Abstract
The platelet integrin IIbβ3 has become a new target for the treatment of pathological thrombosis. It becomes apparent that the affinity of IIbβ3 for its ligands is dynamically regulated by inside-out signaling. However, the components that couple diverse intracellular signals to the cytoplasmic domains of IIbβ3 remain obscure. Employing a chymotrypsin-induced IIbβ3 activation model, we previously proposed the hypothesis that Na+/Ca2 +exchanger (NCX) may be involved in inside-out signaling (Shiraga et al:Blood 88:2594, 1996). In the present study, employing two unrelated Na+/Ca2+ exchange inhibitors, 3′,4′-dichlorobenzamil (DCB) and bepridil, we investigated the role of NCX in platelet activation induced by various agonists in detail. Both inhibitors abolished platelet aggregation induced by all agonists examined via the inhibition of IIbβ3 activation. Moreover, these inhibitors abolished IIbβ3 activation induced by phorbol 12-myristate 13-acetate or A23187. On the other hand, neither of these inhibitors showed apparent inhibitory effects on protein phosphorylation of pleckstrin or myosin light chain, or an increase in intracellular calcium ion concentrations evoked by 0.1 U/mL thrombin. These effects of the NCX inhibitors are in striking contrast to those of protein kinase C inhibitor, Ro31-8220. Biochemical and ultrastructural analyses showed that NCX inhibitors, particularly DCB, made platelets “thrombasthenic”. These findings suggest that the NCX is involved in the common steps of inside-out signaling through integrin IIbβ3.
THE PLATELET INTEGRIN αIIbβ3 (glycoprotein IIb-IIIa) is a member of the supergene family of adhesive protein receptors called integrins.1,2 This heterodimer recognizes several Arg-Gly-Asp–containing adhesive proteins such as fibrinogen or von Willebrand factor in a divalent cation-dependent manner, and the interaction of its ligands with αIIbβ3 is crucial for platelet aggregation, a key event for pathologic thrombus formation as well as normal hemostatic plug formation.3From a therapeutic viewpoint αIIbβ3 has become a new target to control platelet function, particularly in thrombotic diseases including cardiovascular diseases.4
Recently, it became apparent that the affinity of αIIbβ3 for its ligands is dynamically regulated during thrombogenesis as well as hemostasis.5-7As an initial step of thrombogenesis, platelets adhere to altered vascular surfaces or exposed subendothelial matrices. After adhesion, platelets become activated and then change their shape and secrete granule contents. Concurrently, with these changes αIIbβ3 is converted from a low-affinity state to a high-affinity state for adhesive proteins (activation of αIIbβ3) leading to platelet aggregation (thrombus formation). The activation of αIIbβ3 is likely due to conformational changes in αIIbβ3 itself8-10and regulated by intracellular signals via cytoplasmic domains of αIIbβ3.11-13 This process is termed inside-out signaling.1
Integrin αIIbβ3 can be activated by a wide variety of agonists (thrombin, thromboxan A2[TXA2], collagen, adenosine diphosphate [ADP], epinephrine, etc), each of which binds to a distinct receptor on the platelet surface.14,15 In cases of agonists such as thrombin or TXA2, protein kinase C (PKC) and intracellular Ca2+ levels ([Ca2+]i) are two major intracellular signal elements involved in inside-out signaling via αIIbβ3 as well as granule secretion.16,17 However, agonists such as ADP or epinephrine activate αIIbβ3 without detectable PKC activation.14 Thus, αIIbβ3 activation appears to be regulated by diverse intracellular signal transduction pathways, and the components that couple diverse signals to the cytoplasimc domains of αIIbβ3 remain obscure.
In the previous study we have suggested that Na+/Ca2+ exchanger (NCX) operating in reverse mode is involved in chymotrypsin-induced αIIbβ3 activation.18 We propose the hypothesis that NCX may be involved in the physiological inside-out signaling through αIIbβ3. In the present study, employing 3′,4′ dichlorobenzamil (DCB) and bepridil, two unrelated inhibitors for NCX, we investigated the role of NCX in inside-out signaling induced by various agonists in detail. Moreover, the effects of these inhibitors on platelet function such as shape changes and granule secretion were investigated. Our present data suggest that NCX is involved in the common steps of inside-out signaling through αIIbβ3.
MATERIALS AND METHODS
Platelet preparation.
Washed platelets were prepared as previously described.9 In brief, 6 vol of freshly drawn venous blood from healthy volunteers was mixed with 1 vol of acid-citrate-dextrose (ACD; National Institutes of Health formula A, NIH, Bethesda, MD) and centrifuged at 250gfor 10 minutes to obtain platelet-rich plasma (PRP). After a 15-minute incubation with 20 ng/mL prostaglandin E1(PGE1; Sigma Chemical, St Louis, MO), the PRP was centrifuged at 750g for 10 minutes, washed three times with 0.05 mol/L isotonic citrate buffer containing 20 ng/mL PGE1, and resuspended in an appropriate buffer.
Measurement of 45Ca2+ influx in chymotrypsin-treated platelets.
Reverse Na+/Ca2+ exchange (Na+i/Ca2+o exchange) was measured according to the procedure previously described with some modifications.18 Washed platelets (2.0 × 106/μL) suspended in modified Tyrode Hepes buffer containing 1 mmol/L CaCl2 were treated with 60 U/mL α-chymotrypsin for 10 minutes at 37°C. Proteolysis was terminated by adding 1/100 vol of 100 mmol/L phenylmethylsulfonyl fluoride. Fifty -microliter aliquots of treated platelets were mixed with 950 μL of either Hepes-buffered solution (HBS) with CaCl2 (HBS-CaCl2; 140 mmol/L NaCl, 2.7 mmol/L KCl, 1 mmol/L CaCl2, 0.55 mmol/L glucose, 10 mmol/L Hepes, pH 7.35) or Na+-free HBS-CaCl2 (same as HBS-CaCl2 except equimolar NaCl was replaced with tetramethylammonium [TMA] chloride and NaOH was replaced with TMA hydroxide), each of which contained 200 μmol/L ouabain (Sigma). Afterward, 2 μCi/mL of 45CaCl2 was added and incubated for 15 minutes at 37°C. The incubation was terminated by adding 5 mL ice-cold HBS containing 5 mmol/L ethyleneglycol-bis(aminoethyl)-tetraacetic acid (EGTA, Sigma), followed by rapid filtration of cells on 0.45-μm filters (Millipore, Bedford, MA) with two additional washes. The radioactivity that remained on the filters was determined by liquid scintillation counting.
Platelet aggregometry.
Platelet aggregation was monitored using a model PAM-6C platelet aggregometer (Mebanix, Tokyo, Japan) at 37°C with a stirring rate of 1,000 rpm, as previously described.18 Aliquots, 135-μL, of washed platelets (3.3 × 105/μL) suspended in modified Tyrode Hepes buffer containing 1 mmol/L CaCl2with or without inhibitors were placed in the aggregometer cuvette and incubated for 2 minutes at 37°C. Aggregation was initiated by addition of 15 μL of agonist. DCB, a generous gift from Fujisawa Pharmaceutical (Osaka, Japan), and bepridil (Sigma) as inhibitors for NCX,19,20 Ro31-8220, a generous gift of Dr D. Bradshaw (Roche Research Centre, Welwyn Garden City, Herts, UK) as an inhibitor for PKC,21 and 5-(N-ethyl-N-isopropyl)amiloride (EIPA; Molecular Probes, Eugene, OR) as an inhibitor for Na+/H+ exchanger22 were used. Agonists examined were human α-thrombin, adenosine 5′-diphosphate (ADP), collagen, epinephrine, U46619, calcium ionophore A23187, and phorbol 12 myristate 13-acetate (PMA), all of which were purchased from Sigma. Fibrinogen (300 μg/mL) was added when aggregation was initiated with ADP, collagen, or epinephrine. PT25-2, a αIIbβ3 complex-specific monoclonal antibody (MoAb), which activates αIIbβ3 via a direct interaction with αIIbβ3,23 is a generous gift of Drs M. Handa and Y. Ikeda (Keio University, Tokyo, Japan), and was used as an agonist in a selected experiment. Platelets treated with dithiothreitol (DTT) were also used. Platelet suspension (1.1 × 106/μL) was mixed with 1/10 vol of 100 mmol/L DTT (Sigma) and incubated for 15 minutes at 37°C. Washed platelets were resuspended in modified Tyrode Hepes buffer containing 1 mmol/L CaCl2 with or without inhibitors. Aggregation of PT25-2–treated or DTT-treated platelets was initiated by adding 15 μL of 3 mg/mL fibrinogen.
Fibrinogen binding to platelets.
Fibrinogen binding to washed platelets was measured, as previously described.18 In brief, 135 μL aliquots of stimulated or nonstimulated platelet suspension (1.1 × 105/μL) in the presence or absence of inhibitors were mixed with 15 μL of125I-fibrinogen (final concentration, 300 μg/mL). After 10 minutes without stirring at room temperature, triplicate 100-μL samples were layered onto 200 μL of 30% sucrose and platelets were separated by centrifugation for 10 minutes at 10,000g. The 125I radioactivity of each pellet was counted in a γ-counter. Nonspecific binding was determined in parallel tubes that contained 10 mmol/L ethylenediaminetetraacetate (EDTA), and specific binding was calculated by subtracting nonspecific binding from total binding. In selected experiments, 7.5 μL aliquots of platelet suspension (2.0 × 106/μL) in HBS-CaCl2 was mixed with 142.5 μL of either HBS-CaCl2 or Na+-free HBS-CaCl2already mixed with thrombin (final concentration; 0.1 U/mL). To block thrombin activity, argipidin (final concentration, 5 μmol/L) was added before adding 125I-fibrinogen when platelets were stimulated with thrombin.
Serotonin release.
Platelet-rich plasma was mixed with [14C]5-hydroxytryptamine ([14C]5-HT) (5 μCi/3 mL) and incubated for 30 minutes at 37°C. Platelets were then washed twice with isotonic citrate buffer containing 20 ng/mL PGE1 and were resuspended in modified Tyrode’s buffer with 1 mmol/L CaCl2 with or without inhibitors or with 5 mmol/L EGTA. Platelets (3 × 105/μL) were stimulated with 0.1 U/mL α-thrombin for 15 minutes at room temperature and aliquots were mixed with equal volume of ice-cold 8% paraformaldehyde (Sigma) in phosphate buffer (pH 7.2) followed by centrifugation at 1,000g for 15 minutes. Relative amount of released [14C]5-HT was calculated from radioactivity of each supernatant that was determined by liquid scintillation counter.
Exposure of α-granule membrane protein, P-selectin.
To determine the extent of α-granule secretion, quantitative binding of anti–P-selectin MoAb S1224,25 (a generous gift from Dr Rodger P. McEver [Oklahoma City, OK] and Centocor Inc [Malvern, PA]) to platelets was measured. S12, monoclonal IgG, was radioiodinated using modified chloramine T method.26Radiolabeled protein was separated from free Na125I by gel filtration of a Sephadex G-25 (Sigma) column. The specific activity of the protein was ∼200 cpm/ng. Aliquots, 135 μL of stimulated or nonstimulated platelet suspension (1.1 × 105/μL) in the presence or absence of inhibitors, were mixed with 15 μL of125I-S12 (final concentration, 2 μg/mL). After 30 minutes without stirring at room temperature, duplicate 100 μL of samples were layered onto 200 μL of modified Tyrode buffer containing 30% sucrose and platelets were separated by centrifugation for 10 minutes at 10,000g. The 125I radioactivity of each pellet was counted in a γ-counter. Nonspecific binding was determined in parallel tubes that contained 30-fold–cold S12, and specific binding was calculated by subtracting nonspecific binding from total binding.
Measurement of phosphorylation of pleckstrin and myosin light chain (MLC).
Platelet-rich plasma was incubated with [32P]orthophosphoric acid (0.33 mCi/mL) for 90 minutes at 37°C and platelets were washed twice with citrated buffer containing 20 ng/mL PGE1. Platelets were resuspended in modified Tyrode Hepes buffer without CaCl2 and stimulated with 0.1 U/mL thrombin for various duration at room temperature. Platelets were then lysed by adding equal volume of sample buffer (4% sodium dodecyl sulfate, 160 mmol/L Tris-buffered saline [TBS], 50% glycerol, 0.008% bromophenol blue [BPB]) and boiled for 5 minutes. Phosphorylated proteins were separated by sodium dodecyl sulfate-polyacrylamide gel electrophoresis (SDS-PAGE) (12.5% acrylamide) in the absence of reducing agents, and gels were dried and subjected to autoradiography. Relative quantification of the extent of phosphorylation of 47 kD and 20 kD proteins (pleckstrin and MLC, respectively) was performed using a Bioimage analyzer (BAS2000, Fuji Film Co, Tokyo, Japan).
Measurement of cytosolic-free calcium.
Concentration of cytosolic-free calcium was monitored, as previously described.18 In brief, washed platelets in modified Tyrode Hepes buffer containing 20 ng/mL PGE1 were incubated with 3 μmol/L fluo-3-acetoxymethyl ester (fluo-3-AM; Wako Pure Chemical Industries, Osaka, Japan) for 30 minutes at 37°C, washed twice with 0.05 mol/L isotonic citrate buffer (pH 6.5) containing 20 ng/mL PGE1, and resuspended in modified Tyrode Hepes buffer at a concentration of 2.0 × 106/μL. Probenecid (2 mmol/L; Sigma) was added to prevent leakage of the dye from platelets. The fluo-3–loaded platelets were stimulated with 0.1 U/mL thrombin, and the cytosolic-free calcium concentration ([Ca2+]i) was determined on a Hitachi F-3000 spectrofluorometer (Hitachi, Tokyo, Japan) using wavelength of 485 nm and 530 nm for excitation and emission, respectively. The suspension was gently stirred (100 rpm) during the measurement.
Preparation of samples for electron microscopy.
Ultrastructural analysis was performed, as described previously.27 Washed platelets were suspended in modified Tyrode Hepes buffer containing 1 mmol/L CaCl2 (5.0 × 106/μL) with 0.1% dimethyl sulfoxide (DMSO; Nacalai Tesque, Inc, Kyoto, Japan) or 10 μmol/L DCB or 80 μmol/L bepridil. Control or thrombin-stimulated platelets were obtained as previously described. In brief, aliquots (900 μL) were mixed with buffer or thrombin (0.1 U/mL), gently shaken, and allowed to stand until fixation at 37°C. After 15 minutes, platelets were fixed by the addition of equal volume of 4.0% glutaraldehyde in 0.1 mol/L phosphate buffer (pH 7.4) for 30 minutes at room temperature followed by the centrifugation for 2 minutes at 4,000g. Each pellet was dissected into blocks of 1 mm3 or smaller, rinsed with 0.1 mol/L phosphate buffer five times, postfixed with 1% osmium tetraoxide in 0.1 mol/L phosphate buffer for 60 minutes at 4°C, dehydrated with a graded ethanol series, and then embedded in Epon (TAAB Laboratories Equipment Ltd, Berkshire, UK). Ultrathin sections were prepared, stained with uranyl acetate and lead citrate, and then examined with a 1200EX electron microscope (JEOL Co Ltd, Tokyo, Japan) at an accelerating voltage of 80 kV.
RESULTS
Inhibition of Na+i/Ca2+oexchange in platelets by DCB or bepridil.
We previously reported that steady-state Ca2+ influx in platelets was increased by chymotrypsin treatment particularly under low [Na+]o and/or high [Na+]i conditions18(Fig 1A). This Ca2+ influx likely represents Na+i/Ca2+o exchange in chymotrypsin-treated platelets; ie, reverse-mode NCX activity. In fact, high concentrations of amiloride inhibited both Ca2+ influx and chymotrypsin-induced αIIbβ3activation.18 In this study, we analyzed the effects of DCB and bepridil, two unrelated NCX inhibitors, on Na+i/Ca2+o exchange at steady state into chymotrypsin-treated platelets. As shown in Fig 1A,45Ca2+ influx into chymotrypsin-treated platelets in low extracellular Na+ condition was suppressed by DCB or bepridil. When Na+i/Ca2+o exchange was evaluated by subtracting 45Ca2+ influx in high [Na+]o conditions from that in low [Na+]o conditions, 50% inhibitory concentrations (IC50) of DCB and bepridil for Na+i/Ca2+o exchange were 13.0 ± 1.0 μmol/L and 19.7 ± 1.7 μmol/L, respectively (n = 3), and complete inhibition was obtained at 40 to 80 μmol/L and 80 to 100 μmol/L, respectively (Fig 1B). Our previously reported IC50s of DCB and bepridil for chymotrypsin-induced αIIbβ3 activation were 25 ± 4 μmol/L and 52 ± 11 μmol/L, respectively, which were similar to those for NCX inhibition.18 These data suggest that DCB and bepridil inhibit αIIbβ3activation mainly via the blockade of NCX.
Effects of DCB or bepridil on steady-state Na+i/Ca2+oexchange in chymotrypsin-treated platelets. (A) Washed platelets (2.0 × 106/μL) suspended in modified Tyrode Hepes buffer containing 1 mmol/L CaCl2 were treated with 60 U/mL -chymotrypsin for 10 minutes at 37°C. Fifty μL aliquots of treated platelets were mixed with 950 μL of either HBS-CaCl2 ([Na+]o = 140 mmol/L) or Na+-free HBS-CaCl 2 ([Na+]o = 7 mmol/L), each of which contained 200 μmol/L ouabain. Afterward, 2 μCi/mL of45CaCl 2 was added and incubated for 15 minutes at 37°C. Net 45Ca2+ influx into platelets under indicated condition ([Na+]o and inhibitors) was determined by liquid scintillation counting after rapid filtration of cells on 0.45 μm filters. (B) Na+i-dependent45Ca2+ influx was calculated by subtracting45Ca2 + influx in HBS-CaCl2 from that in Na+-free HBS-CaCl2 in the presence of DCB (open circles) or bepridil (closed circles) and relative amount of Na+i-dependent45Ca2+ influx was normalized to a 100% value for that in the absence of inhibitors. Results are the mean ± SD from three separate experiments.
Effects of DCB or bepridil on steady-state Na+i/Ca2+oexchange in chymotrypsin-treated platelets. (A) Washed platelets (2.0 × 106/μL) suspended in modified Tyrode Hepes buffer containing 1 mmol/L CaCl2 were treated with 60 U/mL -chymotrypsin for 10 minutes at 37°C. Fifty μL aliquots of treated platelets were mixed with 950 μL of either HBS-CaCl2 ([Na+]o = 140 mmol/L) or Na+-free HBS-CaCl 2 ([Na+]o = 7 mmol/L), each of which contained 200 μmol/L ouabain. Afterward, 2 μCi/mL of45CaCl 2 was added and incubated for 15 minutes at 37°C. Net 45Ca2+ influx into platelets under indicated condition ([Na+]o and inhibitors) was determined by liquid scintillation counting after rapid filtration of cells on 0.45 μm filters. (B) Na+i-dependent45Ca2+ influx was calculated by subtracting45Ca2 + influx in HBS-CaCl2 from that in Na+-free HBS-CaCl2 in the presence of DCB (open circles) or bepridil (closed circles) and relative amount of Na+i-dependent45Ca2+ influx was normalized to a 100% value for that in the absence of inhibitors. Results are the mean ± SD from three separate experiments.
Inhibition of platelet aggregation by NCX inhibitors.
We examined the effects of DCB and bepridil on aggregation of washed platelets induced by various types of agonists. As shown in Fig 2, DCB and bepridil inhibited platelet aggregation induced by ADP or thrombin dose-dependently. Similarly, platelet aggregation induced by epinephrine, collagen, or U46619 was inhibited by both NCX inhibitors (data not shown). Furthermore, these NCX inhibitors abolished platelet aggregation induced by divalent ionophore A23187, or PMA, a direct PKC activator. In contrast, these NCX inhibitors did not affect platelet aggregation induced by PT25-2 MoAb or DTT (data not shown), suggesting that these inhibitors do not inhibit either fibrinogen binding to its receptor per se or subsequent responses required for aggregation.18 Because NCX is believed to play an important role for Ca2+extrusion in resting platelets together with Ca2+-Mg2+ ATPase,28 we also examined the effects of NCX inhibitors on resting platelets. If the addition of NCX inhibitors to platelet suspension would trigger the increase in [Ca2+]i and lead to subsequent calpain activation, impaired platelet responses to agonists might occur because calpain is known to be a potential negative regulator of signaling processes.29 To clarify this possibility, platelet suspensions were preincubated with or without each of NCX inhibitors for 10 minutes at 37°C, washed once, and platelet aggregation induced by ADP was examined. This drug washout experiment with 40 μmol/L DCB or 80 μmol/L bepridil showed only a slight inhibition for ADP-induced platelet aggregation (data not shown). We also confirmed that no degradation of actin binding protein or talin was observed as a consequence of calpain activation by the preincubation of NCX inhibitors in a Coomassie blue stained gel of total platelet protein (data not shown). These results exclude the possibility that inhibition of agonist-induced platelet aggregation by DCB or bepridil is due to calpain activation.
Effects of DCB, bepridil or Ro31-8220 on platelet aggregation. Washed platelet suspended in modified Tyrode Hepes buffer containing 1 mmol/L CaCl 2 were stimulated by indicated agonists (0.1 U/mL thrombin, 20 μmol/L ADP, 200 nmol/L PMA and 1 μmol/L A23187) in the presence (indicated dose; μmol/L) or absence (indicated as “0”) of each indicated inhibitor under stirring conditions.
Effects of DCB, bepridil or Ro31-8220 on platelet aggregation. Washed platelet suspended in modified Tyrode Hepes buffer containing 1 mmol/L CaCl 2 were stimulated by indicated agonists (0.1 U/mL thrombin, 20 μmol/L ADP, 200 nmol/L PMA and 1 μmol/L A23187) in the presence (indicated dose; μmol/L) or absence (indicated as “0”) of each indicated inhibitor under stirring conditions.
PKC has been also proposed to be directly involved in αIIbβ3 activation.30,31 We then examined the effects of Ro31-8220, a specific inhibitor for PKC, on platelet aggregation. Ro31-8220 showed strong inhibitory effects on platelet aggregation induced by thrombin, PMA (Fig 2), or U46619 (not shown). Nearly complete inhibition of platelet aggregation induced by thrombin and PMA was observed at 10 μmol/L and 4 μmol/L of Ro31-8220, respectively. In contrast, Ro31-8220 showed only a partial inhibition for A23187-induced platelet aggregation and did not inhibit ADP-induced aggregation at all. These data confirm that ADP-induced αIIbβ3 activation signals are transduced via PKC-independent pathways.21
Inhibition of αIIbβ3 activation by NCX inhibitors.
To show the inhibitory effects of NCX inhibitors on αIIbβ3 activation,125I-fibrinogen binding assay was performed. DCB and bepridil dose-dependently inhibited 125I-fibrinogen binding to platelets stimulated by all agonists examined (Fig 3A,B). IC50s of inhibitors were summarized in Table 1. These results suggest that aggregation inhibition by NCX inhibitors shown in Fig 2 is due to the inhibition of the αIIbβ3activation process(es). In contrast, EIPA, an inhibitor for Na+/H+ exchanger, did not affect αIIbβ3 activation induced by thrombin (Fig3C). Willigen et al30 showed that thrombin stimulation of platelets triggers long-lasting activation of αIIbβ3. To examine whether NCX may play a role in maintaining αIIbβ3 in an active state, NCX inhibitors were added after thrombin stimulation and effects of NCX inhibitors on fibrinogen binding were analyzed. Similar inhibitory effects on fibrinogen binding were observed by adding each inhibitor after thrombin stimulation, suggesting that NCX may be also required for maintaining αIIbβ3 activation initiated by thrombin (Table 1). To confirm that NCX inhibitors do not disturb fibrinogen binding to its receptor per se, fibrinogen binding to αIIbβ3 activated by PT25-2 or by DTT treatment was also evaluated. Each of NCX inhibitors showed only modest inhibitory effects on fibrinogen binding to αIIbβ3 activated with PT25-2 or DTT (Fig 3A and B).
Effects of DCB (A), bepridil (B), Ro31-8220 (C), or EIPA (D) on 125I-fibrinogen binding to platelets stimulated by various agonists. Washed platelets (1 × 105/μL) were suspended in modified Tyrode Hepes buffer containing 1 mmol/L CaCl2 in the presence of indicated dose (μmol/L) of each inhibitor and stimulated by 20 μmol/L ADP (□), 0.1 U/mL thrombin (○), or 200 nmol/L PMA (▵). Platelets were also pretreated with 10 μg/mL PT25-2 (•) or 10 mmol/L DTT (▪). Relative amounts of bound fibrinogen derived from 125I-fibrinogen-binding assay were normalized to a 100% value for fibrinogen binding to platelets stimulated in the absence of inhibitors. Argipidin (final concentration, 5 μmol/L) was added before mixing with125I-fibrinogen when platelets were stimulated with thrombin. Results are the mean ± SD from three separate experiments.
Effects of DCB (A), bepridil (B), Ro31-8220 (C), or EIPA (D) on 125I-fibrinogen binding to platelets stimulated by various agonists. Washed platelets (1 × 105/μL) were suspended in modified Tyrode Hepes buffer containing 1 mmol/L CaCl2 in the presence of indicated dose (μmol/L) of each inhibitor and stimulated by 20 μmol/L ADP (□), 0.1 U/mL thrombin (○), or 200 nmol/L PMA (▵). Platelets were also pretreated with 10 μg/mL PT25-2 (•) or 10 mmol/L DTT (▪). Relative amounts of bound fibrinogen derived from 125I-fibrinogen-binding assay were normalized to a 100% value for fibrinogen binding to platelets stimulated in the absence of inhibitors. Argipidin (final concentration, 5 μmol/L) was added before mixing with125I-fibrinogen when platelets were stimulated with thrombin. Results are the mean ± SD from three separate experiments.
Fifty Percent Inhibitory Concentrations of Inhibitors on IIbβ3 Activation
| Inhibitor . | Agonist . | |||
|---|---|---|---|---|
| ADP (20 μmol/L) . | α-Thrombin (0.1 U/mL) . | PMA (200 nmol/L) . | ||
| Before . | After* . | |||
| DCB | 1.4 ± 0.8 | 2.2 ± 0.3 | 5.4 ± 0.48 | 7.8 ± 1.0 |
| bepridil | 19 ± 7 | 42 ± 2 | 65 ± 12 | 13 ± 2 |
| Ro31-8220 | No inhibition | 0.064 ± 0.010 | ND | <0.06 |
| EIPA | 20 ± 5 | No inhibition | ND | ND |
| Inhibitor . | Agonist . | |||
|---|---|---|---|---|
| ADP (20 μmol/L) . | α-Thrombin (0.1 U/mL) . | PMA (200 nmol/L) . | ||
| Before . | After* . | |||
| DCB | 1.4 ± 0.8 | 2.2 ± 0.3 | 5.4 ± 0.48 | 7.8 ± 1.0 |
| bepridil | 19 ± 7 | 42 ± 2 | 65 ± 12 | 13 ± 2 |
| Ro31-8220 | No inhibition | 0.064 ± 0.010 | ND | <0.06 |
| EIPA | 20 ± 5 | No inhibition | ND | ND |
Experiments were performed as described in the legend of Fig 2 and 50% inhibitory concentration (IC50; μmol/L) was determined. Results are the mean ± SD of three separate experiments.
Abbreviation: ND, not determined.
Each inhibitor was added after thrombin stimulation.
No inhibitory effect of Ro31-8220 on fibrinogen binding to ADP-stimulated platelets further confirmed that αIIbβ3 activation induced by ADP is mediated via the PKC-independent pathway. On the other hand, Ro31-8220 markedly inhibited fibrinogen binding to thrombin- or PMA-stimulated platelets. However, about 10% of control fibrinogen binding still observed in the presence of 4 μmol/L Ro31-8220 with thrombin-stimulated platelets, whereas complete inhibition was obtained with PMA-stimulated platelets.
In the previous study, we showed that chymotrypsin-induced αIIbβ3 activation was facilitated by promoting Na+ efflux.18 To elucidate the importance of Na+ efflux in agonist-induced αIIbβ3 activation, we also examined the effects of low [Na+]o conditions on agonist-induced αIIbβ3 activation. When platelets were incubated in low [Na+]oconditions, thrombin-induced αIIbβ3activation was slightly impaired (36,453 ± 550 molecules of fibrinogen/platelet in 140 mmol/L [Na+]ov 31,451 ± 351 molecules of fibrinogen platelet in 7 mmol/L [Na+]o, n = 3, P < .01). However, when platelets were stimulated by thrombin without preincubation period in low [Na+]o condition [ie, concentrated platelets (2 × 106/μL) suspended in HBS-CaCl2 were added to either HBS-CaCl2 or Na+-free HBS-CaCl2 mixed with thrombin beforehand], slightly increased amounts of fibrinogen were bound to platelets (39,390 ± 1,564 molecules of fibrinogen platelet in 140 mmol/L [Na+]ov 42,165 ± 693 molecules of fibrinogen platelet in 7 mmol/L [Na+]o, n = 3, P < .05). These observations suggest that longer incubation of platelets in low [Na+]o conditions might impair cell function exemplified by the reduction of cytoplasmic pH caused by blocking Na+o/H+i exchange or by other unknown effects. Therefore, it was difficult to show the importance of Na+i/Ca2+o exchange in agonist-induced αIIbβ3 activation simply by replacing extracellular Na+ with other monovalent cation, although the importance was clearly shown using chymotrypsin-induced αIIbβ3 activation model in our previous study.18
Because NCX inhibitors abolished αIIbβ3activation evoked by all agonists examined, it is possible that NCX may be involved in the common steps of αIIbβ3activation.
Effects of NCX inhibitors on granule secretion induced by thrombin.
The effects of NCX inhibitors or Ro31-8220 were examined on secretion of serotonin from dense granules. As shown in Fig 4A, serotonin release induced by 0.1 U/mL thrombin was not inhibited by either DCB or bepridil even at doses that produced complete inhibition of αIIbβ3activation (Fig 3). In addition, Na+i/Ca2+o exchange and Na+o/Ca2+i exchange was blocked by addition of 5 mmol/L EGTA and replacement of Na+with TMA, respectively. Serotonin release was not inhibited under these conditions (data not shown), further suggesting that the NCX is not involved in dense-granule secretion. We next examined the effects of NCX inhibitors on α-granule secretion. The extent of the exposure of α-granule membrane protein was evaluated by the binding of S12, an anti–P-selectin IgG MoAb. Approximately, 7000 molecules of P-selectin/platelet were exposed on the platelet surface by 0.1 U/mL thrombin. The exposure of P-selectin on the platelet surface induced by 0.1 U/mL thrombin was not inhibited by DCB (10 μmol/L; Fig 4B). However, bepridil (80 μmol/L) inhibited the exposure of P-selectin by ∼50% (Fig 4B). To resolve this discrepancy, we examined the effect of chelation of extracellular Ca2+ or replacement of extracellular Na+ with TMA on the exposure of P-selectin. Neither of these conditions inhibited the exposure of P-selectin (Fig4B). These data suggest that NCX is not involved in α-granule secretion.
Effects of DCB, bepridil, or Ro31-8220 on platelet granule secretion. (A) Effects on dense granule secretion. Washed platelets (3 × 105/μL) labeled with [14C]5-HT were stimulated by 0.1 U/mL thrombin in the presence of DCB (a), bepridil (b), or Ro31-8220 (c). Relative amounts of [14C]5-HT released from platelets for 15 minutes after stimulation were determined by liquid scintillation and normalized to 100% for 5-HT release from platelets stimulated in the absence of inhibitors. Results are the mean ± SD. (B) Effects on -granule secretion. Washed platelets (1 × 105/μL) were suspended in modified Tyrode Hepes buffer containing 1 mmol/L CaCl2(columns 1, 2, 5 to 7), 2 mmol/L EGTA (column 3), or TMA-buffer (column 4). The platelets were stimulated with (columns 2 to 7) or without (column 1) 0.1 U/mL thrombin in the presence of 10 μmol/L DCB (column 5), 80 μmol/L bepridil (column 6), or 8 μmol/L Ro31-8220 (column 7). Relative amounts of bound 125I-S12 (anti–P-selectin MoAb) were normalized to 100% value for S12 binding to platelets stimulated with 0.1 U/mL thrombin in the absence of inhibitors (column 2).
Effects of DCB, bepridil, or Ro31-8220 on platelet granule secretion. (A) Effects on dense granule secretion. Washed platelets (3 × 105/μL) labeled with [14C]5-HT were stimulated by 0.1 U/mL thrombin in the presence of DCB (a), bepridil (b), or Ro31-8220 (c). Relative amounts of [14C]5-HT released from platelets for 15 minutes after stimulation were determined by liquid scintillation and normalized to 100% for 5-HT release from platelets stimulated in the absence of inhibitors. Results are the mean ± SD. (B) Effects on -granule secretion. Washed platelets (1 × 105/μL) were suspended in modified Tyrode Hepes buffer containing 1 mmol/L CaCl2(columns 1, 2, 5 to 7), 2 mmol/L EGTA (column 3), or TMA-buffer (column 4). The platelets were stimulated with (columns 2 to 7) or without (column 1) 0.1 U/mL thrombin in the presence of 10 μmol/L DCB (column 5), 80 μmol/L bepridil (column 6), or 8 μmol/L Ro31-8220 (column 7). Relative amounts of bound 125I-S12 (anti–P-selectin MoAb) were normalized to 100% value for S12 binding to platelets stimulated with 0.1 U/mL thrombin in the absence of inhibitors (column 2).
In contrast to the NCX inhibitors, Ro31-8220 strongly inhibited serotonin release induced by thrombin dose-dependently, and nearly complete inhibition was obtained at 4 μmol/L (Fig 4A). Ro31-8220 also strongly inhibited the expression of P-selectin (Fig 4B).
These results suggest that NCX is not involved in the signal transduction pathways for platelet-granule secretion. On the other hand, PKC plays a crucial role for granule secretion.
Effects of NCX inhibitors on phosphorylation of pleckstrin and MLC induced by thrombin.
To clarify the effects of NCX inhibitors on intracellular signal components, we analyzed PKC and MLC kinase (MLCK) activities evoked by thrombin, which were evaluated by measuring the extent of phosphorylation of pleckstrin (p47) and MLC (p20). As shown in Fig 5, neither DCB nor bepridil showed apparent inhibitory effects on phosphorylation of these proteins at any time point examined after stimulation. As expected, Ro31-8220 (4 μmol/L) completely inhibited pleckstrin phosphorylation and partially inhibited MLC phosphorylation (Fig 5). These results show that NCX inhibitors blocked αIIbβ3 activation without inhibiting the activation of PKC or MLCK.
Effects of DCB, bepridil, or Ro31-8220 on protein phosphorylation evoked by thrombin. Washed platelets (3 × 105 /μL) labeled with 32P were stimulated with (A, lanes 5 to 8) or without (A, lanes 1 to 4) 0.1 U/mL thrombin in the absence (A, lanes 1, 5; B, ○) or the presence of 10 μmol/L DCB (A, lanes 2, 6; B, •), 80 μmol/L bepridil (A: lanes 3, 7; B, □) or 4 μmol/L Ro31-8220 (A, lanes 4, 8; B, ▪) for indicated duration. The platelets were lysed and proteins were separated by 7.5% SDS-PAGE. (A) Autoradiography is shown (arrow head, pleckstrin; arrow, MLC). (B) Relative quantification of the extent of phosphorylation of 47-kD and 20-kD proteins was performed using Bioimage analyzer and normalized to a 100 % value for phosphorylation before thrombin-stimulation. Results are the mean ± SD from three separate experiments.
Effects of DCB, bepridil, or Ro31-8220 on protein phosphorylation evoked by thrombin. Washed platelets (3 × 105 /μL) labeled with 32P were stimulated with (A, lanes 5 to 8) or without (A, lanes 1 to 4) 0.1 U/mL thrombin in the absence (A, lanes 1, 5; B, ○) or the presence of 10 μmol/L DCB (A, lanes 2, 6; B, •), 80 μmol/L bepridil (A: lanes 3, 7; B, □) or 4 μmol/L Ro31-8220 (A, lanes 4, 8; B, ▪) for indicated duration. The platelets were lysed and proteins were separated by 7.5% SDS-PAGE. (A) Autoradiography is shown (arrow head, pleckstrin; arrow, MLC). (B) Relative quantification of the extent of phosphorylation of 47-kD and 20-kD proteins was performed using Bioimage analyzer and normalized to a 100 % value for phosphorylation before thrombin-stimulation. Results are the mean ± SD from three separate experiments.
Effects of NCX inhibitors on [Ca2+]ichange induced by thrombin.
To examine whether NCX may affect [Ca2+]ichanges, fluo-3-loaded platelets were stimulated with thrombin in the presence or absence of inhibitors. Addition of DCB (∼20 μmol/L) to labeled platelets showed little effects on resting [Ca2+]i. DCB did not show apparent inhibitory effects on rapid increase in [Ca2+]i induced by thrombin (Fig 6). However, the subsequent plateau phase, which is believed to result from the continuing entry of external Ca2+, was slightly inhibited by DCB (10 to 20 μmol/L). In contrast to DCB, a modest increase in [Ca2+]i in platelets before stimulation was observed by addition of bepridil (20 to 40 μmol/L, not shown), and the level of rapid increase in [Ca2+]iinduced by thrombin was augmented by bepridil. Although the effects of DCB and bepridil on [Ca2+]i changes induced by thrombin were slightly different, these data suggest that NCX on platelet plasma membrane may not play a critical role for the rapid increase in [Ca2+]i evoked by thrombin and that [Ca2+]i transient might be caused mostly by other Ca2+ transporters on dense tubular system as well as on plasma membrane.
Effects of DCB or bepridil on [Ca2+]i changes by thrombin. Washed platelets (1 × 105/μL) loaded with fluo-3-AM were suspended in modified Tyrode Hepes buffer containing 1 mmol/L CaCl2 in the absence or presence of indicated dose of inhibitors. Probenecid (2 mmol/L) was added to prevent leakage of the dye from platelets. The fluo-3-loaded platelets were stimulated with 0.1 U/mL thrombin, and the cytosolic-free calcium concentration ([Ca2+]i) was determined on a Hitachi F-3000 spectrofluorometer using wavelength of 485 and 530 nm for excitation and emission, respectively. The suspension was gently stirred (100 rpm) during the measurement. These results are representative of three separate experiments.
Effects of DCB or bepridil on [Ca2+]i changes by thrombin. Washed platelets (1 × 105/μL) loaded with fluo-3-AM were suspended in modified Tyrode Hepes buffer containing 1 mmol/L CaCl2 in the absence or presence of indicated dose of inhibitors. Probenecid (2 mmol/L) was added to prevent leakage of the dye from platelets. The fluo-3-loaded platelets were stimulated with 0.1 U/mL thrombin, and the cytosolic-free calcium concentration ([Ca2+]i) was determined on a Hitachi F-3000 spectrofluorometer using wavelength of 485 and 530 nm for excitation and emission, respectively. The suspension was gently stirred (100 rpm) during the measurement. These results are representative of three separate experiments.
Ultrastructural analysis of the effects of NCX inhibitors on platelet functions.
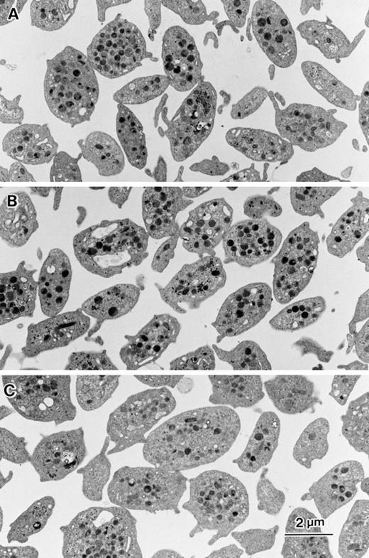
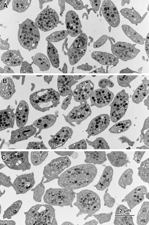
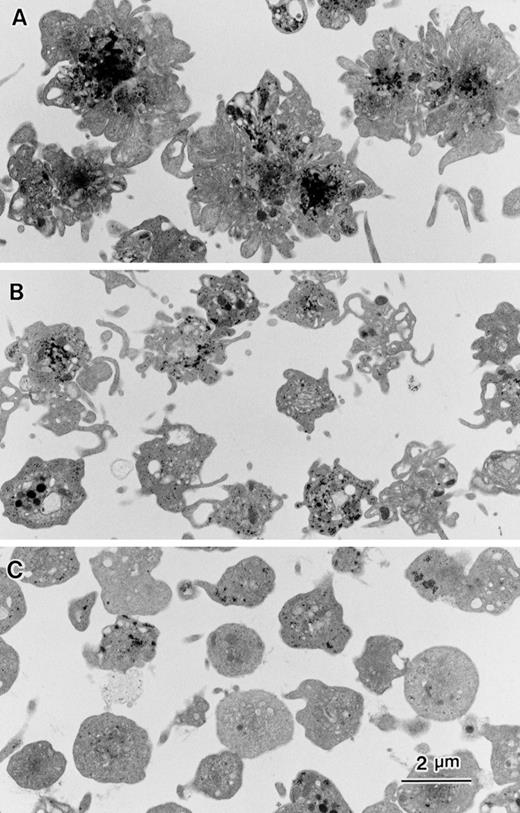
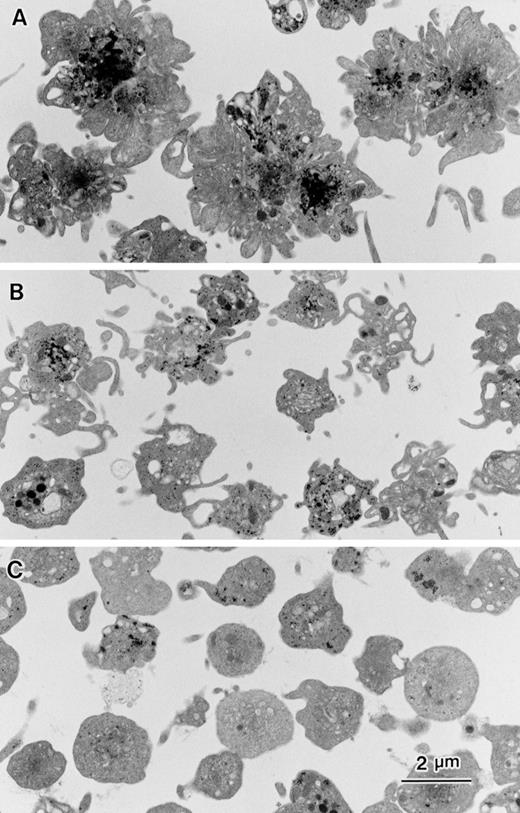
Ultrastructural analysis was performed to evaluate the effects of inhibitors on platelet shape, aggregation, and granule release. Unstimulated platelets showed discoid shape with small and short pseudopodia (Fig 7A). In the presence of 10 μmol/L DCB the platelets maintained discoid shape similar to control platelets (Fig 7B). However, platelets incubated with 80 μmol/L bepridil tended to be round shaped (Fig 7C). Fifteen-minute incubation of thrombin-stimulated platelets in the presence of 0.1% DMSO resulted in the formation of small aggregates (10 to 20 platelets). Each platelet showed pseudopodia formation and granule secretion (Fig 8A). In the presence of 10 μmol/L DCB, both pseudopodia formation and granule secretion were induced by thrombin, whereas the formation of platelet aggregates were markedly reduced (Fig 8B). Bepridil, similar to DCB, strongly inhibited aggregate formation by thrombin (Fig 8C). Although the pseudopodia formation was impaired, the stimulated platelets had no granules in the cytoplasm, suggesting that the release reaction had occurred even in the presence of bepridil (Fig 8C). These ultrastructural analyses confirmed the inhibitory effects of NCX inhibitors on platelet aggregation and also showed that granule secretion induced by thrombin occurred in the presence of NCX inhibitors. Thus, NCX inhibitors, particularly DCB, seemed to make platelets thrombasthenic.
Effects of DCB or bepridil on morphological changes in intact platelets. Washed platelets (5 × 105/μL) were suspended in modified Tyrode Hepes buffer containing 1 mmol/L CaCl2 and mixed with 0.1 % DMSO (A), 10 μmol/L DCB (B), or 80 μmol/L bepridil. After 15 minutes of incubation, equal volume of 4 % glutaraldehyde containing phosphate buffer was added to each aliquot. Electron microscopic analysis was performed as described in Materials and Methods.
Effects of DCB or bepridil on morphological changes in intact platelets. Washed platelets (5 × 105/μL) were suspended in modified Tyrode Hepes buffer containing 1 mmol/L CaCl2 and mixed with 0.1 % DMSO (A), 10 μmol/L DCB (B), or 80 μmol/L bepridil. After 15 minutes of incubation, equal volume of 4 % glutaraldehyde containing phosphate buffer was added to each aliquot. Electron microscopic analysis was performed as described in Materials and Methods.
Effects of DCB or bepridil on morphological changes evoked by thrombin. Washed platelets shown in Fig 7 were stimulated by 0.1 U/mL thrombin under unstirring condition. After 15 minutes of incubation, equal volume of 4% glutaraldehyde containing phosphate buffer was added to each aliquot. Electron microscopic analysis was performed as described in Materials and Methods.
Effects of DCB or bepridil on morphological changes evoked by thrombin. Washed platelets shown in Fig 7 were stimulated by 0.1 U/mL thrombin under unstirring condition. After 15 minutes of incubation, equal volume of 4% glutaraldehyde containing phosphate buffer was added to each aliquot. Electron microscopic analysis was performed as described in Materials and Methods.
DISCUSSION
It is generally accepted that cytoplasmic domains of both αIIb and β3 participate in inside-out signaling, and the propagation of conformational changes from the cytoplasmic tails to the extracellular domains appears to induce the activated state of αIIbβ3.11-13Recently, using a yeast two-hybrid screening of B-cell cDNA library, Shattil et al32 identified a novel polypeptide named β3-endonexin that interacts specifically with the β3 tail. Overexpression of β3-endonexin in Chinese Hamster Ovary cells expressing recombinant αIIbβ3 constitutively activated αIIbβ3.33 Using the same method, Naik et al34 identified a novel calcium-binding protein termed CIB that interacts only with αIIb tail. These molecules are good candidates for the components directly involved in inside-out signaling. However, it remains to be determined whether β3-endonexin and/or CIB actually play critical roles for regulating αIIbβ3function in platelets.
It has been well established that α-chymotrypsin activates αIIbβ3 in the absence of major intracellular signal transduction, and this is one of the most attractive models for investigating αIIbβ3activation.35,36 Recently, we showed the first evidence that NCX operating reverse mode (ie, Ca2+ influx mode) plays a critical role in αIIbβ3 activation by chymotrypsin.18 Chymotrypsin-treatment of platelets induces strong αIIbβ3 activation that is so resistant to various inhibitors except NCX inhibitors, therefore NCX seems to participate in direct or indirect functional coupling with αIIbβ3. Furthermore, chymotrypsin treatment makes αIIbβ3 constitutively active, which is shown by the fact that αIIbβ3 is reactivated after removal of amiloride from external medium. This is further evidence of NCX to be the functional regulator of αIIbβ3. We propose the hypothesis that NCX may be one of the components involved in inside-out signaling through αIIbβ3 evoked by various agonists. In the present study, employing intact platelets and two unrelated NCX inhibitors, DCB and bepridil, we showed that (1) NCX inhibitors inhibited both Na+i/Ca2+o exchange and αIIbβ3 activation in chymotrypsin-treated platelets at similar concentrations; (2) NCX inhibitors abolished platelet aggregation induced by all agonists examined (ADP, epinephrine, collagen, U46619, thrombin, A23187, or PMA); (3) Inhibition of platelet aggregation by NCX inhibitors was due to the inhibition of αIIbβ3 activation; (4) NCX inhibitors abolished αIIbβ3 activation induced by thrombin without inhibiting activities of PKC or MLCK, or transient increase in [Ca2+]i; and (5) Ultrastructural analysis showed that DCB makes platelets thrombasthenic, ie, platelets change their shapes, release granule contents, and do not aggregate. Taken together, it is likely that the NCX may be exclusively involved in the common steps for αIIbβ3 activation. These results are consistent with the fact that chymotrypsin-treatment of platelets causes only αIIbβ3 activation (via NCX-dependent mechanisms) without any detectable shape changes or granule releases.37
Initial steps in αIIbβ3 activation induced by thrombin or TXA2 may involve activation of G-protein–mediated phospholipase C, followed by activation of PKC and increase in [Ca2+]i.38 However, ADP activates αIIbβ3 without detectable PKC activation. In the present study, we showed that a specific inhibitor for PKC, Ro31-8220, failed to inhibit αIIbβ3 activation induced by ADP (Fig 3D), which confirmed the data reported by Pulcinelli et al.21Therefore, PKC is not always involved in inside-out signaling through αIIbβ3. In contrast, irrespective of agonist, NCX inhibitor could abolish αIIbβ3activation. Thus NCX inhibitor blocked both PKC-dependent and -independent αIIbβ3 activation signals. These findings suggest that distinct signals evoked by various agonists may converge to common steps that are essential for αIIbβ3 activation and that NCX is involved in those steps.
It has been shown that platelet aggregation evoked by various agonists was reduced in the presence of amiloride or its analogs. Cristofaro et al39 showed the inhibitory effects of amiloride on fibrinogen binding to ADP-stimulated platelets. These investigators regarded Na+/H+ exchanger as a target for amiloride. However, the concentrations of inhibitors applied were much higher than those required for blockade of the exchanger. EIPA, a relatively specific inhibitor for Na+/H+exchanger, failed to inhibit thrombin-induced αIIbβ3 activation under our experimental conditions. It is also known that sufficient platelet aggregation evoked by strong agonists occurs even in the absence of external Na+ (eg, replaced with N-methyl-glutamine).40These data suggest Na+ influx through any Na+transporter, including Na+o/H+i exchange, is not a pivotal step for platelet aggregation evoked by, at least, strong agonists. Because a relatively high dose of amiloride is known to inhibit Na+/Ca2+ exchange,41 it is likely that inhibitory effects of amiloride on platelet aggregation and on αIIbβ3 activation may be caused by a blockade of Na+/Ca2+ exchange rather than that of Na+/H+ exchange.
The initiation of secretion by thrombin has been shown the result of the synergistic action of activation of PKC and increase in [Ca2+]i.17 As expected, Ro31-8220 abolished both dense granule and α-granule secretion induced by thrombin. However, neither dense-granule nor α-granule secretion was inhibited by DCB. In addition, neither chelation of extracellular Ca2+ nor replacement of extracellular Na+ with TMA affect secretion of granule contents. These data suggest that NCX is not involved in secretion of granule contents. Although bepridil did not inhibit dense-granule secretion, the level of α-granule secretion was inhibited by ∼ 50%, probably due to a nonspecific effect of this reagent. Ultrastructural analysis showed that platelets may be slightly activated by bepridil. It is likely that this preactivation may reduce the level of α-granule secretion induced by thrombin, although apparent activation of calpain by the addition of bepridil to resting platelet was not detected. On the other hand, ultrastructural analysis show that DCB makes platelets thrombasthenic with sufficient shape changes and granule secretion, suggesting that NCX might be exclusively involved in inside-out signaling through αIIbβ3.
The presence of NCX in platelets has been shown.42,43 The physiological role of NCX has been most extensively studied in excitable cells such as myocardium.44 NCX catalyzes bidirectional electrogenic exchange of Na+ for Ca2+ across the plasma membrane, and the mode of exchange (ie, forward and reverse mode) and the exchange activity are dynamically regulated. Long cytoplasmic loop of NCX1 contains putative calmodulin binding site and phosphorylation motif suggesting that NCX1 might be regulated by [Ca2+]i and/or some protein kinases.44 In cardiomyocyte, Na+/Ca2+ exchange activity is regulated quickly during every heart beat, suggesting that regulation of Na+/Ca2+ exchange should occur within subsecond order.19 Iwamoto et al45 showed that the activity of cardiac NCX1 is regulated by PKC-catalyzed phosphorylation. In nerve fibers, elevation of [Ca2+]i is known to be an essential activator of Na+i/Ca2+oexchange.46 Although the regulations of NCX in platelets and the mechanisms of how NCX plays a role in αIIbβ3 regulation still remain obscure, these features of this ion transporter seem to bear analogy with those of αIIbβ3 regulation. Our hypothesis about functional coupling between NCX and αIIbβ3might provide some clues on the rapid switching mechanisms of integrin regulation.
Recent clinical studies have shown beneficial effects of αIIbβ3 antagonists in patient undergoing coronary angioplasty and those with unstable angina.47Moreover, coronary restenosis after angioplasty might be decreased by αIIbβ3 antagonists.48 Our present data may open the way to consideration of a possible use of NCX inhibitors in the pharmacological control of αIIbβ3 function. Interestingly, excessive Ca2+ accumulation in cardiomyocytes has been implicated as a primary event for the injury during reperfusion after ischemia or during reoxygenation after hypoxia.49 Under these pathological conditions the NCX is thought to induce Ca2+accumulation in cardiomyocytes due to an increase in [Na+]i. Thus, it has been suggested that NCX inhibitors may also serve as a therapeutic agent by virtue of its cardioprotective or antiarrythmic effects. Taken together, NCX inhibitors could be a therapeutic agent particularly for cardiovascular diseases.
ACKNOWLEDGMENT
The authors thank Dr Makoto Handa and Dr Yasuo Ikeda (Keio University, Tokyo, Japan) for the kind gift of MoAb PT25-2, and also thank Dr Rodger P. McEver (Oklahoma City, OK) and Centocor Inc (Malvern, PA) for the kind gift of MoAb S12.
Supported in part by a grant from the Ministry of Education, Science, and Culture of Japan; the Japan Society for the Promotion of Science; and the Ryoichi Naito Foundation for Medical Research.
The publication costs of this article were defrayed in part by page charge payment. This article must therefore be hereby marked “advertisement” in accordance with 18 U.S.C. section 1734 solely to indicate this fact.
REFERENCES
Author notes
Address reprint requests to Yoshiaki Tomiyama, MD, The Second Department of Internal Medicine, Osaka University Medical School, 2-2 Yamadaoka, Suita 565-0871, Japan; e-mail:yoshi@hp-blood.med.osaka-u.ac.jp.
![Fig. 1. Effects of DCB or bepridil on steady-state Na+i/Ca2+oexchange in chymotrypsin-treated platelets. (A) Washed platelets (2.0 × 106/μL) suspended in modified Tyrode Hepes buffer containing 1 mmol/L CaCl2 were treated with 60 U/mL -chymotrypsin for 10 minutes at 37°C. Fifty μL aliquots of treated platelets were mixed with 950 μL of either HBS-CaCl2 ([Na+]o = 140 mmol/L) or Na+-free HBS-CaCl 2 ([Na+]o = 7 mmol/L), each of which contained 200 μmol/L ouabain. Afterward, 2 μCi/mL of45CaCl 2 was added and incubated for 15 minutes at 37°C. Net 45Ca2+ influx into platelets under indicated condition ([Na+]o and inhibitors) was determined by liquid scintillation counting after rapid filtration of cells on 0.45 μm filters. (B) Na+i-dependent45Ca2+ influx was calculated by subtracting45Ca2 + influx in HBS-CaCl2 from that in Na+-free HBS-CaCl2 in the presence of DCB (open circles) or bepridil (closed circles) and relative amount of Na+i-dependent45Ca2+ influx was normalized to a 100% value for that in the absence of inhibitors. Results are the mean ± SD from three separate experiments.](https://ash.silverchair-cdn.com/ash/content_public/journal/blood/92/10/10.1182_blood.v92.10.3710/4/m_blod42213001x.jpeg?Expires=1767742686&Signature=J4-ST9RZ-EqtEvRm0cqOLQ3H7FIKLBhZc8PZUkGHRejTeZ~qfOaKK4vpo~5o0GULvqj44hqX5r7G2ImZbz8KkdK3idiham-pqJPDRg11v3Tp5jkeMJ5kFmO3xD4yuunstDbwIAIsHhayaiYC0umkKkgU49sPONY4D56WG72EoAC-XUDbNPseoCYfDTiaD3SVBZVFE0gUa9qetdC9vAdDoUayu9auOTfU2gCkBVObn9ixaamdy5e4yquCF8lbG9AymgohGvxsTlep1rRs~locEJ73edTvTgiKB7WtsuWWSlqJRMM6pyn-1ZEhwfLCVIRFve5tMqVxLVhcZoFAQ-o7Qg__&Key-Pair-Id=APKAIE5G5CRDK6RD3PGA)


![Fig. 4. Effects of DCB, bepridil, or Ro31-8220 on platelet granule secretion. (A) Effects on dense granule secretion. Washed platelets (3 × 105/μL) labeled with [14C]5-HT were stimulated by 0.1 U/mL thrombin in the presence of DCB (a), bepridil (b), or Ro31-8220 (c). Relative amounts of [14C]5-HT released from platelets for 15 minutes after stimulation were determined by liquid scintillation and normalized to 100% for 5-HT release from platelets stimulated in the absence of inhibitors. Results are the mean ± SD. (B) Effects on -granule secretion. Washed platelets (1 × 105/μL) were suspended in modified Tyrode Hepes buffer containing 1 mmol/L CaCl2(columns 1, 2, 5 to 7), 2 mmol/L EGTA (column 3), or TMA-buffer (column 4). The platelets were stimulated with (columns 2 to 7) or without (column 1) 0.1 U/mL thrombin in the presence of 10 μmol/L DCB (column 5), 80 μmol/L bepridil (column 6), or 8 μmol/L Ro31-8220 (column 7). Relative amounts of bound 125I-S12 (anti–P-selectin MoAb) were normalized to 100% value for S12 binding to platelets stimulated with 0.1 U/mL thrombin in the absence of inhibitors (column 2).](https://ash.silverchair-cdn.com/ash/content_public/journal/blood/92/10/10.1182_blood.v92.10.3710/4/m_blod42213004x.jpeg?Expires=1767742686&Signature=oequFwo-173c2eGIIu4mLebMJaFV8WPK1ekFcMFAHQOAKHyrT5uETH9DJ~uNQH5oTISa0Vvts3ASDueHDptfZjDN4FsBe9g7pw5OVsqz8f22ZzpwT16aeIQdy9wcK0pEECqP2yhWH8eZLjvsO~HWt6e-7~aWXAKOj9iuPW9yaKy15rPWnt5B11RdvZdtyPJE26-yom2ILq52Qu1HppBEyPk-g39asv5CJJc6R5F6OJ~89QIZ7~~aqIfJbHA5IGjTWlOZJT5SI8-jMyWIGS-pM36miLNoWc8GS6JvZAHRd2FDq7GjvwrQyIYlAR7O0O1o79HUJCZBYdrtSdTCXn1sdg__&Key-Pair-Id=APKAIE5G5CRDK6RD3PGA)

![Fig. 6. Effects of DCB or bepridil on [Ca2+]i changes by thrombin. Washed platelets (1 × 105/μL) loaded with fluo-3-AM were suspended in modified Tyrode Hepes buffer containing 1 mmol/L CaCl2 in the absence or presence of indicated dose of inhibitors. Probenecid (2 mmol/L) was added to prevent leakage of the dye from platelets. The fluo-3-loaded platelets were stimulated with 0.1 U/mL thrombin, and the cytosolic-free calcium concentration ([Ca2+]i) was determined on a Hitachi F-3000 spectrofluorometer using wavelength of 485 and 530 nm for excitation and emission, respectively. The suspension was gently stirred (100 rpm) during the measurement. These results are representative of three separate experiments.](https://ash.silverchair-cdn.com/ash/content_public/journal/blood/92/10/10.1182_blood.v92.10.3710/4/m_blod42213006x.jpeg?Expires=1767742686&Signature=Fu1PAGBK6yf5ewiKs25d7JYZzqvbTA2upRi09swnCuk8aFKK~WhcKa7u-CZ8TFRE34fkekmRaIrlMl-VPs9ggwqjyVQrZvaUAzsqpRqdcWen3t9y-BGXR1lukQOx~SxuNZQNomXMFj3roq1yc8feoBqGLOnY5XkZteR1LNeLkPcaCAWXvwmvX43JAUPcUZZbgP~nB6F1TJB4hIUMsC7s4NJTlBDzoDInYaeOI0UP5~nBIDTL7uKVV4PgHZDjPcalVzDZWnqZL26S9~65A1EBkiMQHb7TAkDN~0ZL9P5pGKEkC8DSz4ZAr1DYQtP3sReTd8g3O~sPicNW6aeAGSS-xw__&Key-Pair-Id=APKAIE5G5CRDK6RD3PGA)


This feature is available to Subscribers Only
Sign In or Create an Account Close Modal