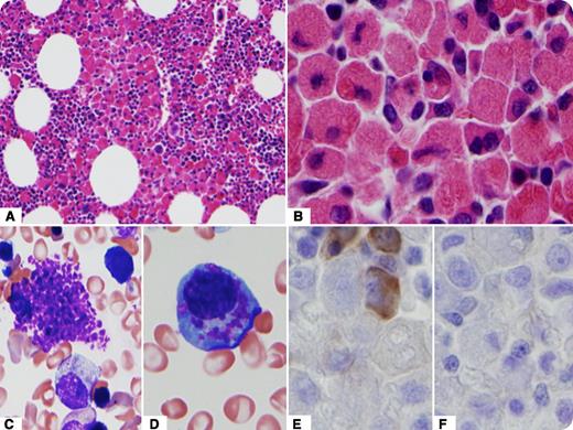
Crystal-storing histiocytosis is characterized by intra-cytoplasmic accumulation of crystallized immunoglobulins in histiocytes and is typically associated with disorders that express monoclonal immunoglobulins. A 43-year-old woman with stage IV chronic kidney disease due to renal tubular acidosis undergoing evaluation for kidney transplant was found to have a 0.2 g/dL serum IgD κ monoclonal protein on serum protein electrophoresis and immunofixation study. Bone marrow core biopsy showed numerous aggregated histiocytes with intra-cytoplasmic eosinophilic inclusions (panel A, original magnification ×20, and panel B, original magnification ×100), prominent on the aspirate smears, and present in histiocytes (panel C, original magnification ×50), as well as in the plasma cells (panel D, original magnification ×50). Immunohistochemical stains identified 5% to 8% κ monotypic plasma cells, but the intracytoplasmic crystals were negative for κ or λ immunoglobulin light chains (panels E and F, respectively, original magnification ×100). The immunoglobulin IgD heavy-chain immunostain was tried but as a result of high background staining was noncontributory. No lytic lesions were seen on imaging. The patient was diagnosed with monoclonal gammopathy of uncertain significance (MGUS) and was cleared for renal transplant.
This case illustrates prominent accumulation of crystal-storing histiocytes in the context of MGUS with low paraprotein levels.
Crystal-storing histiocytosis is characterized by intra-cytoplasmic accumulation of crystallized immunoglobulins in histiocytes and is typically associated with disorders that express monoclonal immunoglobulins. A 43-year-old woman with stage IV chronic kidney disease due to renal tubular acidosis undergoing evaluation for kidney transplant was found to have a 0.2 g/dL serum IgD κ monoclonal protein on serum protein electrophoresis and immunofixation study. Bone marrow core biopsy showed numerous aggregated histiocytes with intra-cytoplasmic eosinophilic inclusions (panel A, original magnification ×20, and panel B, original magnification ×100), prominent on the aspirate smears, and present in histiocytes (panel C, original magnification ×50), as well as in the plasma cells (panel D, original magnification ×50). Immunohistochemical stains identified 5% to 8% κ monotypic plasma cells, but the intracytoplasmic crystals were negative for κ or λ immunoglobulin light chains (panels E and F, respectively, original magnification ×100). The immunoglobulin IgD heavy-chain immunostain was tried but as a result of high background staining was noncontributory. No lytic lesions were seen on imaging. The patient was diagnosed with monoclonal gammopathy of uncertain significance (MGUS) and was cleared for renal transplant.
This case illustrates prominent accumulation of crystal-storing histiocytes in the context of MGUS with low paraprotein levels.
For additional images, visit the ASH IMAGE BANK, a reference and teaching tool that is continually updated with new atlas and case study images. For more information visit http://imagebank.hematology.org.

This feature is available to Subscribers Only
Sign In or Create an Account Close Modal