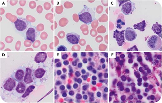
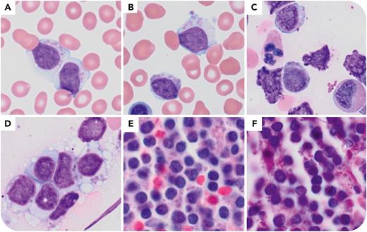
A 65-year-old woman presented with stroke, splenomegaly, and lymphadenopathy. Hemoglobin count was 11.9 g/dL, platelet count was 181 × 109/L, and white blood cell count was 53.1 × 109/L with absolute lymphocytosis of 48.1 × 109/L including atypical lymphocytes demonstrating large eosinophilic cytoplasmic inclusions (panels A-B, Wright-Giemsa stain, 100× lens objective). Flow cytometry demonstrated a monotypic B-cell population negative for CD5 and CD10. Lymph node and bone marrow biopsies showed diffuse lymphoid involvement most compatible with marginal zone lymphoma; results were positive for CD20, PAX5, and BCL2 and negative for MPO, CD3, CD5, CD10, CD23, and BCL6. The inclusions were identified in the bone marrow aspirate (panel C, Wright-Giemsa stain, 100× lens objective), touch preparation (panel D, Wright-Giemsa stain, 100× lens objective), and clot (panel E, hematoxylin and eosin, 100× lens objective), with variable periodic acid–Schiff (PAS) positivity (panel F, PAS, 100× lens objective). Fluorescence in situ hybridization demonstrated gain of BCL2 signal and was negative for MYC rearrangement. Mutations in BRAF and MYD88 were not detected.
Pseudo-Chédiak-Higashi inclusions have been reported in myeloid neoplasms, lymphoblastic leukemia, and acute monoblastic leukemia. To our knowledge, they have not been described in mature B-cell neoplasms. The mechanism of inclusion formation outside the eponymous syndrome is unknown, but their presence has been suggested as evidence of myeloid lineage. This case counterdemonstrates the presence of pseudo-Chédiak-Higashi inclusions in a low-grade lymphoid neoplasm.
For additional images, visit the ASH Image Bank, a reference and teaching tool that is continually updated with new atlas and case study images. For more information, visit https://imagebank.hematology.org.

This feature is available to Subscribers Only
Sign In or Create an Account Close Modal