acutely ill with other disorders in addition to their severe anemia which could have contributed to cerebral hypoxia or hypoperfusion and complicate the interpretation of our results. Nevertheless, we screened all children admitted to our center over a 30-month period for severe anemia and attempted to enroll all eligible children. For patient safety reasons and delays in identification and consent, we were unable to perform formal neurologic examinations before transfusion or imaging. The study neurologist was not specifically blinded to the etiology or MRI results as he was frequently involved in their clinical care. We did, however, identify neurologic abnormalities that had not been noted on routine clinical evaluation.
The temporal qualities of the DWI signal, which rapidly (< 24 hours) and transiently (for only 7-14 days) permits identification of areas of ischemic brain injury, allowed us to demonstrate a strong temporal association between ASCIE and severe anemia in this prospective observational study. We identified clinically unsuspected evidence of ASCIE in almost one-fifth of children with SCD who presented with an exacerbation of their chronic anemia, occurring at an estimated incidence rate that is from 14 to 650 times higher than that reported for silent ischemic events in clinically stable children with SCD. The temporal association of ASCIE with severe anemia and the plausible mechanism of a decrease in brain oxygen delivery in the setting of severe anemia support, but do not establish, a causal association between ASCIE and anemia. This is further supported by our observation that ASCIE occur more frequently in SCD in the setting of severe exacerbation of anemia compared with the baseline, chronically anemic steady state. Some ASCIE appear to be reversible. Anemic events are common and recurrent in children with SCD and this could partially account for the high prevalence of SCI in children with SCD. ASCIE were also observed in children without SCD and some of these events may also be reversible. Alterations in management may be warranted for all children with severe anemia to identify and ameliorate or reverse unrecognized ischemic brain injury.
The publication costs of this article were defrayed in part by page charge payment. Therefore, and solely to indicate this fact, this article is hereby marked “advertisement” in accordance with 18 USC section 1734.
Acknowledgments
The authors thank Alicia Ponce for her expert assistance with the preparation of the manuscript.
This work was supported by the North and Central Texas Clinical and Translational Science Initiative from the National Institutes of Health, KL2 RR024983 (M.M.D. and C.T.Q.), the Doris Duke Charitable Foundation and the Perot Center for Brain and Nerve Injury at Children's Medical Center Dallas (M.M.D. and P.P.), and by the Children's Clinical Research Advisory Committee of Children's Medical Center Dallas and First American Real Estate Information Services.
National Institutes of Health
Authorship
Contribution: M.M.D. conceived and designed the study and wrote the manuscript; C.T.Q., P.P., Z.R.R., and G.R.B. participated in the design and execution of the study and made significant contributions to the manuscript; and N.K.R. and K.K. evaluated the MRI studies and made significant contributions to the manuscript.
Conflict-of-interest disclosure: The authors declare no competing financial interests.
Correspondence: Michael M. Dowling, Department of Pediatrics, Neurology Division, University of Texas Southwestern Medical Center, 5323 Harry Hines Blvd, Mail Code 9063, Dallas, TX 75390-9063; e-mail: michael.dowling@utsouthwestern.edu.

