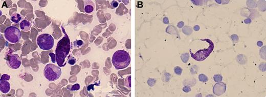
A 57-year-old woman developed an erythematous maculopapular rash on the trunk, abdomen, and thighs without digestive symptoms or lymphadenopathy. Her medical history was significant for osteoporosis with pathologic fractures. Her blood tests showed white blood cells of 10.3 × 109/L, hemoglobin 127 g/L, and platelets 415 × 109/L, with the peripheral blood smear evidencing a slight eosinophilia (0.78 × 109/L). A bone marrow evaluation demonstrated spindle-shaped mast cells sometimes grouped in small clusters (12%) (panel A) with a positive toluidine blue staining (panel B). The histopathologic examination confirmed focal c-kit/CD117+ mast cell accumulation. Serum tryptase level was elevated (183 μg/L). A diagnosis was made of systemic mastocytosis (SM) with skin and bone marrow infiltration.
SM is a rare disease that results from a clonal neoplastic proliferation of abnormal mast cells that accumulate in 1 or more extracutaneous organs. The clinical presentation is heterogeneous, the sine qua non of mastocytosis being the presence of a multifocal cluster infiltration pattern of cells variable in appearance, from round to fusiform variants with long polar cytoplasmic processes. Diagnosis is based on morphologic, immunophenotypic, and/or molecular criteria as outlined by the 2008 World Health Organization (WHO) document. Treatment is generally palliative.
A 57-year-old woman developed an erythematous maculopapular rash on the trunk, abdomen, and thighs without digestive symptoms or lymphadenopathy. Her medical history was significant for osteoporosis with pathologic fractures. Her blood tests showed white blood cells of 10.3 × 109/L, hemoglobin 127 g/L, and platelets 415 × 109/L, with the peripheral blood smear evidencing a slight eosinophilia (0.78 × 109/L). A bone marrow evaluation demonstrated spindle-shaped mast cells sometimes grouped in small clusters (12%) (panel A) with a positive toluidine blue staining (panel B). The histopathologic examination confirmed focal c-kit/CD117+ mast cell accumulation. Serum tryptase level was elevated (183 μg/L). A diagnosis was made of systemic mastocytosis (SM) with skin and bone marrow infiltration.
SM is a rare disease that results from a clonal neoplastic proliferation of abnormal mast cells that accumulate in 1 or more extracutaneous organs. The clinical presentation is heterogeneous, the sine qua non of mastocytosis being the presence of a multifocal cluster infiltration pattern of cells variable in appearance, from round to fusiform variants with long polar cytoplasmic processes. Diagnosis is based on morphologic, immunophenotypic, and/or molecular criteria as outlined by the 2008 World Health Organization (WHO) document. Treatment is generally palliative.
For additional images, visit the ASH IMAGE BANK, a reference and teaching tool that is continually updated with new atlas and case study images. For more information visit http://imagebank.hematology.org.

This feature is available to Subscribers Only
Sign In or Create an Account Close Modal