A 39-year-old man treated for a T-cell/histiocyte-rich large B-cell lymphoma–like transformation of nodular lymphocyte-predominant Hodgkin lymphoma with an aggressive and diffuse clinical presentation was hospitalized for fever and aplasia after the fourth cycle of rituximab plus doxorubicin, cyclophosphamide, vindesine, bleomycin, and prednisone. Results of the polymerase chain reaction test routinely performed in the context of pandemic COVID-19 were positive. Initially, there were no severe pulmonary symptoms, and the computed tomography scan showed moderate lung damage. Because persistence of lymphoma was proven based on results of the axillary lymph node biopsy, second-line rituximab, dexamethasone, cytarabine, and cisplatin treatment was initiated.
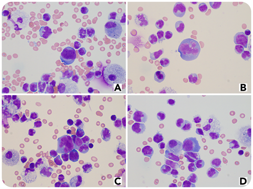
Eleven days after the first cycle, the patient was hospitalized for febrile aplasia. The computed tomography scan performed to evaluate his pulmonary status revealed signs compatible with COVID-19. A bronchoalveolar lavage was performed, which showed 160 × 103 cells/mL, 3% neutrophils, 2% eosinophils, 25% lymphocytes, 20% macrophages, and 50% of larger lymphoid cells, some with very atypical aspects (panels A-D, original magnification ×1000, May-Grünwald-Giemsa stain). Due to the refractory lymphoma context, a pulmonary localization was suspected. The flow cytometry analysis (DURAClone 10-color panel; Beckman Coulter) showed the absence of B CD19- and/or CD20-positive lymphoid cells and 96% of CD3-positive lymphocytes, of which 71% were CD8-positive lymphocytes. Results of the COVID-19 polymerase chain reaction test were positive on this sample. We concluded that these cells represented atypical reactive lymphocytes in the context of a COVID-19–induced pneumonia; this hypothesis was confirmed by the subsequent clinical course.
A 39-year-old man treated for a T-cell/histiocyte-rich large B-cell lymphoma–like transformation of nodular lymphocyte-predominant Hodgkin lymphoma with an aggressive and diffuse clinical presentation was hospitalized for fever and aplasia after the fourth cycle of rituximab plus doxorubicin, cyclophosphamide, vindesine, bleomycin, and prednisone. Results of the polymerase chain reaction test routinely performed in the context of pandemic COVID-19 were positive. Initially, there were no severe pulmonary symptoms, and the computed tomography scan showed moderate lung damage. Because persistence of lymphoma was proven based on results of the axillary lymph node biopsy, second-line rituximab, dexamethasone, cytarabine, and cisplatin treatment was initiated.
Eleven days after the first cycle, the patient was hospitalized for febrile aplasia. The computed tomography scan performed to evaluate his pulmonary status revealed signs compatible with COVID-19. A bronchoalveolar lavage was performed, which showed 160 × 103 cells/mL, 3% neutrophils, 2% eosinophils, 25% lymphocytes, 20% macrophages, and 50% of larger lymphoid cells, some with very atypical aspects (panels A-D, original magnification ×1000, May-Grünwald-Giemsa stain). Due to the refractory lymphoma context, a pulmonary localization was suspected. The flow cytometry analysis (DURAClone 10-color panel; Beckman Coulter) showed the absence of B CD19- and/or CD20-positive lymphoid cells and 96% of CD3-positive lymphocytes, of which 71% were CD8-positive lymphocytes. Results of the COVID-19 polymerase chain reaction test were positive on this sample. We concluded that these cells represented atypical reactive lymphocytes in the context of a COVID-19–induced pneumonia; this hypothesis was confirmed by the subsequent clinical course.
For additional images, visit the ASH Image Bank, a reference and teaching tool that is continually updated with new atlas and case study images. For more information, visit http://imagebank.hematology.org.

This feature is available to Subscribers Only
Sign In or Create an Account Close Modal