Abstract
Previous studies have shown that the cyclin-dependent kinase inhibitor (CDKI) genes p15INK4B and p16INK4A are frequently inactivated by genetic alterations in many malignant tumors and that they are candidate tumor-suppressor genes. Although genetic alterations in these genes may be limited to lymphoid malignancies, it has been reported that their inactivation by aberrant methylation of 5′ CpG islands may be involved in various hematologic malignancies. In this study, we investigated the p15INK4B and p16INK4A genes to clarify their roles in the pathogenesis of myelodysplastic syndrome (MDS). Southern blotting analysis showed no gross genetic alterations in either of these genes. However, hypermethylation of the 5′ CpG island of the p15INK4B gene occurred frequently in patients with MDS (16/32 [50%]). Interestingly, the p15INK4B gene was frequently methylated in patients with high-risk MDS (refractory anemia with excess blasts [RAEB], RAEB in transformation [RAEB-t], and overt leukemia evolved from MDS; 14/18 [78%]) compared with patients with low-risk MDS (refractory anemia [RA] and refractory anemia with ring sideroblast [RARS]; 1/12 [8%]). Furthermore, methylation status of the p15INK4B gene was progressed with the development of MDS in most patients examined. In contrast, none of the MDS patients showed apparent hypermethylation of the p16INK4A gene. These results suggest that hypermethylation of the p15INK4B gene is involved in the pathogenesis of MDS and is one of the important late events during the development of MDS.
RECENTLY, MANY MOLECULES involved in regulation of the cell cycle have been discovered. For orderly cell division, these cell cycle regulators are activated or inactivated in an intricate manner at specific time points during the cell cycle. Cyclin-dependent kinases (CDKs) form complexes with cyclins and regulate the cell cycle by their serine/threonine kinase activities. The G1/S transition, the most restrictive point in the cell cycle, requires the activities of cyclin D/CDK4 and cyclin E/CDK2 complexes for cell cycle progression. p15INK4B and p16INK4A protein inhibit the activities of cyclin D/CDK4 and cyclin D/CDK6 complexes and regulate the cell cycle negatively.1-3 Because loss of function of these cyclin-dependent kinase inhibitors (CDKIs) leads to inappropriate progression of the cell cycle, genetic alterations in p15INK4B and p16INK4A genes at the locus 9p21 have been investigated. Frequent homozygous deletions or point mutations in these CDKI genes have been detected in many malignant tumors, suggesting that they are candidate tumor-suppressor genes.4 5
Most tumor-suppressor genes require independent disruption of both alleles, generally by point mutations in one allele and deletion of the other wild-type allele. Recent studies have shown a variety of inactivation mechanisms of tumor-suppressor genes. One of the inactivation mechanisms other than intragenic alterations, ie, deletions or point mutations, is inappropriate genomic imprinting. It has been reported that genomic imprinting in the p57kip2 gene plays a role in tumorigenesis of lung cancer.6 Hypermethylation may also be associated with inactivation of some tumor-suppressor genes.7,8Rb and VHL (von Hipple-Lindau ) genes are mainly inactivated by intragenic alterations. However, methylation as an alternative pathway of inactivation of these tumor-suppressor genes has been suggested.9,10p15INK4B and p16INK4A genes may also be inactivated by 5′CpG island methylation in their promoter regions.11 12
In hematologic malignancies, previous studies have shown that genetic alterations occur frequently in lymphoid malignancies, especially T-cell–type acute lymphocytic leukemia (T-ALL), and rarely in myeloid malignancies.13,14 However, recent studies have shown that the p15INK4B gene was frequently inactivated by 5′ CpG island methylation in acute myelogenous leukemia (AML).12 Hypermethylation of the p15INK4B gene has also been reported in ALL without deletion of p15INK4B and p16INK4A genes.15 The p16INK4A gene may be methylated frequently in non-Hodgkin's lymphoma (NHL).16 Furthermore, both of the p15INK4B and p16INK4A genes may be methylated frequently in Burkitt's lymphoma and multiple myeloma.16 17 These results indicate that inactivation patterns of these two genes are complicated and their inactivation may be one of the most critical events in tumorigenesis of various hematologic malignancies.
Myelodysplastic syndrome (MDS) is a multipotent stem cell disorder characterized by pancytopenia due to ineffective hematopoiesis and dysplasia of hematopoietic cells. MDS consists of five clinical syndromes: refractory anemia (RA), RA with ringed sideroblast (RARS), chronic myelomonocytic leukemia (CMMoL), RA with excess blasts (RAEB), and RAEB in transformation (RAEB-t), according to the French-American-British (FAB) classification.18 Most patients with RA and RARS remain stable, whereas those with RAEB and RAEB-t usually evolve to AML, which is resistant to chemotherapy, and have poor prognosis compared with de novo AML.19 In this study, we investigated p15INK4B and p16INK4A genes to clarify their roles in the pathogenesis and development of MDS.
MATERIALS AND METHODS
Patient profiles and preparation of DNA.We analyzed a total of 32 patients with MDS: 8 with RA, 4 with RARS, 2 with CMMoL, 6 with RAEB, 2 with RAEB-t, and 10 with overt leukemia (OL) evolved from MDS, who were diagnosed at our hospital and affiliated hospitals. Most samples were obtained at the time of initial diagnosis, and additional samples were also obtained from 7 patients at other times. We also analyzed 5 patients with aplastic anemia (AA), 1 patient with pancytopenia due to liver cirrhosis, and 3 healthy volunteers (HV) as controls. Their samples were mostly obtained by bone marrow (BM) aspiration or from peripheral blood (PB) in healthy volunteers and some cases of OL, after informed consent was obtained. We separated mononuclear cells (MNC) by Ficoll-Paque (Pharmacia, Uppsala, Sweden) density gradient centrifugation. We obtained polymorphonuclear cells (PMN) from 2 patients and T lymphocytes from 1 patient from the PB according to the method described previously.20 DNA extraction from clinical samples and cell lines (ML1, HL60, and Raji) was performed by the standard procedure.21
Southern blotting analysis.Five-microgram aliquots of DNA were digested with 20 U of HindIII (Boehringer Mannheim, Mannheim, Germany) and 10 U of Eco52I (Takara, Kyoto, Japan), which is an isoschizomer of Eag I used in other p15INK4B studies, at 37°C for 12 hours, followed by an additional 10 U of Eco52I at 37°C for 12 hours. Digested genomic DNA was separated by electrophoresis through 0.7% agarose gels and blotted onto nylon membranes (Hybond N; Amersham, Buckinghamshire, UK). The p15INK4B cDNA probe was produced by reverse transcription-polymerase chain reaction (RT-PCR) in a Thermal cycler (Perkin-Elmer Cetus, Norwalk, CT). RT-PCR was performed essentially as described previously22 using primers designed to amplify the region covering the entire sequence of the exon 1 of p15INK4B (Fig 1). Their sequences were as follows: p15C2, TCCCAGAAGCAATCCAGGCG; and p15C3, GCCTCCCGAAACGGTTGACT. A p16INK4A DNA probe, PE1, was produced by PCR using the reported primers.11 These primers were used for detection of the HindIII and Eco52I double-digested fragments of the p15INK4B and p16INK4A genomic DNA, respectively. The probe was labeled with [α-32P]dCTP by the random primer method, and hybridization was performed for 2 hours at 65°C using Rapid-hyb buffer (Amersham). After washing at high stringency with 0.1× SSC and 0.1% sodium dodecyl sulfate at 65°C, membranes were exposed to Kodak XAR film (Eastman Kodak, Rochester, NY) at −70°C. To exclude the possibility of incomplete digestion, all samples showing methylated patterns were examined at least twice. Subsequently, we measured the intensity of the bands that reflect methylated and unmethylated DNA, respectively, to evaluate the methylation intensity of the p15INK4B gene calculated as follows. Methylation Intensity (MI; %) = (Sample 2.8-kb Band × 100)/(Sample 2.8-kb Band + Sample 2.2-kb Band × Control 2.8-kb Band [HindIII Alone])/Control 2.2-kb Band [HindIII and Eco52I]). We considered the DNA to be hypermethylated if the MI was greater than 20%.
Representation of the p15INK4B and the p16INK4A genes. Their exons are depicted with noncoding regions shaded gray. The primers used in this study and the restriction sites for HindIII and methylation-sensitive Eco52I are also shown.
Representation of the p15INK4B and the p16INK4A genes. Their exons are depicted with noncoding regions shaded gray. The primers used in this study and the restriction sites for HindIII and methylation-sensitive Eco52I are also shown.
PCR-based methylation assay.We examined the same restriction site as that analyzed by Southern blotting. One-microgram aliquots of DNA were digested with 4 U of Eco52I at 37°C for 12 hours, followed by an additional 4 U of Eco52I at 37°C for 12 hours. Fifty-nanogram aliquots of the digested DNA were amplified with primers flanking the restriction sites in either p15INK4B or p16INK4A genes (Fig 1 and Table 1). PCR conditions were as follows: 27 cycles of 94°C for 1 minute, 58°C for 1 minute, and 72°C for 2 minutes in p15INK4B; and 27 cycles of 94°C for 1 minute, 60°C for 1 minute, and 72°C for 2 minutes in p16INK4A, in the presence of 5% dimethylsulfoxide. PCR products were directly loaded onto 3% NuSieve agarose gels (FMC Bioproducts, Rockland, MD), stained with ethidium bromide, and visualized under UV illumination.
Nucleotide Sequences of the Primers Used in This Study
| Method . | Target Gene . | Name . | Sequence . |
|---|---|---|---|
| PCR-based methylation assay | p15 | p15C2 | TCCCAGAAGCAATCCAGGCG |
| p15C4 | TCAGCTTCATTACCCTCCCG | ||
| p16 | p16C1 | CGAGGCAGCATGGAGCCTT | |
| 1108R | GCGCTACCTGATTCCAATTC | ||
| PCR-SSCP | p15 exon1 | p15C9 | AGGAAGGAGAGAGTGCGCCG |
| p15C8 | ATCTAGGTTCCAGCCCCG | ||
| p15 exon2 | p15C6 | ATCTCCCATACCTGCCCC | |
| p15C5 | AATAAAGTCGTTGTGGGCGG |
| Method . | Target Gene . | Name . | Sequence . |
|---|---|---|---|
| PCR-based methylation assay | p15 | p15C2 | TCCCAGAAGCAATCCAGGCG |
| p15C4 | TCAGCTTCATTACCCTCCCG | ||
| p16 | p16C1 | CGAGGCAGCATGGAGCCTT | |
| 1108R | GCGCTACCTGATTCCAATTC | ||
| PCR-SSCP | p15 exon1 | p15C9 | AGGAAGGAGAGAGTGCGCCG |
| p15C8 | ATCTAGGTTCCAGCCCCG | ||
| p15 exon2 | p15C6 | ATCTCCCATACCTGCCCC | |
| p15C5 | AATAAAGTCGTTGTGGGCGG |
PCR-mediated single-strand conformation polymorphism (PCR-SSCP) analysis.Analysis by PCR-SSCP was performed essentially as described previously.23 We analyzed the whole coding region of the p15INK4B gene using the primers shown in Table 1. Thirty-five cycles of PCR at 94°C, 62°C, and 72°C for 0.5, 0.5, and 1 minute, respectively, were performed in the presence of 5% dimethylsulfoxide. The products were diluted 100-fold with 98% formamide, 20 mmol/L EDTA, 0.05% bromophenol blue, and 0.05% xylene cyanol and heated at 94°C for 4 minutes. Aliquots of 2 μL were then applied to 5% polyacrylamide gels with 5% glycerol. After electrophoresis at room temperature for 2 hours at a constant power of 40 W with vigorous air cooling, the gels were dried on Whatman 3MM paper (Whatman, Maidstone, UK) and exposed to x-ray film for appropriate times at −70°C.
DNA sequencing.Nucleotide sequences of all samples showing mobility shifts and a sample from control B lymphocytes were determined. Briefly, a small area of the gel corresponding to the position of the band was cut out, and single-stranded DNA from the dried gel was eluted into 50 μL of distilled water. These single-stranded DNA samples were sequenced using an ABI PRIZM genetic analyzer (Perkin Elmer, Foster City, CA) according to the manufacturer's protocol.
RESULTS
Methylation analysis of the p15INK4B and p16INK4A genes.We analyzed the methylation status of the promoter regions of the p15INK4B and p16INK4A genes by Southern blotting in a total of 53 samples obtained from patients with MDS and other diseases and from healthy volunteers. Methylation status in patients with MDS was also analyzed by PCR-based methylation analysis. Only MDS patients showed hypermethylation of the p15INK4B gene (16/32 [50%]; Figs 2 and 3). Although hypermethylation of the p15INK4B gene was detected in most clinical subtypes of MDS, it was more frequently methylated in the high-risk subtype (RAEB, RAEB-t, and OL evolved from MDS; 14/18 [78%]) than the low-risk subtype (RA and RARS; 1/12 [8%]; Fig 4). MI of the p15INK4B gene in the high-risk subtype was significantly higher than that of the low-risk subtype as determined by the Mann-Whitney test (P = .002).
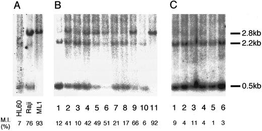
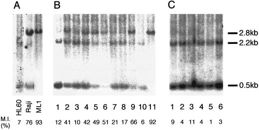
Southern blotting of the p15INK4B gene. (A) Results of cell lines are shown. The p15INK4B gene was intensively methylated in ML1 and partially methylated in Raji, but not in HL60. (B) Results from patients with various types of MDS are shown. Lane 1, OL (patient no. 4); lane 2, OL (patient no. 29); lane 3, RAEB (patient no. 29); lane 4, RA (patient no. 16); lane 5, RAEB (patient no. 2); lane 6, RA (patient no. 2); lane 7, RAEB (patient no. 21); lane 8, RAEB (patient no. 8); lane 9, OL (patient no. 23). Lanes 10 and 11 show the results of control B lymphocytes digested with both HindIII and Eco52I and with HindIII alone, respectively. Although lanes 10 and 11 contained the same amount of DNA extracted from the same samples, the 2.2-kb band was weaker than the 2.8-kb band. Lanes 2 and 3 and lanes 5 and 6 show the results at different stages in the same patients, respectively. Lanes 2, 4, 5, 6, and 9 retained the 2.8-kb band, implying methylation of the p15INK4B gene. (C) DNA samples from healthy volunteers (lanes 1 through 3) and patients with RA or RARS (lane 4, RARS patient no. 6; lane 5, RA patient no. 10; lane 6, RARS patient no. 20) were almost completely digested by the methylation-sensitive restriction enzyme Eco52I, implying the unmethylated status of their p15INK4B genes. We did not detect altered size of a cross-hybridizing fragment of the p15INK4B gene reported previously.12 16
Southern blotting of the p15INK4B gene. (A) Results of cell lines are shown. The p15INK4B gene was intensively methylated in ML1 and partially methylated in Raji, but not in HL60. (B) Results from patients with various types of MDS are shown. Lane 1, OL (patient no. 4); lane 2, OL (patient no. 29); lane 3, RAEB (patient no. 29); lane 4, RA (patient no. 16); lane 5, RAEB (patient no. 2); lane 6, RA (patient no. 2); lane 7, RAEB (patient no. 21); lane 8, RAEB (patient no. 8); lane 9, OL (patient no. 23). Lanes 10 and 11 show the results of control B lymphocytes digested with both HindIII and Eco52I and with HindIII alone, respectively. Although lanes 10 and 11 contained the same amount of DNA extracted from the same samples, the 2.2-kb band was weaker than the 2.8-kb band. Lanes 2 and 3 and lanes 5 and 6 show the results at different stages in the same patients, respectively. Lanes 2, 4, 5, 6, and 9 retained the 2.8-kb band, implying methylation of the p15INK4B gene. (C) DNA samples from healthy volunteers (lanes 1 through 3) and patients with RA or RARS (lane 4, RARS patient no. 6; lane 5, RA patient no. 10; lane 6, RARS patient no. 20) were almost completely digested by the methylation-sensitive restriction enzyme Eco52I, implying the unmethylated status of their p15INK4B genes. We did not detect altered size of a cross-hybridizing fragment of the p15INK4B gene reported previously.12 16
PCR-based methylation assay of the p15INK4B and p16INK4A genes. Results of various clinical subtypes are shown: no. 1, RA (patient no. 32); no. 2, RA (patient no. 2); no. 3, RARS (patient no. 31); no. 4, RAEB (patient no. 8); no. 5, OL (patient no. 3); no. 6, OL (patient no. 4); no. 7, OL (patient no. 26). (+), DNA digested by the methylation-sensitive restriction enzyme Eco52I; (−), undigested DNA. DNAs from some clinical samples digested by Eco52I were amplified by the primer set flanking the Eco52I site in the exon 1 of p15INK4B gene, suggesting that the p15INK4B gene is methylated; whereas none of clinical samples were amplified by the primer set for the p16INK4A gene, suggesting that the p16INK4A gene is not methylated. In ML1, the p16INK4A gene was deleted homozygously.12
PCR-based methylation assay of the p15INK4B and p16INK4A genes. Results of various clinical subtypes are shown: no. 1, RA (patient no. 32); no. 2, RA (patient no. 2); no. 3, RARS (patient no. 31); no. 4, RAEB (patient no. 8); no. 5, OL (patient no. 3); no. 6, OL (patient no. 4); no. 7, OL (patient no. 26). (+), DNA digested by the methylation-sensitive restriction enzyme Eco52I; (−), undigested DNA. DNAs from some clinical samples digested by Eco52I were amplified by the primer set flanking the Eco52I site in the exon 1 of p15INK4B gene, suggesting that the p15INK4B gene is methylated; whereas none of clinical samples were amplified by the primer set for the p16INK4A gene, suggesting that the p16INK4A gene is not methylated. In ML1, the p16INK4A gene was deleted homozygously.12
MI of the p15INK4B gene in each clinical subtype. Each point represents the MI of the p15INK4B gene of one sample, whereas the horizontal lines in each data set represent the mean ± 1 SD.
MI of the p15INK4B gene in each clinical subtype. Each point represents the MI of the p15INK4B gene of one sample, whereas the horizontal lines in each data set represent the mean ± 1 SD.
We also analyzed the methylation status of the promoter region of the p16INK4A gene. However, no apparent hypermethylation of p16INK4A gene was detected in patients with MDS or controls (Fig 3).
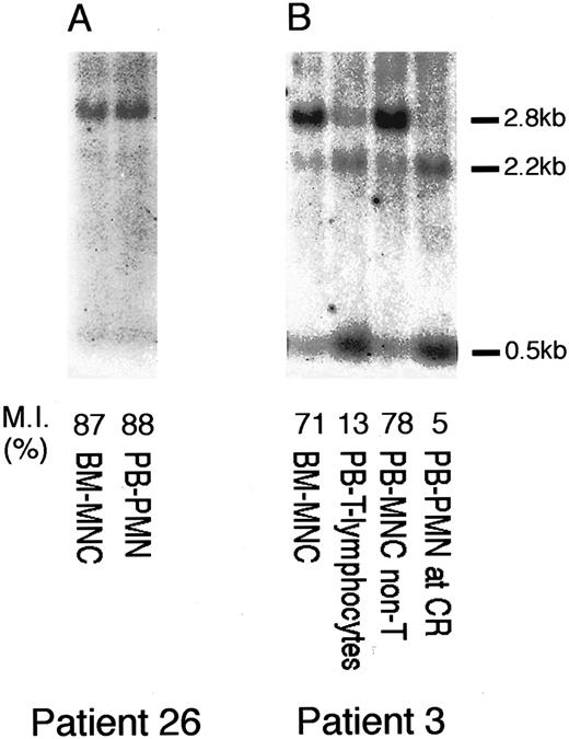
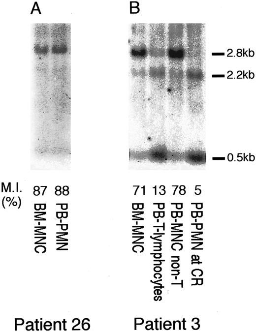
We analyzed the methylation status of the PMN cell population in 2 patients in whom the p15INK4B gene was intensively hypermethylated. In patient no. 26, the PB-PMN cell population showed the methylated pattern as well as the BM-MNC population. In patient no. 3, the PMN cell population at complete remission showed the unmethylated p15INK4B gene pattern. The T-lymphocyte population at her leukemic phase also showed the unmethylated pattern (Fig 5).
Methylation status in PMN and T lymphocytes. (A) Methylation status of the p15INK4B gene of BM-MNC at leukemic phase and those of PB-PMN cells at CMMoL phase of patient no. 26 are shown. (B) The methylation status of the p15INK4B gene of various cell populations from patient no. 3 is shown. PB-T lymphocytes at leukemic phase and PB-PMN cells at complete remission showed the unmethylated p15INK4B gene pattern.
Methylation status in PMN and T lymphocytes. (A) Methylation status of the p15INK4B gene of BM-MNC at leukemic phase and those of PB-PMN cells at CMMoL phase of patient no. 26 are shown. (B) The methylation status of the p15INK4B gene of various cell populations from patient no. 3 is shown. PB-T lymphocytes at leukemic phase and PB-PMN cells at complete remission showed the unmethylated p15INK4B gene pattern.
Sequential analysis of methylation status of the p15INK4B gene in the same patients with MDS.We investigated the methylation status sequentially in 7 of 32 MDS patients (Figs 6 and 7). Two patients showed intensive hypermethylation of the p15INK4B gene since their first presentation (patients no. 7 and 23). One patient with RA at presentation showed apparent hypermethylation of the p15INK4B gene. He progressed to RAEB, but his methylation pattern did not change at that time (patient no. 2). In patient no. 26, who was initially diagnosed as RA and evolved to OL over a period of 23 months, methylation status progressed at leukemic phase. Three patients with OL evolved from RAEB and RAEB-t also showed progressed methylation status of the p15INK4B gene compared with those at their initial presentation (patients no. 15, 29, and 30). Thus, the increase of methylation status of the p15INK4B gene observed in patients corresponded to the progression of MDS.
Intensive hypermethylation of the p15INK4B gene associated with the development of MDS. Changes of the methylation status of the p15INK4B gene in patients no. 15, 26, and 30 are shown. Because the 2.8-kb band was intensified or the 2.2-kb band was faint compared with those at initial analysis in these patients, hypermethylation of the p15INK4B gene may have progressed with the development of MDS.
Intensive hypermethylation of the p15INK4B gene associated with the development of MDS. Changes of the methylation status of the p15INK4B gene in patients no. 15, 26, and 30 are shown. Because the 2.8-kb band was intensified or the 2.2-kb band was faint compared with those at initial analysis in these patients, hypermethylation of the p15INK4B gene may have progressed with the development of MDS.
Progression of methylation status of the p15INK4B gene with the development of MDS. Changes of MI of the p15INK4B gene in 7 MDS patients are shown. Each line represents one individual.
Progression of methylation status of the p15INK4B gene with the development of MDS. Changes of MI of the p15INK4B gene in 7 MDS patients are shown. Each line represents one individual.
Analyses of structural alterations of the p15INK4B and the p16INK4A genes.We analyzed the gross structural alterations of the p15INK4B and the p16INK4A genes by Southern blotting. No homozygous deletions were detected in these genes in any of patients or normal volunteers examined. For the p15INK4B gene, we also used PCR-SSCP analysis to detect small alterations. Two of 32 patients with MDS and the HL60 cell line showed mobility shifts on analysis of exon 2 of p15INK4B (data not shown). Subsequent sequence analysis in these 2 patients identified the same nucleotide change due to polymorphism as described previously in HL60 (C to A nucleotide change at position −27 in intron 1 near the 3′ acceptor site).24 No apparent structural alterations were detected in the p15INK4B or p16INK4A genes in MDS in this study, as described previously in myeloid malignancies.25 26
DISCUSSION
MDS is a heterogeneous disease characterized by chronic cytopenia, BM hyperplasia, and dysmyelopoietic abnormalities among BM precursors. Patients with MDS often undergo leukemic transformation and die over a short period because of resistance to chemotherapy and various lethal complications. Although chromosomal abnormalities have been reported in approximately 50% of patients with MDS, of the enormous number of possible target genes, only the ras and fms genes have been well investigated. The mechanisms responsible for the development of MDS have not been evaluated in detail.19
A lot of studies have confirmed that the p16INK4A gene is a really a tumor-suppressor gene. However, they also raised the doubts regarding whether the p15INK4B gene is a target in tumorigenesis, because sole deletions and point mutations of the p15INK4B gene were rare.14,24 27 In this study, we investigated the p15INK4B and p16INK4A genes in MDS patients and detected frequent aberrant hypermethylation of the p15INK4B gene in half of the patients examined. We showed the importance of the p15INK4B gene in the pathogenesis of MDS.
A recent study indicated that the inactivation patterns of the p15INK4B and p16INK4A genes are characteristic in different hematologic malignancies.16 In most hematologic malignancies, either or both of these genes may be inactivated. Our results suggested that the inactivation pattern in MDS is the same as that of AML. Myeloid clonal disorders, with the exception of CML,16 may be characterized by this distinct pattern, ie, inactivation of p15INK4B gene by hypermethylation and intact p16INK4A gene.
Multistep pathogenesis is the most likely mechanism of the disease progression of MDS.19 Because it was shown that MDS patients with complex chromosomal abnormalities tend to evolve to AML and have poor prognosis,28 the accumulation of alterations in oncogenes and tumor-suppressor genes may cause development of MDS. Because the level of transcriptional repression is clearly dependent on methylation density29 and increasing methylation of tumor-suppressor gene CpG islands may promote the process of progression,30 we compared the frequency of the p15INK4B gene methylation in each clinical subtype and also compared the methylation intensity at the first presentation with those at the terminal stage in the same patient.
Southern blotting, PCR-based methylation assay, and methylation-sensitive PCR have been reported as useful methods for detection of methylation.11,31,32 We evaluated the correlation between changes in methylation status and the development of MDS according to the results of Southern blotting. A previous report evaluated the methylation status by the density ratio of methylated over unmethylated DNA.33 In the present study, we calculated the ratio with a minor modification because the p15 probe had a tendency to hybridize more weakly to the 2.2-kb DNA than to the 2.8-kb DNA, as also shown previously.12
As shown in Figs 2 and 3, hypermethylation of the p15INK4B gene was more frequent in the high-risk group than in the low-risk group. Furthermore, methylation status of the p15INK4B gene progressed with the development of MDS in most patients examined (Figs 6 and 7). These results suggest that hypermethylation of the p15INK4B gene adds the growth advantage to MDS, resulting in leukemic transformation.
We also evaluated the methylation status of other cell population in patients whose MNCs showed hypermethylation of the p15INK4B gene (Fig 5). In patient no. 26, PB-PMN cells at CMMoL phase showed the methylated pattern as well as BM-MNCs at the leukemic phase, which evolved over a period of 1 month. In patient no. 3, T lymphocytes in PB at the leukemic phase and PB-PMN cells at the CR phase showed the unmethylated pattern, in contrast to BM-MNCs at the leukemic phase. Because it was reported that the clonality of MDS may not be involved in T lymphocytes and that most MDS patients may achieve a polyclonal remission,34 35 our results suggest that hypermethylation of the p15INK4B gene may be involved in a clonal population, but not in a polyclonal (normal) population. It may occur de novo during the process of disease progression of MDS.
Survival in patients with MDS paralleled the likelihood of development of leukemia.19 Even in RA, approximately 10% of patients evolved to OL and had poor prognosis. So, it is important to determine the prognostic index for leukemic transformation. In present study, we analyzed 10 samples obtained at RA state. Two of them progressed to RAEB and OL in a short period and died (patients no. 2 and 26; they were included in RAEB and OL subtypes, respectively). These 2 patients showed apparent hypermethylation of the p15INK4B gene since RA state (Fig 2B, lane 6, and Fig 6, respectively). In contrast, the remaining 8 patients showed intact p15INK4B gene, except for only 1 patient (patient no. 16), and retained the stable clinical status. These results indicate that progression of MDS is rare in RA patients with intact p15INK4B gene, and hypermethylation of the p15INK4B gene may be a useful prognostic marker in RA.
ACKNOWLEDGMENT
The authors thank Drs A. Ichikawa (Gifu Tajimi Prefecture Hospital, Tajimi, Japan), T. Murase (Toyota Memorial Hospital, Toyota, Japan), and H. Mizuno (Cyukyo Hospital, Nagoya, Japan) for allowing us to examine clinical samples and for providing information about their patients with MDS.
Supported in part by Grants from the Ministry of Education, Science, and Culture of Japan.
Address reprint requests to Toshiki Uchida, MD, First Department of Internal Medicine, Nagoya University School of Medicine, 65 Tsurumai-cho, Showa-ku, Nagoya 466, Japan.







This feature is available to Subscribers Only
Sign In or Create an Account Close Modal