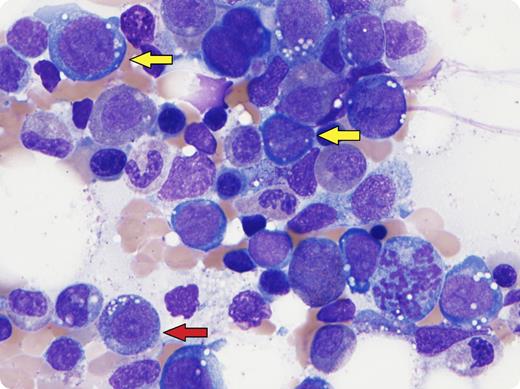
A 66-year-old woman with a history of obesity status post–gastric bypass presented with pancytopenia and no evidence of myeloneuropathy. A bone marrow biopsy was performed to exclude myelodysplastic syndrome (MDS) and showed no excess blasts and several vacuolated granulocytic (red arrow) and erythroid (yellow arrows) precursors with occasional megaloblastic change. Folate and vitamin B12 levels were normal. Iron studies showed a decreased serum iron and transferrin saturation with normal ferritin (the patient has concomitant chronic inflammation with liver disease). The aspirate also showed absent iron stores, which further confirmed iron deficiency. Cytogenetics showed a normal karyotype. Follow-up copper and ceruloplasmin levels were markedly decreased, thus consistent with a concurrent copper deficiency. Treatment with copper gluconate ultimately resolved the cytopenias.
With the rising obesity epidemic and number of gastric bypass procedures, patients presenting with cytopenias must be considered for acquired copper deficiency. Copper deficiency classically presents with cytoplasmic vacuoles in the granulocytic and erythroid precursors, iron-containing plasma cells, and ring sideroblasts (which were absent here due to iron deficiency). Megaloblastic changes in erythroids have been reported in copper deficiency. Overall, because copper deficiency may mimic MDS, it should always be ruled out to avoid misguided treatment.
A 66-year-old woman with a history of obesity status post–gastric bypass presented with pancytopenia and no evidence of myeloneuropathy. A bone marrow biopsy was performed to exclude myelodysplastic syndrome (MDS) and showed no excess blasts and several vacuolated granulocytic (red arrow) and erythroid (yellow arrows) precursors with occasional megaloblastic change. Folate and vitamin B12 levels were normal. Iron studies showed a decreased serum iron and transferrin saturation with normal ferritin (the patient has concomitant chronic inflammation with liver disease). The aspirate also showed absent iron stores, which further confirmed iron deficiency. Cytogenetics showed a normal karyotype. Follow-up copper and ceruloplasmin levels were markedly decreased, thus consistent with a concurrent copper deficiency. Treatment with copper gluconate ultimately resolved the cytopenias.
With the rising obesity epidemic and number of gastric bypass procedures, patients presenting with cytopenias must be considered for acquired copper deficiency. Copper deficiency classically presents with cytoplasmic vacuoles in the granulocytic and erythroid precursors, iron-containing plasma cells, and ring sideroblasts (which were absent here due to iron deficiency). Megaloblastic changes in erythroids have been reported in copper deficiency. Overall, because copper deficiency may mimic MDS, it should always be ruled out to avoid misguided treatment.
For additional images, visit the ASH IMAGE BANK, a reference and teaching tool that is continually updated with new atlas and case study images. For more information visit http://imagebank.hematology.org.

This feature is available to Subscribers Only
Sign In or Create an Account Close Modal