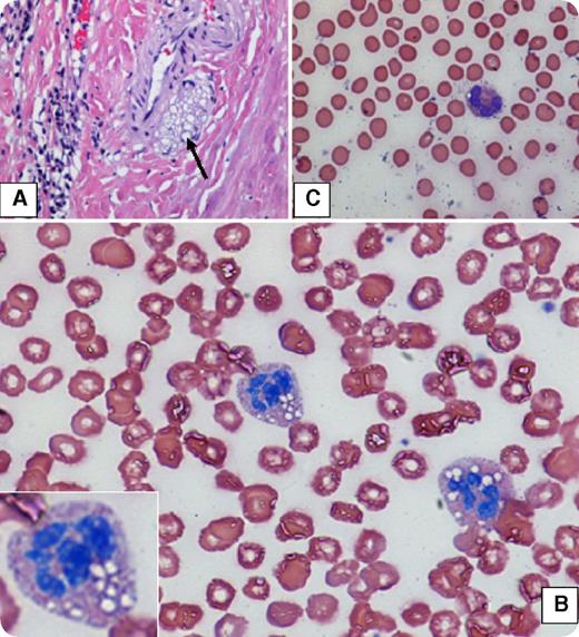
A 17-year-old woman was evaluated for bleeding in the postoperative period after tonsillectomy. Her past medical history is notable for myopathy and liver dysfunction. She was referred to our hematology office after extensive testing found no etiology for her bleeding. Hematoxylin and eosin (H&E) staining of resected tonsil demonstrated lipid-rich deposits (panel A; original magnification ×100). A peripheral blood smear revealed prominent lipid-laden vacuolated granulocytes (panel B; Wright stain, original magnification ×100), a finding known as Jordans anomaly, which is pathognomonic for neutral-lipid storage disease (NLSD). Sequencing of the PNPLA2 gene uncovered a 2-exon deletion confirming the diagnosis. The patient was put on a medium-chain lipid–rich diet with improvement in her symptoms and no further bleeding. Interestingly, a peripheral blood smear from the patient’s mother (panel C; Wright stain, original magnification ×100) showed only occasional vacuolated granulocytes, consistent with a heterozygous genotype.
The NLSDs are a collection of congenital autosomal recessive disorders manifested clinically by 2 separate syndromes: myopathy with ichthyosis (Chanarin-Dorfman syndrome), caused by mutations in the ABHD5 gene, and myopathy without ichthyosis, caused by mutated PNPLA2. NLSDs are extremely rare, with fewer than 100 documented cases. Lipid accumulation is most prominent in myocytes, hepatocytes, and granulocytes, although other tissues are often involved. Bleeding has not been described and, in this case, likely reflects lipid accumulation at the surgical bed.
A 17-year-old woman was evaluated for bleeding in the postoperative period after tonsillectomy. Her past medical history is notable for myopathy and liver dysfunction. She was referred to our hematology office after extensive testing found no etiology for her bleeding. Hematoxylin and eosin (H&E) staining of resected tonsil demonstrated lipid-rich deposits (panel A; original magnification ×100). A peripheral blood smear revealed prominent lipid-laden vacuolated granulocytes (panel B; Wright stain, original magnification ×100), a finding known as Jordans anomaly, which is pathognomonic for neutral-lipid storage disease (NLSD). Sequencing of the PNPLA2 gene uncovered a 2-exon deletion confirming the diagnosis. The patient was put on a medium-chain lipid–rich diet with improvement in her symptoms and no further bleeding. Interestingly, a peripheral blood smear from the patient’s mother (panel C; Wright stain, original magnification ×100) showed only occasional vacuolated granulocytes, consistent with a heterozygous genotype.
The NLSDs are a collection of congenital autosomal recessive disorders manifested clinically by 2 separate syndromes: myopathy with ichthyosis (Chanarin-Dorfman syndrome), caused by mutations in the ABHD5 gene, and myopathy without ichthyosis, caused by mutated PNPLA2. NLSDs are extremely rare, with fewer than 100 documented cases. Lipid accumulation is most prominent in myocytes, hepatocytes, and granulocytes, although other tissues are often involved. Bleeding has not been described and, in this case, likely reflects lipid accumulation at the surgical bed.
For additional images, visit the ASH Image Bank, a reference and teaching tool that is continually updated with new atlas and case study images. For more information, visit http://imagebank.hematology.org.

This feature is available to Subscribers Only
Sign In or Create an Account Close Modal