A 74-year-old man with relapsed refractory chronic lymphocytic leukemia (CLL) (treated with chemo-immunotherapy—purine analogs, cyclophosphamide, and rituximab) presented with acute-onset severe fatigue, anemia, hyperleukocytosis (62.3 K/µL), and low platelets (22 K/µL). The peripheral blood differential showed 8% atypical large cells. Bone marrow (BM) aspirates and biopsy were performed.
Panel A (×400 magnification hematoxylin and eosin) of the BM biopsy shows extensive sheets (90%) of immature large cells in a background of small lymphoid cells (arrow). Increased proerythroblasts (>25% in the touch preparation) with irregular nuclei, prominent nucleoli, and basophilic vacuolated cytoplasm were observed. Panel B demonstrates a Wright-Giemsa–stained marrow aspirate smear showing characteristic vacuolated pronormoblasts (arrows) and periodic acid-Schiff–positive cytoplasmic globules distributed in the periphery of the erythroid blasts (inset) (×1000 magnification). Periodic acid-Schiff positivity is a result of glycogen deposits in the erythroblasts. Immunohistochemistry and flow cytometry confirmed the CLL and E-cadherin–positive, glycophorin-negative erythroid blasts. Cytogenetic studies of BM showed complex karyotype. A final diagnosis of therapy-related, pure erythroid leukemia with a background of CLL was made. Initial clinical features with large cells in the BM mimicked Richter’s transformation. The patient died within a few days of the diagnosis as a result of progressive disease.
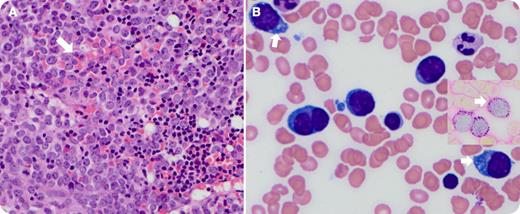
A 74-year-old man with relapsed refractory chronic lymphocytic leukemia (CLL) (treated with chemo-immunotherapy—purine analogs, cyclophosphamide, and rituximab) presented with acute-onset severe fatigue, anemia, hyperleukocytosis (62.3 K/µL), and low platelets (22 K/µL). The peripheral blood differential showed 8% atypical large cells. Bone marrow (BM) aspirates and biopsy were performed.
Panel A (×400 magnification hematoxylin and eosin) of the BM biopsy shows extensive sheets (90%) of immature large cells in a background of small lymphoid cells (arrow). Increased proerythroblasts (>25% in the touch preparation) with irregular nuclei, prominent nucleoli, and basophilic vacuolated cytoplasm were observed. Panel B demonstrates a Wright-Giemsa–stained marrow aspirate smear showing characteristic vacuolated pronormoblasts (arrows) and periodic acid-Schiff–positive cytoplasmic globules distributed in the periphery of the erythroid blasts (inset) (×1000 magnification). Periodic acid-Schiff positivity is a result of glycogen deposits in the erythroblasts. Immunohistochemistry and flow cytometry confirmed the CLL and E-cadherin–positive, glycophorin-negative erythroid blasts. Cytogenetic studies of BM showed complex karyotype. A final diagnosis of therapy-related, pure erythroid leukemia with a background of CLL was made. Initial clinical features with large cells in the BM mimicked Richter’s transformation. The patient died within a few days of the diagnosis as a result of progressive disease.
For additional images, visit the ASH IMAGE BANK, a reference and teaching tool that is continually updated with new atlas and case study images. For more information visit http://imagebank.hematology.org.

This feature is available to Subscribers Only
Sign In or Create an Account Close Modal