Abstract

X-linked thrombocytopenia with thalass emia (XLTT)(OMIM 314050)was first described by Thompson in 1977(Thompson et al. J Blood 1977 50(2):303-16). This rare inherent disorder was caused by a nucleotide change G>A at position 647, which leads to an amino acid substitution of arginine to glutamine (R216Q) in the gene of GATA-1 on the band p11-12 ohuman X chromosome(Raskind et al. Blood 2000, 95(7):2262-8 ;Yu et al.J Blood 2002,100(6): 2040-2045).
GATA-1, belonging to the GATA family of transcription factors plays a crucial role in the development of several hematopoietic cell lines ( Ferreira et al. J Mol Cell Biol 2005,25(4): 1215-1227) . The missense mutation(R216Q) in XLTT affects GATA-1 binding to palindromic DNA sites (Yu et al.J Blood 2002,100(6): 2040-2045).
The clinical characteristics of XLTT are mild thrombocytopenia, splenomegaly, reticulocytosis, hemolytic anemia and unbalanced hemoglobin (Hb) chain synthesis resembling ¦Â-thalassemia (Raskind et al. Blood 2000, 95(7):2262-8 ; Balduini et al. J Thromb Haemost 2004, Jan;91(1):129-40). About 7 families of XLTT were reported before (Millikan et al.J Semin Thromb Hemost 2011,37(6): 682-689; Danielsson et al. J Lakartidningen 2012 ,109(34-35): 1474-1477).Bone marrow fibrosis is described only in tow Swedish families ( Danielsson et al. J Lakartidningen 2012 ,109(34-35): 1474-1477).But there is limited data about the treament and prognosis of the diesase. Here we describe the full clinical characteristics of a boy of XLTT who was treated by splenectomy.
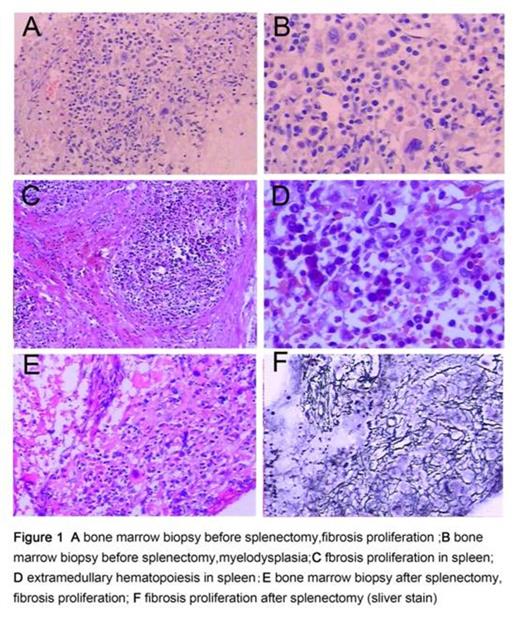
The patient was first admitted at the age of 1year and 8 months in 2011.The chief complain was skin petechia and pale for more than one month. The boy had lower weight but no visible malformation. Feeding difficult and lag of language development were also complained.His Liver was 2.3cm below the right ribs and spleen was 3.2cm below the left. Peripheral blood count showed hemoglobin 8 g/dL, MCV76.7fl, MCH21.8 pg,MCHC284 g/L and reticulocyte count 0.1764¡Á1012/L. Peripheral blood smear demonstrated marked anisopoikilocytosis, polychromasia and nucleated RBCs.Platelet count was 64¡Á109/L with normal morphology.Wight blood cell was normal in number and morphology.elevated to 0.226(normal range 0-0.025) while HBA2 and hemoglobin electrophoresis was normal. Bone marrow biopsy and aspirate smear revealed a hypercellular marrow with dysplasia of erythrocyte series and megakaryoblasts (Figure 1 A). Polynuclear erythroblast ,micromegakaryocytes and hypolobated megakaryocytes could be easily seen (Figure 1 B). Fibrosis proliferation was obvious (Figure 1 A). Genetic analysis discovered a mutantion of GATA-1(R216Q)and excluded mutations of hemoglobin gnens and JAK-2.
Patient was treated with dexamethasone and thalidomide which got little effect. The baseline hemoglobin was 6-8 g/dL.Platelet count ranged from 30 to 70¡Á109/L. Splenectomy was done at the age of 5years and 4 months because of constantly RBC transfusion and splenomegaly. Fibrosis proliferation and extramedullary hematopoiesis in spleen were proved by biopsy (Figure 1 C,D).The boy's complete blood count was recovered 4 months after splenectomy. Hemoglobin rose to11.6 g/dL and platelet count was 337¡Á109/L. HBF was still high at 0.226. Multifocal fibrosis proliferation still existed in bone marrow biopsy but with no myelodysplasia (Figure 1 E,F). Hepatomegaly didn't progress. He has good quality of life,and normal growth and intelligence development.
Splenectomy can be a therapeutic strategy of X-linked thrombocytopenia with thalassemia.
No relevant conflicts of interest to declare.
Author notes
Asterisk with author names denotes non-ASH members.

This icon denotes a clinically relevant abstract

This feature is available to Subscribers Only
Sign In or Create an Account Close Modal