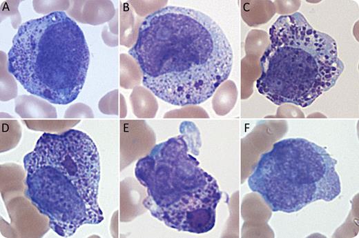
A 59-year-old woman with disseminated intravascular coagulation was transferred after a dose of growth factor for “leukopenia.” Laboratory studies showed elevated d-dimer (201 934 ng/mL), with a white blood cell count of 41 000/mm3 (blasts, 19%; promyelocytes, 37%) and platelets of 49 000/μL, at which time all-trans-retinoic acid (ATRA) had already been instituted owing to a high suspicion of acute promyelocytic leukemia (APL). In the peripheral blood smear, a proportion of promyelocytes appeared overtly leukemic (with deeply clefted nuclei), and others appeared nonleukemic (with paranuclear Hof and toxic changes). Notably, several promyelocytes contained numerous immature pink azurophilic granules (panel A). These granules formed small clumps with cytoplasmic clearing (panels B-C) or existed as larger, globular pink structures with Chediak-Higashi–like morphology (panels D-E). Panel F shows a bilobed (coin-on-coin) promyelocyte with finely granular cytoplasm. Flow cytometry identified a CD34−/HLA-DR− myeloid population, whereas fluorescence in situ hybridization confirmed the presence of t(15;17).
Chediak-Higashi–like granules are rarely observed in APL. Ultrastructurally, they represent aggregates of immature primary (azurophil) granules that show a crystalline structure and/or vacuolization—a feature lacking in Chediak-Higashi disease. Their occurrence in this case helped confirm a leukemic phenotype amid a confounding growth factor effect and concurrent ATRA therapy before ancillary studies were available.
A 59-year-old woman with disseminated intravascular coagulation was transferred after a dose of growth factor for “leukopenia.” Laboratory studies showed elevated d-dimer (201 934 ng/mL), with a white blood cell count of 41 000/mm3 (blasts, 19%; promyelocytes, 37%) and platelets of 49 000/μL, at which time all-trans-retinoic acid (ATRA) had already been instituted owing to a high suspicion of acute promyelocytic leukemia (APL). In the peripheral blood smear, a proportion of promyelocytes appeared overtly leukemic (with deeply clefted nuclei), and others appeared nonleukemic (with paranuclear Hof and toxic changes). Notably, several promyelocytes contained numerous immature pink azurophilic granules (panel A). These granules formed small clumps with cytoplasmic clearing (panels B-C) or existed as larger, globular pink structures with Chediak-Higashi–like morphology (panels D-E). Panel F shows a bilobed (coin-on-coin) promyelocyte with finely granular cytoplasm. Flow cytometry identified a CD34−/HLA-DR− myeloid population, whereas fluorescence in situ hybridization confirmed the presence of t(15;17).
Chediak-Higashi–like granules are rarely observed in APL. Ultrastructurally, they represent aggregates of immature primary (azurophil) granules that show a crystalline structure and/or vacuolization—a feature lacking in Chediak-Higashi disease. Their occurrence in this case helped confirm a leukemic phenotype amid a confounding growth factor effect and concurrent ATRA therapy before ancillary studies were available.
For additional images, visit the ASH IMAGE BANK, a reference and teaching tool that is continually updated with new atlas and case study images. For more information visit http://imagebank.hematology.org.

This feature is available to Subscribers Only
Sign In or Create an Account Close Modal