A 34-year-old man presented with gum bleeding. His complete blood count revealed hemoglobin, 10 g/dL; red blood cells, 3.8 × 1012/L; hematocrit, 34%; white blood cells, 64 × 109/L; and platelets, 12 × 109/L. The peripheral blood smear showed numerous blasts, small to medium in size with finely granular, basophilic cytoplasm and an occasional Auer rod; however, multiple Auer rods were noted on the top of the nucleus of a single blast (panels A-B). The chromatin pattern in the nuclei appeared to be dispersed with the presence of multiple nucleoli. A provisional diagnosis of acute promyelocytic leukemia (APL) was made on morphology alone with the clinician being immediately informed. Reverse transcription–polymerase chain reaction on the following day confirmed the presence of t(15;17)(q22;q12);PML-RARA consistent with APL.
APL is a medical emergency, with disseminated intravascular coagulation and severe thrombocytopenia being its most common manifestations. A strong suspicion on the peripheral blood smear significantly reduces the diagnostic lag time crucial for timely intervention. Multiple Auer rods, the morphologic hallmark of APL, may not always be evident in the cytoplasm, being left stranded on the top of the nuclei like in this case. Thus, hematopathologists should always look for Auer rods on the top.
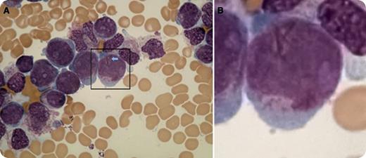
A 34-year-old man presented with gum bleeding. His complete blood count revealed hemoglobin, 10 g/dL; red blood cells, 3.8 × 1012/L; hematocrit, 34%; white blood cells, 64 × 109/L; and platelets, 12 × 109/L. The peripheral blood smear showed numerous blasts, small to medium in size with finely granular, basophilic cytoplasm and an occasional Auer rod; however, multiple Auer rods were noted on the top of the nucleus of a single blast (panels A-B). The chromatin pattern in the nuclei appeared to be dispersed with the presence of multiple nucleoli. A provisional diagnosis of acute promyelocytic leukemia (APL) was made on morphology alone with the clinician being immediately informed. Reverse transcription–polymerase chain reaction on the following day confirmed the presence of t(15;17)(q22;q12);PML-RARA consistent with APL.
APL is a medical emergency, with disseminated intravascular coagulation and severe thrombocytopenia being its most common manifestations. A strong suspicion on the peripheral blood smear significantly reduces the diagnostic lag time crucial for timely intervention. Multiple Auer rods, the morphologic hallmark of APL, may not always be evident in the cytoplasm, being left stranded on the top of the nuclei like in this case. Thus, hematopathologists should always look for Auer rods on the top.
For additional images, visit the ASH IMAGE BANK, a reference and teaching tool that is continually updated with new atlas and case study images. For more information visit http://imagebank.hematology.org.

This feature is available to Subscribers Only
Sign In or Create an Account Close Modal