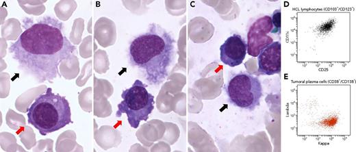
A 43-year-old woman presented with chronic renal failure evolving for 1 year. There were no B symptoms suggestive of a tumor. The kidney biopsy showed a κ light chain deposition disease. Free κ light chains were elevated (836 mg/L) with a κ/λ ratio of 39. A bone marrow aspirate smear had 28% of plasma cells (panels A-C, red arrows, original magnification ×1000; May-Grünwald Giemsa staining) leading to the diagnosis of multiple myeloma (MM). Unexpectedly, it showed 2% of hairy cells (panels A-C, black arrows) with bean-shaped nuclei, ground-glass chromatin, and abundant pale blue cytoplasm with circumferential hairy projections. Bone marrow immunophenotyping confirmed both λ monotypic hairy cell leukemia (HCL) (CD19+/CD103+/CD11c+/CD25+/CD123+) (panel D) and abnormal κ monotypic plasma cells (CD38+/CD138+/CD19−/CD45+/−) (panel E). After treatment with bortezomib, cyclophosphamide, and dexamethasone, the patient achieved very good partial response for MM, and peripheral blood immunophenotyping did not identify any HCL lymphocytes.
Given that the BRAF V600E mutation is characteristic of HCL, but has also been described in ∼5% of MM, the association of both diseases raised the hypothesis of a shared clonal origin. However, after cell sorting, the BRAF V600E mutation was found in the CD19+ fraction (HCL), but not in the CD138+ fraction, confirming that both diseases were unrelated.
A 43-year-old woman presented with chronic renal failure evolving for 1 year. There were no B symptoms suggestive of a tumor. The kidney biopsy showed a κ light chain deposition disease. Free κ light chains were elevated (836 mg/L) with a κ/λ ratio of 39. A bone marrow aspirate smear had 28% of plasma cells (panels A-C, red arrows, original magnification ×1000; May-Grünwald Giemsa staining) leading to the diagnosis of multiple myeloma (MM). Unexpectedly, it showed 2% of hairy cells (panels A-C, black arrows) with bean-shaped nuclei, ground-glass chromatin, and abundant pale blue cytoplasm with circumferential hairy projections. Bone marrow immunophenotyping confirmed both λ monotypic hairy cell leukemia (HCL) (CD19+/CD103+/CD11c+/CD25+/CD123+) (panel D) and abnormal κ monotypic plasma cells (CD38+/CD138+/CD19−/CD45+/−) (panel E). After treatment with bortezomib, cyclophosphamide, and dexamethasone, the patient achieved very good partial response for MM, and peripheral blood immunophenotyping did not identify any HCL lymphocytes.
Given that the BRAF V600E mutation is characteristic of HCL, but has also been described in ∼5% of MM, the association of both diseases raised the hypothesis of a shared clonal origin. However, after cell sorting, the BRAF V600E mutation was found in the CD19+ fraction (HCL), but not in the CD138+ fraction, confirming that both diseases were unrelated.
For additional images, visit the ASH Image Bank, a reference and teaching tool that is continually updated with new atlas and case study images. For more information, visit http://imagebank.hematology.org.

This feature is available to Subscribers Only
Sign In or Create an Account Close Modal