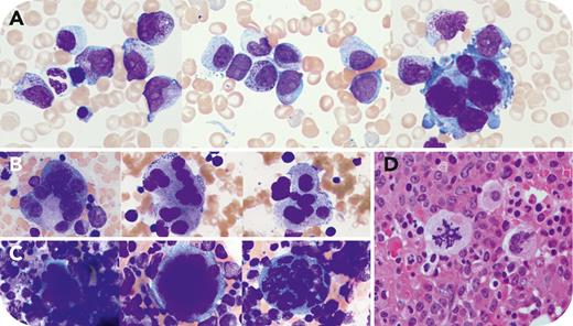
A 75-year-old man with no history of hematological disease was investigated for pancytopenia. Peripheral blood showed leukocytes at 3.1 × 109/L, neutrophils at 0.318 × 109/L, hemoglobin at 98 g/L, and platelets at 60 × 109/L, with no dysplastic granulocytes or blasts. Marrow aspirate demonstrated multilineage dysplasia, including granulocytic hyperplasia/dysplasia with increased blasts, Auer rods and hypogranular myelocytes/granulocytes (panel A, May-Grünwald Giemsa stain, 100× lens objective), and megakaryocytic dysplasia with multinucleation with separated lobes (panels B-C, May-Grünwald Giemsa stain, 100× lens objective). Interestingly, multiple megakaryocyte mitotic figures with separate mitotic plates were observed in both aspirate and biopsy (panels C-D; panel D, hematoxylin and eosin stain, 50× lens objective). Flow cytometry of marrow aspirate demonstrated 40% blasts, including 10% CD34+/CD117+ blasts and 30% CD117+ blasts, positive for CD33+/CD13+/HLA-DR+/aberrant CD7+/cytoplasmic myeloperoxidase+, confirmed by biopsy and immunohistochemical stains. Cytogenetics demonstrated 46, XY, +8[20]. Myeloid mutation panel showed STAG2: c.775C>T p.Arg259∗ (variant allele frequency [VAF], 82.6%), SRSF2: c.284C>A p.Pro95His (VAF, 46.2%), ASXL1: c.2278C>T p.Gln760∗ (VAF, 46.5%), TET2: c.3619G>A p.Glu1207Lys (VAF, 45.4%), and TET2: c.3532delG p.Glu1178Lysfs∗48 (VAF, 41.3%). A diagnosis of acute myeloid leukemia, myelodysplasia related, was rendered, per the World Health Organization Classification of Haematolymphoid Tumours, fifth edition.
Observing megakaryocyte endomitosis with separate mitotic plates is exceedingly rare. Given synergistic STAG2/SRSF2/ASXL1 comutations in myelodysplasia, especially STAG2, known to disrupt mitosis error correction and deregulate gene expression, it seems to agree with a study that dysplastic megakaryocytes with multinucleation stem from dysregulated endomitosis, meriting further investigation.
For additional images, visit the ASH Image Bank, a reference and teaching tool that is continually updated with new atlas and case study images. For more information, visit https://imagebank.hematology.org.

This feature is available to Subscribers Only
Sign In or Create an Account Close Modal