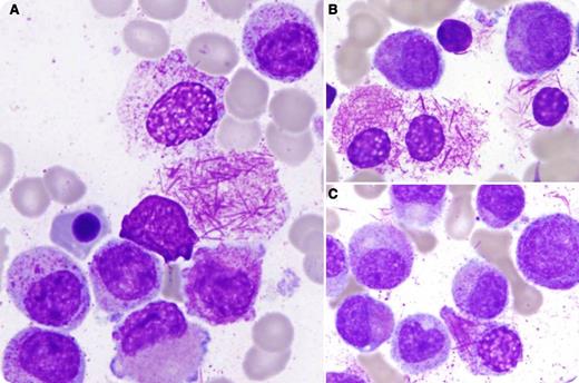
A 67-year-old man presented with easy bruising, fatigue, pancytopenia (white blood cell count, 1.9 × 109/L; hemoglobin, 10.8 g/dL; platelets, 89 × 109/L), and low-grade disseminated intravascular coagulation (international normalized ratio, 1.3; partial thromboplastin time, 22 s; fibrinogen, 93 mg/dL; D-dimer, positive). Peripheral smear showed 36% circulating promyelocytes and mild thrombocytopenia. Morphologic, immunophenotypic (positive myeloperoxidase, negative CD34, and HLA-DR by flow), and clinical findings suggested a diagnosis of acute promyelocytic leukemia (APL), and the patient was started on all-trans retinoic acid (ATRA). The bone marrow was 100% cellular with sheets of neoplastic promyelocytes containing numerous primary azurophilic granules, and few Auer rods (panels A-C). Also noted were histiocytes packed with phagocytosed Auer rods (panels A-C), as well as extracellular Auer rods (panel C). Surprisingly, fluorescence in situ hybridization (FISH) was negative for the t(15;17) involving promyelocytic leukemia–retinoic acid receptor α (PML-RARA), and the RARA break apart (17q). A normal male karyotype was reported. Nevertheless, suspicion for APL remained high and reverse transcriptase polymerase chain reaction was performed, demonstrating PML-RARA fusion transcripts confirming the diagnosis of FISH-negative, cytogenetically cryptic APL with t(15;17)(q22;q12).
Unlike our patient, a significant proportion of cytogenetically cryptic cases of APL can be shown to have insertions of the PML gene to the RARA gene or vice versa and, therefore, FISH should be performed with the requisite vigilance. FISH-negative, cytogenetically cryptic APL represents a unique, albeit rare, clinical challenge where morphological suspicion in the right clinical setting necessitates empiric ATRA despite negative FISH and cytogenetic studies.
A 67-year-old man presented with easy bruising, fatigue, pancytopenia (white blood cell count, 1.9 × 109/L; hemoglobin, 10.8 g/dL; platelets, 89 × 109/L), and low-grade disseminated intravascular coagulation (international normalized ratio, 1.3; partial thromboplastin time, 22 s; fibrinogen, 93 mg/dL; D-dimer, positive). Peripheral smear showed 36% circulating promyelocytes and mild thrombocytopenia. Morphologic, immunophenotypic (positive myeloperoxidase, negative CD34, and HLA-DR by flow), and clinical findings suggested a diagnosis of acute promyelocytic leukemia (APL), and the patient was started on all-trans retinoic acid (ATRA). The bone marrow was 100% cellular with sheets of neoplastic promyelocytes containing numerous primary azurophilic granules, and few Auer rods (panels A-C). Also noted were histiocytes packed with phagocytosed Auer rods (panels A-C), as well as extracellular Auer rods (panel C). Surprisingly, fluorescence in situ hybridization (FISH) was negative for the t(15;17) involving promyelocytic leukemia–retinoic acid receptor α (PML-RARA), and the RARA break apart (17q). A normal male karyotype was reported. Nevertheless, suspicion for APL remained high and reverse transcriptase polymerase chain reaction was performed, demonstrating PML-RARA fusion transcripts confirming the diagnosis of FISH-negative, cytogenetically cryptic APL with t(15;17)(q22;q12).
Unlike our patient, a significant proportion of cytogenetically cryptic cases of APL can be shown to have insertions of the PML gene to the RARA gene or vice versa and, therefore, FISH should be performed with the requisite vigilance. FISH-negative, cytogenetically cryptic APL represents a unique, albeit rare, clinical challenge where morphological suspicion in the right clinical setting necessitates empiric ATRA despite negative FISH and cytogenetic studies.
For additional images, visit the ASH IMAGE BANK, a reference and teaching tool that is continually updated with new atlas and case study images. For more information visit http://imagebank.hematology.org.

This feature is available to Subscribers Only
Sign In or Create an Account Close Modal