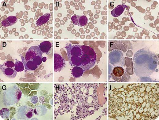
A 39-year-old woman presented with severe low back pain, hepatosplenomegaly, leukocytosis (15.9 × 109/L), anemia (7.3 g/dL), thrombocytopenia (48 × 109/L), and elevated serum tryptase (>200 ng/mL). Coagulation was normal. Blood film revealed 46% promyelocyte-like cells (panel A; original magnification ×1000; May-Grünwald-Giemsa stain), with a few cells showing focal granule accumulation (panel B; original magnification ×1000; May-Grünwald-Giemsa stain). A cytoplasmic projection was detected in up to 2% of these cells (panel C; original magnification ×1000; May-Grünwald-Giemsa stain). Marrow aspirate showed 88% hypergranular cells, many of them with multilobed nuclei and pronounced polar granule aggregates (panels D-E; original magnification ×1000; May-Grünwald-Giemsa stain). No Auer rods were found. These cells showed myeloperoxidase negativity (panel F; original magnification ×1000) and metachromasia on toluidine blue staining (panel G; original magnification ×1000). Flow cytometry identified the cells as CD203c+/CD117++/CD123−/CD45+/CD33++/CD13+/HLADR−/CD2−/CD25−/CD30+. Trephine biopsy showed diffuse infiltration (panel H; original magnification ×250, hematoxylin and eosin stain) by CD117+/CD25−/tryptase+ cells (panel I; original magnification ×200, tryptase immunostain). Cytogenetics revealed a complex karyotype (55-86 chromosomes) with numerous marker chromosomes. PML/RARA rearrangement and KIT D816V mutation were negative. A diagnosis of mast cell leukemia (MCL) was made. Sixty-four days later, the patient died of multiorgan failure.
Circulating hypergranular neoplastic cells are observed in “typical” acute promyelocytic leukemia. However, MCL, an aggressive and very rare form of systemic mastocytosis, should also be considered. A negative KIT D816V result does not exclude MCL. Tryptase levels and immunophenotype ease the diagnosis.
A 39-year-old woman presented with severe low back pain, hepatosplenomegaly, leukocytosis (15.9 × 109/L), anemia (7.3 g/dL), thrombocytopenia (48 × 109/L), and elevated serum tryptase (>200 ng/mL). Coagulation was normal. Blood film revealed 46% promyelocyte-like cells (panel A; original magnification ×1000; May-Grünwald-Giemsa stain), with a few cells showing focal granule accumulation (panel B; original magnification ×1000; May-Grünwald-Giemsa stain). A cytoplasmic projection was detected in up to 2% of these cells (panel C; original magnification ×1000; May-Grünwald-Giemsa stain). Marrow aspirate showed 88% hypergranular cells, many of them with multilobed nuclei and pronounced polar granule aggregates (panels D-E; original magnification ×1000; May-Grünwald-Giemsa stain). No Auer rods were found. These cells showed myeloperoxidase negativity (panel F; original magnification ×1000) and metachromasia on toluidine blue staining (panel G; original magnification ×1000). Flow cytometry identified the cells as CD203c+/CD117++/CD123−/CD45+/CD33++/CD13+/HLADR−/CD2−/CD25−/CD30+. Trephine biopsy showed diffuse infiltration (panel H; original magnification ×250, hematoxylin and eosin stain) by CD117+/CD25−/tryptase+ cells (panel I; original magnification ×200, tryptase immunostain). Cytogenetics revealed a complex karyotype (55-86 chromosomes) with numerous marker chromosomes. PML/RARA rearrangement and KIT D816V mutation were negative. A diagnosis of mast cell leukemia (MCL) was made. Sixty-four days later, the patient died of multiorgan failure.
Circulating hypergranular neoplastic cells are observed in “typical” acute promyelocytic leukemia. However, MCL, an aggressive and very rare form of systemic mastocytosis, should also be considered. A negative KIT D816V result does not exclude MCL. Tryptase levels and immunophenotype ease the diagnosis.
For additional images, visit the ASH IMAGE BANK, a reference and teaching tool that is continually updated with new atlas and case study images. For more information visit http://imagebank.hematology.org.
This feature is available to Subscribers Only
Sign In or Create an Account Close Modal